HBV相关慢加急性肝衰竭(HBV-ACLF)是在慢性乙型病毒性肝炎(CHB)的基础上,因急性诱因如HBV再激活、感染、酒精、药物、未知的肝毒等因素作用下发生的急性或亚急性肝功能失代偿的临床症候群,临床表现为黄疸和凝血障碍,失代偿性腹水,伴或不伴有肝性脑病[1-2]。其病情凶险,发展迅猛,许多患者在数周甚至数日内即出现大片肝细胞坏死,广泛的炎性细胞浸润和纤维蛋白的沉积,最后发展为肝衰竭。目前临床上缺乏特异、有效的治疗和干预手段,除非实施紧急肝移植(国外以肝移植为主要治疗手段,肝移植后1年存活率约为50% ~60%),否则绝大部分患者预后不良。HBV-ACLF已经成为严重危害人民健康的恶性疾病,因此深入研究其发病机制对于降低肝衰竭患者的病死率及改善预后有着重要意义。HBV-ACLF的发生、发展与大量促炎细胞因子的生成和暴发密切相关。大量促炎细胞因子如TNF、IL-2、IL-6、IL-10、IL-17等通过一系列的级联反应形成炎性因子的“瀑布效应”及SIRS等,进一步加重肝细胞的变性、坏死、凋亡及功能衰竭,并可导致MODS[3-5]。本研究通过检测HBV-ACLF患者外周血和肝脏促炎细胞因子IL-32的表达水平,探讨其与肝损伤的相关性,旨在为揭示HBV-ACLF的发病机制提供新的思路和理论依据。
对象与方法 一、研究对象HBV-ACLF和CHB患者均来自中山大学附属第三医院肝脏外科和感染科。研究经医院医学伦理委员会批准,患者及家属签署知情同意书后,收集20例住院轻度CHB患者外周血血清样本和肝组织穿刺标本,20例行肝移植手术的HBV-ACLF患者术前外周血血清样本和术中切除的肝组织标本。另收集5例手术切除肝血管瘤患者的血清样本及远离肿瘤的正常肝组织作为正常对照。轻度CHB和HBV-ACLF的诊断参考《CHB防治指南(2010年版)》和《肝衰竭诊治指南(2012年版)》的相关标准。同时排除合并甲、丙、丁、戊型肝炎病毒,HIV、真菌、细菌等其他病原体感染以及自身免疫性肝病、酒精性肝病和原发性肝癌患者。正常对照者、轻度CHB患者及HBV-ACLF患者的一般资料见表 1。
| 表 1 正常对照者与轻度CHB患者及HBV-ACLF患者的一般资料 |
包括7170A型全自动生化分析仪(日本日立公司),ELX800酶标仪(美国宝特公司);Human IL-32 DuoSet ELISA试剂盒(美国R&D公司),Purified anti-human IL-32αβγδ (美国BioLegend公司);HRP酶标二抗(丹麦DAKO公司)。
三、研究方法 1. 血清IL-32水平的检测用ELISA检测3组受试者血清IL-32水平,严格按照说明书操作。
2. 肝组织IL-32水平的检测免疫组织化学染色的步骤如下:①石蜡切片脱蜡至水;②抗原修复(0.01 mmol/L枸橼酸钠缓冲液,pH=6.0),微波中高档5 min 3次,每次间隔1 min,自然冷却至室温,磷酸盐缓冲液浸泡3 min;③3%过氧化氢溶液浸泡15 min,Tris缓冲液振洗5 min共3次;④ 1: 20正常兔血清室温孵育30 min;⑤倒去溶液,不冲洗,滴加50 μl (1: 100)鼠抗人IL-32单克隆混合抗体于切片上,置湿盒内37℃孵育1 h;⑥Tris缓冲液冲洗5 min共3次,每张切片加入50~100 μl辣根过氧化物酶标记山羊抗小鼠二抗,湿盒中孵育30 min,Tris缓冲液冲洗2 min共3次;⑦滴加足以覆盖组织的现配二苯联苯胺工作液,镜下观察显色情况,蒸馏水冲洗终止反应;⑧滴加足以覆盖组织的红色碱性磷酸酶工作液,孵育5~20 min,镜下观察显色情况,蒸馏水冲洗终止显色;⑨通风橱吹干玻片,封片剂封片。利用Image-Pro Plus 6.0图像分析软件分析肝组织IL-32的相对表达量。
四、统计学处理应用SPSS 15.0进行统计学分析。正态分布的计量资料以x±s表示,多组间均数的比较采单因素方差分析,进一步两两比较采用LSD-t检验;非正态分布的计量资料采用中位数(最小值~最大值)表示。相关性采用Spearman秩相关分析。P<0.05为差异有统计学意义。
结果 一、HBV-ACLF、轻度CHB患者和正常对照者的血清IL-32水平比较HBV-ACLF患者外周血血清IL-32水平为(836.7±229.7) ng/L,轻度CHB患者外周血血清IL-32水平为(186.2±38.6) ng/L,正常对照者外周血血清IL-32水平为(71.2±9.2) ng/L,HBV-ACLF患者外周血血清IL-32水平均高于轻度CHB患者和正常对照者(3者比较F=104.058、P<0.001,两两比较P均<0.001),见图 1。
|
图 1 HBV-ACLF、轻度CHB患者和正常对照者的血清IL-32水平比较 |
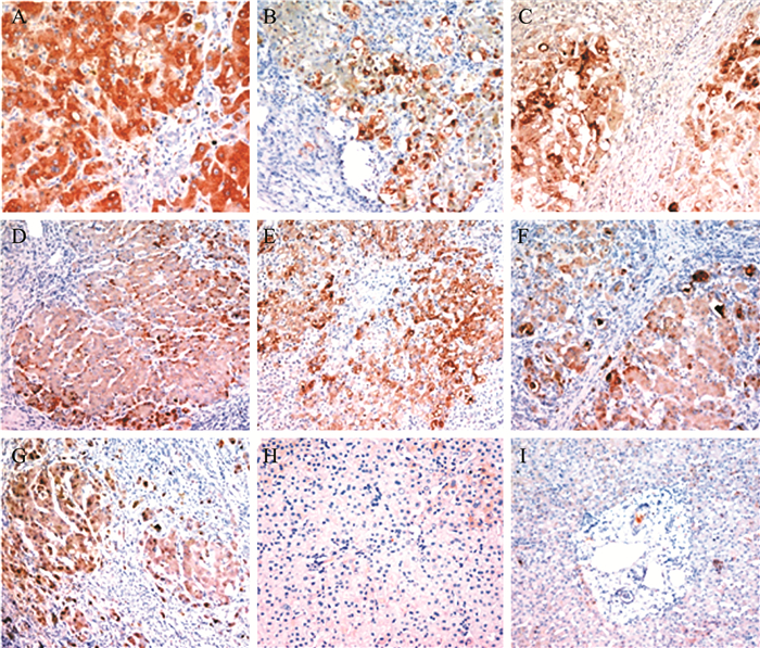
HBV-ACLF患者肝组织IL-32表达水平为176.3±36.9,高于轻度CHB患者的32.6±7.6和正常对照者的15.3±5.7 (3者比较F=188.922、P<0.001,两两比较P均<0.001),见图 2及图 3。
|
图 2 HBV-ACLF、轻度CHB患者和正常对照者的肝组织IL-32表达水平定量分析 |
|
图 3 HBV-ACLF、轻度CHB患者和正常对照者的免疫组织化学染色(免疫组织化学染色, ×200) A~G:HBV-ACLF患者肝组织切片;H:轻度CHB患者肝组织切片;I;正常对照者肝组织切片 |
Spearman秩相关分析显示,轻度CHB和HBV-ACLF患者外周血和肝脏IL-32的表达水平与血清总胆红素水平呈正相关(rs分别为0.686和0.544,P均<0.05),见图 4。
|
图 4 血清和肝组织IL-32表达水平与血清总胆红素水平的相关性分析 |
IL-32是一种新发现的促炎细胞因子,主要由T细胞、自然杀伤细胞(NK细胞)、上皮细胞分泌,具有促炎介质的特性,可通过激活NF-κB、AP-1和p38 MAPK等通路诱导IL-1β、TNF-α、IL-6等细胞因子的表达[6-7]。业已发现,IL-32作为促炎细胞因子在风湿性关节炎、炎症性肠病、特异性皮炎、胰腺炎、CHB、慢性丙型病毒性肝炎等炎症性疾病的发生、发展中起重要作用[8-14]。本研究显示,HBV-ACLF患者外周血和肝组织IL-32水平均高于轻度CHB患者及正常对照者,并且与肝损伤严重程度密切相关,表明IL-32在HBV-ACLF肝细胞的凋亡和坏死中可能发挥着重要作用。
然而,IL-32是如何促进HBV-ACLF免疫介导的肝细胞损伤?我们推测可能有以下机制:①HBV-ACLF的发病与促炎细胞因子的生成和暴发密切相关。大量促炎细胞因子如IL-1β、TNF-α、IL-2、IL-18、IFN-γ等均可诱导T细胞、NK细胞、单核细胞、外周血单个核细胞、上皮细胞、内皮细胞等表达IL-32。IL-32亦可诱导肝脏免疫细胞分泌TNF-α、IL-1β、IL-6、IFN-γ等促炎细胞因子和IL-8、巨噬细胞炎性蛋白-2、CC类趋化因子配体5等趋化因子,激活细胞因子“瀑布级联效应”,募集大量炎症细胞,从而进一步加重免疫细胞介导的肝细胞损伤。②IL-32可能通过活化凋亡相关蛋白Caspase-3通路诱导HBV感染细胞凋亡,加重肝细胞损伤。③IL-32可能通过增强免疫细胞如NK细胞的杀伤活性,促进免疫介导的肝细胞损伤。IL-32促进肝细胞损伤的确切机制值得深入研究。
综上所述,IL-32表达与HBV-ACLF肝损伤密切相关,提示血清或肝脏IL-32水平可作为反映肝衰竭患者病情危重程度的指标之一,进一步深入研究IL-32介导的肝细胞损伤机制将有助于为临床治疗提供新的分子靶点和理论依据。
| [1] |
中华医学会感染病学分会肝衰竭与人工肝学组, 中华医学会肝病学分会重型肝病与人工肝学组. 肝衰竭诊治指南(2012年版)[J]. 中华肝脏病杂志, 2013, 21(3): 177-183. |
| [2] |
许成芳, 刘东连, 戴丽珍. 妊娠期肝衰竭的临床特点分析[J]. 新医学, 2016, 47(8): 544-548. |
| [3] |
Zou Z, Li B, Xu D, Zhang Z, Zhao JM, Zhou G, Sun Y, Huang L, Fu J, Yang Y, Jin L, Zhang W, Zhao J, Sun Y, Xin S, Wang FS. Imbalanced intrahepatic cytokine expression of interferon-gamma, tumor necrosis factor-alpha, and interleukin-10 in patients with acute-on-chronic liver failure associated with hepatitis B virus infection[J]. J Clin Gastroenterol, 2009, 43(2): 182-190. DOI:10.1097/MCG.0b013e3181624464 |
| [4] |
赵军, 孙颖, 李保森, 徐东平, 张政, 赵景明, 周光德, 孙艳玲, 黄磊, 张伟, 辛绍杰, 王福生, 邹正升. 肝内CD68阳性细胞及TNF-α在慢加急性乙型肝炎肝衰竭发病机制中的作用[J]. 实用肝脏病杂志, 2009, 12(1): 31-34. |
| [5] |
杨波, 赵彩彦, 王亚东, 车宏浩, 阎文昭, 赵萌. Thl17细胞在慢性乙型肝炎及其重症化中的变化[J]. 中华传染病杂志, 2012, 30(8): 472-477. |
| [6] |
Hong JT, Son DJ, Lee CK, Yoon DY, Lee DH, Park MH. Interleukin 32, inflammation and cancer[J]. Pharmacol Ther, 2017, 174: 127-137. DOI:10.1016/j.pharmthera.2017.02.025 |
| [7] |
Joosten LA, Heinhuis B, Netea MG, Dinarello CA. Novel insights into the biology of interleukin-32[J]. Cell Mol Life Sci, 2013, 70(20): 3883-3892. DOI:10.1007/s00018-013-1301-9 |
| [8] |
Damen MSMA, Popa CD, Netea MG, Dinarello CA, Joosten LAB. Interleukin-32 in chronic inflammatory conditions is associated with a higher risk of cardiovascular diseases[J]. Atherosclerosis, 2017, 264: 83-91. DOI:10.1016/j.atherosclerosis.2017.07.005 |
| [9] |
Khawar MB, Abbasi MH, Sheikh N. IL-32: a novel pluripotent inflammatory interleukin, towards gastric inflammation, gastric cancer, and chronic rhino sinusitis[J]. Mediators Inflamm, 2016, 2016: 8413768. |
| [10] |
Kim S. Interleukin-32 in inflammatory autoimmune diseases[J]. Immune Netw, 2014, 14(3): 123-127. DOI:10.4110/in.2014.14.3.123 |
| [11] |
Xu WD, Zhang M, Feng CC, Yang XK, Pan HF, Ye DQ. IL-32 with potential insights into rheumatoid arthritis[J]. Clin Immunol, 2013, 147(2): 89-94. DOI:10.1016/j.clim.2013.02.021 |
| [12] |
Heinhuis B, Koenders MI, van de Loo FA, Netea MG, van den Berg WB, Joosten LA. Inflammation-dependent secretion and splicing of IL-32 in rheumatoid arthritis[J]. Proc Natl Acad Sci U S A, 2011, 108(12): 4962-4967. DOI:10.1073/pnas.1016005108 |
| [13] |
Nguyen H, Sankaran S, Dandekar S. Hepatitis C virus core protein induces expression of genes regulating immune evasion and anti-apoptosis in hepatocytes[J]. Virology, 2006, 354(1): 58-68. DOI:10.1016/j.virol.2006.04.028 |
| [14] |
Moschen AR, Fritz T, Clouston AD, Rebhan I, Bauhofer O, Barrie HD, Powell EE, Kim SH, Dinarello CA, Bartenschlager R, Jonsson JR, Tilg H. Interleukin-32: a new proinflammatory cytokine involved in hepatitis C virus-related liver inflammation and fibrosis[J]. Hepatology, 2011, 53(6): 1819-1829. DOI:10.1002/hep.24285 |

