先天性小肠旋转不良是由于先天肠管异位,形成异常索带或小肠系膜附着不全,以胃肠道表现为主的一种先天性疾病。本病大多发生于新生儿期,典型症状为高位不完全性肠梗阻表现,常反复发生,时轻时重;发生肠扭转时,突出症状为阵发性腹痛和频繁呕吐,是新生儿常见急腹症之一。成人发病罕见,症状体征不具特征性,易漏诊、误诊。该病诊断主要依靠影像学检查,包括B超、CT或MRI、消化道造影等。及时识别该病,特别是出现肠梗阻征象时,并进行手术干预,往往能获得满意的治疗效果[1]。为增加临床医师对成人发病的临床表现及诊治的进一步认识,减少误诊,现将本院收治的1例诊断为成人先天性小肠旋转不良的病例报道如下。
病例资料 一、病史及体格检查患者男,24岁,因反复左上腹痛1年,加重2个月于2016年12月1日收入院。患者于1年前开始出现左上腹绞痛,咳嗽、打喷嚏等腹压增加或体位改变时明显加重,与进食及呼吸无关,可向两侧中上腹及后腰背放射,持续十几分钟后可自行缓解,无发热、恶心、呕吐、腹胀、腹泻、黑便、停止排气排便等不适。既往史及个人史无特殊。体格检查:体温36.6℃,脉搏64次/分,呼吸18次/分,血压128/74 mm Hg(1 mm Hg=0.133 kPa)。神志清晰,颈软,浅表淋巴结未触及肿大,心肺听诊无异常。腹部平坦,无皮疹,无明显压痛,但左上腹存在反跳痛,未触及包块,肝脾肋下未触及,移动性浊音阴性,肠鸣音正常。病理反射未引出,双下肢无水肿。
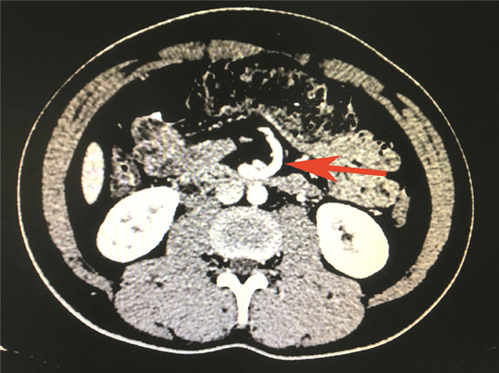
二、实验室及辅助检查血常规、尿常规、粪常规及潜血试验、肝肾功能、电解质、血脂、血糖均无异常。PPD皮试、结核感染T细胞斑点检测以及结核抗体均为阴性。胸部正侧位、腰椎正侧位、腹部立卧位X线检查,肝胆胰脾及泌尿系B超未见异常。上腹部CT加CT血管造影(CTA)示空肠部分旋转至右侧腹,肠曲形态未见异常,肠壁未见水肿;肠系膜上动脉、上静脉分支右旋至右侧腹,旋转角约180°,考虑先天性小肠旋转不良可能性大,见图 1、2。胃镜示慢性非萎缩性胃炎,肠镜示直肠炎症改变。
|
图 1 一例成人先天性小肠旋转不良上腹CTA 箭头所示为肠系膜上血管分支右旋 |
|
图 2 一例成人先天性小肠旋转不良CTA三维重建 箭头所示为肠系膜上动脉分支右旋 |
根据患者青年起病,反复慢性腹痛,位置固定,结合上腹CT加CTA结果,考虑诊断成人先天性小肠旋转不良。入院后予对症止痛、PPI护胃、促消化、调节胃肠动力等治疗后,2016年12月9日行全消化道钡餐造影检查(钡检)未见明确异常,患者亦诉腹痛明显缓解。请外科会诊后示患者目前腹痛缓解,已无肠梗阻表现,暂无手术指征,建议出院后定期随访即可。
讨论在胚胎期的第5周,发育正常的肠管被分为前肠、中肠和后肠,而肠旋转主要涉及中肠,该过程可分为三个阶段。在第一阶段中肠先突出胚外腔,然后以肠系膜上动脉为轴心按逆时针方向第一次旋转90°,此时头支在右,尾支在左,最后退回胎儿腹腔;在第二阶段中肠继续按逆时针方向进行第二次旋转180°。通过前两阶段中肠共旋转270°,结果头支在左,尾支在右。这两次旋转使得十二指肠在肠系膜上动脉后形成“C”字环状,十二指肠空肠连接处位于脊柱左侧,升结肠位于右边,横结肠位于上边,降结肠位于左边。第三阶段则实现了肠系膜的融合和固定,最终升降结肠由结肠系膜附着于后腹壁,盲肠降至右髂窝,小肠系膜从Treitz韧带开始,由左上方斜向右下方,全固定于后腹壁[1-2]。所以当中肠不旋转、旋转不全或反向旋转、盲肠不下降、肠系膜固定障碍时,可出现异常索带(Ladd韧带)或盲肠升结肠压迫十二指肠,引起十二指肠梗阻表现;或者由于小肠系膜不再是从左上至右下附着于后腹壁,而是凭借狭窄的肠系膜上动脉根部悬挂于后腹壁所致活动性增大,可发生小肠扭转而导致急性小肠梗阻,甚至因肠系膜血运障碍而引起小肠的广泛坏死[3]。
根据既往资料,先天性小肠旋转不良发病率约为0.2%,但近来也有文献报道其发病率可达1%,这可能与影像学的发展提高了诊断率有关[4-5]。
大多数先天性小肠旋转不良发病于新生儿期,成人时才出现症状的罕见,极少数患者可终身无任何症状。新生儿期发病的典型表现多为:出生后有正常胎粪排出,3~5 d后出现间歇性呕吐,呕吐物中含有胆汁;十二指肠梗阻一般是不完全性的,发生时上腹膨隆,有时可见蠕动波,而剧烈呕吐后即平坦萎陷;患儿可因反复梗阻造成消瘦、脱水。发生肠扭转时,多会出现阵发性腹痛和频繁呕吐;部分轻度扭转可因体位改变而自动复位后缓解;部分不能自动复位或扭转加重,导致肠管坏死,从而出现全腹膨隆、压痛、腹肌紧张、血便及休克等症状[3, 6]。
对于成人才发现肠旋转不良的,其症状体征大多不典型,几乎不出现急性肠扭转。据相关文献报道,其表现可为慢性腹痛、腹胀、呕吐、便秘或腹泻[7]。其中约79%表现为腹痛,约13%可出现肠梗阻的症状,约8%的患者无任何症状[8]。本例患者为成人发病,表现为反复左上腹疼痛不适,腹压增大时加重,无其他特殊不适。
先天性小肠旋转不良最终需要手术确诊,但通过影像学手段有助于术前诊断。具体包括:① 腹部X线检查表现为高位肠梗阻征象,可见胃和十二指肠第一段扩张并有液平面,小肠内仅有少量气体,呕吐后腹部平片可为正常。② 钡剂灌肠显示大部分结肠位于左腹部,盲肠位于上腹部或左侧。③ 全消化道造影显示十二指肠空肠连接处位置异常,多在右上腹部,此为肠旋转不良特征性表现;也可显示盲肠不在右下腹部。④ CT或MRI显示肠管分布异常,肠系膜上动脉与静脉错位,约21%可形成“漩涡征”。⑤ 腹部B超可通过对肠系膜上血管的异常来判断。⑥ 腹腔镜或剖腹探查有助确诊[9-10]。
本例就是通过上腹CT及CTA检查发现空肠部分旋转至右侧腹,肠系膜上动脉、上静脉分支右旋至右侧腹,旋转角约180°,从而考虑诊断成人先天性小肠旋转不良。之后可能由于自动复位,行全消化道钡检时未见异常,患者亦诉腹痛已明显缓解。
因成人发病的症状体征不典型,所以临床上成人先天性小肠旋转不良很容易漏诊及误诊,应注意与其他疾病相鉴别。对于以高位肠梗阻为表现的患者,需要与十二指肠狭窄或闭锁、环状胰腺、肠系膜上动脉综合征等其他十二指肠壅积症相鉴别,其鉴别要点是:① 十二指肠狭窄或闭锁:全消化道钡检可显示胃及十二指肠高度扩张,但无盲肠及升结肠位置异常,CT或B超检查亦无肠系膜上血管分布异常表现;② 环状胰腺:全消化道钡检显示十二指肠降段狭窄,但屈氏韧带、小肠及结肠位置正常,胃及十二指肠无扩张,增强CT显示十二脂肠降段可见强化的胰腺组织包绕;③ 肠系膜上动脉综合征:全消化道钡检示十二指肠水平部见钡柱垂直中断,呈“笔杆征”,受阻近端肠管可出现顺逆蠕动构成的钟摆运动,俯卧位时钡剂可顺利通过,逆蠕动消失,但无肠管异位表现,同时血管造影可计算肠系膜上动脉与主动脉夹角。此外,对于临床考虑先天性小肠旋转不良合并十二指肠狭窄或闭锁、环状胰腺等先天性发育异常时,如有屈氏韧带或盲肠、结肠位置的异常或CT示“漩涡征”,可先考虑肠旋转不良的诊断;若腹部X线检查同时示胃及十二指肠显著扩张,应考虑合并有十二指肠闭锁的可能;若影像学检查示狭窄端位于十二指肠降端,应考虑合并有环状胰腺的可能;但这些诊断最终还是需要手术证实[11]。对于仅以慢性间歇性腹痛为表现的患者,例如本例患者,应与胃食管反流病、消化性溃疡、慢性胃炎、慢性胰腺炎、小肠憩室、肝胆疾病、结核性腹膜炎及以慢性腹痛为表现的其他系统疾病如血卟啉病、腹型过敏性紫癜等相鉴别,应仔细询问病史、结合慢性腹痛的特点及伴随的全身其他表现、完善胃肠镜检查或予以诊断性治疗,当排除以上疾病时,应考虑到先天性小肠旋转不良可能,并及时完善CT、消化道钡检等检查以早期确诊[12]。对于慢性腹泻或便秘的患者,在排除常规的相关疾病如感染性疾病、炎症性疾病、全身性疾病所致腹泻后亦应考虑到该病可能。
治疗上,该病患者如无肠梗阻或肠扭转表现,可予对症治疗并定期随访。本例患者因腹痛入院,CT检查后考虑诊断成人先天性小肠旋转不良,但由于无肠梗阻表现,经内科保守治疗后腹痛明显缓解,全消化道钡检亦未见异常,遂暂不行手术治疗,出院后定期随访。而对于反复出现肠梗阻的患者,则需要行手术治疗,经典术式为Ladd手术。其要点为根据不同情况松解压迫十二指肠的膜状索带和黏连,彻底解剖十二指肠和游离盲肠,整复扭转的小肠,使十二指肠沿着左腹直下,将小肠置于腹腔右侧,将盲肠和结肠置于腹腔左侧,同时切除阑尾,有肠坏死者行受累肠段的切除吻合术。因肠旋转不良常同时并发多种畸形,故术中应注意多发畸形的探查,避免漏诊[4, 13-14]。
综上所述,先天性小肠旋转不良成人发病罕见,且因临床症状体征缺乏特征性,容易误诊。所以对于不明原因的腹痛或伴腹胀、呕吐、停止排便排气的患者,需要行B超、CT或消化道钡检来排除此病可能。如有肠梗阻及时行手术治疗,预后良好。
| [1] |
Sözen S, Güzel K. Intestinal malrotation in an adult: case report[J]. Ulus Travma Acil Cerrahi Derg, 2012, 18(3): 280-282. DOI:10.5505/tjtes.2012.60973 |
| [2] |
Sadler TW, Langman J. Langman's medical embryology[M]. 9th ed. Philadelphia, PA: Lippincott Williams & Wilkins, 2004, 60-100.
|
| [3] |
兰平. 先天性肠旋转不良[M]. 8版. 北京: 人民卫生出版社, 2013, 383-384.
|
| [4] |
James AW, Zarnegar R, Aoki H, Campos GM. Laparoscopic gastric bypass with intestinal malrotation[J]. Obes Surg, 2007, 17(8): 1119-1122. DOI:10.1007/s11695-007-9188-x |
| [5] |
Adams SD, Stanton MP. Malrotation and intestinal atresias[J]. Early Hum Dev, 2014, 90(12): 921-925. DOI:10.1016/j.earlhumdev.2014.09.017 |
| [6] |
李光泽, 向丽, 刘伟, 李晓庆, 金先庆, 王佚. 154例不同年龄先天性肠旋转不良临床比较分析[J]. 激光杂志, 2013, 34(5): 111-113. |
| [7] |
Seymour NE, Andersen DK. Laparoscopic treatment of intestinal malrotation in adults[J]. JSLS, 2005, 9(3): 298-301. |
| [8] |
Husberg B, Salehi K, Peters T, Gunnarsson U, Michanek M, Nordenskjöld A, Strigård K. Congenital intestinal malrotation in adolescent and adult patients: a 12-year clinical and radiological survey[J]. Springer Plus, 2016, 5: 245. DOI:10.1186/s40064-016-1842-0 |
| [9] |
姚我, 潘文胜. 成人先天性小肠旋转不良长期误诊1例[J]. 中国当代医药, 2015, 22(30): 171-173. |
| [10] |
胡贵华, 刘毅. 成人先天性肠旋转不良的影像分析[J]. 实用医技杂志, 2015, 22(5): 508-509. |
| [11] |
王斌, 杨维民, 韩淑珍, 齐凤华, 颜有霞, 黄波涛. 先天性肠旋转不良的影像学诊断[J]. 中国现代医生, 2010, 48(19): 93-94. DOI:10.3969/j.issn.1673-9701.2010.19.056 |
| [12] |
胡品津, 谢灿茂. 内科疾病鉴别诊断学[M]. 6版. 北京: 人民卫生出版社, 2014, 496-522.
|
| [13] |
裘宇辉, 汪晨, 楼毅, 王爱和. 婴儿肠旋转不良47例诊治分析[J]. 中华危重症医学杂志, 2015, 8(1): 43-44. |
| [14] |
顾志成, 孙庆林, 汪健, 张锡庆, 朱锦祥. 小儿先天性肠旋转不良——附63例报告[J]. 新医学, 2001, 32(12): 719-721. DOI:10.3969/j.issn.0253-9802.2001.12.006 |

