甲状腺癌是常见的内分泌肿瘤, 其组织学类型以甲状腺乳头状癌(PTC)最多, 大约占所有甲状腺癌的70%~90%, 其发生、发展与基因遗传、社会因素等相关, 也涉及多种基因的改变[1-3]。高分辨力超声的发展使得PTC的检出率和诊断特异性取得巨大进展, 但仍存在不足, 超声引导下细针抽吸细胞学检查是目前术前诊断甲状腺癌的标准方法, 特异性高, 但其最大的缺点在于仍存在约15%~25%细胞学不确定性(根据Bethesda分类法) [4]。
各种基因检测可提高超声引导细针穿刺活组织检查(活检)的诊断性能, 尤其是BRAF基因突变, 因为其在PTC中的高突变率和高特异性而受到更多的关注[5-6]。许多研究也表明BRAF基因突变与可疑超声表现存在相关性。但是, 目前较少文献对PTC的超声特征与BRAF基因突变之间的关系进行研究, 由于肿瘤的径线不同, 导致其表现也多种多样[7]。因此, 本研究对PTC样本的BRAF基因变异、超声特征以及病理学表现进行分析研究。
对象与方法 一、研究对象收集2016年1月至2017年10月在深圳市第二人民医院诊断为PTC或者微小乳头状癌的病例247例, 病灶最大径均至少0.5 cm。所有病例均保有完整病理信息、超声信息和临床资料, 包括一般情况、病理诊断以及必要的免疫组织化学(组化)信息。所有病例均知情同意, 可疑病灶的FNA及BRAF基因检测均是在手术之前进行。247例患者中, 病理细胞学结果显示190例为PTC, 50例为可疑乳头状癌, 6例为细胞不典型表现, 1例为滤泡性结节。其中5例为不典型细胞学表现患者因为具典型PTC超声征象接受手术, 另外1例行超声引导下粗针组织学活检后证实为PTC。1例滤泡性结节患者, 由于超声引导下引流区域淋巴结粗针活检显示为来源于甲状腺的转移癌而接受手术。
所有患者均接受甲状腺全切术或次全切术, 预防性或者治疗性的中央区淋巴结清扫。对经针吸细胞学活检证实或术中发现具有可疑转移的进行颈侧区淋巴结清扫。
二、超声检查、病理检查及基因突变检测超声检查:使用百胜MYLAB-TWICE进行甲状腺检查, 线阵探头, 频率3~13 MHz。超声扫查为具10年甲状腺专科方面超声经验的医师进行。所有超声检查均在BRAF突变检测前进行。分析以下超声征象:囊实性、回声性质(高回声、等回声、低回声以及极低回声)、钙化情况(微钙化, 粗大钙化和无钙化)及形状(纵横比)。超声表现中微钙化、形态不规则或分叶, 极低回声, 长轴垂直于皮肤等认为是恶性征象。
病理检查:全部病例由1~2名高年资病理医师重新阅片复诊。病理学记录包含患者的性别、年龄等。主要关注的病理资料:肿瘤的测值, BRAF基因突变检测结果, 结节数目, 是否包膜外侵袭, 中央区及颈侧区淋巴结转移情况, 根据第7版的癌症分期指南进行的TNM分期。根据文献[8], 将直径≤1 cm的PTC定义为微小乳头状癌。
所有病例根据样本自身肿瘤细胞分布, 挑选肿瘤细胞含量最高的玻片直接封存于1.5 ml EP管中。后经二甲苯脱蜡后用天根石蜡包埋组织DNA提取试剂盒(DP331)提取, 具体流程参考试剂盒说明书。所有提取好的样本DNA均用Thermo NanoDrop 2000进行测定浓度, 确定样品无蛋白污染, OD260/OD280=1.8~2.0;提取完的DNA若未立即进行检测, 则于-20℃保存。
基因突变检测:所有样本DNA均稀释至50~100 ng/μl后取2 μl用北京鑫诺美迪基因检测技术有限公司提供的B-raf基因突变检测试剂盒(荧光PCR -毛细管电泳测序法)(产品号: SMD-01-061)进行后续Braf基因突变检测。操作流程按照试剂盒说明书进行, 最终获得的测序产物取12 μl在ABI3500Dx测序仪上机检测, 检测操作按照测序仪说明书进行。测序数据以Snapgene Viewer 4.0.5分析, 与正常的人BRAF基因序列(NG_007873.3)中的外显子15进行序列比对, 以确定样本是否存在BRAF V600位置上的突变。
三、统计学处理采用SPSS 21.0进行分析。计算BRAF基因突变率。BRAF基因突变阳性和阴性患者的超声征象和病理结果进行对比分析。无序分类资料组间比较采用χ2检验或者Fisher确切概率法, 等级资料组间比较采用Wilcoxon秩和检验。P<0.05为差异有统计学意义。
结果 一、PTC与微小乳头状癌BRAF突变率比较247例患者PTC中, 103例(41.7%)是甲状腺微小乳头状癌, 144例(58.3%)为PTC, 其中甲状腺微小癌组BRAF基因突变发生率为43.7% (45/103), 低于PTC组的70.8%(102/144), 2组比较差异有统计学意义(χ2=18.362, P<0.001)。
二、PTC患者BRAF突变与超声图像特征分析BRAF突变阳性病例的PTC病灶在形态、边界、边缘、钙化、内部回声等方面, 与BRAF突变阴性病例比较差异均无统计学意义(P均>0.05), 见图 1~3、表 1。
|
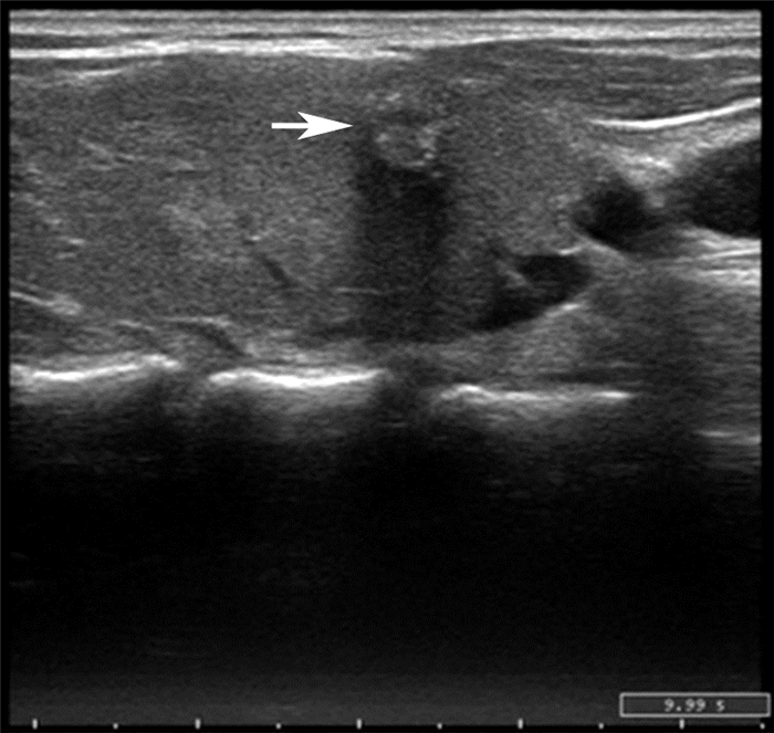
图 1 一例PTC患者甲状腺右侧叶超声图 箭头所示为肿块,显示病灶为极低回声、纵横比>1、形态不规则、边界不清、内部可见微钙化,局部甲状腺包膜中断 |
|
图 2 PTC患者BEAF基因测序图 阳性样本BRAF V600E突变(红色方框内,c.1799 T>A) |
|
图 3 PTC患者BEAF基因测序图 阴性样本(红色方框内) |
| 表 1 PTC患者BRAF突变与PTC超声特征分析 |
与BRAF基因突变阴性PTC患者对比, 阳性患者中男性比例似乎更高, 但差异无统计学意义(χ2 =3.366, P=0.067)。BRAF基因突变阳性的患者更容易出现肿瘤径线≥10 mm、腺体外侵犯、淋巴结转移以及TNM较高的分期(P均<0.05)。而多灶性甲状腺癌则暂时未见与BRAF基因突变有必然联系(χ2=0.195, P=0.659), 见表 2。
| 表 2 PTC患者BRAF基因突变与临床病理特征相关性分析 |
BRAF基因突变的作用包括下调抑癌基因和增加促肿瘤生长的因子, 其结果是促进肿瘤生长, 肿瘤血管的生成, 组织侵袭和远处转移。除此之外, 许多文献表明BRAF基因突变与不良的预后之间有直接关系, 如腺体外侵袭、淋巴结或远处转移, 肿瘤分期较晚和肿瘤复发, 但这些观点尚存争议[9-10]。BRAF基因是一种癌基因, 编码一种丝/苏氨酸特异性激酶, 是RAS/RAF/MEK/ERK/MAPK通路重要的转导因子, 参与调控细胞内多种生物学事件。BRAF基因位于7p34, 长约190 kb, 转录mRNA长2.5 kb, 编码783氨基酸的蛋白, 相对分子质量为94 000~95 000。BRAFV600E基因突变经常出现在人类恶性肿瘤中, BRAF突变主要发生在外显子15上的激活区的第1 799氨基酸上(T突变为A), 导致编码的氨基酸由谷氨酸变成缬氨酸(V600E), 使BRAF激酶活性提高, 进而通过磷酸化作用使BRAF蛋白激活。BRAFV600E基因突变是甲状腺癌中最常见的遗传学事件, 且在PTC中的发生率最高, 达29%~88%, 我们推测这个突变率范围分布如此之广的原因可能是PTC的亚型多样、受试者的背景不一以及研究方法不同。本研究资料所得的突变率为57.9%[11]。
PTC中超声征象与BRAF基因突变的关系, 多数学者的研究倾向于认为BRAF基因突变阳性与阴性之间的PTC超声征象的差异无统计学意义[12]。韩国学者针对微小乳头状癌的研究也显示两者之间差异无统计学意义[6]。与之不同的是, Kwak等(2009年)针对115例PTC患者BRAF基因突变阳性的研究表明, 肿痛径线大于10 mm的乳头状癌与可疑恶性超声征象以及恶性超声征象的数目呈正相关, 但在此研究中, 作者也表明, 由于甲状腺微小乳头状癌的超声征象不典型, 与良性病灶征象存在重叠而且很难准确鉴别的。而本研究结果表明无论肿痛径线大于等于10 mm或小于10 mm的PTC患者, 其超声征象与BRAF基因突变有关系。用于对甲状腺结节判读分类的超声征象也与BRAF基因突变阳性无明显关系, 尽管肿痛径线大于10 mm的PTC患者更倾向于与BRAF基因突变阳性相关。
我们假设这个偏差是由于我们的研究人群与前述研究的样本存在差异引起的, 2组患者使用的大多数可疑恶性的超声征象是一样的, 因此可能导致BRAF突变阳性和阴性的患者会倾向于在超声特征上无明显差别。本研究表明, 针对进行细针抽吸活检的恶性甲状腺结节的BRAF基因检测阳性与阴性之间的超声征象并无差异。
BRAF阳性的PTC的结节径线, 无论是超声测值的或者是病理测量的均较BRAF阴性组的要大一些。之前的研究报道BRAF突变与肿瘤大小之间存在关系, 这似乎表明BRAF突变阳性可导致肿瘤的增长与侵袭性。然而, 本研究结果与此不同, 结果显示BRAF突变与肿瘤大小之间的关系存在争议。我们的结果也显示BRAF突变在男性中更易出现, 这点与之前的研究一致。
既往的研究表明PTC病理特点中有一项或多项高危指标与BRAF基因突变相关[13]。本研究的结果与最近的荟萃分析和大样本调查结果一样, 也表明甲状腺腺体外浸润、淋巴结转移及TNM分期Ⅲ/Ⅳ期的比例更高等均与BRAF基因突变相关。此外, 最近一项随访15年的研究表明BRAF基因突变与肿瘤更高的分期、血管侵犯以及病死率相关。但也有学者研究结果与之相反, 认为它们之间并无相关性。究其原因, 得出相悖的结论可能是由于研究样本中PTC的亚型不一, 而本研究中所选择病例均为同一亚型的PTC; 此外, 地理、人文伦理因素、就诊时疾病所处发展的时期不同均存在影响, 另外BRAF分析的方法不同以及预防性中央区淋巴结清扫的指征把握不一均有影响[14]。
结合本组数据的结果与其它学者的前期工作, 可将BRAF基因突变应用到临床实践中, 初步认为可包括以下2个方面: ①利用BRAF基因突变检测提高术前PTC的临床诊断, 结合超声介入与基因检测, 对未能确诊的甲状腺结节FNA样本进行BRAF基因突变检测, 期望可以帮助提高PTC的确诊率; ②利用BRAF基因突变检测协助术前评估和处理方案制订, 研究结果表明BRAF基因突变与PTC腺体外侵犯、淋巴结转移及肿瘤复发密切相关, 因此BRAF基因突变可作为预测肿瘤预后的早期、有效方法之一。术前检测FNA标本的BRAF基因突变可能是辅助术前风险分级、决定手术方式和制订术后治疗和随访策略的重要手段。这有助于平衡PTC治疗的益处和风险, 尤其是无影像学证据帮助时, 决策淋巴结是否清扫以及清扫区域, 达到既减少PTC的复发又减少治疗副作用的最佳平衡。
综上所述, PTC患者BRAF基因突变率较高, 突变阳性与否与甲状腺癌的超声图像特征无相关性; 而与多项病理特点相关, 利用研究的结果, 可帮助提高PTC的确诊率以及协助术前评估和处理方案制订。本研究尚存部分不足之处:受研究时间的限制, 未对术后患者长时间随访; 未评估不同超声医师之间对病灶描述可能存在的差异; 未利用新兴的弹性成像技术增加对病灶的评估。
| [1] |
Jemal A, Bray F, Center MM, Ferlay J, Ward E, Forman D. Global cancer statistics. CA Cancer J Clin, 2011, 61(2): 69-90. DOI:10.3322/caac.v61:2 |
| [2] |
Yu GP, Li JC, Branovan D, McCormick S, Schantz SP. Thyroid cancer incidence and survival in the national cancer institute surveillance, epidemiology, and end results race/ethnicity groups. Thyroid, 2010, 20(5): 465-473. DOI:10.1089/thy.2008.0281 |
| [3] |
刘玉琴, 张书全, 陈万青, 陈莉莉, 张思维, 张小栋, 郑荣寿. 中国2003-2007年甲状腺癌发病死亡现状及流行趋势分析. 中华流行病学杂志, 2012, 33(10): 1044-1048. DOI:10.3760/cma.j.issn.0254-6450.2012.10.011 |
| [4] |
Kwak JY, Han KH, Yoon JH, Moon HJ, Son EJ, Park SH, Jung HK, Choi JS, Kim BM, Kim EK. Thyroid imaging reporting and data system for US features of nodules: a step in establishing better stratification of cancer risk. Radiology, 2011, 260(3): 892-899. DOI:10.1148/radiol.11110206 |
| [5] |
Song JY, Chu YC, Kim L, Park IS, Han JY, Kim JM. Reclassifying formerly indeterminate thyroid FNAs using the Bethesda system reduces the number of inconclusive cases. Acta Cytol, 2012, 56(2): 122-129. DOI:10.1159/000334200 |
| [6] |
Moon WJ, Choi N, Choi JW, Kim SK, Hwang TS. BRAF mutation analysis and sonography as adjuncts to fine-needle aspiration cytology of papillary thyroid carcinoma: their relationships and roles. AJR Am J Roentgenol, 2012, 198(3): 668-674. DOI:10.2214/AJR.11.7185 |
| [7] |
Mathur A, Moses W, Rahbari R, Khanafshar E, Duh QY, Clark O, Kebebew E. Higher rate of BRAF mutation in papillary thyroid cancer over time: a single-institution study. Cancer, 2011, 117(19): 4390-4395. DOI:10.1002/cncr.26072 |
| [8] |
罗塞. Rosai & Ackerman外科病理学.郑杰译. 10版.北京: 北大医学出版社, 2014: 509-512.
|
| [9] |
Joo JY, Park JY, Yoon YH, Choi B, Kim JM, Jo YS, Shong M, Koo BS. Prediction of occult central lymph node metastasis in papillary thyroid carcinoma by preoperative BRAF analysis using fine-needle aspiration biopsy: a prospective study. J Clin Endocrinol Metab, 2012, 97(11): 3996-4003. DOI:10.1210/jc.2012-2444 |
| [10] |
Chakraborty A, Narkar A, Mukhopadhyaya R, Kane S, D'Cruz A, Rajan MG. BRAF V600E mutation in papillary thyroid carcinoma: significant association with node metastases and extra thyroidal invasion. Endocr Pathol, 2012, 23(2): 83-93. DOI:10.1007/s12022-011-9184-5 |
| [11] |
Kabaker AS, Tublin ME, Nikiforov YE, Armstrong MJ, Hodak SP, Stang MT, McCoy KL, Carty SE, Yip L. Suspicious ultrasound characteristics predict BRAF V600E-positive papillary thyroid carcinoma. Thyroid, 2012, 22(6): 585-589. DOI:10.1089/thy.2011.0274 |
| [12] |
Hwang J, Shin JH, Han BK, Ko EY, Kang SS, Kim JW, Chung JH. Papillary thyroid carcinoma with BRAFV600E mutation: sonographic prediction. AJR Am J Roentgenol, 2010, 194(5): W425-W430. DOI:10.2214/AJR.09.3512 |
| [13] |
Tufano RP, Bishop J, wu G. Reoperative central compartment dissection for patients with recurrent/persistent papillary thyroid canccr: efficacy. safety, and the association of the BRAF mutation. Laryngoscope, 2012, 122(7): 1634-1640. DOI:10.1002/lary.v122.7 |
| [14] |
李思荣, 吴青松, 丘昶儒, 卢钦荣, 谢胜雄. cN0期分化型甲状腺癌行中央区淋巴清扫及预防性侧颈淋巴结清扫的价值. 新医学, 2012, 43(3): 167-169, 191. DOI:10.3969/g.issn.0253-9802.2012.03.011 |


