在器官移植领域,为了防治器官移植术后的排斥反应,患者需要长期服用免疫抑制剂。然而免疫抑制剂治疗的同时不仅存在增加患者感染及患恶性肿瘤的风险等诸多毒副作用,而且还增加患者的经济负担[1-3]。为克服这些缺点,某些具有诱导移植免疫耐受作用的间充质干细胞(MSC)作为一个可行的替代治疗被不断研究,并认为MSC在器官移植免疫研究中已成为有意义的候选细胞[4-7]。本研究旨在观察脂肪源性干细胞(ADSC)对大鼠心脏移植急性排斥反应的抑制作用;并进一步评估ADSC是否具有协同麦考酚吗乙酯(MMF)的免疫抑制治疗作用。
材料与方法 一、主要材料胎牛血清、DMEM培养基、0.25%胰蛋白酶等干细胞培养基及试剂均为美国Gibco公司产品。干细胞鉴定所需抗体CD14、CD29、CD45为英国EB公司产品。大鼠IL-2和IL-10的ELISA检测试剂盒为武汉博士德生物技术有限公司产品。麻醉用药戊巴比妥钠为上海化学试剂厂产品。生物安全柜、CO2细胞培养箱、倒置相差显微镜、高速离心机、流式细胞仪等主要仪器借助浙江省人民医院临床医学研究室。
二、干细胞分离、培养和扩增供体同系ADSC的分离、培养和扩增主要参考Zuk等[8]文献标准进行。取大鼠腹股沟处皮下脂肪,Ⅰ型胶原酶消化法获取原代ADSC,接种至含10%胎牛血清的DMEM培养液中重悬并培养;待细胞生长接近融合时传代扩增。至第4~6代时收获细胞,用血球计数板计数细胞浓度,按不同浓度悬浮于3 ml的生理盐水中备用。
三、实验动物及实施方案清洁级雄性Wistar大鼠,体质量约180 g,作为供体;清洁级雄性SD大鼠,体质量约220 g,作为受体,均由浙江大学实验动物中心[许可证编号SYXK(浙)2014-0008]提供。以改良Heron法建立大鼠颈部异位心脏移植模型;移植心脏心跳规律、有力,跳动24 h以上为建模成功。每组供受体各48只,实验分为4组,每组12只。未处理组,术毕仅补充生理盐水;MMF组,术后给予口饲MMF 20 mg/(kg·d),共7 d;ADSC组,术毕静脉输注ADSC(10×106/只);MMF+ADSC联合组,术毕输注ADSC(10×106/只),并给予口饲MMF 20 mg/(kg·d),共7 d。术后第7日每组随机选取6只大鼠,麻醉后抽取血液、切除移植心脏进行实验;剩余大鼠继续观察移植物存活。
四、实验检测指标及测定方法 1. 大鼠移植心脏存活时间每日触诊移植心脏,注意心脏跳动幅度、节律和次数,以30 d或停跳为观察终点;记录数据。
2. 移植心脏病理学检查术后第7日每组随机选取6只大鼠,麻醉后切取移植心,置于10%甲醛溶液中浸泡固定,石蜡包埋,切片厚4 μm,苏木素-伊红染色,光学显微镜观察心肌显微结构。
3. 大鼠血清中IL-2和IL-10的表达在上述处理同时经静脉抽取血液1 ml。操作方法按试剂盒说明书进行,采用双抗夹心ELISA法检测血清IL-2和IL-10含量。并计算IL-2/IL-10比值。
五、统计学处理应用SPSS 19.0进行统计分析,所有计量资料以x±s表示。总体比较以P<0.05为差异有统计学意义。移植心脏存活时间采用生存分析的Log-rank检验;多组间比较采用单因素方差分析。多重比较以Bonferroni法校正检验水准(校正后P<0.0083为差异有统计学意义)。
结果 一、各组大鼠移植心脏存活时间及血清中IL-2和IL-10的表达MMF、ADSC和MMF+ADSC组移植物存活时间均得到不同程度延长,且组间比较均有统计学意义(P均<0.0083);MMF+ADSC联合处理组移植心脏生存时间最长(P均 < 0.0083)。各组大鼠移植物存活时间见表 1及图 1。与未处理组比较,各处理组血清IL-2均降低,而IL-10升高(P < 0.0083);各处理组组间比较,MMF组和MMF+ADSC组的IL-2比较差异无统计学意义,但MMF+ADSC组的IL-2低于ADSC组(P < 0.0083);各处理组IL-10比较差异均无统计学意义(P均>0.0083)。IL-2/IL-10比值结果见图 2。
| 表 1 各组大鼠移植物存活时间及血清IL-2、IL-10比较(n=6) |
|
图 1 各组大鼠移植物生存曲线 |
|
图 2 各组大鼠血清IL-2/IL-10比值 与未处理组比较,a P < 0.0083;与MMF组比较,b P < 0.0083;与ADSC组比较,c P < 0.0083 |
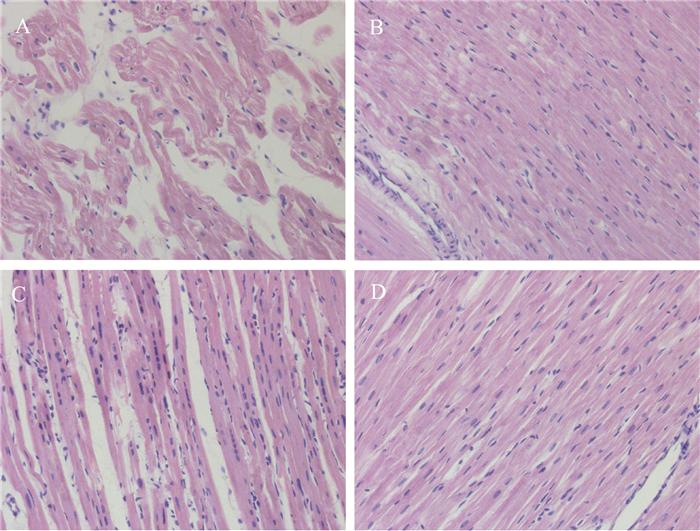
未处理组心肌组织内有大量淋巴细胞和单核细胞浸润,小血管内可见血栓形成,明显的心肌间质水肿和出血,不同程度心肌细胞变性、坏死,呈急性排斥变化;ADSC、MMF和MMF+ADSC组有中等数量淋巴细胞浸润,伴有不同程度灶性心肌细胞损害,血管轻度扩张渗血,表明心肌急性排斥反应均得到抑制,MMF+ADSC组淋巴细胞浸润、心肌间质水肿、心肌细胞损害程度最轻,见图 3。
|
图 3 大鼠移植心脏组织病理学检查结果(苏木素-伊红染色,×400倍) A:未处理组;B:MMF组;C:ADSC组;D:MMF+ADSC组 |
在本研究中,我们发现ADSC联合MMF可以减轻同种异体心脏移植的排斥反应,使移植物得到长期生存的趋势。这一观察结果使ADSC在实体器官移植中的免疫调节,迈向临床应用更进一步。
我们知道,器官移植排斥反应是目前尚未完美克服的世界性难题。目前主要依靠终身服用免疫抑制剂来对抗随时可能出现的排斥反应。然而长期免疫抑制剂的应用不仅要面临药物本身的毒副作用的危险,而且还伴随着高感染和潜在的诱发肿瘤等风险,同时还增加患者的经济负担[1-3]。
可喜的是,自21世纪始就有研究发现MSC独特的免疫抑制作用可能具有潜在的防治移植器官排斥功效[4-7]。2010年刘奎利等[9]对成人BMSC对实体器官移植之影响进行了回顾性分析,认为MSC在注射后,在“某些条件”下长期抑制移植排斥反应;细胞的使用时间和总细胞数量对于MSC在实体器官移植后的效应扮演着重要角色。因此MSC在长期移植免疫抑制的临床器官移植研究中成为有意义的候选细胞。我们的研究也观察到在心脏移植术后输注ADSC处理组较未处理组移植物存活时间得到显著延长。但是,这种仅依靠ADSC而不需要额外的免疫抑制剂治疗,仅是使移植物存活时间得到一定的延长;ADSC处理组6例中仅1例生存达实验观察终点,这并不符合临床要求的长期生存。
在使用免疫抑制剂对抗排斥反应的基础上,给予MSC处理能够长期抑制移植物抗宿主排斥而终身保持良好的功能。因此,评估免疫抑制剂与MSC诱导之间可能的影响是非常重要的。基于我们目前的发现,提出ADSC和MMF联合应用抗排斥具有协同效应,使移植物能达到长期生存的趋势。在MMF+ADSC处理组6例中有5例生存时间达到了实验观察终点,存活时间达到了(29.83±0.41) d,较其它各组显著延长;病理示少量淋巴细胞浸润,伴有不同程度灶性心肌细胞损害,血管轻度扩张渗血,表明心肌急性排斥反应得到较好抑制。免疫相关细胞因子的变化示:一方面抑制了血清中促炎因子IL-2的强烈上调,另一方面促进了血清中抗炎因子IL-10的快速上调。从而使IL-2/IL-10比值下降,下调了免疫应答,减弱急性排斥反应程度,延长了移植物存活时间。这与Ge等[10]、Eggenhofer等[11]研究结果相同,MSC与低剂量或短效免疫抑制剂联合使用可能导致移植物长期耐受,提示MSC在未来临床应用中可能可以有效减少抗排斥药物的剂量。
此外,本研究实验标本取材时间为心脏移植术后第7日,那时MMF组恰好为服药最后1 d,尚在MMF抗排斥反应效应期内。因此,MMF+ADSC处理组和MMF处理组血清学指标(IL-2、IL-10) 和病理等级并无显著性差异;但移植物生存时间却有明显延长。我们据此推测ADSC联合MMF应用可以产生长期移植免疫抑制,两者具有协同作用。因而提出适当减少MMF用量,仍可以保持移植物长期生存的趋势。从而达到减少免疫抑制药物的使用,减轻药物毒副作用的目的。这将成为下一步研究的重点。
| [1] |
Lodhi SA, Lamb KE, Meier-Kriesche HU. Solid organ allograft survival improvement in the United States: the long-term does not mirror the dramatic short-term success[J]. Am J Transplant, 2011, 11(6): 1226-1235. DOI:10.1111/j.1600-6143.2011.03539.x |
| [2] |
Borda B, Lengyel C, Várkonyi T, Kemény E, Ottlakán A, Kubik A, Keresztes C, Lázár G. Side effects of the calcineurin inhibitor, such as new-onset diabetes after kidney transplantation[J]. Acta Physiol Hung, 2014, 101(3): 388-394. DOI:10.1556/APhysiol.101.2014.3.13 |
| [3] |
Nikitin AV. Mechanisms of nephrotoxic action of immunodepressants, calcineurine inhibitors[J]. Antibiot Khimioter, 2014, 59(1-2): 44-47. |
| [4] |
Zhou HP, Yi DH, Yu SQ, Sun GC, Cui Q, Zhu HL, Liu JC, Zhang JZ, Wu TJ. Administration of donor-derived mesenchymal stem cells can prolong the survival of rat cardiac allograft[J]. Transplant Proc, 2006, 38(9): 3046-3051. DOI:10.1016/j.transproceed.2006.10.002 |
| [5] |
Lee JH, Jeon EJ, Kim N, Nam YS, Im KI, Lim JY, Kim EJ, Cho ML, Han KT, Cho SG. The synergistic immunoregulatory effects of culture-expanded mesenchymal stromal cells and CD4(+)25(+)Foxp3+ regulatory T cells on skin allograft rejection[J]. PLoS One, 2013, 8(8): e70968. DOI:10.1371/journal.pone.0070968 |
| [6] |
Delens L, Jouret F, Detry O, Beguin Y, Krzesinski JM. The role of mesenchymal stromal cells in solid organ transplantation[J]. Rev Med Suisse, 2014, 10(439): 1538, 1540-1543. |
| [7] |
Casiraghi F, Perico N, Cortinovis M, Remuzzi G. Mesenchymal stromal cells in renal transplantation: opportunities and challenges[J]. Nat Rev Nephrol, 2016, 12(4): 241-253. DOI:10.1038/nrneph.2016.7 |
| [8] |
Zuk PA, Zhu M, Mizuno H, Huang J, Futrell JW, Katz AJ, Benhaim P, Lorenz HP, Hedrick MH. Mulitilinege cells from human adipose tissue: limplications for cell-based therapies[J]. Tissue Eng, 2001, 7(2): 211-228. DOI:10.1089/107632701300062859 |
| [9] |
刘奎利, 石炳毅. 成人骨髓间充质干细胞对实体器官移植之影响:在诱导耐受中已成为有意义的候选细胞[J]. 中国组织工程研究与临床康复, 2010, 14(1): 147-151. |
| [10] |
Ge W, Jiang J, Baroja ML, Arp J, Zassoko R, Liu W, Bartholomew A, Garcia B, Wang H. Infusion of mesenchymal stem cells and rapamycin synergize to attenuate alloimmune responses and promote cardiac allograft tolerance[J]. Am J Transplant, 2009, 9(8): 1760-1772. DOI:10.1111/ajt.2009.9.issue-8 |
| [11] |
Eggenhofer E, Renner P, Soeder Y, Popp FC, Hoogduijn MJ, Geissler EK, Schlitt HJ, Dahlke MH. Features of synergism between mesenchymal stem cells and immunosuppressive drugs in a murine heart transplantation model[J]. Transpl Immunol, 2011, 25(2-3): 141-147. DOI:10.1016/j.trim.2011.06.002 |

