文章快速检索     高级检索
  新医学  2018, Vol. 49 Issue (1): 70-73  DOI: 10.3969/j.issn.0253-9802.2018.01.015
0

引用本文 [复制中英文]

吕慧. 阴道黏液表皮样癌一例[J]. 新医学, 2018, 49(1): 70-73.
Lyu Hui. Mucous epidermoid carcinoma of the vagina: report of one case[J]. Journal of New Medicine, 2018, 49(1): 70-73.

文章历史

收稿日期:2017-07-20
阴道黏液表皮样癌一例
吕慧     
214002 无锡, 江苏省无锡市第二人民医院病理科
摘要: 原发于阴道的阴道黏液表皮样癌十分罕见。该文报道一例原发于阴道的黏液表皮样癌患者诊治经过。该例患者以发现阴道肿块4个月,进行性增大1个月为主诉,入院完善检查后予阴道肿瘤切除术。术后病理检查示其肿瘤组织主要由表皮样细胞、黏液细胞及中间型细胞构成,免疫组织化学染色示低分子量细胞角蛋白、高分子量细胞角蛋白等阳性表达,细胞增殖指数Ki-67约20%阳性,阿尔新蓝-过碘酸雪夫染色阳性。术后2周患者至外院进一步行近距离放射治疗及6个周期的辅助性化学治疗。随访显示患者恢复良好,无复发。原发性阴道黏液表皮样癌的预后与病理分型、临床分期及受累部位相关,除少数早期患者可手术切除外,多以放射治疗为主,辅以化学治疗。
关键词: 阴道    黏液表皮样癌    
Mucous epidermoid carcinoma of the vagina: report of one case
Lyu Hui     
Department of Pathology, Wuxi NO.2 People's Hospital, Wuxi 214002, China
Abstract: Primary vaginal mucous epidermoid carcinoma (MEC) is extremely rare. Herein, we reported the diagnosis and treatment of one case of primary vaginal MEC. She had the chief complaints of vaginal masses for four months which were progressively enlarged for one month. After complete examinations, she underwent the resection of vaginal tumors. Postoperative pathological examination demonstrated that the malignant tumor tissues mainly consisted of epidermal-like cells, mucous cells and intermediate cells. Immunohistochemical staining revealed the positive expression of low-and high-molecular weight cytokeratin. Approximately 20% of the Ki-67 was positive. The AB-PAS staining yielded positive outcomes. At postoperative two weeks, she was transferred to another hospital and received brachytherapy and six cycles of auxiliary chemotherapy. Subsequent follow-up revealed the patient was well recovered without recurrence. The clinical prognosis of primary MEC is correlated with the pathological classification, clinical staging and involved sites. Surgical resection is recommended for a few patients with early primary MEC. Radiotherapy remains the primary approach, supplemented with chemotherapy.
Key words: Vaginal    Mucous epidermoid carcinoma    

黏液表皮样癌(MEC)是一种常见于腮腺的恶性肿瘤,也可发生于小唾液腺及支气管。原发于阴道的MEC十分罕见,国内外报道很少[1]。现结合一例阴道原发MEC的临床特征与病理特点,复习相关文献,探讨该肿瘤的治疗与预后,以提高临床医师对此类肿瘤的认识水平。

病例资料 一、病史及体格检查

患者女,49岁,因发现阴道肿块4个月,进行性增大1个月于2017年4月2日收入院。4个月前患者体检时发现阴道肿块,未有重视,起病以来偶有外阴疼痛不适,无明显外阴瘙痒,自觉肿块近1个月进行性增大,近半个月无明显诱因出现阴道排液,稀薄蛋清样,有腥臭味。为求进一步诊治,遂来我院就诊。患者孕21,23岁首产。平素月经尚规律,月经周期25~30 d,持续3~5 d,量中等。末次月经2017年3月20日,持续5 d,量中等。既往体健,无手术史。

二、体格检查

体温36.5 ℃,脉搏70次/分,呼吸17次/分,血压120/80 mm Hg(1 mm Hg=0.133 kPa)。胸部、腹部及脊柱等查体无明显异常。妇科检查:外阴已婚已产型,于阴道后壁近处女膜缘处可触及一4.0 cm×3.0 cm×2.5 cm大小肿块,表面光滑,质地中等,边界清,蒂部略粗,无明显压痛。宫颈轻度炎症,口闭,无接触性出血,无举摆痛。子宫体中位,正常大小,无压痛,活动性好。双侧附件无触及明显肿块。

三、实验室及辅助检查

血常规示血红蛋白144 g/L,白细胞6.5×109/L,红细胞4.6×1012/L。癌胚抗原、糖类抗原125、糖类抗原19-9、糖类抗原153及甲胎蛋白等肿瘤标志物均正常。妇科B超示右侧附件囊性结构,大小约34 mm×29 mm,透声差。

四、诊治经过

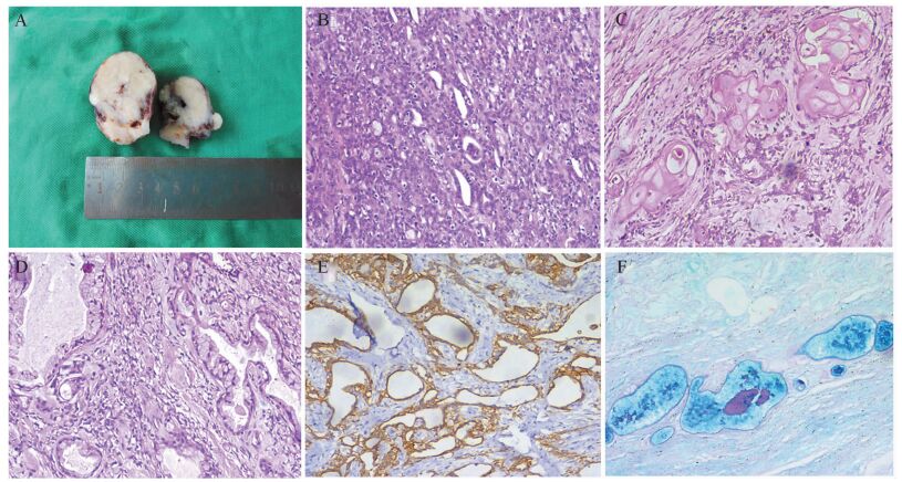
临床诊断:①阴道肿瘤,平滑肌瘤可能性大;②右侧附件囊肿。患者于2017年4月6日在我院行阴道肿瘤切除术。术中见阴道后壁近处女膜缘处一约4.0 cm×4.0 cm ×3.5 cm大小的肿块,表面光滑,有一粗蒂,无明显压痛。完整切除阴道壁肿块。右侧附件囊肿嘱患者定期随访复查。病理检查示:肿块一个,类椭圆形,大小4.5 cm×4.0 cm×3.5 cm,切面灰白灰黄色,编织状,质地较韧,部分区域有黏液感,境界清(图 1A)。镜检示:肿瘤组织位于皮下,黏液细胞、表皮样细胞和中间型细胞混合存在,大部分区域见上皮样细胞和中间型细胞片状或巢团状浸润性生长(图 1BC),部分腺管样结构内衬黏液柱状上皮,散在少量黏液细胞(图 1D),部分可见胞浆丰富的透亮细胞,肿瘤组织侵犯血管。免疫组织化学染色示低分子量细胞角蛋白(CKL)阳性,高分子量细胞角蛋白(CKH)阳性(图 1E),细胞角蛋白5/6(CK5/6)阳性,抑癌基因p63阳性,细胞增殖指数Ki-67约20%阳性,细胞角蛋白7(CK7)阴性,间皮细胞(MC)阴性,细胞角蛋白20(CK20)阴性。特殊染色:阿尔新蓝-过碘酸雪夫染色(AB-PAS)阳性(图 1F)。病理诊断:阴道肿瘤,结合免疫酶标肿瘤细胞黏液染色阳性,考虑MEC,分化中等。术后患者恢复良好,无明显不适。患者术后2周至上海肿瘤医院进行进一步近距离放射治疗及6个周期的辅助性化学治疗(具体方案不明)。2017年8月25日于本院门诊进行复查,各肿瘤标志物均正常,MRI检查无盆腔淋巴结转移。电话随访至撰稿日无复发。

图 1 一例阴道黏液表皮样癌患者的病理检查结果 A:肿瘤切面灰白色,编织状,境界清;B:中间型细胞呈索状分布(苏木素-伊红染色,×100);C:表皮样细胞及中间型细胞呈巢团状(苏木素-伊红染色,×100);D:黏液细胞不规则腺管样分布及索状分布(苏木素-伊红染色,×100);E:肿瘤细胞呈CKH阳性(免疫组织化学染色,×200);F:AB-PAS染色阳性(×200)
讨论

原发性阴道恶性肿瘤很少见,约占女性生殖系统恶性肿瘤的1%~2%[2]。而原发于阴道的MEC则更罕见。MEC最常发生于涎腺、泪腺、舌下腺、腮腺及颌下腺,也可发生于支气管及宫颈等部位[3]。在最新的WHO分类中,阴道MEC并未被列为一个单独的分类,而是归类于腺鳞癌。研究者发现,此类肿瘤有环腺苷酸应答元件组合蛋白转录共同激活因子1(CRTC1)和主导控制样蛋白2(MAML2)基因的重排(这2种基因异位常见于小涎腺MEC)[4]。在所有分析过的宫颈及阴道腺鳞癌中,无一例出现这2种基因重排,表明阴道MEC与普通腺鳞癌不同。MEC的癌组织一般由具有特征性的3种细胞构成,即黏液细胞、表皮样细胞和中间型细胞,其中黏液细胞呈立方形、柱状或杯状,含有黏液卡红和PAS染色阳性且抗淀粉酶的黏多糖,通常位于癌巢中心区,呈实性或腺管状排列,部分黏液细胞分泌的黏液可进入间质内形成不规则的黏液腔隙,腔内无被覆上皮。表皮样细胞呈多边形,可见细胞间桥,偶见角化珠,呈铺砖样或巢状排列,核深染,核分裂较少,一般位于黏液细胞外侧。中间型细胞呈柱状,大小形态较一致似表皮的基底细胞,具有多向分化潜能。表皮样细胞越多,恶性程度越高,而黏液细胞越多,恶性程度越低,以中间型细胞为主的MEC则恶性程度中等。MEC原发于阴道十分罕见[5]。本例阴道MEC在形态学上与腮腺的MEC相似。肿瘤组织主要由上皮样细胞和中间细胞构成,以巢团状及索状排列为主要形态,穿插分布于肌层肌纤维中,无明显核分裂象或坏死。AB-PAS染色显示黏液细胞分泌黏液。MEC可能来源于黏膜下的一种黏液腺,开口于黏膜表面,并与黏膜下层的腺泡相连。据文献推断,此类肿瘤可能是黏膜固有腺的腺管上皮和腺泡细胞同时发生的癌变[6]

因为阴道MEC很罕见,临床表现为肿瘤进行性增大,除此之外无明显疼痛或其他不适症状,且阴道MEC中有类似于鳞状上皮的成分及索状和管状结构,有时由于取材不够充分,易误诊为鳞状细胞癌或低分化腺癌。所以,在作出明确诊断之前,病理医师应该排除以下几种可能:①低分化鳞状细胞癌,分化差的鳞癌可以伴有腺样分化,腺癌伴有鳞癌分化也很常见,但镜下鳞状细胞癌的癌细胞为多边形,一般见不到MEC典型的充满黏液的黏液细胞。特殊染色中鳞状细胞癌AB-PAS阴性。②低分化腺癌,阴道低分化腺癌通常来源于阴道黏液腺的恶变,癌细胞呈杯状或印戒细胞样,呈索状或片状分布,可能具有多中心性的特点。其在形态学、免疫组织化学及流行病学特征与腺癌类似。预后通常较差。③分化差的腺鳞癌,腺鳞癌是具有腺癌和鳞癌2种分化特征的罕见的高度恶性肿瘤[7]。大部分为鳞状细胞癌,仔细观察后可发现少量腺癌成分,但无黏液细胞,常见角化现象。免疫组织化学可显示:鳞癌成分CK(L),CK5/6,CK(H)等标记呈阳性,腺癌成分CK7呈阳性。④由于原发性阴道恶性肿瘤比较罕见,诊断时应注意排除来自女性生殖器官或生殖器官外的肿瘤转移至阴道的可能。

阴道MEC治疗提倡个体化。由于解剖部位特殊,根治性手术损伤较大,所以绝大多数患者选择以保守治疗为主,部分早期患者可选择手术治疗[8]。阴道MEC患者多提倡放射治疗,可以与化学治疗联合使用,但单纯放射治疗效果不佳,多为辅助治疗手段[9]。大多数患者由于发现不及时,多死于肿瘤复发或广泛转移。研究显示,MEC较常见于年轻患者,并且与淋巴结的转移风险增加相关[10]。其预后还与血管侵犯、核分裂等因素有关。本例患者肿瘤虽恶性程度较高,但无周围淋巴结转移,发现较及时,切除较彻底。

综上所述,原发于阴道的MEC十分罕见,文献中仅有个案报道,未见对该肿瘤的预后分析。MEC好发于中青年患者,本例发病年龄为49岁,临床表现为进行性增大的阴道肿物。诊断时应注意继发性阴道恶性肿瘤的可能。Fu等[11]报道,该肿瘤具有侵袭性生长方式,有转移及复发的潜能,越位于浅表的肿瘤预后越好。治疗方式以放射治疗为主,辅以化学治疗,早期肿瘤手术效果较好。治疗过程强调个体化,要综合考虑患者年龄、肿瘤的分期及部位等情况选择治疗方式。近年来,三维适形放射治疗、同步放射和化学治疗及新辅助化学治疗在阴道癌的治疗中也愈显优势,这些进展需要我们进一步研究及掌握,以期待能尽快用于临床治疗,提高患者的生存质量。

参考文献
[1]
张熔熔, 朱小红. 皮肤黏液表皮样癌2例临床病理分析[J]. 中华皮肤科杂志, 2014, 47(12): 896-898. DOI:10.3760/cma.j.issn.0412-4030.2014.12.019
[2]
Di Donato V, Bellati F, Fischetti M, Plotti F, Perniola G, Panici PB. Vaginal cancer[J]. Crit Rev Oncol Hematol, 2012, 81(3): 286-295. DOI:10.1016/j.critrevonc.2011.04.004
[3]
张柏林, 陈可欣. 12例原发性支气管黏液表皮样癌临床分析[J]. 中华放射肿瘤学杂志, 2003, 12(1): 61.
[4]
Lennerz JK, Perry A, Mills JC, Huettner PC, Pfeifer JD. Mucoepidermoid carcinoma of the cervix: another tumor with the t(11;19)-associated CRTC1-MAML2 gene fusion[J]. Am J Surg Pathol, 2009, 33(6): 835-843. DOI:10.1097/PAS.0b013e318190cf5b
[5]
Turkyilmaz A, Eroulu A, Gursan N. Muco-qpidermoid carcinoma of the Oesophagus; a case report[J]. Acta Chir Belg, 2009, 109(3): 416. DOI:10.1080/00015458.2009.11680452
[6]
梁运梅, 闻春艳, 王雪梅, 陈桂秋. 食管黏液表皮样癌临床病理学特征并文献复习[J]. 中国实验诊断学, 2010, 14(12): 2011-2012. DOI:10.3969/j.issn.1007-4287.2010.12.051
[7]
姚圆圆, 郝吉庆. 支气管黏液表皮样癌1例报告并文献复习[J]. 罕见少见疾病杂志, 2013, 20(4): 54-56.
[8]
沈坚, 崔恒, 丰有吉. 常见妇科恶性肿瘤诊治指南[M]. 北京: 人民卫生出版社, 2014, 25-26.
[9]
陈娇, 孔为民. 原发性阴道癌的治疗进展[J]. 临床肿瘤学杂志, 2015, 20(6): 568-571.
[10]
Samlal RA, Ten Kate FJ, Hart AA, Lammes FB. Do mucin-secreing squamous cell carecinomas of the uterine cervix metastasize more frequently to pelvic lymph nodes? A case-control study[J]. Int J Pathol, 1998, 17(3): 201-204. DOI:10.1097/00004347-199807000-00002
[11]
Fu JM, McCalmont T, Yu SS. Adenosquamous carcinoma of the skin: a case series[J]. Arch Dermatol, 2009, 145(10): 1152-1158.