马尔尼菲青霉感染的主要临床表现为发热、咳嗽、淋巴结及肝脾肿大、消化道症状、贫血、皮疹及和血小板减少[1]。然而,上述的临床表现均无特异性,易与隐球菌病、结核病等相混淆。有报道称,我国部分地区艾滋病患儿中马尔尼菲青霉感染的病死率达16.7%,应引起临床医师的高度重视[2]。本文报道了一例以发热、肝损害为首发表现的艾滋病合并马尔尼菲青霉败血症患儿的诊治过程,以提高临床医师对该病的认识水平。
病例资料 一、主诉及病史患儿女,11岁。以发热半个月于2017年5月16日收入我科。患儿半个月前无明显诱因下出现发热,体温波动于38.0~40.0℃,高热时伴有畏寒,无寒颤,有腹痛,呈阵发性发作,有恶心,无呕吐,有咳嗽,不剧烈。在当地医院查胸部CT,结果示双肺感染性病变,先后予静脉滴注磷霉素、阿奇霉素、头孢哌酮-舒巴坦钠、丙种球蛋白、人血白蛋白等治疗,患者腹痛及咳嗽症状明显好转,但仍有反复发热,转当地儿童医院予亚胺培南-西司他丁钠0.36 g静脉滴注每日3次,连用3 d抗感染治疗,仍有发热,查HIV抗体阳性,血培养提示马尔尼菲青霉阳性,后加用伏立康唑160 mg每日2次静脉滴注,复方磺胺甲
入院体格检查:体温37.0℃,脉搏112次/分, 呼吸20次/分,血压112/70 mm Hg (1 mm Hg=0.133 kPa),体质量25 kg。贫血貌,神志清晰,精神软,全身皮肤未见皮疹,巩膜无黄染。双肺呼吸音粗,未闻及明显干湿性啰音,腹部膨隆,上腹部压痛,无反跳痛,肝肋下6 cm,剑突下8 cm,质中、边锐,肝区有压痛,脾脏触诊不满意,移动性浊音阴性,双下肢无水肿。
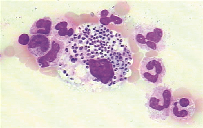
三、实验室及辅助检查血红蛋白63 g/L,红细胞2.6×1012/L,白细胞7.4×109/L,淋巴细胞0.03,血小板314×109/L。ESR 26 mm/h,CRP 23.4 mg/L。ALT 60 U/L,AST 218 U/L,γ-谷氨酰转肽酶308 U/L,碱性磷酸酶943 U/L。半乳糖甘露醇聚糖抗原8.8 μg/L,真菌G试验<3.836 ng/L。血培养结果:马尔尼菲青霉(图 1)。因反复发热需警惕血液系统疾病,予查骨髓常规,结果示真菌感染性骨髓象(图 2)。血淋巴细胞亚群:CD4+T细胞计数13 /μl,CD3+T细胞0.78,CD4+T细胞0.03,CD8+T细胞0.67,CD4+/CD8+T细胞0.05。温州市疾病预防控制中心HIV确诊实验示HIV抗体阳性。
|
图 1 一例艾滋病合并马尔尼菲青霉败血症患儿血培养及菌落染色结果 A:血培养结果;B:菌落染色结果 |
|
图 2 一例艾滋病合并马尔尼菲青霉败血症患儿的骨髓涂片 |
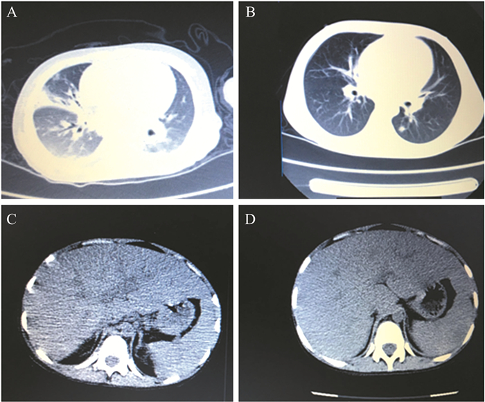
胸部CT示双肺感染性病变,双侧胸腔积液(图 3A)。腹部CT示肝大伴回声改变,脂肪肝, 胆囊壁水肿,脾大,脾内多发低回声团,腹膜后多发淋巴结肿大,腹腔积液(图 3C)。
|
图 3 一例艾滋病合并马尔尼菲青霉败血症患儿的胸部及腹部CT检查结果 A:抗真菌治疗前的胸部CT检查结果,示肺部感染病灶注;B:抗真菌治疗后的胸部CT检查结果,示肺部病灶较前基本吸收;C:抗真菌治疗前的腹部CT检查结果,示肝脏脂肪变性;D:抗真菌治疗后的腹部CT检查结果,示患儿肝脏脂肪变性好转 |
诊断:艾滋病,马尔尼菲青霉败血症。入院后,予伏立康唑180 mg静脉滴注每日2次,口服复方磺胺甲

自1995年我国发现了第一例经母婴传播感染的儿童艾滋病以来,儿童艾滋病的病例数在不断地增加。据联合国艾滋病规划署的报告,截至2012年全球共有3 530万人感染艾滋病,其中儿童(<15岁)有330万人。据报道,有90%以上儿童病例为母婴垂直传播[3]。然而儿童HIV感染的临床症状是非特异性的,加之小儿疾病临床表现与成人差异大,小儿免疫力低下,调节和适应能力均较弱,短期内病情可有较大变化,且易发生各种并发症,这给临床医师诊断增加了难度。本例患儿以发热、肝损害为首发表现就诊,根据其血培养结果,明确马尔尼菲青霉感染诊断。真菌感染是儿童HIV感染的机会感染之一,随着艾滋病患儿数的增加,合并马尔尼菲青霉感染也在逐渐增多,但我国儿童艾滋病合并马尔尼菲青霉感染报道较少。艾滋病患儿感染马尔尼菲青霉的潜伏期短、起病急、免疫系统抑制快,病情进展迅速,临床表现多样而复杂,因此早发现、早治疗对于改善患儿预后尤其重要[4]。
马尔尼菲青霉属真菌中的青霉属,属于条件致病菌,艾滋病患者免疫功能缺陷,CD4+T细胞减少或缺失,吞噬了真菌的巨噬细胞无法活化杀菌,导致巨噬细胞大量增生,其中的真菌大量繁殖,含菌的巨噬细胞经淋巴和血液循环造成全身播散性感染[5]。本文患儿以发热、肝损害、贫血伴肝脾肿大入院,血培养及骨髓象支持真菌感染,虽追问病史仍未得知HIV确切感染途径,但HIV抗体确诊实验阳性,可确诊为艾滋病,根据其血培养、骨髓病理结果,最终可确诊艾滋病合并马尔尼菲青霉败血症。予抗真菌等对症支持治疗后症状明显缓解,好转出院,随访3个月患儿多次血培养未见细菌及真菌生长。
马尔尼菲青霉感染的有效治疗是及早诊断并应用有效抗真菌药物,美国疾病预防控制中心推荐采用2周两性霉素B[0.6 mg/(kg·d)]诱导后序贯口服伊曲康唑(200 mg/d,每日2次)方案治疗10周[6]。有报道提示,伏立康唑具有体外抗真菌活性,可用于马尔尼菲青霉感染的治疗[7]。本例患儿11岁,体质量25 kg,考虑到两性霉素B的不良反应大,伊曲康唑对儿童的有效性和安全性尚未确定,故选择口服伏立康唑治疗,剂量为200 mg每日2次,治疗6周后改为维持量至12周后停药,取得良好疗效。
艾滋病合并马尔尼菲青霉感染在临床逐步增多, 但临床医师对其认识尚不足,即使有效的抗真菌治疗,艾滋病合并马尔尼菲青霉感染的病死率仍高达20%,且艾滋病合并马尔尼菲青霉感染可因个体的不同、疾病阶段的不同及侵犯器官的不同而临床表现各异,极易漏诊、误诊,临床医师应结合患者病情与相关疾病如黑热病、组织胞浆菌病等鉴别。本例患儿的诊治经过提示,作为临床医师应及早发现,正确认识艾滋病合并马尔尼菲青霉感染,及早诊断和治疗对降低病死率、延长患儿的存活时间、提高生存质量尤为重要。
| [1] |
Chen J, Zhang R, Shen Y, Liu L, Qi T, Wang Z, Song W, Tang Y, Lu H. Clinical characteristics and prognosis of penicilliosis among human immunodeficiency virus-infected patients in eastern china[J]. Am J Trop Med Hyg, 2017, 96(6): 1350-1354. DOI:10.4269/ajtmh.16-0521 |
| [2] |
钟活麟, 陈谐捷, 张坚生, 李永红. 儿童艾滋病合并马尔尼菲青霉病30例临床资料分析[J]. 中国医药指南, 2013, 11(33): 36-38. |
| [3] |
俞蕙, 王晓红, 朱启镕. 儿童艾滋病的特点及预后[J]. 新医学, 2006, 37(1): 17-18. |
| [4] |
曾小良, 蓝光华, 鲁鸿燕, 胡月英, 覃祺. 382例艾滋病患儿临床特征分析[J]. 中国艾滋病性病, 2014, 20(4): 237-239. |
| [5] |
Zhou F, Bi X, Zou X, Xu Z, Zhang T. Retrospective analysis of 15 cases of Penicilliosis marneffei in a southern China hospital[J]. Mycopathologia, 2014, 177(5-6): 271-279. DOI:10.1007/s11046-014-9737-5 |
| [6] |
Kaplan JE, Benson C, Holmes KK, Brooks JT, Pau A, Masur H. Centers for Disease Control and Prevention (CDC); National Institutes of Health; HIV Medicine Association of the Infectious Diseases Society of America.Guidelines for prevention and treatment of opportunistic infections in HIV-infected adults and adolescents: recommendations from CDC, the National Institutes of Health, and the HIV Medicine Association of the Infectious Diseases Society of America[J]. MMWR Recomm Rep, 2009, 58(RR-4): 1-207. |
| [7] |
侯德凤. 艾滋病合并马尔尼菲青霉病感染率调查和实验室检查及药敏分析[J]. 华西医学, 2010, 25(5): 919-921. |

