广州管圆线虫病是一种人畜共患的寄生虫病,人多因进食了含有广州管圆线虫幼虫的生或半生的螺肉而感染。本病是一种幼虫移行症,能引起多个脏器损伤,最严重的是幼虫侵犯中枢神经系统,引起嗜酸性粒细胞增多性脑膜脑炎或脑膜炎[1]。本病发病率不详,在中国各地多数呈散在分布,亦有群体暴发流行的报道。流行区集中在东南亚和太平洋岛屿国家,全世界已有成千上万的病例被诊断,以成人病例居多,儿童病例相对少见[2]。本文对1例广州管圆线虫病患儿的临床资料进行分析并结合文献复习,以探讨该病的临床特点,加深认识,避免误诊。
对象与方法 一、1例广州管圆线虫病患儿的资料收集我科于2017年7月4日诊治1例以"反复头痛伴发热1个月,加重2 d"为主诉的患儿,经头颅MRI、脑脊液广州管圆线虫特异性抗体及分子基因测序明确诊断。回顾性分析其病史、体格检查及入院后的实验室及辅助检查。
二、文献检索以"广州管圆线虫病/angiostrongyliasis cantonensis"为检索词对以下数据库截至2017年10月收录的论文进行检索:中国期刊全文数据库(CNKI)、万方数据知识服务平台及PubMed,收集并分析相关文献,结合文献中病例的临床资料进行总结分析。
结果 一、1例广州管圆线虫病患儿的临床资料 1. 一般情况患儿男,6岁,因反复头痛伴发热1个月,加重2 d于2017年7月4日收入我科。患儿呈急性起病,无明显诱因出现头部隐痛、颈部活动受限,伴低热,偶有咳嗽,易激惹、有攻击行为。曾于外院就诊,查血常规示白细胞10.79×109/L,嗜酸性粒细胞37.1%,ESR 34 mm/h,胸部X线片示左上肺可见强化结节,肺炎支原体抗体滴度1: 80,血清脑囊虫及包虫抗体阳性,予抗感染等治疗后患儿头痛、发热仍有反复。既往史:平素体质一般,有"葡萄糖-6-磷酸脱氢酶(G6PD)缺乏",余无特殊。个人史:否认有生吃、喝生水习惯,否认螺肉、蜗牛进食史。家族史无特殊。体格检查:体质量18 kg,营养中等,神志清晰,反应可;躯干可见少量散在红色丘疹,无瘙痒,全身皮肤黏膜无苍黄、出血点,全身浅表淋巴结无肿大;咽充血,双侧扁桃体Ⅰ度,无化脓;颈稍抵抗,心、肺、腹无异常;四肢肌张力正常,双侧巴宾斯基征、克氏征均阴性。入院诊断:中枢神经系统感染。
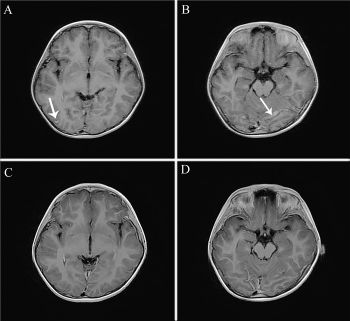
2. 实验室及辅助检查入院后查血常规:白细胞12.24×109/L,中性粒细胞绝对值9.34×109/L,淋巴细胞绝对值1.74×109/L。血清降钙素原小于0.02 ng/ml,CRP 0.2 mg/L,ESR 12 mm/h。血涂片、肝功能、血液生化、心肌酶谱、凝血功能、术前筛查8项、尿常规、大便常规均未见异常。真菌D-葡聚糖、结核T-SPOT均阴性。胸部X线片:双肺纹理稍增多。脑脊液压力大于320 mm H2O (1 mm H2O=0.098 kPa);脑脊液常规:无色透明,微浑,球蛋白定性(+),薄膜无,白细胞数1 514×106/L,中性粒细胞50%;脑脊液生化:蛋白1.03 g/L,糖1.46 mmol/L,氯118.8 mmol/L;脑脊液涂片及培养均未见一般细菌、真菌、厌氧菌、结核杆菌;脑脊液单纯疱疹病毒抗体、自身免疫性脑炎抗体均阴性。头颅MRI平扫+增强:①考虑脑膜炎;②头颅磁共振血管成像(MRA)、磁共振静脉成像(MRV)未见明显异常(图 1A、B)。脑电图:慢波活动增多,界限性脑电图。7月21日回报血清脑囊虫抗体阳性。骨髓涂片提示反应性嗜酸性粒细胞增多骨髓象。根据患儿头痛、发热,颈抵抗,脑脊液检查及头颅影像学检查结果,诊断细菌性脑膜炎。
|
图 1 一例广州管圆线虫病患儿头颅MRI增强扫描所示病灶影像 A:治疗前,右枕部脑膜可见小片状强化(箭头所示);B:治疗前,左侧小脑幕脑膜可见小片状强化(箭头所示);C:治疗后,原右枕部脑膜强化基本消失;D:治疗后,左侧小脑幕脑膜小片状强化较前减轻 |
入院后予20%甘露醇脱水降颅压,先后予美罗培南(美平)、万古霉素(稳可信)抗感染,患儿热退、头痛缓解,仍易激惹,多次查血常规提示嗜酸性粒细胞计数偏高,脑脊液白细胞及蛋白偏高,遂改用头孢曲松钠(罗氏芬)抗感染。期间行脑脊液常规复查同时送细胞学迈格吉染色,显示脑脊液嗜酸细胞比例多次增高(>60%),提示嗜酸细胞性脑膜炎,结合外周血嗜酸细胞增高,高度怀疑广州管圆线虫感染。8月1日回报送检脑脊液及血清中广州管圆线虫抗体阳性;分子基因检测提示脑脊液广州管圆线虫特异序列数758,置信度高。广州管圆线虫病诊断明确,眼科检查未见异常,遂于8月2日起停用抗生素,予口服阿苯达唑0.2 g、2次/日驱虫,同时予醋酸泼尼松(强的松) 5 mg、2次/日预防虫体死亡后裂解产物引起机体过敏反应。经上述药物治疗2周,患儿无头痛、发热,情绪激惹消失,检查合作。复查脑脊液及血常规示嗜酸性粒细胞计数恢复正常(表 1),9月20日复查头颅MRI增强扫描提示左侧小脑幕脑膜可见小片状强化,较前减轻,原右枕部脑膜强化基本消失(图 1C、D)。
| 表 1 一例广州管圆线虫病患儿治疗期间脑脊液及血常规嗜酸性粒细胞计数等检查结果 |
检索CNKI及万方数据库中广州管圆线虫病相关文献,结果显示,国内报道的病例多为成人,儿童病例较少,收集到有较详细临床资料的仅有7例(表 2)。检索PubMed中广州管圆线虫病相关文献共526篇,本病与儿童相关英文文献共67篇,涉及儿童广州管圆线虫感染的病例个案报道有14篇,该部分将于讨论处作分析。
| 表 2 国内报道的儿童广州管圆线虫病病例统计表 |
广州管圆线虫病是一种寄生虫传染病,其流行病学特征是近期(通常为1个月内)有生食或半生食广州管圆线虫的中间宿主(如福寿螺、褐云玛瑙螺、蛞蝓等软体动物)或者转续宿主(如淡水虾、蟹、鱼、蛙等)史,或有广州管圆线虫的中间宿主、转续宿主接触史。本例患儿无螺肉、蜗牛进食史,亦无生吃、喝生水习惯,缺乏明确的流行病学史。其余复习国内文献的7例患儿有明确流行病学史的仅3例。国外有儿童个案报道也缺乏明确接触和进食软体动物病史,但也有不排除进食被中间宿主污染的菜蔬等食物[9-11]。相对于成人而言,儿童病例更不具备明确的流行病学史。
广州管圆线虫病一般起病较急,以疼痛特别是剧烈头痛等为突出表现,可有神经根痛、痛觉过敏等症状,可伴有发热、恶心、呕吐等。体格检查有颈部抵抗甚至颈项强直等脑膜刺激征。8例患儿均有发热、神经系统受累表现,Sawanyawisuth等[12]对泰国19例15岁以下嗜酸性脑膜炎患儿进行回顾性分析,发现儿童广州管圆线虫引起的嗜酸性脑膜炎的临床表现与成人不同。发热、恶心、呕吐、肝肿大、颈部僵硬和脑神经麻痹在儿童中比成人更常见。本例患儿除了发热、头痛外还有易激惹、攻击行为等异常。这些行为异常表现未在国内文献的7例中提及,具体发病机制不详,但Luo等[13]在动物模型上发现神经元凋亡是广州管圆线虫致啮齿动物行为障碍的病理基础。有研究者认为广州管圆线虫幼虫入侵宿主造成损伤的机制与多种因素有关,除幼虫移行引起组织机械性损伤、虫体占位导致组织挤压损伤及颅内高压、虫体分泌的代谢物质或死亡虫体释放的物质对神经细胞的毒性作用外,机体对虫体的防御、杀伤所致的免疫紊乱亦参与其中[14]。
广州管圆线虫感染时血常规检查可有嗜酸性粒细胞的百分比和(或)绝对值增高;脑脊液检查可有脑脊液压力增高、嗜酸性粒细胞增多。本例患儿入院时查外周血嗜酸性粒细胞计数增高,脑脊液白细胞总数大于1 000×106/L、分类以中性粒细胞为主,是细菌性脑膜炎的重要诊断依据[15]。患儿以细菌性脑膜炎接受规范抗细菌感染治疗后,脑脊液白细胞总数仍偏高,不能用细菌性脑膜炎解释。多次查血常规仍提示嗜酸性粒细胞计数偏高,脑脊液改用迈格吉染色后细胞学分类显示嗜酸性粒细胞比例明显增高。国内文献的7例中有4例血常规嗜酸性粒细胞比例增高,4例脑脊液压力增高,6例脑脊液白细胞计数可达数十至上千,3例见嗜酸性粒细胞比例增高。国外的儿童病例报道亦有外周血及脑脊液嗜酸性粒细胞比例增高的特点[9-11]。脑脊液嗜酸性粒细胞比例增高比外周血更具有特异性。
从脑脊液中或眼内等部位找到幼虫或发育期成虫可确诊,但一般检出率不高[1]。本例及国内文献的7例患儿中共有5例发现虫体,依靠尸检发现虫体占3例,眼内找到虫体1例。由于确定性诊断是不敏感的,因此实验室诊断广州管圆线虫病依赖于血清学技术,现代抗体检测方法集中在针对虫体的29 kDa和31 kDa蛋白质的抗体上。血清寄生虫抗体检查可出现假阳性,血清中存在交叉反应性抗体[16]。本例患儿在外院和中山大学寄生虫教研室血清寄生虫常规检查提示脑囊虫和包虫抗体阳性,但是患儿缺乏脑囊虫和包虫的流行病学史及临床表现,考虑为结果假阳性。抗原检测可能比抗体检测更可靠,但是无法被用于临床诊断用途。目前已经开发了使用对广州管圆线虫特异性DNA序列PCR扩增的诊断[17]。本例患儿正是结合脑脊液中广州管圆线虫抗体、分子基因测序阳性结果,临床诊断为广州管圆线虫病。另外,广州管圆线虫因为少见,故不作为常规寄生虫检查项目,容易误诊和漏诊。
广州管圆线虫病是嗜酸性脑膜炎的最常见病因,但需与神经颚口线虫病、神经性囊虫病、脑桥肺吸虫病、弓形虫病、结核性脑膜炎和隐球菌脑膜炎等其他病因所致的嗜酸性脑膜炎相鉴别[18]。
目前我国应用较广泛的广州管圆线虫病治疗方法是阿苯达唑联合地塞米松[19]。阿苯达唑推荐用量为20 mg/(kg·d),若体质量超过60 kg者按60 kg计算,分3次服用,连服7~10 d[20]。有报道示阿苯达唑可导致急性肝损害,临床应用时需注意监测肝功能,合理调整阿苯达唑剂量,必要时予护肝对症处理[21]。本例患儿口服阿苯达唑辅以小剂量泼尼松治疗2周,复查血常规、脑脊液常规及生化、脑脊液压力均恢复正常,头颅MRI较前好转,疗效确切,定时监测肝功能均未见异常,安全性良好。另外国内文献报道的2例患儿使用阿苯达唑联合地塞米松(后改泼尼松)治疗,病情亦好转或痊愈。
需要警惕的是,国内文献中3例死亡病例死因均为呼吸衰竭,尸解均可发现肺动脉内虫体栓塞。故广州管圆线虫病诊治上应同时重视肺部情况,及时完善胸部X线及CT检查排查有无肺部受累。若有虫体肺栓塞情况可请介入血管科、心胸外科协助治疗。
总之,对于中枢神经系统感染病例,若存在血常规和(或)脑脊液细胞学提示嗜酸性粒细胞增多情况,应注意排查有无寄生虫感染尤其是广州管圆线虫病。广州管圆线虫病的诊断不仅要重视流行病学史,结合临床特征和特殊的实验室检查尤为重要。嗜酸性脑膜炎要注意完善头颅MRI、脑脊液广州管圆线虫特异性抗体和(或)分子基因测序,有助于诊断广州管圆线虫病。阿苯达唑辅以小剂量糖皮质激素对本病有良好疗效。
| [1] |
李雍龙. 人体寄生虫学[M]. 7版. 北京: 人民卫生出版社, 2008, 189-192.
|
| [2] |
Eamsobhana P. Eosinophilic meningitis caused by angiostrongylus cantonensis-a neglected disease with escalating importance[J]. Trop Biomed, 2014, 31(4): 569-578. |
| [3] |
鄢璞, 陈光华, 张美德, 陈峥嵘, 曾荣新, 郑秀霞. 广州管圆线虫病一例尸检[J]. 中华病理学杂志, 1997, 26(2): 66-73. |
| [4] |
叶秀云, 胡鸿文, 张雅丽, 潘长旺, 邢文鸾, 梁韶辉. 温州市首例小儿广州管圆线虫病报告[J]. 温州医学院学报, 1999, 29(1): 11-13. |
| [5] |
陈清清, 黄建洲. 小儿广州管圆线虫病误诊二例[J]. 中华儿科杂志, 2002, 17(1): 39. |
| [6] |
项道满, 张美德, 李道宁, 毛娅妮. 儿童眼前房内广州管圆线虫一例报告[J]. 中国斜视与小儿眼科杂志, 2001, 8(2): 45, 51. |
| [7] |
苏嬿莉, 黄建军, 谭丽. 儿童广州管圆线虫病死亡原因分析[J]. 临床儿科杂志, 2004, 21(7): 429-430. |
| [8] |
王惠萍, 孙莹, 王左华. 广州管圆线虫病致儿童嗜酸粒细胞增多性脑膜脑炎1例及文献复习[J]. 大家健康(学术版), 2016, 10(4): 108-109. |
| [9] |
Roukaya AH, Stacy LN, James RM, Gloria PH, Ian JB, Norma P. Angiostrongylus cantonensis meningitis and myelitis, Texas, USA[J]. Emerg Infect Dis, 2017, 23(6): 1037-1038. DOI:10.3201/eid2306.161683 |
| [10] |
Foster CE, Nicholson EG, Chun AC, Gharfeh M, Anvari S, Seeborg FO, Lopez MA, Campbell JR, Marquez L, Starke JR, Palazzi DL. Angiostrongylus cantonensis infection: a cause of fever of unknown origin in pediatric patients[J]. Clin Infect Dis, 2016, 63(11): 1475-1478. DOI:10.1093/cid/ciw606 |
| [11] |
Shah I, Barot S, Madvariya M. Eosinophilic meningitis: a case series and review of literature of angiostrongylus cantonensis and gnathostoma spinigerum[J]. Indian J Med Microbiol, 2015, 33(1): 154-158. DOI:10.4103/0255-0857.148430 |
| [12] |
Sawanyawisuth K, Chindaprasirt J, Senthong V, Limpawattana P, Auvichayapat N, Tassniyom S, Chotmongkol V, Maleewong W, Intapan PM. Clinical manifestations of eosinophilic meningitis due to infection with angiostrongylus cantonensisin children[J]. Korean J Parasitol, 2013, 51(6): 735-738. DOI:10.3347/kjp.2013.51.6.735 |
| [13] |
Luo S, OuYang L, Wei J, Wu F, Wu Z, Lei W, Yuan D. Neuronal apoptosis: pathological basis of behavioral dysfunctions induced by angiostrongylus cantonensis in rodents model[J]. Korean J Parasitol, 2017, 55(3): 267-278. DOI:10.3347/kjp.2017.55.3.267 |
| [14] |
邓健, 邹节新, 周宪民, 吴忠道. 广州管圆线虫及广州管圆线虫病研究概况——对PubMed中相关文献的分析[J]. 中国血吸虫病防治杂志, 2012, 24(2): 228-231. |
| [15] |
陈晓, 李昂, 鲍健, 刘军. 成人不典型细菌性脑膜炎6例及文献复习[J]. 新医学, 2017, 48(3): 178-183. |
| [16] |
Morassutti AL, Rascoe LN, Handali S, DA Silva AJ, Wilkins PP, Graeff-Teixeira C. Cross-reactivity of the 31 kDa antigen of angiostrongylus cantonensis—dealing with the immunodiagnosis of meningoencephalitis[J]. Parasitology, 2017, 144(4): 459-463. DOI:10.1017/S0031182016001918 |
| [17] |
Wilkins PP, Qvarnstrom Y, Whelen AC, Saucier C, da Silva AJ, Eamsobhana P. The current status of laboratory diagnosis of angiostrongylus cantonensis infections in humans using serologic and molecular methods[J]. Hawaii J Med Public Health, 2013, 72(6 Suppl 2): 55-57. |
| [18] |
Senthong V, Chindaprasirt J, Sawanyawisuth K. Differential diagnosis of CNS angiostrongyliasis: a short review[J]. Hawaii J Med Public Health, 2013, 72(6 Suppl 2): 52-54. |
| [19] |
Li Y, Tang JP, Chen DR, Fu CY, Wang P, Li Z, Wei W, Li H, Dong WQ. The use of albendazole and diammonium glycyrrhizinate in the treatment of eosinophilic meningitis in mice infected with angiostrongylus cantonensis[J]. J Helminthol, 2013, 87(1): 1-11. DOI:10.1017/S0022149X11000745 |
| [20] |
阴頳宏, 甘绍伯, 刘建, 韩小茜, 冯曼玲, 纪爱萍, 郭增柱, 王非, 栗绍刚, 吴赵永. 广州管圆线虫病诊疗方案(试行)[J]. 中华急诊医学杂志, 2006, 16(10): 956-957. DOI:10.3760/j.issn:1671-0282.2006.10.031 |
| [21] |
王婧, 郑晓燕, 阴赪宏, 齐海宇, 李小丽, 刁宗礼, 纪爱萍, 栗绍刚, 吴赵永. 阿苯达唑致广州管圆线虫病患者肝损害的临床分析[J]. 中国病原生物学杂志, 2008, 20(3): 209-211. |

