支气管哮喘(哮喘)是以反复发作的呼气性呼吸困难和可逆性气流受限为特点的慢性炎症性疾病,其病理特征为气道慢性炎症、气道高反应和气道重塑。有报道,气道重塑在哮喘早期就已出现并呈现进行性发展,致使患者肺功能降低,严重影响患者日常生活,同时气道重塑降低了哮喘患者对肾上腺皮质激素(激素)的敏感性,这也是哮喘迁延难愈的原因之一[1]。目前能够对抗和缓解哮喘气道重塑的药物较少。迄今为止,多项研究表明转化生长因子-β1(TGF-β1)、血管内皮生长因子(VEGF)参与哮喘早期气道重塑过程,同时两者也参与炎症反应的调节并且相互促进,更进一步地刺激气道重塑的形成[2-3]。细辛脑是从传统中药石菖蒲中提取的有效成分,目前在临床的哮喘治疗方面应用比较广泛[4]。细辛脑具有缓解患者临床症状,改善肺部通气功能,促进痰液排出,减轻气道黏膜充血水肿并保护气道黏膜等作用,但是其具体作用途径的探索国内外均少有涉及。所以,本研究目的在于通过制备哮喘模型小鼠,并给予细辛脑干预以探讨细辛脑是否能够影响TGF-β1和VEGF的水平而起到治疗哮喘作用,为临床用药提供基础理论依据。
材料与方法 一、实验动物BALB/C雌性小鼠30只,6~8周龄,体质量15~20 g,购于山东大学动物实验中心,于室温20~22℃条件下饲养,自由进食及饮水。
二、主要试剂细辛脑雾化液由辽宁玉皇药业有限公司提供,规格为10 ml:24 mg、鸡清卵蛋白(OVA),购于美国Sigma公司;980超声雾化仪由上海新天缘医疗设备有限公司提供;TGF-β1、VEGF ELISA试剂盒均购自上海心语生物科技有限公司;TGF-β1抗体、VEGF抗体购自美国Abcam公司。
三、方法 1. 动物分组及哮喘模型的制备将上述30只小鼠按照随机数字表法分为3组:哮喘组、细辛脑组和对照组,每组各10只小鼠。哮喘组和细辛脑组每只小鼠分别在第1、8日腹腔注射OVA致敏混悬液(0.1 mg OVA加1 mg氢氧化铝溶于2 ml生理盐水)0.5 ml,对照组每只小鼠给予注射含有氢氧化铝凝胶的生理盐水0.5 ml。第15日起,将哮喘组和细辛脑组的小鼠置于自制箱中(30 cm×25 cm×30 cm)雾化吸入2 ml 25%OVA溶液,每日1次,连续1周,对照组给予等量(2 ml)生理盐水代替。细辛脑组分别在雾化OVA溶液2 h前雾化吸入50%细辛脑雾化液10 ml[5],雾化40 min。对照组在此同时给予等量生理盐水雾化吸入[6]。
2. 标本的采集第21日最后1次完成致敏后,用10%水合氯醛麻醉小鼠后,将小鼠固定在解剖台上,解剖胸颈部组织,暴露气管并连接留置针,缓慢地将生理盐水注入两肺,回收灌洗液,置于冰上保存,随后以4 ℃、1 500转/分离心5 min,收集上清液。取出支气管和肺组织,置于4%多聚甲醛中固定,用于制片后苏木素-伊红(HE)染色和图像采集。
3. 细胞计数肺泡灌洗液(BALF)离心后,取上清液并存于-80℃冰箱,ELISA检测备用;将沉淀物制作涂片染色,在显微镜下观察细胞形态并进行细胞计数和分类,排除上皮细胞及红细胞,记录细胞总数和中性粒细胞、嗜酸性粒细胞(EOS)、巨噬细胞和淋巴细胞分类情况。
4. 肺脏组织HE染色和图像的采集取各组小鼠4%多聚甲醛固定的肺组织,常规脱水、包埋及石蜡切片,经染色、脱水、中性树胶封片,然后于显微镜下观察各组小鼠气道管壁损伤程度、炎症细胞的浸润情况和基底膜厚度。
5. 肺泡灌洗液中TGF-β1和VEGF的测定使用ELISA测定肺泡灌洗液中TGF-β1和VEGF的含量,严格按各试剂盒说明书操作,测出各个样本指标的OD值,再根据所测的OD值换算各自水平。
四、统计学处理使用SPSS 17.0处理所得数据。计量资料以x±s表示,多组比较行单因素方差分析,组间两两比较采用LSD-t检验。P<0.05为差异有统计学意义。
结果 一、制模结果激发致敏后,哮喘组小鼠毛发干枯无泽,烦躁不安,有气促、憋喘症状,饮食差,体质量下降;细辛脑组小鼠生命体征平稳,毛发欠光泽,活动轻度受限,未见明显气促、憋喘症状,饮食一般,体质量无明显变化;对照组上述指标无明显变化。
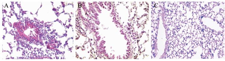
二、3组小鼠的肺组织病理检查结果对照组小鼠支气管黏膜下及管腔周围无炎性细胞浸润,管腔规则完整,肺泡结构完整清晰,基底膜无增厚、断裂情况,无新生血管形成。哮喘组小鼠支气管管腔狭窄,管壁增厚,黏膜充血、水肿,伴有炎症细胞浸润,基底膜增厚不规则,有新生血管形成。细辛脑组小鼠也有前述哮喘组的病理特点,但程度轻于较哮喘组,见图 1。
|
图 1 3组小鼠的肺组织病理检查结果(HE染色,×200) A:哮喘组;B:细辛脑组;C:对照组 |
哮喘组小鼠BALF中TGF-β1和VEGF水平均高于对照组(P均<0.01),细辛脑组小鼠BALF中TGF-β1和VEGF水平均低于哮喘组(P均<0.01),见表 1。
| 表 1 3组小鼠BALF中TGF-β1和VEGF水平比较(x±s) |
哮喘组的细胞总数及各类细胞计数均多于细辛脑组和对照组(P均<0.01),细辛脑组的中性粒细胞、EOS计数均多于对照组(P均<0.01),见表 2。
| 表 2 3组小鼠BALF中细胞总数及分类情况(x±s) |
哮喘是一种可逆性气流受限的慢性炎症性疾病,由多种炎症细胞及细胞组分参与并分泌异常炎性因子。在哮喘发生、发展过程中,其病理特征除了表现为气道慢性炎症、气道高反应之外,同时伴随有气道管壁结构的变化,即气道重塑。气道重塑是哮喘病理发展的典型特征之一[7]。哮喘的反复发作以及伴随的反复慢性炎症刺激,逐步使气道管壁发生病理学改变,如上皮细胞增生、胶原沉积、基底膜增厚、气道平滑肌细胞以及血管增生等气道重塑性改变[8]。既往研究认为,细胞网络因子失衡是哮喘发生的重要节点[9-11]。有研究显示,TGF-β1及VEGF在气道重塑方面占据重要地位,对炎症反应的调节也有相应的影响[2-3]。本研究也得到类似的结论。
TGF-β1是辅助性T细胞2型(Th2)细胞分泌的细胞因子,具有很强的致纤维化、抗炎及促炎的三重作用,还可调节细胞的生长和分化,其在肝、肺、肾等脏器的纤维化病理过程中扮演着重要角色[12]。在哮喘发病过程中,TGF-β1可一定程度地抑制炎性细胞的活化及气道高反应,但是随着其水平的升高,可引起管壁的纤维化,刺激平滑肌细胞分裂和增殖,气道平滑肌增生肥厚,最终导致气道炎症反应加重和气道重塑[13]。另外,TGF-β1使Th2型细胞寿命延长,刺激VEGF等相关炎症因子释放过多,进一步加重炎症反应,进而促进气道重塑的发生[14]。VEGF又称血管渗透因子,能够刺激血管增生,增加肺部血管的通透性,致使血浆蛋白渗出,进一步导致基底膜变厚和上皮下组织纤维化, 并且促进气道平滑肌增殖肥大,加重气道重塑[15-16]。此外,VEGF对哮喘的炎症反应亦有影响。Feistritzer等(2004年)研究发现,VEGF能够刺激EOS的活化、趋化而增加气道炎症反应,VEGF亦可自身分泌VEGF而加重炎症反应。Lopoz-Guisa等[17]研究发现,TGF-β和VEGF在哮喘儿童气道上皮细胞中增高明显,体外实验中TGF-β可诱导VEGF mRNA表达,而又有文献报道VEGF能够活化Th2型细胞,介导其释放TGF-β1,从而使哮喘病情进一步加重[3]。可见TGF-β1、VEGF两者在功能上相互促进,使炎症反应和气道重塑不断地强化,这可能是哮喘反复发作、持久不愈的原因。细辛脑是中药石菖蒲中提炼出来的有效成分之一,在临床上用于神经系统疾病的治疗,也多与其他药物联合运用治疗哮喘,但其作用机制还不清楚。TGF-β1、VEGF在哮喘发病和气道重塑中起着重要作用,因此,我们推测细辛脑可能通过干预两者的表达而影响哮喘的气道重塑,达到临床治疗的目的。
多数学者的研究已表明,TGF-β1和VEGF参与了哮喘气道重塑。本研究中,哮喘组小鼠肺泡灌洗液TGF-β1和VEGF的水平均高于对照组,这与Lopoz-Guisa等[17]研究结果类似,同时HE染色显示哮喘组小鼠有明显的气道结构改变,细辛脑组气道结构的变化较对照组有明显好转,TGF-β1和VEGF水平均低于哮喘组,表明细辛脑干预可下调TGF-β1、VEGF水平和抑制炎性细胞浸润,进而可能在一定程度上抑制了气道重塑,缓解了哮喘病情进展,为临床用药和其治疗作用机制的研究提供了理论依据。
综上所述,细辛脑干预能够降低哮喘小鼠TGF-β1和VEGF的表达,并可能通过降低两者的表达间接影响哮喘的气道重塑,从而达到治疗哮喘的效果。但是鉴于研究条件的局限性,本研究还存在很多不足之处,如TGF-β1、VEGF的表达对气道重塑情况的影响以及细辛脑干预后气道重塑的具体病理改变在本研究尚未涉及和探索,研究结果尚待进一步的研究和验证。
| [1] |
da Silva AL, Martini SV, Abreu SC, Samary Cdos S, Diaz BL, Fernezlian S, de Sá VK, Capelozzi VL, Boylan NJ, Goya RG, Suk JS, Rocco PR, Hanes J, Morales MM. DNA nanoparticle-mediated thymulin gene therapy prevents airway remodeling in experimental allergic asthma[J]. J Control Release, 2014, 180: 125-133. DOI:10.1016/j.jconrel.2014.02.010 |
| [2] |
Itoigawa Y, Harada N, Harada S, Katsura Y, Makino F, Ito J, Nurwidya F, Kato M, Takahashi F, Atsuta R, Takahashi K. TWEAK enhances TGF-β-induced epithelial-mesenchymal transition in human bronchial epithelial cells[J]. Respir Res, 2015, 16: 48. DOI:10.1186/s12931-015-0207-5 |
| [3] |
Shifren A, Witt C, Christie C, Castro M. Mechanisms of remodeling in asthmatic airways[J]. J Allergy (Cairo), 2012, 2012: 316049. |
| [4] |
刘砚韬, 张伶俐, 黄亮, 曾力楠. 细辛脑注射液治疗儿童呼吸系统疾病的有效性及安全性的系统评价[J]. 中华妇幼临床医学杂志, 2015, 11(6): 689-697. |
| [5] |
黄传君, 张永莲, 丁雁启, 邓鹏辉, 赵方正, 李文文, 张才擎. 细辛脑联合布地奈德干预哮喘小鼠气道重塑以及炎症因子的表达[J]. 中华临床医师杂志, 2017, 11(9): 1540-1544. |
| [6] |
李鸿佳, 张才擎, 于翠香, 刘粉, 盖庆玲, 吴金香, 赵继平, 董亮. Th17淋巴细胞及相关细胞因子加重哮喘小鼠气道炎症[J]. 细胞与分子免疫学杂志, 2012, 28(11): 1126-1128. |
| [7] |
Jang AS, Kwon HS, Cho YS, Bae YJ, Kim TB, Park JS, Park SW, Uh ST, Choi JS, Kim YH, Hwang HK, Moon HB, Park CS. Identification of subtypes of refractory asthma in Korean patients by cluster analysis[J]. Lung, 2013, 191(1): 87-93. DOI:10.1007/s00408-012-9430-8 |
| [8] |
蔡亮鸣, 王昭妮, 陈壮桂. 间充质干细胞对重症支气管哮喘治疗作用的研究进展[J]. 新医学, 2017, 48(5): 285-292. |
| [9] |
Asher MI. Recent perspectives on global epidemiology of asthma in childhood[J]. Allergol Immunopathol (Madr), 2010, 38(2): 83-87. DOI:10.1016/j.aller.2009.11.002 |
| [10] |
Meyer N, Akdis CA. Vascular endothelial growth factor as a key inducer of angiogenesis in the asthmatic airways[J]. Curr Allergy Asthma Rep, 2013, 13(1): 1-9. DOI:10.1007/s11882-012-0317-9 |
| [11] |
Gao YD, Cao J, Li P, Huang G, Yang J. Th2 cytokine-primed airway smooth muscle cells induce mast cell chemotaxis via secretion of ATP[J]. J Asthma, 2014, 51(10): 997-1003. DOI:10.3109/02770903.2014.939283 |
| [12] |
Koczy-Baron E, Kasperska-Zając A. The role of vascular endothelial growth factor in inflammatory processes[J]. Postepy Hig Med Dosw (Online), 2014, 68: 57-65. DOI:10.5604/17322693.1086360 |
| [13] |
Yamada Y, Mashima H, Sakai T, Matsuhashi T, Jin M, Ohnishi H. Functional roles of TGF-β1 in intestinal epithelial cells through Smad-dependent and non-Smad pathways[J]. Dig Dis Sci, 2013, 58(5): 1207-1217. DOI:10.1007/s10620-012-2515-7 |
| [14] |
Yang YC, Zhang N, Van Crombruggen K, Hu GH, Hong SL, Bachert C. Transforming growth factor-beta1 in inflammatory airway disease: a key for understanding inflammation and remodeling[J]. Allergy, 2012, 67(10): 1193-1202. DOI:10.1111/j.1398-9995.2012.02880.x |
| [15] |
Gomułka K, Liebhart J. Vascular endothelial growth factor-structure, function and role in airways inflammation and the clinical course of asthma[J]. Pneumonol Alergol Pol, 2009, 77(6): 549-553. |
| [16] |
Smith R. Is VEGF a potential therapeutic target in asthma?[J]. Pneumologia, 2014, 63(4): 197-199. |
| [17] |
Lopez-Guisa JM, Powers C, File D, Cochrane E, Jimenez N, Debley JS. Airway epithelial cells from asthmatic children differentially express proremodeling factors[J]. J Allergy Clin Immunol, 2012, 129(4): 990-997. DOI:10.1016/j.jaci.2011.11.035 |

