前列腺原发的尿路上皮癌十分罕见,临床早期诊断很困难,且容易转移,预后较差。目前,国内对该类病例的研究较少。为此,现结合我院诊治的1例沿前列腺大导管生长的原发性尿路上皮癌临床特征及病理特点,探讨该病的治疗及预后,以提高临床医师及病理医师对其认识水平。
病例资料 一、病史及体格检查患者男,66岁。因尿频尿急、排尿困难伴夜尿增多2年加重半年,于2017年2月6日入院。患者2年前无明显诱因出现尿频尿急、排尿困难,伴夜尿增多,无腰背部酸痛不适,未予重视,未经治疗。患者诉2年来上述症状逐渐加重,半年前感尿频尿急、排尿困难加重,尿色淡红,无血块,夜尿7~8次/晚,无腰痛、尿痛,遂至我院泌尿外科门诊就诊,查总前列腺特异性抗原(TPSA) 5.99 μg/L,予抗炎对症等治疗,肉眼血尿症状好转。半月前,患者排尿困难明显加重,伴尿频尿急,无尿痛,尿色清,为进一步诊治而收入我院。起病期间患者神志清晰,精神可,食欲、睡眠一般,无恶心、呕吐,无畏寒、发热,大、小便如常,近期体质量无明显减轻。
体格检查:体温36.5℃,脉搏107次/分,血压165/99 mm Hg(1 mm Hg=0.133 kPa),呼吸20次/分。神志清,精神可,发育正常,营养一般。自主体位,应答切题,查体合作。胸部、腹部及心脏检查未见明显异常。专科检查:双肾区平坦、对称,无压痛及叩击痛,未闻及血管杂音。膀胱区无充盈,叩诊鼓音。尿道外口无异常。双侧睾丸及附睾未触及异常。肛门指检:肛门括约肌张力正常,前列腺Ⅱ度增大,中央沟浅平,质韧,未及结节,指套无染血。
二、实验室及辅助检查入院血常规:血红蛋白152 g/L,红细胞3.8 ×1012/L,白细胞14.7×109/L,血小板234×109/L,单核细胞0.021×109/L,中性粒细胞12.150×109/L。血生化:碱性磷酸酶128.9 U/L,载脂蛋白B 1.16 g/L,血钙2.07 mmol/L,血钾3.20 mmol/L,总胆固醇5.47 mmol/L,LDL-C 3.55 mmol/L,甘油三酯2.08 mmol/L,β2微球蛋白1.11 mg/L,血尿素氮4.98 mmol/L,血清肌酐62.6 μmol/L,白蛋白/球蛋白1: 1.45、白蛋白37.8 g/L、ALT 16.6 U/L、AST 15.2 U/L;住院尿沉渣示上皮细胞计数10.4/μl、pH 5.0、红细胞194.9/μl、小圆上皮细胞7.8/μl、白细胞114.5/μl;TPSA 8.72 μg/L,游离PSA (FPSA) /TPSA 0.14。其余各项肿瘤指标均正常。
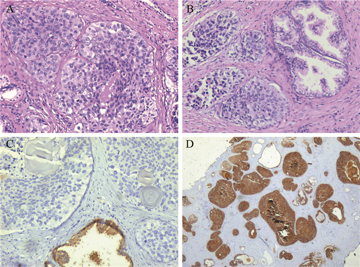
三、诊治经过临床诊断:前列腺增生,前列腺癌待排。入院后第2日在B超引导下行前列腺穿刺活组织检查(活检)术,于前列腺双侧周围带各穿刺6条组织。术后病理结果:(双侧)穿刺组织中有2条组织1/5区域见异型腺管。免疫酶标示:异型腺管高分子角蛋白(CKH,+),P504s (部分+),P63 (+),细胞角蛋白5/6 (CK5/6,小灶性+),考虑前列腺增生,部分区域高级别前列腺上皮内瘤(PIN),建议密切随访。膀胱尿道镜检查黏膜光滑,未见新生物或溃疡。对膀胱及尿道进行随机多点(9点)活检,病理示黏膜慢性炎。心电图、X线片及各部位B超检查均未发现异常,盆腔CT检查未发现肿大淋巴结。根据症状体征及CT等检查结果,患者前列腺增生诊断明确,现因排尿困难症状较重,已影响生活质量。于入院第5日行经尿道前列腺等离子切除术。术中见前列腺大小约为5.0 cm×4.5 cm×3.5 cm,以两侧叶增生为主,中叶轻度增生,膀胱颈部稍抬高。膀胱内小房小梁轻度增生。双输尿管开口正常,喷尿清。在持续膀胱冲洗下,按左侧叶、右侧叶、中叶、前叶顺序电切前列腺、最后修切膀胱颈部及前列腺尖部。术后病理示:短梭形的肿瘤细胞呈巢团状分布,细胞异型性明显,核分裂像可见,部分细胞团周围可见裂隙形成,少量区域可见细胞团内坏死。肿瘤细胞分布于正常前列腺腺体之间。肿瘤巢周围可见少量炎性细胞浸润。免疫组织化学(免疫组化)标记示:肿瘤细胞PSA (-),P504s (-),Ki-67 (30% +),CK7 (+),CK20 (+),CKH (+),基底细胞CK5/6 (部分+),P63 (部分+),见图 1。病理诊断为前列腺癌,结合临床及免疫组化标记结果,考虑前列腺原发的尿路上皮癌。术后症状缓解明显。术后膀胱内灌注吡柔比星化学治疗1个周期(每周1次,连续6次)。恢复良好,分别于2017年7月20日及2018年1月18日于本院门诊复查2次,各项肿瘤标志物正常,MRI复查盆腔无肿瘤转移及复发,无淋巴结肿大。
|
图 1 该例沿前列腺大导管生长的原发性尿路上皮癌患者的病理检查结果 A:肿瘤细胞呈巢团状分布(苏木素-伊红染色,×100);B:肿瘤细胞分布于前列腺腺体间(苏木素-伊红染色,×100);C:肿瘤细胞PSA呈阴性表达(免疫组化染色,×100);D:肿瘤细胞呈CK7阳性表达(免疫组化染色,×20) |
前列腺癌是男性最常见的恶性肿瘤。西方国家的前列腺癌发病率远远高于亚洲地区,但随着我国生活方式逐渐西式化,PSA筛查的普及以及人口老龄化的加重,我国前列腺癌的发病率逐年上升[1]。前列腺腺癌占前列腺肿瘤的绝大部分,但前列腺原发性尿路上皮癌仅占成人前列腺癌肿瘤的0.7%~2.8%[2]。梁腾红等[3]对302例前列腺穿刺活检标本进行统计分析,仅有1例前列腺原发的尿路上皮癌。目前,前列腺尿路上皮癌可能有以下4种发病机制:①前列腺部尿道及前列腺导管近盲端部分被覆有尿路上皮,在接触特定致癌物质时,可以与膀胱尿路上皮一样,发生恶变;②因膀胱颈部和三角区在解剖位置上彼此相邻,所以膀胱的浸润性尿路上皮癌经这2个部位的膀胱壁向下浸润至前列腺实质内;③膀胱黏膜的原位癌蔓延至前列腺尿道部,并向下发展,浸润前列腺实质;④膀胱及尿道内的尿路上皮癌种植到前列腺内[4]。其中前列腺尿路上皮单独恶变较为罕见,即原发性前列腺尿路上皮癌。
前列腺原发的尿路上皮癌在临床上缺乏特异性症状,多以尿路梗阻和血尿为主,血清PSA水平与肿瘤的发生无明显关联[5]。前列腺直肠指检亦无明显特征性表现。前列腺原发尿路上皮癌早期与前列腺癌以及浸润性尿路上皮癌侵犯前列腺较难鉴别。确诊需行临床病理组织活检。前列腺癌的肿瘤细胞核大、空淡,核仁明显,排列呈密集的小腺管及大筛孔状,腺管可呈双嗜性胞浆。而尿路上皮癌的肿瘤细胞为多边形或梭形,细胞核深染,核分裂像易见,胞浆嗜酸性,呈巢团状或索状排列,肿瘤细胞巢周围可见大量炎性细胞浸润。部分分化较差的前列腺腺癌与索状排列的尿路上皮癌较难区分,免疫组化有助于诊断,尿路上皮癌的肿瘤细胞免疫组化结果中PSA、CKH和P504s均呈阴性表达,而P63、CK7及CK20呈不同程度阳性表达。PSA阴性、CKH阳性表达支持肿瘤来源于尿路上皮,反之PSA阳性、CKH阴性支持肿瘤来源于前列腺上皮[2]。Varinot等[6]认为,PSA、PSAP、P504s、CK7和P63是鉴别低分化腺癌与尿路上皮癌首选的标志物。对于所怀疑的尿路上皮癌病例,均应排除膀胱原发尿路上皮癌累及前列腺的可能。因此,要对膀胱及尿道黏膜进行多点随机活检,排除隐匿癌的可能。
原发性前列腺尿路上皮癌最初累及尿道周围腺体和导管,并沿前列腺导管和腺泡扩散,并以同样的方式累及输精管、精囊腺及间质组织。原发性前列腺尿路上皮癌有极强的组织穿透能力,能够穿透膀胱颈部及周围软组织向膀胱黏膜及前列腺尿道部浸润生长。在所有原发性前列腺尿路上皮癌中,有大部分在发病时多已进展至T3或T4期,有20%的患者已出现远处转移,仅有1% ~4%未侵犯膀胱[7]。本例在入院时即已行膀胱尿道镜检查,反复确认膀胱黏膜无肿块及溃疡形成。且肿瘤细胞的形态及免疫组化标志物均支持尿路上皮来源,故诊断为原发性前列腺尿路上皮癌。
原发性前列腺尿路上皮癌的主要治疗手段是外科手术及辅助放射和(或)化学治疗,并无明确且统一的治疗方案。因本病在临床上无特征性症状且进展较快,所以预后极差。Angulo等[8]对12例该病患者进行回顾性分析,发现患者平均生存时间为24.1 (5~48)个月。间质浸润是影响原发性尿路上皮癌预后的重要因素。若发现根治标本或电切标本中有间质浸润,其预后远远差于局限于导管或腺泡内的尿路上皮癌。根治性手术是局部切除病灶,延长生存时间的有效措施;经尿道前列腺电切术可以作为一种改善生活质量的姑息性手段,但不能有效改善预后;化学治疗可以有效防止肿瘤复发,但不良反应明显;放射治疗有助于局部控制病灶,但单纯放射治疗者的长期生存率较低,多与化学治疗联合使用。原发性前列腺尿路上皮癌为非激素依赖性肿瘤,所以,去势手术及内分泌治疗对其无效。因此,早期诊断对于制定合理的治疗方案至关重要。
| [1] |
孙颖浩. 前列腺癌诊治进展[J]. 上海医学, 2011, 34(7): 487-488. |
| [2] |
陈庆生. 原发性前列腺尿路上皮癌2例报道并文献练习[J]. 临床医药实践, 2013, 22(3): 181-183. |
| [3] |
梁腾红, 张冬梅, 卢德宏, 赵兰, 许建军, 赵莉红. 少见前列腺癌类型45例临床病理学分析[J]. 临床与实验病理学杂志, 2012, 28(10): 1073-1077. DOI:10.3969/j.issn.1001-7399.2012.10.002 |
| [4] |
包佑根, 王金根, 毛允义, 贾灵华. 前列腺尿路上皮癌4例分析[J]. 江西医药, 2017, 7(6): 515-517. |
| [5] |
欧文, 于洋, 杨玻. 原发性前列腺尿路上皮癌二例报道并文献练习[J]. 中国医师进修杂志, 2015, 38(5): 379-380. |
| [6] |
Varinot J, Cussenot O, Roupret M, Conort P, Bitker MO, Chartier-Kastler E, Cheng L, Compérat E. HOXB13 is a sensitive and specific marker of prostate cells, useful in distinguishing between carcinomas of prostatic and urothelial origin[J]. Virchows Arch, 2013, 463(6): 803-809. DOI:10.1007/s00428-013-1495-0 |
| [7] |
詹运运, 孙毅伦, 蒋敏. 原发性前列腺尿路上皮癌1例并文献复习[J]. 蚌埠医学院学报, 2015, 40(12): 1697-1698. |
| [8] |
Angulo JC, Núñez C, Gonzalez J, Rodriguez N, Hernández E, Castillo E, Rodríguez-Barbero JM. Primary transitional cell carcinoma of the prostate: a male disease with dismal prognosis despite cisplatin-based systemic chemotherapy[J]. J Mens Health, 2010, 7(1): 64-92. DOI:10.1016/j.jomh.2009.12.004 |
