败血症是临床上较为常见的危重疾病,病死率可高达50%以上,其原因主要是与先天免疫系统中的巨噬细胞以及内皮细胞所产生大量的细胞因子如TNF-α、IL-1、IL-6、IL-8等相关[1-2]。其中内毒素血症是由于血中细菌或病灶内细菌死亡溶解或用人工方法破坏菌细胞后释放出大量内毒素至血液,或输入大量内毒素污染的液体而引起的一种病理生理表现。内毒素本质是革兰阴性菌细胞壁上的脂多糖,是诱发机体内炎症反应的主要致病因子。肝脏既是清除内毒素的场所,也是内毒素血症易受损的靶器官之一。内毒素诱导的肝脏损伤是多种肝病的主要病理生理基础[3-4]。目前很多研究发现,肝脏枯否细胞内激活多种信号通路,产生大量的细胞因子诱发的炎症反应是内毒素诱导的肝脏损伤的关键机制[5]。
短链脂肪酸(SCFA)是指由肠道菌群通过发酵食物中未被小肠吸收消化的膳食纤维而产生的碳链为1-6的有机脂肪酸,主要包括乙酸、丙酸、丁酸等[6]。大量研究表明,通过调节炎症因子的生成,SCFA可以干预炎症反应,它们还可以参与改变嗜中性粒细胞的功能和迁移,抑制TNF-α和1L-1β诱导的细胞黏附分子表达[7]。此外,SCFA还能通过阻断INF-γ通路调节炎症性肠病的炎症反应[8]。因此SCFA在炎症反应的发生过程中起着重要的调节作用,研究其是否能够抑制肝脏枯否细胞过量产生致炎因子从而缓解内毒素诱导的肝脏损伤具有重要意义。
材料与方法 一、实验动物无特定病原体(SPF)C57/bl6小鼠40只,雌性,6~8周龄,体质量20~25 g,购自广东省医学实验动物中心(动物合格证号:44007200037958),严格按照SPF级要求,饲养于中山大学附属第三医院疫苗研究所动物中心,所有的程序均按照实验室动物的护理和使用指南进行。
二、实验试剂和仪器 1. 主要实验试剂及抗体丁酸钠(Sigma,美国),脂多糖(Sigma,美国),ALT试剂盒(Cusabio,武汉),AST试剂盒(Cusabio,武汉),Trizol试剂盒(Magen,北京),qPCR逆转录试剂盒(TOYOBO,上海),苏木素-伊红染料(中杉金桥, 北京),EDTA抗原修复液(pH6.0)(中杉金桥,北京),TUNEL试剂盒(Roche,瑞士),二氨基联苯胺(DAB)试剂盒(DAKO,Denmark/上海基因科技公司)等。
2. 主要仪器低温高速冷冻离心机(Eppendorf公司,德国),PCR仪(Labnet,美国),Nanodrop 2000微量紫外分光光度计(Thermo Scientific,美国),Real-time PCR专用仪CXFconnet(Bio-RAD公司,美国),酶标仪(BIO-TEK,EXL-800,美国),荧光倒置显微镜(Leica,德国),正置显微镜(Leica,德国),免疫组织化学(组化)笔(上海基因科技公司)等。
三、实验方法 1. 建立内毒素诱导的肝脏损伤模型40只雌性小鼠随机分成丁酸钠+内毒素组、内毒素组、丁酸钠组、正常对照组,每组10只。丁酸钠+内毒素组:预处理予腹腔注射丁酸钠500 mg/kg,30 min后腹腔注射内毒素5 mg/kg[1]。内毒素组:预处理予腹腔注射相对应量的生理盐水,30 min后腹腔注射内毒素5 mg/kg。丁酸钠组:预处理予腹腔注射丁酸钠500 mg/kg,30 min后相对应量的生理盐水。正常对照组:2个时间点分别腹腔注射等量的生理盐水。
2. 标本采集与处理腹腔注射脂多糖6 h后,10%水合氯醛麻醉,眼球内眦静脉丛采血,再行开腹手术,迅速分离取下肝脏组织,将部分肝脏组织保存于液氮中,待提取蛋白质或RNA,剩余部分放入10%甲醛固定液中固定制作石蜡标本;血浆在室温静置1 h后以1 000转/分离心3 min,取上层血清保存于-80℃冰箱。
3. ELISA检测ALT、AST水平根据各ELISA试剂盒说明书,分别检测4组血清中ALT、AST水平。
4. 肝脏组织RNA提取及逆转录各组取适量肝脏组织,按照Trizol试剂说明书进行提取肝脏组织RNA,并用Nanodrop 2000微量紫外分光光度计测定提取的RNA浓度及纯度;按照TOYOBO逆转录试剂盒说明书将RNA逆转录合成cDNA;应用SYBR Green法对目的基因TNF-α、IL-1β、IL-6及内参基因β-actin进行Real-time PCR扩增。
5. 苏木素-伊红染色石蜡切片,经过脱蜡和阶梯水化后,苏木素液染核1~3 min,后于流动的蒸馏水中洗去苏木素液,PBST返蓝,伊红染色5~60 s,自来水漂洗,显微镜下观察染色效果后用中性树胶封片。
6. 免疫组化染色石蜡切片经过脱蜡和阶梯水化后,置于3%H2O2中室温10 min以消除内源性过氧化物酶;将切片放入pH 6.0的柠檬酸钠缓冲液中进行高温高压热修复抗原3 min;待温度冷却至室温后取出切片,免疫组化笔画圈;用5%牛血清白蛋白(BSA)封闭,室温孵育10 min;滴加15~20 μl一抗(1:200),4℃孵育过夜; PBST泡洗5 min,滴加15~20 μl辣根过氧化物酶标记的二抗(1:400),37℃孵育2 h;DAB显色5 s~10 min,自来水漂洗5 min;苏木素复染;显微镜下观察染色效果,防止过染,中性树胶封片。正置显微镜下进行观察拍照及结果分析:双盲法随机选取20个视野,采用Image-Pro Plus 6.0图像分析软件进行结果分析。
7. TUNEL检测及凋亡指数参照Roche公司的TUNEL试剂产品说明书进行凋亡指数检测,DAB显色后细胞核呈棕褐色为阳性。每张切片随机选取20个视野,计算阳性细胞数和肝细胞总数,凋亡指数=阳性细胞数/上皮细胞总数×100%。
四、统计学处理应用SPSS 21.0进行统计学分析。实验数据的计量资料以x±s表示,多组间比较应用单因素方差分析,两两间比较采用LSD-t检验,P<0.05为差异有统计学意义。
结果 一、各处理组别小鼠血清中ALT、AST的含量与正常对照组的ALT、AST水平比较,丁酸钠组无明显差异(P>0.05);内毒素组和丁酸钠+内毒素组均升高,差异均有统计学意义(P均<0.001);而丁酸钠+内毒素组较内毒素组的ALT、AST水平降低,差异均有统计学意义(P均<0.001),见表 1。
| 表 1 各处理组小鼠血清中AST、ALT的含量分析(n=10, mU/ml, x±s) |
与正常对照组相比,丁酸钠组肝脏炎症因子TNF-α、IL-1β、IL-6 mRNA水平无明显差异(P>0.05);内毒素组上述指标的mRNA水平则升高,差异均有统计学意义(P均<0.01);丁酸钠+内毒素组TNF-α、IL-6 mRNA水平升高,差异均有统计学意义(P均<0.01),而IL-1β mRNA水平无明显差异(P>0.05);丁酸钠+内毒素组较内毒素组上述指标的mRNA水平降低,差异均有统计学意义(P均<0.01),见表 2。
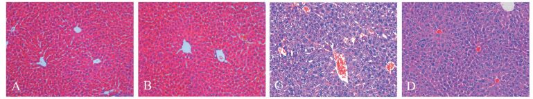
三、各处理组小鼠肝脏苏木素-伊红染色对肝脏损伤的评估丁酸钠组与正常对照组小鼠的肝脏组织无明显异常(图 1A、B);内毒素组表现为明显肝内淤血,肝细胞肿胀致正常肝窦间隙消失,失去正常的肝索结构,绝大部分肝细胞胞浆疏松化,炎症细胞浸润增加(图 1C);丁酸钠+内毒素组的病理显示肝内淤血,部分肝细胞胞浆疏松化,炎症细胞浸润增加(图 1D)。
| 表 2 不同处理组别小鼠肝脏炎症因子的相对mRNA表达情况分析(n=10, x±s) |
|
图 1 各处理组小鼠肝脏苏木素-伊红染色(×200) A:正常对照组;B:丁酸钠组;C:内毒素组;D:丁酸钠+内毒素组 |
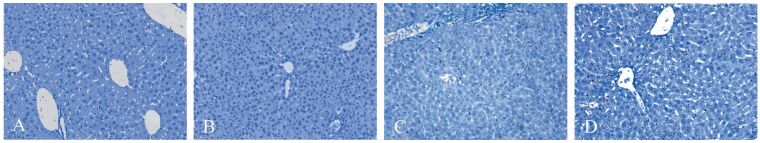
丁酸钠组与正常对照组小鼠的肝脏组织内鲜见MPO阳性信号(图 2A、B),而内毒素组肝脏组织内MPO阳性信号增多(图 2C)。丁酸钠+内毒素组可见散在MPO信号(图 2D),每个组织样品免疫组化染色随机计数900个细胞,记录阳性信号细胞数。经统计分析发现,内毒素组MPO阳性细胞数是丁酸钠+内毒素组阳性细胞数的2.39±0.30倍,2组比较差异有统计学差异(LSD-t=13.56, P<0.01)。
|
图 2 各处理组小鼠肝脏免疫组化MPO染色检测炎症因子浸润的情况(MPO免疫组化染色,×200) A:正常对照组;B:丁酸钠组;C:内毒素组;D:丁酸钠+内毒素组 |
丁酸钠组与正常对照组小鼠的肝脏组织内未见TUNEL阳性信号(图 3A、B),丁酸钠+内毒素组可见个别TUNEL信号(图 3D),而内毒素组肝脏组织内可见些许TUNEL凋亡信号(图 3C)。每个组织样品染色随机计数900个细胞,记录阳性信号细胞数。经统计分析发现,内毒素组TUNEL阳性信号是丁酸钠+内毒素组阳性信号数的4.89±2.17倍,2组比较差异有统计学差异(LSD-t=6.01, P<0.01)。
|
图 3 各处理组小鼠肝脏TUNEL染色检测肝脏细胞凋亡情况(×200) A:正常对照组;B:丁酸钠组;C:内毒素组;D:丁酸钠+内毒素组;红色指示阳性信号 |
SCFA能够为肠黏膜细胞提供能量,还能调节人体肠道菌群,有很多研究表明它可以预防结肠癌的发生,具有抗肿瘤的作用,此外还有调节炎症反应的作用[10-11]。Cabezas等[12]就有利用膳食纤维发酵产生SCFA来抑制大肠炎症反应的研究。而我们的结果证明了腹腔注射丁酸钠可以缓解内毒素诱导的急性肝脏炎症反应,与绝大多数研究结果一致。GPR41、GPR43是SCFA的受体,它们位于同一条染色体上,是G蛋白偶合家族的组成成分,具有30%~40%的同源性,但是组织分布不一样,GPR43主要高表达于造血组织,单核细胞等免疫细胞。Vinolo等[13]采用了SCFA中的乙酸盐可以减轻机体免疫反应,证明乙酸通过激活免疫细胞GPR43来减轻炎症。本研究证实了丁酸钠可以缓解内毒素诱导的急性肝脏炎症反应,其具体机制仍待进一步深入探究。
丁酸是可吸收酸,在正常机体内,由肠道菌群发酵产生的丁酸很少,血液循环中的丁酸是较微量的,因此刺激免疫细胞发挥抗炎作用能力较弱。虽然我们的研究是予以腹腔注射500 mg/kg这一较大剂量的丁酸钠,却未出现明显酸中毒等过量表现,而且可以缓解内毒素诱导的急性肝损伤。在肠道低剂量的丁酸是受体依赖性的吸收,大剂量时是浓度梯度依赖的自由穿梭吸收[14-15]。因此我们猜测通过外源性给予胃肠道补充丁酸,比如服用丁酸钠或产丁酸的益生菌如丁酸梭菌,可能可以通过提高血液里的丁酸浓度达到预防和缓解急性炎症反应的目的,这方面的研究急需开展。
肝硬化、肝功能衰竭等常常出现肝昏迷,而丁酸是酸性物质,肠道补充丁酸或产丁酸的益生菌是否可以用于预防肝昏迷值得探讨和研究。另外肝硬化、肝衰竭等患者常常发生内源性内毒素血症,而且对内毒素灭活能力降低,会进一步加重肝损伤,因此肠道补充丁酸或产丁酸的益生菌是否对此类患者肝功能起到一定的保护作用的研究也非常值得开展。
| [1] |
Zhu YG, Qu JM. Toll like receptors and inflammatory factors in sepsis and differential expression related to age[J]. Chin Med J (Engl), 2007, 120(1): 56-61. |
| [2] |
Blackwell TS, Christman JW. Sepsis and cytokines: current status[J]. Br J Anaesth, 1996, 77(1): 110-117. DOI:10.1093/bja/77.1.110 |
| [3] |
Enomoto N, Ikejima K, Bradford BU, Rivera CA, Kono H, GotoM, Yamashina S, Schemmer P, Kitamura T, Oide H, Takei Y, Hirose M, Shimizu H, Miyazaki A, Brenner DA, Sato N, ThurmanR G. Role of Kupffer cells and gut-derived endotoxins in alcoholic liver injury[J]. J Gastroenterol Hepatol, 2000, 15(Suppl): D20-D25. |
| [4] |
Kudo H, Takahara T, Yata Y, Kawai K, Zhang W, Sugiyama T. Lipopolysaccharide triggered TNF-alpha-induced hepatocyte apoptosis in a murine non-alcoholic steatohepatitis model[J]. J Hepatol, 2009, 51(1): 168-175. DOI:10.1016/j.jhep.2009.02.032 |
| [5] |
Li JD, Peng Y, Li Q, Xiao JW, Gong JP, Liu ZJ. Potential protective effect of nuclear factor-kappaB decoy oligodeoxynucleotides on endotoxin-induced liver injury[J]. Transplant Proc, 2011, 43(10): 3613-3617. DOI:10.1016/j.transproceed.2011.10.046 |
| [6] |
Koh A, De Vadder F, Kovatcheva-Datchary P, Bäckhed F. From dietary fiber to host physiology: short-chain fatty acids as key bacterial metabolites[J]. Cell, 2016, 165(6): 1332-1345. DOI:10.1016/j.cell.2016.05.041 |
| [7] |
Le Poul E, Loison C, Struyf S, Springael JY, Lannoy V, Decobecq ME, Brezillon S, Dupriez V, Vassart G, Van Damme J, Parmentier M, Detheux M. Functional characterization of human receptors for short chain fatty acids and their role in polymorphonuclear cell activation[J]. J Biol Chem, 2003, 278(28): 25481-25489. DOI:10.1074/jbc.M301403200 |
| [8] |
Klampfer L, Huang J, Sasazuki T, Shirasawa S, Augenlicht L. Inhibition of interferon gamma signaling by the short chain fatty acid butyrate[J]. Mol Cancer Res, 2003, 1(11): 855-862. |
| [9] |
蒋梦萍, 禤婕滢, 徐春, 罗千江, 尉秀清. β-arrestin2在内毒素诱导的肝脏损伤中的作用[J]. 新医学, 2016, 47(2): 84-87. |
| [10] |
Cox MA, Jackson J, Stanton M, Rojas-Triana A, Bober L, Laverty M, Yang X, Zhu F, Liu J, Wang S, Monsma F, Vassileva G, Maguire M, Gustafson E, Bayne M, Chou CC, Lundell D, Jenh CH. Short-chain fatty acids act as antiinflammatory mediators by regulating prostaglandin E(2) and cytokines[J]. World J Gastroenterol, 2009, 15(44): 5549-5557. DOI:10.3748/wjg.15.5549 |
| [11] |
Sun M, Wu W, Liu Z, Cong Y. Microbiota metabolite short chain fatty acids, GPCR, and inflammatory bowel diseases[J]. J Gastroenterol, 2017, 52(1): 1-8. DOI:10.1007/s00535-016-1242-9 |
| [12] |
odríguez-Cabezas ME, Gálvez J, Camuesco D, Lorente MD, Concha A, Martinez-Augustin O, Redondo L, Zarzuelo A. Intestinal anti-inflammatory activity of dietary fiber (Plantago ovata seeds) in HLA-B27 transgenic rats[J]. Clin Nutr, 2003, 22(5): 463-471. DOI:10.1016/S0261-5614(03)00045-1 |
| [13] |
Vinolo MA, Rodrigues HG, Hatanaka E, Hebeda CB, Farsky SH, Curi R. Short-chain fatty acids stimulate the migration of neutrophils to inflammatory sites[J]. Clin Sci (Lond), 2009, 117(9): 331-338. DOI:10.1042/CS20080642 |
| [14] |
Lecona E, Olmo N, Turnay J, Santiago-Gómez A, López de Silanes I, Gorospe M, Lizarbe MA. Kinetic analysis of butyrate transport in human colon adenocarcinoma cells reveals two different carrier-mediated mechanisms[J]. Biochem J, 2008, 409(1): 311-320. DOI:10.1042/BJ20070374 |
| [15] |
Rajendran VM, Binder HJ. Characterization and molecular localization of anion transporters in colonic epithelial cells[J]. Ann N Y Acad Sci, 2000, 915: 15-29. |

