嗜酸性粒细胞性胃肠炎(EG)是一种嗜酸性粒细胞(EOS)局限性或弥漫性的胃肠道浸润的病变,为消化系统的罕见病。其外周血EOS数量可升高或正常,临床表现多样,胃肠道症状主要以腹痛、腹泻为主,病因迄今未明[1]。现报道近年我科收治的1例腹膜透析合并EG患者的临床资料,并复习相关文献,以供临床同道参考。
病例资料 一、病史及体格检查患者女,23岁,因反复乏力、食欲减退3个月、腹泻3 d于2017年10月16日入院。3个月前患者因反复乏力、食欲减退,伴视力下降,在外院及我院诊断为慢性肾衰竭、尿毒症期,于2017年7月20日开始留置腹膜透析管,行腹膜透析,期间使用Baxter低钙腹膜透析液(乳酸盐-G 1.5%,产品批号G17122273,恒温保存于37 ℃),透析方案为:1.5%腹膜透析液2 L、连续4个周期持续不卧床腹膜透析(CAPD)治疗。此后患者因反复发热、间有腹泻,在我院及外院诊治,予暂停腹膜透析,改行血液透析,上述症状改善,一般情况好转。2017年10月11日予停止血液透析,改行腹膜透析(腹膜透析液及透析方案同前),治疗2 d后患者反复出现腹部不适,伴有腹泻,每日约解绿色水样便5~6次,自服酪酸梭菌二联活菌胶囊、蒙脱石散治疗,腹痛、腹泻症状无缓解,于2017年10月16日到我院求诊。既往有慢性乙型肝炎史,余无特殊病史。
体格检查:体温36.5 ℃,脉搏98次/分,血压133/83 mm Hg (1 mm Hg=0.133 kPa),呼吸20次/分。中度贫血貌,双肺呼吸音清晰,未闻及干、湿性啰音,心界不大,心率98次/分,节律整齐,无杂音。腹平软,右下腹可见一腹膜透析置管,置管固定,隧道外口未见渗液及渗血,腹膜透析换液通畅,腹膜透析液清,未见腹壁静脉曲张及胃肠蠕动波,上腹部有轻压痛,无反跳痛,肝、脾肋下未扪及,肠鸣音正常。
二、实验室及辅助检查血常规:血红蛋白85 g/L,白细胞10.5×109/L,红细胞3.14×1012/L,血小板319×109/L,淋巴细胞比率0.302,EOS比率0.332、绝对值3.48×109/L。CRP<5.0 mg/L,降钙素原0.42 μg/L。血清白蛋白34.5 g/L,血尿素氮7.1 mmol/L,血清肌酐745.9 μmol/L,总胆红素6.4 μmol/L,直接胆红素3.7 μmol/L,间接胆红素2.7 μmol/L,ALT 7 U/L,AST 20 U/L,血清淀粉酶32.0 U/L,血钾3.18 mmol/L,血钙2.12 mmol/L,血磷1.45 mmol/L。粪常规:白细胞(-),红细胞(-),脂肪球(-),寄生虫及虫卵(-);培养未见致病菌生长。尿常规:蛋白(+ + +),潜血(+),尿比重1.007,红细胞计数46.30/μl。腹膜透析液:白细胞数13,浆膜腔液红细胞数0,单个核细胞百分比0.693,多个核细胞百分比0.307,李凡他试验(-)。抗核抗体、抗可提取性核抗原(ENA)、血管炎3项未见异常。
彩色多普勒超声(彩超):胆囊小息肉;慢性肾功能不全声像,双肾缩小;腹腔中量积液;肝、胆管、胰腺、脾、双侧输尿管、膀胱、子宫及双侧附件区未见明显异常。
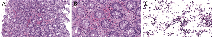
三、诊疗经过给予抗感染、止泻、调节肠道菌群治疗,患者腹部不适及腹泻症状无缓解,期间给予暂停腹膜透析治疗后上述症状可缓解,再次予腹膜透析治疗时,腹部不适及腹泻症状再次出现。2017年10月23日血常规:血红蛋白90 g/L,白细胞12.1×109/L,红细胞2.63×1012/L,血小板210×109/L,淋巴细胞比率0.173,中性粒细胞比率0.384,EOS比率0.409、绝对值4.94×109/L。2017年10月26日,胃肠镜提示:①慢性浅表性胃炎;②结肠炎症改变;③内痔。肠黏膜病理活组织检查(活检):(升结肠、乙状结肠、直肠黏膜)中-重度黏膜慢性活动性炎症伴糜烂,并见中等-较多EOS浸润(约20~60/高倍视野),见图 1A、B。2017年10月27日腹膜透析液离心找EOS (图 1C),2017年11月1日结果回报:EOS>50%,未见确切肿瘤细胞。2017年10月27予甲泼尼龙40 mg/d静脉滴注,2017年10月29日患者腹部不适症状消失,腹泻缓解,开始每日解1次黄色成形大便。2017年10月29日血常规:血红蛋白102 g/L,白细胞5.7×109/L,红细胞2.53×1012/L,血小板181×109/L,淋巴细胞比率0.219,中性粒细胞比率0.743, EOS比率0.002、绝对值0.01×109/L。2017年10月30日改口服甲泼尼龙20 mg/d,此后患者一直无腹部不适及腹泻症状,病情好转,于2017年11月2日办理出院。出院后于2017年11月5日停用肾上腺皮质激素(激素)治疗,2017年11月10日门诊复查血常规:血红蛋白109 g/L,白细胞9.0×109/L,红细胞2.7×1012/L,血小板215×109/L,淋巴细胞比率0.277,中性粒细胞比率0.570,EOS比率0.089、绝对值0.8×109/L。随访至撰稿日,患者病情未见复发。
|
图 1 一例腹膜透析伴EG患者的肠黏膜活检结果及腹膜透析液检查结果(苏木素-伊红染色) A:肠镜活检标本示结肠黏膜慢性炎症伴大量EOS浸润(×200);B:肠镜活检标本示结肠黏膜慢性炎症伴大量EOS浸润(×400);C:腹膜透析液找EOS结果(×400) |
EG是临床罕见病,国内外报道的患病率为1/100 000~20/100 000,多表现为胃肠道EOS浸润及外周血中EOS增多[2]。但目前EG的病因和发病机制尚未完全明确。多数学者认为,EG是对内源性或外源性过敏原的一种Ⅰ型变态反应性疾病,或与活性氧的形成、EOS源性神经毒素及酸性卤化物的刺激而引起的免疫反应有关[3-4]。Yakoot[5]报道,EG与过敏性哮喘为同一疾病在消化和呼吸两个不同系统的表现。当遇到难以解释或者反复发作的胃肠道症状,排除了可解释症状的及引起外周血EOS升高的其他胃肠疾病,并经抗酸解痉、止呕、抗炎等治疗无效后,应高度怀疑本病,建议行内镜检查及活检。
EG的自然病程并不清楚。据相关研究,接近80%的EG患者呈现慢性、反复发作的临床病程。EG特点为肠黏膜EOS浸润,黏膜下水肿,外周血EOS增多。其临床表现多样,症状与EOS浸润部位及浸润程度有关[6]。Klein等(1970年)将EG分为3型:①黏膜病变型,临床最常见,主要是长期、反复发作性上腹部疼痛,餐后恶心、呕吐,腹泻和体质量下降。病变广泛时,可出现小肠吸收不良、蛋白丢失性肠病、失血和贫血等全身表现。②肌层病变型,较少见,胃肠壁增厚、僵硬、呈结节状,主要表现为幽门梗阻或肠梗阻,患者常有恶心、呕吐、腹痛,应用抑酸药和抗胆碱能药物难以缓解。③浆膜病变型,罕见,浆膜增厚并可累及肠系膜淋巴结,典型表现为腹腔积液,腹腔积液中有大量EOS。上述3型可单独或混合出现。EG的实验室检查结果虽不具特异性,但外周血和骨髓EOS增高是EG的重要特点,也是诊断EG的主要线索。值得一提的是,当外周血EOS正常时并不能完全排除本病。影像学检查及内镜检查在EG诊断方面目前亦无特异性,故单纯通过内镜下的表现很难做出本病的诊断,内镜下黏膜活检则提供了有利的帮助[7]。当胃肠道黏膜组织有EOS浸润(>20/高倍视野)即可确诊。对浆膜型EG患者的诊断则应抽取腹腔积液或者胸腔积液,观察有无EOS浸润。
有关反应性EOS增多症的治疗,首先应给予病因治疗,必要时辅以激素对症治疗[8]。EG多为良性病变,预后佳,部分对激素治疗反应良好[9]。同时为控制症状并减少复发,激素的反复应用也是长期治疗的必要手段。因此,对于无激素禁忌证的EG患者,建议根据患者病情,予甲泼尼龙20~40 mg/d,连用1~2周作为1个疗程。
既往报道,药物可引起结肠EOS增多。本例患者在停止血液透析,改行腹膜透析后出现反复腹部不适及腹泻,当停止腹膜透析后腹泻症状缓解。查外周血EOS增多,腹膜透析液中存在大量的EOS。结合粪培养结果阴性,且未发现可疑寄生虫感染,提示了腹膜透析液或者其附属装置(包括腹膜透析袋材料等)所致EG的可能,患者拒绝停止腹膜透析,给予激素等治疗后患者腹泻症状停止,外周EOS降至正常。由于病例数太少等局限仅能考虑为腹膜透析导致患者EG,其预后需长期随访确定,EG的具体病因和病理机制仍需更多的病例分析和基础研究加以阐明。
| [1] |
Hepburn IS, Sridhar S, Schade RR. Eosinophilic ascites, an unusual presentation of eosinophilic gastroenteritis: a case report and review[J]. World J Gastrointest Pathophysiol, 2010, 1(5): 166-170. |
| [2] |
Shifflet A, Forouhar F, Wu GY. Eosinophilic digestive diseases: eosinophilic esophagitis, gastroenteritis, and colitis[J]. J Formos Med Assoc, 2009, 108(11): 834-843. DOI:10.1016/S0929-6646(09)60414-9 |
| [3] |
Salkić NN, Mustedanagić-Mujanović J, Jovanović P, Alibegović E. Enhanced therapeutic response with addition of loratadine in subserosal eosinophilic gastroenteritis[J]. Med Glas (Zenica), 2013, 10(1): 178-182. |
| [4] |
Hepburn IS, Sridhar S, Schade RR. Eosinophilic ascites, an unusual presentation of eosinophilic gastroenteritis: a case report and review[J]. World J Gastrointest Pathophysiol, 2010, 1(5): 166-170. |
| [5] |
Yakoot M. Eosinophilic digestive disease (EDD) and allergic bronchial asthma; two diseases or expression of one disease in two systems?[J]. Ital J Pediatr, 2011, 37: 18. DOI:10.1186/1824-7288-37-18 |
| [6] |
周细平, 李宏. 嗜酸性粒细胞性消化道炎[J]. 中华临床免疫和变态反应杂志, 2011, 5(2): 124-131. |
| [7] |
Mueller S, Aigner T, Neureiter D, Stolte M. Eosinophil infiltration and degranulation in oesophageal mucosa from adult patients with eosinophilic oesophagitis: a retrospective and comparative study on pathological biopsy[J]. J Clin Pathol, 2006, 59(11): 1175-1180. DOI:10.1136/jcp.2005.031922 |
| [8] |
涂宇, 范玉梅, 卓文燕. 反应性嗜酸性粒细胞增多症并发多发性脑梗死一例[J]. 新医学, 2014, 45(8): 558-561. |
| [9] |
徐琪, 汤净. 酷似胃癌的嗜酸细胞性胃炎并幽门梗阻一例[J]. 新医学, 2017, 48(5): 360-364. |


