食管异物梗阻是指吞饮不慎,食管先天性或后天性狭窄、神经精神原因导致异物梗阻于食管某一部位[1]。食管异物包括真性食管异物和食物团块,囊括了生活中各种能进入口腔的物件[2-3]。食管异物梗阻后临床表现轻重不一,严重者食管穿孔后形成食管瘘、纵隔脓肿、脓气胸、穿破大血管等严重并发症,如处理不当或延误病情可危及生命,一经确诊需立即处理。尽管不断改进的诊断方法使食管异物梗阻诊断取得很大进步,但临床上仍偶有误诊病例发生。本文分析1例食管异物梗阻曾被误诊为食管裂孔疝的病例资料,并通过复习国内外相关文献,探讨食管异物梗阻的解剖及病理生理特征、临床特点、诊断要点、误诊原因及防范误诊措施,加强对食管异物梗阻的认识,减少或避免误诊的发生。
病例资料 一、主诉及病史患者女,73岁。因进食困难伴呕吐2 d于2017年4月9日入院。患者于入院前2 d无明显诱因出现进食困难,表现为进食梗阻,进食后立即呕吐,呕吐物为刚进食物,伴间断性胸骨后及上腹部疼痛,无呕血、黑便,无呼吸困难,无发热、畏寒,无咳嗽、咳痰等。当时未给予任何治疗及检查,上述症状持续1 d无缓解,于当地医院行CT检查示部分胸腔胃,食道中上段扩张并内容积聚,考虑食管裂孔疝,患者及家属为求进一步治疗转入我院急诊科,患者精神较差,不能进食,小便少,体质量未见明显下降。患糖尿病35年,长期皮下注射胰岛素控制血糖; 患高血压病10余年,未规律口服药物治疗; 自诉有冠状动脉粥样硬化性心脏病(冠心病)及脑梗死病史(未见检查报告),长期口服抗凝药物治疗。手术史:25年前因胆囊炎行腹腔镜下胆囊切除术; 入院2个月前因糖尿病足于外院行右足第二趾截趾术。
二、体格检查体温36.7℃,呼吸22次/分,脉搏68次/分,血压168/72 mm Hg (1 mm Hg=0. 133 kPa)。神志清晰,言语欠清,急性面容,精神差,营养较差; 颈部及胸部未见异常隆起及包块,无红肿压痛; 双肺呼吸音粗,未闻及明显干湿啰音,心率68次/分,律不齐,上腹部轻压痛,无反跳痛及肌紧张,双下肢无水肿,右足第二趾缺如。
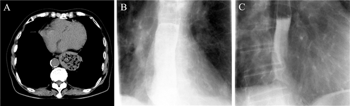
三、辅助检查入院行血常规:血红蛋白137 g/L,红细胞计数4.77×1012/L, 血小板计数111×109/L,白细胞计数15.12×109/L,中性粒细胞百分比85.6%。血液生化:空腹血糖16.86 mmol/L。行血气分析、肝肾功能、电解质、尿常规、粪常规、凝血功能、输血全套、淀粉酶脂肪酶等检验均未见明显异常。心电图检查示:心率68次/分,ST-T改变,窦性心律,完全性右束支传导阻滞,左前分支传导阻滞。外院CT示部分胸腔胃,并食道中上段扩张并内容集聚,膈疝?我院急诊胸部、上腹部CT示部分胃疝入隔上,囊内见散在低密度影及气体影(如图 1A所示),考虑食管裂孔疝可能。由于患者进食立即出现呕吐,CT提示食管内容物积聚,且怀疑胸腔胃嵌顿,行胃钡剂造影及食管镜检查难度大、风险高,故未行相关检查。
|
图 1 一例老年食管异物梗阻患者CT及食管碘水造影图 A:术前胸部CT; B:术后10 d碘水造影图; C:随防6个月碘水造影图 |
入院后禁食、一级护理、心电监护、胃肠减压,奥美拉唑注射液静脉滴注抑酸保护胃黏膜,补液纠正水电解质以及酸碱失衡等支持治疗。患者主要临床表现为进食后呕吐、吞咽困难、胸骨后及上腹部疼痛,加之外院及本院胸部CT提示食管内容物积聚,诊断报告均考虑食管裂孔疝; 病情急、时间紧,鉴别诊断具有一定难度,因此导致将食管异物误诊为食管裂孔疝,拟行食管旁疝修补术治疗。经左胸第7肋间进胸探查见胸腔内少许淡黄色液体,食管中下段(距贲门口约2 cm以上)明显扩张增粗,食管下段肌层增厚; 切开食管下段,见大量食物残渣潴留于食管腔内,打开膈肌,见贲门口通畅、松弛,胃内无食物残渣,幽门无梗阻,术中纠正诊断为食管下段异物梗阻。行食管异物取出术后予以禁食水,胃肠减压,给予脂肪乳、氨基酸静脉营养、补液,头孢呋辛钠抗感染,注射用奥美拉唑钠抑酸护胃、痰热清清热化痰等对症支持治疗。密切监测血糖、血压,请内分泌科协作给予胰岛素泵持续静脉泵入胰岛素控制血糖良好,请心血管内科协作控制血压良好。术后第10日行食管碘水造影及胸部CT无特殊异常(如图 1B所示),患者开始进食流质,进食流质患者无梗阻、无呛咳,后逐渐过渡到进食软食,顺利出院。
五、随访至投稿日患者精神良好,进食通畅,无吞咽困难,无胸痛、胸闷、气促等不适,大小便正常。手术伤口愈合良好,心肺查体未见明显异常; 复查食管碘水造影(如图 1C所示)及血常规、肝肾功、电解质无特殊异常。
讨论食管为前后扁平的肌型管状器官,有3处生理性狭窄,分别为环咽肌和环状软骨水平、食管与左主支气管交叉处、食管括约肌处,食管异物梗阻多发生在以上3个生理狭窄处。食物最易嵌顿于食管第一处生理狭窄处,这与食管的环咽肌有关,正常吞咽时,当咽缩肌收缩波传导至由中枢交感神经控制的环咽肌时,环咽肌松弛以便食团顺利通过; 通过环咽肌的食团在食管蠕动形成的第二收缩波作用下向食管下段移动; 食管下括约肌受迷走神经支配,迷走神经抑制性纤维末梢兴奋释放血管活性肠肽和一氧化氮,引起食管下括约肌舒张,食团最终顺利通过食管下段,以上神经传导、递质释放出现障碍均会影响食物顺利通过食管[1, 4-7]。
食管异物梗阻的临床特征与异物的性质、大小、种类,异物梗阻的位置,患者年龄,发病就诊时间,是否有并发症有密切关系。梗阻发生后可表现为:①吞咽阻塞感及胸部疼痛,这是大多数食管异物梗阻患者表现出的临床表现,若梗阻位于食管上段,疼痛部位常在胸骨上窝或颈根部,梗阻位于中下段食管患者疼痛位于胸骨后、剑突下,同时可放射至背部,患者在进食异物后有大量进食饭团或饮水、饮醋,试图咽下或软化异物,这些举措会加重吞咽困难及胸部疼痛; ②呼吸道症状,如果异物较大而压迫气管或并发脓气胸、食管气管瘘,可表现出呼吸困难、咯脓痰或咯出食物残渣; ③颈部活动困难,并发食管周围炎累及颈部肌肉使其痉挛,导致颈项强直,从而导致颈部活动受限; ④感染症状,出现食管炎、食管周围炎、纵隔感染时,机体可出现全身不适、发热、白细胞升高等感染性症状; ⑤并发食管穿孔引起的症状,颈段食管穿孔导致颈部红斑及触痛、皮下气肿、食管周围脓肿、食管气管瘘,胸段食管穿孔可致纵隔气肿、纵隔脓肿、脓气胸、食管动静脉瘘等形成,可表现出胸痛、呼吸困难、口吐血液、黑便等相应症状,大大增加院内死亡风险[8-11]。
食管异物梗阻临床表现变化多样,对于食管异物梗阻的诊断,病史采集至关重要。大多数患者有明确的异物吞咽或强吞食团史,且进一步对异物的性质、大小、种类,进食时间,嵌顿后有无继续进食,有无食管异物梗阻后食管穿孔并发食管周围炎及食管周围脓肿引起胸痛、高烧、颈部红肿压痛等症状的询问,对于食管异物梗阻的快速诊断、严重程度的准确评估及拟定科学合理的治疗方案具有很大帮助[12-13]。辅助检查:①普通X线片价格便宜,方便,但敏感性差、准确率不高,对鱼刺、塑料、玻璃等异物具有较低诊断率,正常的胸片不能排除食管异物梗阻的可能; ②吞服少许钡餐造影虽然对于不显影的食管异物明确诊断具有一定帮助,但假阳性率较高,具有大量钡剂造影阳性而食管镜镜检未见异物的报道,不仅难以评估异物损伤食管壁的程度,也存在使异物更深入食管壁的风险,且残存的钡剂为后续治疗带来一定难度,更有甚者食管异物梗阻时行钡餐检查有致钡剂误吸、危及生命的风险; ③入院行胸部CT平扫或三维重建,对于判断有无异物及异物嵌顿位置具有很高的准确率,尤其是对明确是否具有并发症有很大帮助[16],对内窥镜异物取出及手术治疗均具有重大价值; ④电子纤维胃镜为直视下检查,可对食管异物作出明确诊断,较小的且未穿孔异物可以直接取出,具有检查时同时行治疗的功能, 推荐其作为食管异物的首选治疗,但电子纤维胃镜检查一般要求禁食,在急诊的不易配合的患者实施较困难; ⑤影像学提示有胸腔积液时可行诊断性胸腔穿刺明确积液性质及增强CT检查明确有无造影剂外渗,明确是否合并血管损伤。详细病史的采集、系统查体结合科学有效的辅助检查是确诊食管异物梗阻的关键举措,对于避免食管异物梗阻误诊误治具有重大意义[8-9, 14-20]。
分析导致本例食管异物梗阻误诊原因:①患者为老年女性,入院病史采集否认异物或较大食团吞咽史及吞咽困难史。②临床表现为进食后呕吐、吞咽困难、胸骨后及上腹部疼痛,临床表现与食管裂孔疝极为相似[21]。③外院与本院CT检查见心脏后、食管裂孔上有一最大直径约60 mm的袋状肿块,内有大量低密度物质及散在气体(如图 1A所示),与食管裂孔旁疝影像表现相似,诊断报告均考虑食管裂孔疝。④诊断思维局限,接诊医师在患者否认异物吞食及吞咽阻塞感史后直接排除食管异物梗阻的诊断,未考虑老年患者食管生理变化易引起未嚼烂食团梗阻于食管的可能。⑤病情急,时间紧,患者来院持续呕吐、胸痛,病情较紧急。诊断考虑食管裂空旁疝胸胃嵌顿,需急诊手术解除嵌顿,留给医生观察病情变化,纠正诊断的时间非常短。⑥诊断手段单一局限,患者进食立即出现呕吐,食管内容物积聚,且怀疑胸腔胃嵌顿,行食管钡剂造影及食管镜检查难度大、风险高,辅助检查只能单凭胸部CT,无系统检查从多方面明确诊断。由于临床表现及CT影像提示与食管裂孔疝极为相似,鉴别诊断具有一定困难,导致将食管异物梗阻误诊为食管裂孔疝,开胸行食管旁疝修补术探查时最终确诊为食管异物梗阻。术中探查食管见大块肉质食团梗阻于食管下段,术后分析患者否认吞咽阻塞史及阻塞形成原因可能为:①患者年龄较大,随着年龄增加,各脏器功能衰退, 口腔及咽喉黏膜上皮退行性改变, 导致神经未梢感觉迟钝,加上食管肌肉较松弛,食管异物吞咽困难及吞咽疼痛的主诉不强烈; ②参与咀嚼的肌肉协调功能降低及收缩能力减弱,唾液分泌减少,老年人牙齿脱落,牙槽萎缩, 不匹配的义齿不能很好地发挥咀嚼功能, 食物不能在口腔充分嚼烂研磨而被吞入食管,且老年人食管蠕动功能较差,存在由环状肌发生不规则、局限性挛缩产生的食管第三收缩波,使由第二收缩波下推的未嚼烂的肉块梗阻于下段食管, 形成食管异物; ③老年人自身心理原因,害怕为子女增加负担或怕子女责备,故意隐瞒病史[5, 8]。
食管异物梗阻若处理不当或延误病情可能造成水电解质紊乱、穿孔、颈部或纵隔脓肿、脓气胸、食管气管瘘、食管血管瘘等严重并发症而危及生命。因此,临床接诊医师在临床工作中遇到患者有恶心呕吐、胸部疼痛等临床症状,在考虑食管裂孔疝、冠心病、气胸等疾病诊断的同时,进一步详细询问病史及系统查体、结合患者年龄特征及病理生理变化,根据胸部CT、食管造影、胃镜检查这三项重要的辅助检查结果,排查是否存在食管异物梗阻。胸部CT对于食管下段病变特别是贲门病变的诊断价值有限,术前应尽可能行胃镜检查,且有研究表明无痛胃镜较普通胃镜有更好收益,如患者行胃镜检查风险过大,可在手术室术前麻醉气管插管后行胃镜检查; 如果病人能饮少许水,可行碘油造影代替钡剂造影明确诊断[22]。临床医师在诊疗过程要具有发散思维,鉴别诊断不能先入为主,不能盲目相信辅助检查,应从疾病的发生发展过程总体考虑,尽量做到避免食管异物梗阻的误诊误治。
| [1] |
史文松, 苏争艳, 魏创业, 陈小放, 刘帅帅, 付校, 刘东雷, 崔广晖. 食管异物临床特点及规范化诊疗[J]. 世界华人消化杂志, 2017, 25(30): 2721-2730. |
| [2] |
蒋勇, 林凌, 张建卫, 胡定中, 曹克坚, 陈文虎. 食管异物的合理化诊治[J]. 中华胸部外科电子杂志, 2015, 2(1): 55-62. |
| [3] |
Smith MT, Wong RK. Esophageal foreign bodies: types and techniques for removal[J]. Curr Treat Options Gastroenterol, 2006, 9(1): 75-84. DOI:10.1007/s11938-006-0026-3 |
| [4] |
章毅, 王敏, 古艳, 杨冬冬, 侯铁军. 301例食管异物患者临床诊治分析[J]. 中国耳鼻咽喉颅底外科杂志, 2013, 19(4): 322-324, 329. |
| [5] |
徐亦生, 占鸣, 朱文良. CT在食管异物检查中的检出率及显像效果观察(附29例报告)[J]. 浙江中医药大学学报, 2013, 37(2): 174-176. |
| [6] |
黄鹤年. 现代耳鼻咽喉头颈外科学[M]. 上海: 复旦大学出版社, 2003: 123.
|
| [7] |
朱大年, 王庭槐. 生理学[M]. 北京: 人民卫生出版社, 2013: 118.
|
| [8] |
陈净华, 张凯扬, 黄晓华. 老年患者食管异物临床诊治分析[J]. 中国耳鼻咽喉颅底外科杂志, 2015, 21(1): 67-68. |
| [9] |
林伟年, 叶晓明, 粘忠柱, 廖军, 张晓东. 食管钡剂造影阳性误诊为食管异物26例报告[J]. 临床耳鼻咽喉头颈外科杂志, 2015, 29(4): 368-369. |
| [10] |
程功文, 马西淼, 魏益平, 俞东亮, 徐建军, 王一明. 胸食管异物损伤的临床诊断与治疗[J]. 中国胸心血管外科临床杂志, 2012, 19(6): 686-689. |
| [11] |
Burton AG, Talbot CT, Kent MS. Risk factors for death in dogs treated for esophageal foreign body obstruction: a retrospective cohort study of 222 cases (1998-2017)[J]. J Vet Intern Med, 2017, 31(6): 1686-1690. DOI:10.1111/jvim.14849 |
| [12] |
刘昌荣, 何剑, 唐瑶云. 53例食管异物的临床分析[J]. 中国耳鼻咽喉颅底外科杂志, 2013, 19(4): 353-354. |
| [13] |
Guelfguat M, Kaplinskiy V, Reddy SH, DiPoce J. Clinical guidelines for imaging and reporting ingested foreign bodies[J]. AJR Am J Roentgenol, 2014, 203(1): 37-53. DOI:10.2214/AJR.13.12185 |
| [14] |
Sink JR, Kitsko DJ, Mehta DK, Georg MW, Simons JP. Diagnosis of pediatric foreign body ingestion: clinical presentation, physical examination, and radiologic findings[J]. Ann Otol Rhinol Laryngol, 2016, 125(4): 342-350. DOI:10.1177/0003489415611128 |
| [15] |
邓斌. 食道异物合并吸入性钡肺致死1例报告[J]. 中国耳鼻咽喉颅底外科杂志, 2003, 9(3): 64. |
| [16] |
Birk M, Bauerfeind P, Deprez PH, Häfner M, Hartmann D, Hassan C, Hucl T, Lesur G, Aabakken L, Meining A. Removal of foreign bodies in the upper gastrointestinal tract in adults: European Society of Gastrointestinal Endoscopy (ESGE) Clinical Guideline[J]. Endoscopy, 2016, 48(5): 489-496. DOI:10.1055/s-00000012 |
| [17] |
施少华, 黄贤华, 王旭荣, 胡天虹, 胡韶凯, 郑汉朋, 邱乾德. 16层螺旋CT低剂量扫描及三维重建技术在食管异物中的诊断价值[J]. 现代实用医学, 2014, 26(3): 352-354, 377. |
| [18] |
Burgos A, Rábago L, Triana P. Western view of the management of gastroesophageal foreign bodies[J]. World J Gastrointest Endosc, 2016, 8(9): 378-384. DOI:10.4253/wjge.v8.i9.378 |
| [19] |
ASGE Standards of Practice Committee, Ikenberry SO, Jue TL, Anderson MA, Appalaneni V, Banerjee S, Ben-Menachem T, Decker GA, Fanelli RD, Fisher LR, Fukami N, Harrison ME, Jain R, Khan KM, Krinsky ML, Maple JT, Sharaf R, Strohmeyer L, Dominitz JA. Management of ingested foreign bodies and food impactions[J]. Gastrointest Endosc, 2011, 73(6): 1085-1091. DOI:10.1016/j.gie.2010.11.010 |
| [20] |
Ofosu A, Ramai D, Reddy M. Overtube-assisted foreign body removal: a review of endoscopic management and case illustration[J]. Cureus, 2017, 9(9): e1730. |
| [21] |
郭兰敏, 范全心, 邹承伟. 实用胸心外科手术学[M]. 北京: 科学出版社, 2010: 733-744.
|
| [22] |
方凛强, 陈少龙. 无痛胃镜治疗不同年龄段上消化道异物的临床观察[J]. 新医学, 2014, 45(6): 403-407. |


