文章快速检索     高级检索
  新医学  2017, Vol. 48 Issue (9): 669-672  DOI: 10.3969/j.issn.0253-9802.2017.09.017
0

引用本文 [复制中英文]

蒋永艳, 肖雪, 王鹏. 以双肺细菌性肺炎为首发症状的不典型成人Still's病一例[J]. 新医学, 2017, 48(9): 669-672.
Jiang Yongyan, Xiao Xue, Wang Peng. A case of atypical adult onset Still's disease presenting with bilateral bacterial pneumonia as primary symptom[J]. Journal of New Medicine, 2017, 48(9): 669-672.

通讯作者

肖雪

文章历史

收稿日期:2017-05-06
以双肺细菌性肺炎为首发症状的不典型成人Still's病一例
蒋永艳, 肖雪, 王鹏     
563003 遵义,遵义医学院附属医院急诊科
摘要: 成人Still's病(AOSD)是一种病因未明的罕见的全身系统性炎症疾病,无特异性的临床表现和实验室检查指标,目前尚无特异性的诊断标准,临床上多采用排除性诊断,容易被漏诊和误诊。感染常是AOSD的重要诱因,发热、关节痛、皮疹、咽痛以及肝、脾、淋巴结肿大是其常见症状。该文报道了1例以双肺细菌性肺炎为首发表现的AOSD女性患者,其影像学资料提示为肺炎,予规律抗感染治疗无效,行相关检查后予糖皮质激素作治疗性诊断,患者病情好转且稳定。早期及时准确的诊断与治疗对AOSD患者预后有重要意义。
关键词: 发热    细菌性肺炎    Still's病    糖皮质激素    
A case of atypical adult onset Still's disease presenting with bilateral bacterial pneumonia as primary symptom
Jiang Yongyan, Xiao Xue, Wang Peng     
Department of Emergency, the Affiliated Hospital of Zunyi Medical College, Zunyi 563003, China
Corresponding author: Xiao Xue
Abstract: Adult onset Still's disease (AOSD) is rare systemic inflammatory condition of unknown origin and pathogenesis. It is manifested with non-specific clinical and laboratory characteristics. At present, no specific diagnostic criteria have been established for AOSD. In clinical practice, relevant examinations are mainly performed to exclude the diagnosis of AOSD, which is likely to miss the diagnosis or make a misdiagnosis. As a primary predisposing cause, infection constantly leads to fever, joint pain, rash, sore throat, liver and spleen lymphadenopathy in AOSD patients. Herein, we reported one case of female with AOSD presenting with bilateral bacterial pneumonia as the primary symptom. Imaging finings prompted the possibility of pneumonia, the patient didn't respond to anti-infection treatment. Hormone therapy was adopted after relevant examinations. The condition of the patient was gradually improved and stable. Early and accurate diagnosis and treatment play a pivotal role in the clinical prognosis of AOSD patients.
Key words: Fever    Bacterial pneumonia    Still's disease    Glucocorticoids    

成人Still's病(AOSD)是一种病因未明的罕见的全身系统性炎症疾病,是以高热、一过性皮疹、关节疼痛和白细胞增高为主要特征、多系统受累的临床综合征[1]。该病缺乏特异性实验室指标,因此鉴别诊断非常重要,需鉴别的疾病非常庞杂,在诊断时应综合考虑。在急性期AOSD可导致器官功能损害,我们结合文献分析了1例以发热、咳嗽、咳痰、咽痛为主要表现的不典型AOSD,以引起临床医师的重视,避免因误诊、漏诊而延误患者病情及延缓其最佳治疗时机。

病例资料 一、病史及体格检查

患者女,50岁,因发热10 d于2016年2月4日入我院急诊。患者10 d前无明显诱因出现发热,呈间断性,最高体温为39.7℃,伴咽痛、食欲差、全身乏力,曾于当地医院接受抗感染治疗,体温控制欠佳,并出现咳嗽、咳痰,痰为白色黏液状,伴双下肢水肿。为进一步诊治而就诊于我院急诊,行相关检查后以“发热原因待查”收住我科,起病以来患者精神、饮食及睡眠欠佳,大小便正常,体质量无明显变化。既往身体健康,否认有传染病史及其他病史,家族史无特殊,无烟酒等不良嗜好,已婚,育有1子1女,人工流产2次。

入院体格检查:体温39.5℃,脉搏60次/分,呼吸20次/分,血压139/52 mm Hg(1 mm Hg=0.133 kPa)。发育正常,营养良好,自主体位,神志清晰,查体合作,全身皮肤黏膜无黄染、肝掌、蜘蛛痣,浅表淋巴结无肿大,头颅、眼、鼻无异常,咽红,扁桃体无肿大,颈部对称,颈软,无抵抗,气管居中,无颈静脉怒张及颈动脉异常搏动,甲状腺无肿大、结节,胸廓对称无畸形,双侧呼吸运动对称,双肺叩诊清音,双肺呼吸音粗,双肺可闻及湿啰音,心前区无震颤、隆起及凹陷,心尖搏动位置正常,心率60次/分,心律整齐,心尖区闻及收缩期柔和吹风样杂音。腹平坦,无皮疹、瘢痕,未见胃肠型及蠕动波,无腹壁静脉曲张,无压痛、反跳痛及肌紧张,肝、脾肋下未触及,墨菲征阴性,腹部叩诊呈鼓音,移动性浊音阴性,肝、脾及双肾区无叩痛,肠鸣音4次/分,双下肢凹陷性水肿。其余检查未见明显异常。

二、实验室及辅助检查

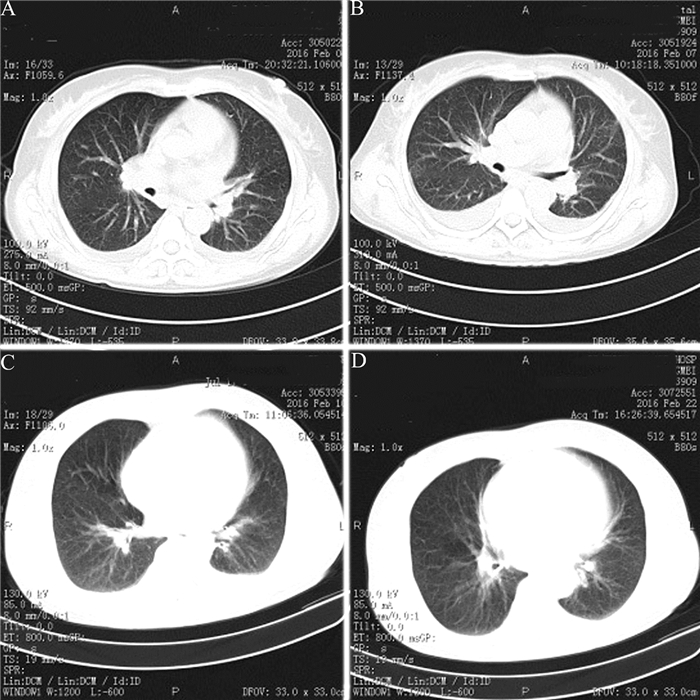
2016年2月4日胸部CT:左肺下叶少许渗出;左心增大;纵隔、双肺门淋巴结部分钙化;双侧少量胸腔积液(图 1A)。心电图:T波改变。血常规:血红蛋白109 g/L,红细胞3.81×1012/L,白细胞20.50×109/L,中性粒细胞绝对值17.62×109/L,淋巴细胞绝对值1.02×109/L,红细胞比积0.32,血小板291×109/L。血电解质:钠135.24 mmol/L,钙1.83 mmol/L,磷0.63 mmol/L;肝功能:ALT 86 U/L,AST 176 U/L。入院诊断:① 双侧细菌性肺炎并类肺炎性胸腔积液;② 左心增大原因待查;③ 继发性肝损害;④ 低蛋白血症。

图 1 该例AOSD患者胸部CT检查图 A:左肺下叶少许渗出,双侧少量胸腔积液;B:治疗3 d后双肺肺炎、双肺下叶肺不张病变有所加重;C:治疗8 d后,双侧少量胸腔积液,双下肺炎;D:治疗3周后双侧少量胸腔积液
三、治疗及转归

予患者头孢曲松钠他唑巴坦钠抗感染以及保肝、补液等治疗,其仍持续发热,咳嗽、咳痰,气促明显。2016年2月7日复查胸部CT无好转、双侧胸腔积液较前增多(图 1B),多次血培养阴性,骨髓穿刺检查提示感染骨髓象、无噬血细胞现象。腹部B超示肝、胆、胰、脾未见异常,RF、抗核抗体、抗核抗体谱等均阴性,CRP 196.58 mg/L,IL-6 1 063 pg/ml,降钙素原2.44 ng/ml,ESR 53 mm/h,且呈进行性升高,铁蛋白>1 500 μg/L。考虑患者持续发热、咳嗽、咳痰,胸部CT提示肺炎,予抗生素治疗效果不理想,伴咽痛,白细胞及中性粒细胞明显升高,肝功能异常,RF和抗核抗体均阴性,虽无典型关节痛、皮疹表现,但根据日本AOSD研究委员会提出的诊断标准需考虑排除AOSD的可能,遂予其甲泼尼龙琥珀酸钠80 mg静脉滴注、1次/12 h,治疗5 d后患者仍有高热,且体温高达40.3℃,复查CT见仍有双下肺炎的表现(图 1C),考虑有可能为糖皮质激素(激素)剂量不够,遂将甲泼尼龙琥珀酸钠改为80 mg静脉滴注、1次/8 h,治疗5 d后患者体温降至正常,改用地塞米松10 mg静脉滴注、1次/12 h,持续治疗4 d后改为口服泼尼松50 mg、2次/日,治疗3周后复查CT见双侧仅有少量胸腔积液(图 1D)。1个月后患者体温平稳,咳嗽、咳痰及气促好转,予其带药出院,泼尼松50 mg、2次/日(其后逐渐减量)。出院后随访2周患者体温正常,无咳嗽、咳痰,无心悸、气促等,继续随访半年,其无不适,情况稳定。

讨论

细菌性肺炎在临床上较为常见,临床医师也能快速、准确地作出诊断,AOSD是一种病因未明的罕见的全身系统性炎症疾病,而临床上以双肺细菌性肺炎就诊的不典型AOSD更少见。AOSD无特异性的临床表现和实验室检查指标,目前尚无特异性的诊断标准,临床上多采用排除性诊断,容易被漏诊和误诊,这也可能与临床医师对该病认识不足,病史采集时缺乏经验有关,故应予以重视。

本例患者为中年女性,主要表现为发热、咳嗽、咳痰及肺部湿啰音,胸部CT示左肺下叶渗出,双侧少量胸腔积液,初步诊断:双肺细菌性肺炎,予积极抗感染等对症治疗后,仍持续发热,气促明显,复查胸部CT胸腔积液增多。80%细菌性肺炎患者以肺炎链球菌为主,一般予第二、三代头孢菌素即能控制感染,其中头孢哌酮、头孢曲松钠效果确切[2]。而本例患者在接受头孢曲松钠他唑巴坦钠抗感染后,仍持续发热,且其多次血培养阴性,暂排除其他特殊菌及耐药菌感染的可能,进一步检测RF、抗核抗体及抗核抗体谱等也均为阴性,结合患者有发热、咽痛,血常规示白细胞及中性粒细胞增多,肝功能异常,铁蛋白升高,考虑要排除AOSD的可能,予以激素治疗后患者体温恢复正常,咳嗽、咳痰好转,支持该病的诊断。典型的AOSD常有“发热、关节炎、皮疹”三联征[3]。但本例患者以发热为主要症状,无关节炎、关节痛、皮疹等典型症状,为不典型AOSD。

虽然AOSD诊断较困难,但预后相对较好,故一经确诊,应及早使用激素,可迅速改善症状,防止患者病情进一步加重。因AOSD缺乏特异性,因此鉴别诊断非常重要,需鉴别的疾病较多,在诊断时应对患者整体情况作综合分析,例如应与噬血细胞综合征(HPS)相鉴别,HPS是一种多器官、系统受累,并进行性加重伴免疫功能紊乱的巨噬细胞增生性疾病[4]。美国血液学会HPS-2009诊断意见就已经指出,若出现持续高热,肝、脾肿大或肝功能损害、血细胞减少,应高度怀疑HPS可能[5]。HPS患者的血常规显示白细胞减少,合并感染时可能会增多,骨髓穿刺有噬血细胞现象,而本例患者虽然有持续高热,肝功能损害,但其骨髓穿刺无噬血细胞现象,仅提示感染骨髓象。

综上所述,AOSD的具体发病机制有待进一步的探讨,其诊断困难,应引起临床医师重视,避免因误诊、漏诊而延误病情及延缓最佳治疗时机。如治疗不及时,AOSD患者可能会出现一系列严重并发症如呼吸衰竭、DIC、肝衰竭等甚至死亡[6-8]。本例患者能被成功救治,在于临床医师及时观察病情,早期评估,完善了相关检查,作排除性诊断,并予以了合理剂量的激素治疗,此诊治经验可供临床同道参考。

参考文献
[1]
方荔玮, 吴玉琼. 成人斯蒂尔病合并甲状腺危象一例报告[J]. 新医学, 2011, 42(9): 620-621.
[2]
韩秀文. 抗菌药物治疗细菌性肺炎的临床观察及药物经济学分析[J]. 西部医学, 2011, 23(9): 1791-1792.
[3]
胡钦凤, 顾美华. 血清铁蛋白在成人Still病诊疗中的临床价值[J]. 苏州大学学报, 2008, 28(1): 119-120.
[4]
董家琪, 张林, 邓明明. 抗磷脂综合征合并嗜血细胞综合征误诊1例分析[J]. 重庆医学, 2017, 46(7): 1007-1008.
[5]
Filipovich AH. Hemophagocytic Lymphohistiocytosis(HLH) and related disorders[J]. Hematology Am Soc Hematol Educ Program, 2009, 2009(1): 127-131.
[6]
杨淑君, 赵大勇, 齐俊英. 成人Still病13例死亡病例的相关因素分析[J]. 内科急危重症杂志, 2016, 22(1): 53-55.
[7]
Naniwa T, Tamechika S, Iwagaitsu S, Maeda S, Togawa H. Successful use of higher-dose etanercept for multirefractory systemic flare of adult-onset Still's disease with liver failure with no response to tocilizumab therapy[J]. Case Rep Rheumatol, 2013, 2013: 923497.
[8]
马丽, 钳志晶, 赵孟君, 吴东海. 成人Still病与急性重度肝损害[J]. 中华风湿病学杂志, 2007, 11(8): 489-491.