富细胞性血管纤维瘤(CAF)是一种少见的良性间叶性肿瘤,于1997年由Nucci等[1]首次报道4例中年女性的外阴CAF。随后,Laskin等[2]报道了11例发生于男性阴囊和腹股沟区、与前者有着相似临床病理特征的软组织肿瘤,并证实两者为同一类肿瘤。2002年WHO正式将这类肿瘤命名为CAF[3]。目前,国内对该类病例的研究较少,为此本文报道了1例右侧大阴唇CAF,并对现有的相关文献进行复习讨论,以探讨CAF的临床表现、病理特征、治疗及疾病预后。
病例资料 一、病史及体格检查患者女,39岁。因发现外阴肿物4月余于2016年10月8日收入我院。患者在4月余前自行触及一外阴肿物,约花生米大小,可活动,无红肿,无痛痒,无溃烂、渗液,无腹痛、性交痛,无白带异常,无阴道异常流血、流液。于外院就诊,查妇科彩色多普勒超声(彩超)提示外阴囊实性肿物,内见血流信号,考虑纤维瘤可能,建议行手术治疗。患者未遵医嘱。后肿物逐渐长大,至鸡蛋大小,其余症状同前,遂至我院就诊。患者平素月经规律,13岁月经初潮,月经周期28~31 d,持续5~7 d。末次月经2016年9月17日。月经量中等,色暗红,无痛经、血块,无异常阴道流血史,白带无异常。已婚、已育,孕1产1,顺产一子,体健。配偶体健。既往史、个人史无特殊。
入院体格检查:体温36.6℃,脉搏78次/分,呼吸20次/分,血压94/62 mm Hg(1 mm Hg=0.133 kPa)。神志清晰,精神好。心、肺、腹未见明显异常。妇科检查:外阴发育正常,阴毛分布正常。右侧大阴唇中上方触及一肿物,大小约5 cm×4 cm,实性,质韧,无触痛,局部无潮红,活动度可,表面光滑,边界清晰。阴道:通畅,未见异常分泌物,黏膜光滑,无充血、水肿;子宫颈光滑,正常大小,无接触性出血;子宫体后位,质中,正常大小,无压痛。双附件区未触及明显包块,无触痛。
二、实验室及辅助检查血常规:血红蛋白129 g/L,白细胞7.59×109/L,血小板323×109/L。妇科肿瘤标志物:甲胎蛋白1.99 μg/L,癌胚抗原1.11 μg/L,糖类抗原125 16.6 kU/L,糖类抗原19-9<2.0 kU/L,鳞状上皮细胞癌抗原0.6 μg/L,人附睾蛋白4为25.4 pmol/L。
妇科彩超:子宫的形态、大小正常,内膜厚径8 mm,肌层回声均匀,双附件区未见明显异常,右侧大阴唇可见低回声区,大小为34 mm×11 mm×41 mm,边界清晰,可见条状动脉血流信号,阻力指数0.51,考虑外阴良性肿瘤,结缔组织来源可能。尿常规、生化、肝功能、出凝血、术前筛查、胸部X线片、心电图、肝胆胰脾彩超及泌尿系彩超均未见明显异常。
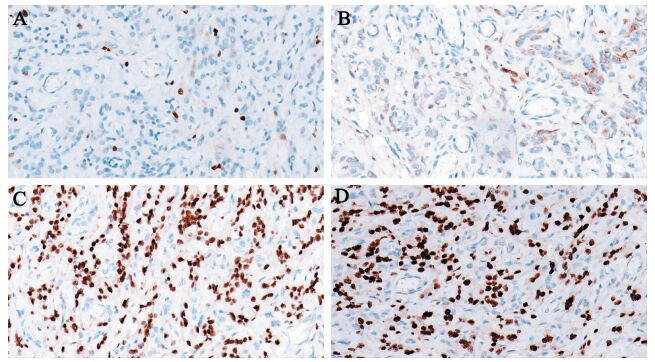
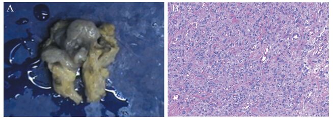
三、治疗与转归排除手术禁忌证后于2016年10月9日全身麻醉下行外阴肿物切除术。切除的肿物呈结节状,大小为4.5 cm×4.2 cm,局部隆起,表面光滑,质韧,剖开见切面灰红(图 1A)。术后镜下病理:肿物由弥漫分布的短梭形细胞或卵圆形细胞构成,伴间质均匀分布的小血管(图 1B)。免疫组织化学染色:瘤细胞Ki-67约1%阳性(图 2A),Desmin弱阳性(图 2B),雌激素受体(ER)阳性(图 2C),孕激素受体(PR)阳性(图 2D)。病理诊断:右侧大阴唇CAF。术后6 h患者恢复半流质饮食,术后5 d患者伤口愈合良好,予拆线后顺利出院。随访1年未见复发。
|
图 1 该例CAF的大体标本及镜下特征 A:大体标本,该例CAF为结节状肿块,大小4.5 cm×4.2 cm,局部隆起,表面光滑,质韧,切面灰红;B:镜下特征(苏木素-伊红染色,×200),该例CAF由弥漫分布的短梭形细胞或卵圆形细胞构成,瘤细胞核大小形态一致,异型性不明显,未见核分裂像,伴间质均匀分布的小血管 |
|
图 2 该例CAF的免疫组织化学染色结果(×400) A:Ki-67约1%阳性;B:Desmin弱阳性;C:ER阳性;D:PR阳性 |
CAF是一种少见的良性间叶性肿瘤,男、女性均可发病。现有报道大多认为女性的发病率高于男性,男女比例约为1:6.6,女性的平均发病年龄为46岁,男性为70岁后[4-5]。CAF多发生于生殖区[6]。但亦有少数报道指CAF可生长于头颈部、臀部、膝部、胸部、腋窝及四肢等[7-11]。CAF患者就诊时的肿瘤直径一般为0.6~12.3 cm[12]。目前报道最大的CAF是20 cm×15 cm×10 cm[5]。肿瘤多为实性,生长于浅表软组织,有着与其他良性肿瘤相似的大体特点,如生长缓慢、表面光滑、与周围组织分界清晰、无压痛等[13-14]。大多数CAF患者无疼痛、发热等不适,仅以自行触及肿块作为唯一的临床症状,并且多数患者在肿瘤生长早期未能察觉肿块,这与本文病例类似[11]。
由于CAF缺乏特征性的临床表现,且临床上较为少见,其术前诊断存在一定困难。CAF需与其他常见的生殖区肿瘤鉴别,如梭形细胞脂肪瘤、血管平滑肌纤维母细胞瘤、血管黏液瘤等[17]。B超是目前诊断CAF的最重要辅助检查[18]。然而,由于CAF的临床表现及B超结果等与其他良性纤维瘤相似,故CAF需要经术后病理才能确诊。在显微镜下,CAF常由生长在纤维基质中、弥漫分布的短梭形细胞或卵圆形细胞构成,伴微细的胶原纤维束及大量在基质中均匀分布的小血管[6]。部分病例亦可见淋巴细胞或少量的中性粒细胞散在分布其中[11]。术后病理标本的免疫组织化学染色是确诊CAF的重要手段。相关报道显示,约60%的CAF为CD34阳性,10%Desmin阳性,这提示肿瘤可能是成纤维细胞来源而不是平滑肌纤维母细胞来源[19]。Ki-67是一种与细胞增殖密切相关的核抗原,ER可通过增强细胞增殖活性发挥促进子宫内膜生长的作用,两者的表达水平往往与细胞增殖状态呈正相关[20]。Ki-67和ER在CAF中均有阳性表达,表明CAF的细胞增殖活性较高。此外,ER与PR分别在35%及55%的CAF病例中阳性表达,提示性激素在肿瘤的发生、发展中可能起着重要作用。实际上,CAF多发生于围绝经期及绝经后女性,这从另一方面提示肿瘤的生长与性激素水平有关。然而,CAF的发病机制至今尚未清楚。有研究提示性激素、自由基及人乳头瘤病毒E7肿瘤蛋白与CAF发生、发展有关,但该结论仍没有足够的证据支持[21]。本例患者的肿物由弥漫分布的短梭形细胞或卵圆形细胞构成,瘤细胞Ki-67约1%阳性、Desmin弱阳性、ER阳性、PR阳性,故确诊为CAF。
单纯手术切除是CAF的主要治疗手段,绝大多数病例术后可得到治愈。Mandato等[12]纳入了79例患者进行分析,其中有48例患者进行了3~40个月的随访,结果显示包括不典型及肉瘤样转化的病理类型在内的CAF患者均未出现复发或转移。亦有研究显示,12例CAF患者的14个月随访中,均未出现复发或转移[13]。目前相关文献中仅报道了2例术后复发的CAF,尚未有CAF远处转移的报道[15-16]。本例患者随访1年,亦未见肿瘤复发。
综上所述,CAF属于罕见的良性肿瘤,缺乏特异性的临床表现及影像学特征,故临床上对于生殖区的无痛性肿块,需注意CAF的可能。术后病理及免疫组织化学是确诊CAF的重要手段。CAF的镜下病理特征是肿瘤由梭形细胞或卵圆形细胞构成,伴胶原纤维束及大量均匀分布的小血管;免疫组织化学染色可见肿瘤部分ER及PR阳性,提示肿瘤的生长与性激素水平有关。手术切除是主要的治疗手段,且绝大多数可达到治愈的效果,但仍需要定期复查。
| [1] |
Nucci MR, Granter SR, Fletcher CD. Cellular angiofibroma: a benign neoplasm distinct from angiomyofibroblastoma and spindle cell lipoma[J]. Am J Surg Pathol, 1997, 21(6): 636-644. DOI:10.1097/00000478-199706000-00002 |
| [2] |
Laskin WB, Fetsch JF, Mostofi FK. Angiomyofibroblastomalike tumor of the male genital tract: analysis of 11 cases with comparison to female angiomyofibroblastoma and spindle cell lipoma[J]. Am J Surg Pathol, 1998, 22(1): 6-16. DOI:10.1097/00000478-199801000-00002 |
| [3] |
Fletcher, Christopher DM. Pathology and genetics of tumours of soft tissue and bone[M]. Lyon: IARC Press, 2002.
|
| [4] |
Hlaing T, Tse G. Angiomyofibroblastoma of the male perineum: an unusual location for a rare lesion[J]. Int J Surg Pathol, 2000, 8(1): 79-82. DOI:10.1177/106689690000800115 |
| [5] |
Aydin Ü, Terzi H, Turkay Ü, Eruyar AT, Kale A. A giant vulvar mass: a case study of cellular angiofibroma. Case Rep Obstet Gynecol, 2016;2016: 2094818.
|
| [6] |
Flucke U, van Krieken JH, Mentzel T. Cellular angiofibroma: analysis of 25 cases emphasizing its relationship to spindle cell lipoma and mammary-type myofibroblastoma[J]. Mod Pathol, 2011, 24(1): 82-89. DOI:10.1038/modpathol.2010.170 |
| [7] |
Eversole LR. Cellular angiofibroma of oral mucosa: report of two cases[J]. Head Neck Pathol, 2009, 3(2): 136-139. DOI:10.1007/s12105-009-0112-7 |
| [8] |
Omori Y, Saeki H, Ito K, Umezawa Y, Ishiji T, Ota A, Fukunaga M, Nakagawa H. Extragenital subcutaneous cellular angiofibroma of the elbow[J]. J Eur Acad Dermatol Venereol, 2014, 28(6): 828-830. DOI:10.1111/jdv.2014.28.issue-6 |
| [9] |
An S, Song JS, Park S, Lee JW, Cho KJ. Mammary-type myofibroblastoma: a report of two cases[J]. J Pathol Transl Med, 2016, 50(5): 385-389. DOI:10.4132/jptm.2016.03.26 |
| [10] |
张小伟, 黄必飞, 陈艳, 吴爱姣, 王利宏. 左中指富于细胞性血管纤维瘤一例[J]. 中华手外科杂志, 2015, 31(6): 412. |
| [11] |
Iwasa Y, Fletcher CD. Cellular angiofibroma: clinicopathologic and immunohistochemical analysis of 51 cases[J]. Am J Surg Pathol, 2004, 28(11): 1426-1435. DOI:10.1097/01.pas.0000138002.46650.95 |
| [12] |
Mandato VD, Santagni S, Cavazza A, Aguzzoli L, Abrate M, La Sala GB. Cellular angiofibroma in women: a review of the literature[J]. Diagn Pathol, 2015, 10: 114. DOI:10.1186/s13000-015-0361-6 |
| [13] |
Chen E, Fletcher CD. Cellular angiofibroma with atypia or sarcomatous transformation: clinicopathologic analysis of 13 cases[J]. Am J Surg Pathol, 2010, 34(5): 707-714. |
| [14] |
Rebonato A, D'Andrea A, Scialpi M. Painless but problematic. Imaging modalities were useful in the diagnosis and treatment of an unusual tumor. Am J Obstet Gynecol, 2013, 208(3): 237. e1-e2.
|
| [15] |
McCluggage WG, Perenyei M, Irwin ST. Recurrent cellular angiofibroma of the vulva[J]. J Clin Pathol, 2002, 55(6): 477-479. |
| [16] |
Das S, Sahu M, Adhya AK, sahoo RK. Combined surgical and medical management for recurrent cellular angiofibroma of vulva in a young female——a case report[J]. Int J Sci Rep, 2016, 2(1): 25-28. DOI:10.18203/issn.2454-2156.IntJSciRep20160090 |
| [17] |
Kazakov DV, Spagnolo DV, Stewart CJ, Thompson J, Agaimy A, Magro G, Bisceglia M, Vazmitel M, Kacerovska D, Kutzner H, Mukensnabl P, Michal M. Fibroadenoma and phyllodes tum-ors of anogenital mammary-like glands: a series of 13 neoplasms in 12 cases, including mammary-type juvenile fibroadenoma, fibroadenoma with lactation changes, and neurofibromatosis-associated pseudoangiomatous stromal hyperplasia with multinucleated giant cells[J]. Am J Surg Pathol, 2010, 34(1): 95-103. DOI:10.1097/PAS.0b013e3181c6e5c5 |
| [18] |
Wolf B, Horn LC, Handzel R, Einenkel J. Ultrasound plays a key role in imaging and management of genital angiomyofibroblastoma: a case report[J]. J Med Case Rep, 2015, 9: 248. DOI:10.1186/s13256-015-0715-4 |
| [19] |
Emtage JB, Parker J, Marcet JE, Finan J, Lockhart JL, Hernandez DJ. A large cellular angiofibroma of the male pelvis presenting with obstructive voiding: a case report and review of the literature[J]. Can Urol Assoc J, 2013, 7(5-6): E373-E375. DOI:10.5489/cuaj.1222 |
| [20] |
封意兰, 谌小卫. 雌激素受体、孕激素受体和细胞增殖核抗原在绝经前子宫内膜息肉中的表达及其临床意义[J]. 新医学, 2015, 46(4): 236-239. |
| [21] |
Yim EK, Park JS. The role of HPV E6 and E7 oncoproteins in HPV-associated cervical carcinogenesis[J]. Cancer Res Treat, 2005, 37(6): 319-324. DOI:10.4143/crt.2005.37.6.319 |

