IgG4相关肾病(IgG4-RKD),是一种自身免疫介导的炎性纤维化疾病,主要表现为肾小管间质性肾炎(TIN),肾小管间质炎症细胞浸润、萎缩、纤维化。IgG4-RKD极少出现肾实质受累,通过检索国内外文献仅见IgG4-RKD合并IgA肾病、膜性肾病等的个案报道,而有关IgG4-RKD与肾小球疾病之间的相互关系尚无定论。为此,本文报道一例IgG4相关TIN合并IgA肾病患者,并复习相关文献,以提高临床医师对该类疾病的认识水平。
对象与方法 一、1例IgG4相关肾小管间质性肾炎合并IgA肾病患者的临床资料收集选择2017年3月于中山大学孙逸仙纪念医院就诊、经病理活组织检查(活检)确诊为IgG4相关TIN合并IgA肾病的1例患者,收集并分析其病史、体格检查、实验室及辅助检查、治疗及随访等资料。
二、文献检索以“IgG4”“间质性肾炎”“IgA肾病”或“IgG4”“tubulointerstitial nephritis”“IgAN”为检索词,在PubMed、万方数据知识服务平台、中国学术文献网络出版总库、维普中文科技期刊数据库中检索截止至2017年11月收录的IgG4相关TIN合并IgA肾病患者相关临床资料,并进行总结。
结果 一、1例IgG4相关TIN合并IgA肾病患者的临床资料 1. 病史和体格检查患者男,62岁。因夜尿增多4年,排泡沫尿5个月于2017年3月8日在中山大学孙逸仙纪念医院风湿免疫科住院。患者于4年前无明显诱因出现夜尿增多,每晚3~5次,当时外院检查示血清肌酐约150 μmol/L,未予注意。入院前5个月患者开始排泡沫样尿,无肉眼血尿,无尿量减少,无颜面浮肿、腹胀、气促,无关节痛、皮疹、口腔溃疡,无脱发、光过敏、口干、眼干,无雷诺现象或肢体麻木,无消瘦,外院复查血清肌酐176 μmol/L,遂入院进一步诊治。既往有痛风病史10余年,规律口服别嘌醇0.1 g,每日2次治疗。
入院体格检查:体温36.7℃,脉搏86次/分,呼吸18次/分,血压126/79 mm Hg (1 mm Hg=0.133 kPa)。患者神志清晰,中度贫血貌。全身皮肤无黄染、紫绀或皮疹,口腔内无溃疡,咽无充血,双侧扁桃体无肿大。心、肺、腹部体格检查无异常。全身关节无肿胀、压痛,双下肢无水肿。
2. 实验室及辅助检查血常规:血红蛋白77 g/L,红细胞3.12×1012/L,白细胞4.09×109/L,血小板237×109/L。ESR 140 mm/h,CRP 47.1 mg/L,血清淀粉样蛋白A 435 mg/L。血尿素氮10.7 mmol/L,血清肌酐187 μmol/L,胱抑素C 1.86 mg/L,白蛋白25.5 g/L,球蛋白59.3 g/L。乙型病毒性肝炎及肝炎系列标志物、抗肾小球基底膜抗体、抗核抗体及抗双链DNA、抗可溶性抗原(ENA)抗体谱、抗中性粒细胞胞浆抗体、FT3、FT4、TSH均无异常。IgA 4.81 g/L、IgG 39.70 g/L、IgG4 10.60 g/L、轻链κ 9.18 g/L、轻链λ 5.08 g/L;免疫固定电泳:多克隆性高丙种球蛋白血症。骨髓细胞形态学检查:考虑非单纯性缺铁性贫血。骨髓活检病理:造血细胞增生活跃,造血细胞与脂肪比约6: 4,三系细胞可见,各阶段细胞可见,粒红比大致正常,粒系以成熟阶段为主,可见巨核细胞,未见肿瘤。尿常规:尿蛋白(+),红细胞20~30个/高倍视野,异型比例60%;尿蛋白定量0.162~0.168 g/24 h。头颅、双侧肩胛骨、骨盆、胸部平片及头颅CT增强扫描示相应部位骨质未见破坏;全身骨显像未见明显异常;腹部及泌尿系统彩色多普勒超声(彩超)示双肾大小正常,呈弥漫性损害改变,双肾动脉未见异常。
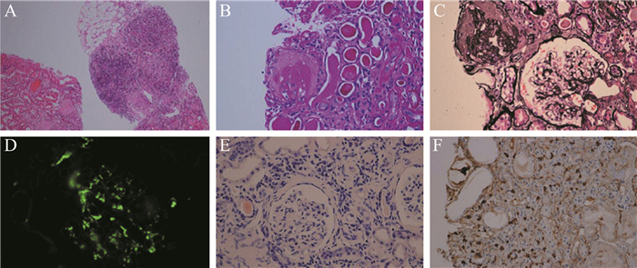
送检肾穿刺组织常规行苏木素-伊红(HE)、过碘酸-雪夫(PAS)、Masson染色,包括肾皮质及髓质,可见21个肾小球,其中12个肾小球呈球性硬化;其余肾小球系膜细胞和基质轻度增生,无明显内皮细胞增生,系膜区嗜复红蛋白沉积,毛细血管襻开放,基底膜无明显增厚,未见钉突样结构,未见系膜插入及双轨形成,壁层上皮细胞无增生,未见新月体形成,少数肾小球球囊周围纤维化,其内毛细血管襻缺血、皱缩。肾小管上皮细胞颗粒变性,可见少量蛋白管型,多灶状及片状萎缩(萎缩面积约50%),肾间质大量以成熟浆细胞为主的炎症细胞浸润,纤维化不明显,小动脉管壁增厚,管腔狭窄。石蜡免疫荧光:IgG (-)、IgM (-)、IgA (+ +)、C3 (+)、C1q (-)。免疫荧光:κ (±)、λ (±),AA (-),IgG1 (-),IgG2 (-),IgG3 (-);IgG4阳性浆细胞数>10个/高倍视野。特殊染色:刚果红(-),氧化刚果红(-)。病理诊断:符合IgG4相关性慢性TIN;IgA肾病(图 1)。
|
图 1 一例IgG4相关TIN合并IgA肾病患者的肾脏病理结果 A:肾间质中大量以成熟浆细胞为主的炎症细胞浸润(HE染色,×50);B:硬化的肾小球(PAS染色,×200);C:基底膜无明显增厚(PAS染色,×200);D:IgA沉积(免疫荧光,×200);E:刚果红(-)(特殊染色,×200);F:IgG4阳性浆细胞多于10个/高倍视野(HE染色,×200) |
考虑为IgG4相关TIN合并IgA肾病,予甲泼尼龙40 mg/d抗炎、口服环磷酰胺50 mg/d抑制免疫,并予抑酸护胃、预防骨质疏松、补充造血原料等治疗,患者症状减轻,2周后带药出院。门诊糖皮质激素逐渐减量。治疗后2个月,患者未再排泡沫样尿,仍有夜尿,复查:血红蛋白119 g/L,ESR 111 mm/h,血清肌酐167 μmol/L,血尿素氮9.7 mmol/L,IgG4 6.7g/L;尿蛋白(±)。治疗后4个月复查:血红蛋白116 g/L,ESR 67 mm/h,血清肌酐153 μmol/L,血尿素氮8.9 mmol/L,IgG4 4.2 g/L;尿蛋白(±)。
二、IgG4相关TIN合并IgA肾病相关的文献检索结果检索国内外文献,截至2017年11月本例IgG4相关TIN合并IgA肾病患者为国内外报道的第2例。在近15年(2003~2017年)公开发表的相关文献中,国外并未有相关报道,而我国李聚敏等[1]于2014年报道一例腹膜后纤维化合并IgG4相关间质性肾炎及IgA肾病的患者,为64岁男性,以急性肾衰竭入院,血清肌酐727 μmol/L,IgG 30.7 g/L,并未提及外周血IgG4水平,影像学检查提示腹膜后纤维化,肾穿刺病理活检诊断为IgG4相关TIN及IgA肾病,经糖皮质激素治疗后好转,该例患者的肾衰竭为肾性因素与肾后性因素参与。
讨论IgG4相关性疾病是一种自身免疫介导的炎症性纤维化疾病,最早于2001年由Hamano等在自身免疫性胰腺炎中报道。IgG4相关性疾病的临床特点是受累器官或组织由于炎症发生弥漫性或局灶性肿大,可伴有血清IgG4水平升高[2-3]。IgG4相关TIN主要表现为TIN,也可出现肾小球、肾盂、输尿管受累,累及肾小球时主要表现为以IgG4沉积为主的膜性肾病[4]。IgG4-RKD患者的平均发病年龄为65岁,男性多见,可以出现尿液、肾功能检查异常,血IgG4水平升高(≥1 350 mg/L),可伴有高IgG血症、低补体血症、高IgE血症,影像学可发现弥漫性肾脏肿大、肾实质多发或单发性占位、肾盂肥厚等,肾脏病理可见明显的淋巴细胞、浆细胞浸润,
IgG4: IgG阳性细胞≥40%或IgG4阳性浆细胞数多于10个/高倍视野,浸润炎症细胞周围可见特征性的纤维化改变[5]。绝大部分患者同时伴有其他器官受累,如唾液腺、淋巴结、胰腺。目前IgG4-RKD的发病机制尚不清楚,已有研究结果表明其可能与自身免疫功能紊乱及过敏有关[4]。IgG4相关TIN区别于其他TIN的突出改变是早期即可出现明显纤维化[6]。
IgA肾病是指IgA或以IgA为主的Ig弥漫沉积于肾小球系膜区及毛细血管襻引起一系列临床症状及病理改变,是我国最常见的一种慢性肾小球肾炎,约占原发性肾小球肾炎的30% ~45%[7-8]。IgA肾病主要累及肾小球,肾间质病变包括间质纤维化、肾小管萎缩、炎性细胞浸润等。其临床表现多种多样,可以从无症状尿检异常至反复发作性肉眼血尿,甚至急性肾衰竭。
IgG4相关TIN在光镜下可见小管间质炎症、炎症细胞浸润、肾小管萎缩、不伴或仅伴有轻度肾小球系膜基质增厚或细胞增生,对于肾衰竭可见球性硬化,有少数报道见IgG4相关TIN合并IgA肾病,目前有关IgG4相关TIN与肾小球病变之间的相互关系尚无定论,有待进一步研究。本例患者肾脏病理活检提示肾间质大量炎症细胞浸润,且IgG4阳性浆细胞数多于10个/高倍视野,符合IgG4相关TIN,而肾小球硬化比例超过50%,免疫荧光提示IgA (+ +),且肾小球并未发现IgG4阳性浆细胞,故考虑肾小球病变为IgA肾病,而非IgG4-RKD的肾小球受累表现,诊断为IgG4相关TIN合并IgA肾病。
除上述表现外,IgG4-RKD患者外周血球蛋白明显升高、游离轻链升高,需鉴别多发性骨髓瘤所致肾损害、系统性轻链(AL)型淀粉样变性。
多发性骨髓瘤可引起肾损害,其发生率20%~50%,主要由单克隆轻链在肾小球基底膜和(或)肾小管上的毒性作用引起,当过量轻链与尿调解蛋白在远端肾单位形成聚合物和管型,导致肾小管梗阻并伴随炎症发生[9]。典型多发性骨髓瘤表现为单克隆性高丙种球蛋白血症,外周血球蛋白水平、骨髓细胞形态学检查、免疫固定电泳、扁骨影像学检查均有助发现该疾病。本例患者虽存在高球蛋白血症,但其免疫固定电泳表现为多克隆性高丙种球蛋白血症,骨髓活检未发现浆细胞比例增多,骨扫描及X线、CT扫描未发现溶骨性病变,故多发性骨髓瘤不成立。患者肾脏病理免疫荧光检查虽发现轻链κ及轻链λ可疑阳性,伴肾小管中少量蛋白管型,但并未发现明显肾小管梗阻表现,故不考虑轻链导致肾损伤。
AL型淀粉样变性是由单克隆Ig轻链错误折叠形成淀粉样蛋白,并沉积于组织器官,造成结构破坏、器官功能障碍并进行性发展的疾病,主要与克隆性浆细胞异常增殖有关。组织学上可表现为刚果红染色阳性,高锰酸钾预处理后仍为阳性,游离轻链κ、λ抗体免疫组织化学或免疫荧光检查结果为单一轻链阳性,电镜下可见细纤维状结构,无分支,僵硬,排列紊乱[10]。本例患者肾脏病理虽发现轻链κ及轻链λ均可疑阳性,但其刚果红染色及氧化刚果红染色均为阴性,可予排除。
国内一项对106例伴有慢性肾功能不全的IgA肾病患者进行肾活检的研究发现,肾小管萎缩是肾功能损害的危险因素,肾小管间质病变在IgA肾病患者疾病进程中起重要作用[11]。另一项对148例IgA肾病患者的研究指出,伴活动性小管间质病变的IgA肾病患者的临床表现较一般IgA肾病患者更严重[8]。临床应对该类IgA肾病患者及时采取针对炎症细胞浸润的治疗措施,有可能延缓IgA肾病患者慢性肾功能不全的进展[11]。本例患者肾小管呈多灶状及片状萎缩,萎缩面积达50%,且间质可见大量炎症细胞浸润,提示肾损害严重。若不及时积极干预,则很可能出现肾功能急剧恶化,甚至出现尿毒症。
由于IgA肾病存在较多的临床表现和病理改变,导致临床长期以来无特异性治疗方案,KDIGO指南指出,系膜增生性及微小病变型多对糖皮质激素敏感,临床上确诊后应给予足量糖皮质激素治疗,减少复发[12]。对于经过3~6个月ACEI或ARB支持治疗后,尿蛋白≥1 g/24 h且肾小球滤过率≥50 ml/min者,或临床上呈肾病综合征同时病理表现为微小病变的IgA肾病,或新月体性IgA肾病或伴有肾功能快速下降者,可考虑糖皮质激素治疗[12]。本例患者尿蛋白<1 g/24 h,且肾小球半数以上硬化,系膜细胞仅轻度增生,无新月体表现,亦无肾功能快速下降过程,故若单纯从IgA肾病角度考虑,并无应用糖皮质激素指征,但患者肾间质有大量炎症细胞浸润,且IgG4阳性浆细胞数>10个/高倍视野,提示存在间质性炎症。根据2014年IgG4相关性疾病国际研讨会提出关于IgG4相关性疾病的诊治建议,对于有症状的、活动性的IgG4相关性疾病患者首选糖皮质激素进行诱导缓解,部分患者需联合使用免疫抑制剂[3, 13]。本例患者存在明显间质性炎症,故给予足量糖皮质激素联合环磷酰胺方案治疗。鉴于目前应用于IgG4相关性疾病的免疫抑制剂疗效均未经前瞻性研究证实,支持其治疗有效性的研究数据较少[2-3]。本例患者经糖皮质激素联合环磷酰胺治疗4个月后,血清肌酐水平未见太大变化,但IgG4水平、IgG水平、贫血及炎症指标均得到较大改善,其长期的疗效以及安全性评价有待进一步随访。
| [1] |
李聚敏, 周焕芝, 邹万忠, 黄巍, 王昱景, 张五星, 张智敏, 周伟, 赵学伟. IgA肾病伴IgG4相关性间质性肾炎1例报道[J]. 解放军医学杂志, 2017, 39(7): 590-592. |
| [2] |
Khosroshahi A, Wallace ZS, Crowe JL, Akamizu T, Azumi A, Carruthers MN, Chari ST, Della-Torre E, Frulloni L, Goto H, Hart PA, Kamisawa T, Kawa S, Kawano M, Kim MH, Kodama Y, Kubota K, Lerch MM, Löhr M, Masaki Y, Matsui S, Mimori T, Nakamura S, Nakazawa T, Ohara H, Okazaki K, Ryu JH, Saeki T, Schleinitz N, Shimatsu A, Shimosegawa T, Takahashi H, Takahira M, Tanaka A, Topazian M, Umehara H, Webster GJ, Witzig TE, Yamamoto M, Zhang W, Chiba T, Stone JH; Second International Symposium on IgG4-Related Disease. International Consensus Guidance Statement on the Management and Treatment of IgG4-Related Disease[J]. Arthritis Rheumatol, 2015, 67(7): 1688-1699. DOI:10.1002/art.39132 |
| [3] |
季兰岚, 张卓莉. IgG4相关疾病诊断及治疗的国际专家共识[J]. 中华风湿病学杂志, 2016, 20(8): 576. |
| [4] |
孙晶娣, 李文歌, 赵久阳. IgG4相关肾病的诊断与治疗[J]. 中华肾病研究电子杂志, 2013, 2(1): 28-33. |
| [5] |
Pradhan D, Pattnaik N, Silowash R, Mohanty SK. IgG4-related kidney disease—a review[J]. Pathol Res Pract, 2015, 211(10): 707-711. DOI:10.1016/j.prp.2015.03.004 |
| [6] |
郑可, 李雪梅, 蔡建芳, 文煜冰. IgG4相关性疾病泌尿系统损害分析[J]. 中华肾脏病杂志, 2012, 28(12): 937-942. DOI:10.3760/cma.j.issn.1001-7097.2012.12.007 |
| [7] |
Cai GY, Chen XM. Immunoglobulin A nephropathy in China: progress and challenges[J]. Am J Nephrol, 2009, 30(3): 268-273. DOI:10.1159/000225563 |
| [8] |
龚建光, 金娟, 赵黎, 李一乔, 邹文利, 李一文, 何强. 伴活动性小管间质病变的IgA肾病的临床及病理分析[J]. 中华肾脏病杂志, 2016, 32(10): 728-733. DOI:10.3760/cma.j.issn.1001-7097.2016.10.002 |
| [9] |
Dimopoulos MA, Sonneveld P, Leung N, Merlini G, Ludwig H, Kastritis E, Goldschmidt H, Joshua D, Orlowski RZ, Powles R, Vesole DH, Garderet L, Einsele H, Palumbo A, Cavo M, Richardson PG, Moreau P, San Miguel J, Rajkumar SV, Durie BG, Terpos E. International Myeloma Working Group Recommendations for the Diagnosis and Management of Myeloma-Related Renal Impairment[J]. J Clin Oncol, 2016, 34(13): 1544-1557. DOI:10.1200/JCO.2015.65.0044 |
| [10] |
国家肾脏疾病临床医学研究中心中国系统性淀粉样变性协作组. 系统性轻链型淀粉样变性诊断和治疗指南[J]. 中华医学杂志, 2016, 96(44): 3540-3548. DOI:10.3760/cma.j.issn.0376-2491.2016.44.002 |
| [11] |
陈香美, 王涌, 汤力, 刘述文, 吴杰. 106例伴有慢性肾功能不全的IgA肾病患者肾活检的临床价值[J]. 中华肾脏病杂志, 2003, 19(1): 15-19. |
| [12] |
陈玲, 吴小燕. IgA肾病临床诊治指南(解读)[J]. 临床内科杂志, 2015, 32(5): 358-360. |
| [13] |
杨彩红, 李雪, 吴恒莲, 杨岫岩. 肾上腺皮质激素助减剂治疗IgG4相关性疾病一例[J]. 新医学, 2014, 45(9): 632-635. |


