复发性自然流产(RSA)是指和同一性伴侣连续发生≥2次的自然流产,其发病机制复杂,排除目前检测条件能够确诊的病因外,还有约半数患者的病因未能明确诊断,称之为原因不明RSA (URSA)。研究显示,URSA发病与异常免疫耐受相关[1]。临床中通过主动免疫治疗改善母胎免疫耐受的情况,使大约2/3的URSA患者获得正常妊娠,但仍有1/3 URSA患者出现再次自然流产[2]。主动免疫治疗后再次流产URSA患者的治疗成为URSA研究的热点。目前研究发现,信号转导与转录激活因子4 (STAT4)通过Janus激酶(JAK) /STAT信号通路,改变辅助性T细胞1 (Th1) /Th2细胞平衡状态,促进Th17细胞的活化等机制,破坏体内免疫耐受[3]。有研究表明,在URSA蜕膜组织中STAT4的部分位点基因多态性与URSA发病风险相关[4]。由此可见,STAT4与URSA关系密切,而位于STAT4基因启动子区rs16833431位点的基因多态性与主动免疫治疗后再次自然流产URSA的相关性研究,笔者尚未见报道。为此,本研究拟从免疫及遗传学角度探讨URSA经主动免疫治疗后再次自然流产的可能病因,为全面治疗URSA提供参考依据。
对象与方法 一、研究对象选择2015年8月至2017年8月在英德市人民医院行主动免疫治疗的326例URSA患者(URSA组),年龄23~38岁、中位年龄28岁,自然流产史≥2次,孕周≤10周,夫妻双方染色体正常,女方生殖道无畸形,无合并生殖道感染,妇科内分泌检查结果无异常,抗磷脂抗体、抗核抗体等常见自身抗体均阴性。另选择同期在英德市人民医院进行健康体检的152名妇女,年龄25~39岁、中位年龄30岁,均有至少1次正常孕产史,既往无自然流产、死胎以及其他不良孕产史;无合并SLE、甲状腺功能亢进等免疫性疾病及内分泌代谢性疾病史。本研究经英德市人民医院医学伦理委员会批准,所有受检者均已签署知情同意书。
二、方法 1. 主动免疫治疗根据参考文献[2]制定主动免疫治疗程序:抽取配偶或者第三方家属(排除患病毒性肝炎、梅毒及艾滋病者)的外周静脉血,分离淋巴细胞,无菌生理盐水配制浓度为(2~4) ×1010/L淋巴细胞悬液备用;于URSA患者前臂内侧行皮内注射,每点约注射0.15 ml,共注射6点。间隔2~3周重复1次,4次为一疗程,之后指导怀孕,待成功妊娠后重复上述免疫治疗3次,至妊娠12周。追踪完成主动免疫治疗疗程后的妊娠结局,根据妊娠结局分为主动免疫治疗成功组(URSA亚组1)、主动免疫治疗失败组(URSA亚组2)。
2. 基因组DNA的提取与rs16833431位点基因型检测采用PCR-RFLP法检测326例URSA患者和152名正常女性(对照组) STAT4基因rs16833431位点的基因型分布:抽取受检者约3 ml外周静脉血,按照AXYGEN基因组DNA试剂盒操作说明书提取基因组DNA。采用PCR-RFLP法检测rs16833431位点基因型,利用Primer premier 5.0设计rs-16833431位点扩增引物序列:正向5'-TTAGCCTGCCTCCCTCTTC-3',反向5'-GCGCCTACCTAACC-AGGAAAT-3'。总反应体系30 μl:模板DNA 4 μl、正反向引物各2 μl (5 pmol)、Takara Ex Taq混合物15 μl、补水至30 μl。反应条件:先95℃预变性5 min 1次,然后94 ℃变性30 s、60℃退火30 s、72 ℃延伸1 min,35个循环,最后72 ℃延伸7 min。取10 μl PCR产物加入1 μl内切酶和2 μl缓冲液,加水配成25 μl的酶切体系,与限制性内切酶MspI (Fermentas公司) 37 ℃孵育10 h。取酶切产物10 μl行1.5%的琼脂糖凝胶电泳20 min,EB染色,拍照辨别基因型。
三、统计学处理计数基因型、等位基因频率,利用Excel软件检验位点基因型分布是否符合Hardy-Weinberg (H-W)平衡定律,利用SPSS 13.0软件行χ2检验、非条件Logistic回归分析。P < 0.05为差异有统计学意义。
结果 一、326例URSA患者主动免疫治疗后的妊娠结局经主动免疫治疗后,326例URSA患者中成功妊娠215例(66%,URSA亚组1),再次出现自然流产111例(34%,URSA亚组2)。URSA亚组1患者年龄23~35岁、中位年龄28岁;URSA亚组2患者年龄22~37岁、中位年龄29岁。
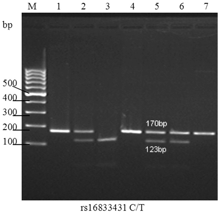
二、rs16833431位点基因型检测结果rs16833431位点PCR扩增目的产物片段长度170 bp (图 1),完全没有被内切酶MspI内切的是T/T基因型,只有部分被酶切为170 bp、123 bp及47 bp片段的是T/C,彻底被酶切为123 bp及47 bp片段是C/C,47 bp条带弥散到胶外不能显示。
|
图 1 rs16833431位点PCR产物电泳结果 泳道1、4:T/T基因型;泳道2、5、6:T/C基因型;泳道3:C/C基因型;M为100 bp的DNA梯度标尺 |
经检验,URSA组及对照组的rs16833431位点的基因型分布符合H-W平衡(P均>0.05),具有人群代表意义。
四、URSA亚组1和对照组的rs16833431位点基因多态性分析Logistic回归显示,URSA亚组1和对照组间rs16833431基因位点及等位基因分布比较差异无统计学意义(P均>0.05),见表 1。
| 表 1 URSA亚组1和对照组rs16833431位点基因型和等位基因的分布比较 |
Logistic回归显示,与对照组比较,URSA组rs16833431位点T/C、C/C基因型及C等位基因频率较高,T/T基因型频率较低(P均 < 0.05),见表 2。
| 表 2 URSA亚组2和对照组rs16833431位点基因型和等位基因的分布比较 |
Logistic回归显示,与URSA亚组1比较,URSA亚组2 rs16833431位点C/C基因型及C等位基因频率较高,T/T基因型频率较低(P均 < 0.05),见表 3。
| 表 3 URSA亚组1和URSA亚组2 rs16833431位点基因型和等位基因的分布比较 |
正常妊娠是一种成功的半同种异体移植状态,母体免疫系统对胚胎的父方抗原耐受,在持续的妊娠中发挥了关键作用。而母-胎免疫适应的异常,就可能导致如RSA、子痫前期等不良妊娠结局出现[1]。研究发现,在母-胎免疫耐受机制中,Th的数量及功能非常重要,在不同的外来抗原刺激下初始CD4+T细胞第一步分化Th0细胞,在复杂细胞因子的不同诱导下再分化为Th1、Th2、Th17及调节性T细胞(Treg),行使各自的生物学功能,Th1、Th2、Th17及Treg恰好平衡及制约状态,保障正常妊娠的继续[5]。于是出现了新的Th1/Th2/Th17/Treg联合细胞模式解释URSA发病的免疫机制:在URSA中,Th1/Th2细胞平衡向Th1方向分化移动,呈现一种Th1升高极化的免疫不适宜现象[6]。另一方面,Th17在URSA患者外周血和蜕膜组织中数量增加及功能增强,由其分泌的促炎因子IL-17亦增加,而且URSA患者蜕膜中Treg的比例降低且免疫抑制功能下降,这些免疫细胞及其细胞因子组成一个错综复杂免疫调节网络来维持母胎界面的免疫适应[3, 7-8]。一旦这种精微的适应状态被破坏,可能就会导致母胎免疫耐受失衡而发生复发性流产。
基于上述的Th1/Th2/Th17/Treg细胞模式在URSA发病中的免疫机制,临床使用淋巴细胞主动免疫治疗URSA,并取得了一定的疗效[9]。本研究中显示有效率达到66%,与王欣等[2]研究观察的妊娠成功率基本相似。研究显示,淋巴细胞主动免疫治疗URSA,恢复患者体内正常妊娠时的免疫平衡状态,降低Th1/Th2比值,使患者处于特殊“Th2现象”的利于妊娠的状况之下,同时降低了Th1细胞分泌TNF-α、IFN-γ和IL-2等参与排斥反应的促炎因子水平,增加了Th2细胞分泌的IL-10和IL-13等抑炎、保护因子;且使Th17细胞增殖分化减少,细胞Th17比例减少,Th17/Treg比值降低[10-11]。通过淋巴细胞主动免疫治疗,URSA患者Th1/Th2/Th17/Treg细胞平衡状态恢复,利于正常妊娠的维持。但是仍有大约1/3的URSA患者经过淋巴细胞主动免疫治疗后再次出现自然流产,可能还有未发现的机制在主动免疫治疗失败的URSA患者中起着主导作用,所以研究主动免疫治疗失败的URSA患者成为提高URSA患者妊娠成功率的重点。
研究显示,STAT4通过JAK-STAT信号通路,促进Th0向Th1优势分化增殖,在Th1/Th2平衡中,使Th1处于极化状态[12]。而且,STAT4能够导致Th17细胞的活化,引起Th17细胞数量及活性增强,并能够抑制Treg细胞的免疫应答反应,使Th17/Treg比例的平衡向免疫性失调性疾病的方向偏移[13-14]。研究发现,STAT4在URSA中蜕膜组织高表达,且STAT4的部分内含子位点的基因多态性增加URSA发病风险[4]。由此推测,在URSA中过表达STAT4通过上述机制引起Th1/Th2/Th17/Treg细胞平衡偏移,从而引起自然流产的发生。
本研究通过对位于STAT4基因启动子区的rs16833431 T/C位点多态性的研究发现,URSA亚组2患者的rs16833431位点的T/C、C/C基因型及C等位基因频率高于对照组,提示携带C等位基因和C/C基因型患者发生自然流产的风险增加;与URSA亚组1相比,URSA亚组2的rs16833431位点C/C基因型及C等位基因频率也升高,可能是因为携带过高频率的C等位基因,引起STAT4的高表达,且成为主导,导致淋巴细胞主动免疫治疗在恢复URSA患者的Th1/Th2/Th17/Treg细胞平衡作用中的效能受到限制,所以主动免疫治疗对URSA亚组2患者失效。rs16833431 T/C位点多态性在URSA亚组1和对照组中的频率分布比较差异无统计学意义,提示排除了STAT4基因rs16833431 T/C位点多态性对STAT4表达的影响后,淋巴细胞主动免疫治疗URSA可恢复Th1/Th2/Th17/Treg平衡,避免了再次自然流产,成功妊娠,这从另一个方面再次证明了上述推测的合理性。
综上所述,STAT4基因rs16833431位点多态性与主动免疫治疗失败的URSA有关,下一步计划通过STAT4基因表达的检测实验,进一步确证基因表达与基因型的关系,通过基因沉默技术消除rs16833431位点多态性对URSA亚组2影响,使淋巴细胞主动免疫治疗对URSA亚组2患者变得有效,以期主动免疫治疗失败的URSA患者得到适当的治疗。
| [1] |
Wilczyński JR. Immunological analogy between allograft rejection, recurrent abortion and pre-eclampsia-the same basic mechanism?[J]. Hum Immunol, 2006, 67(7): 492-511. DOI:10.1016/j.humimm.2006.04.007 |
| [2] |
王欣, 李培旭. 封闭抗体阴性的反复自然流产患者采用配偶淋巴细胞主动免疫治疗效果观察[J]. 生殖医学杂志, 2016, 25(11): 998-1001. DOI:10.3969/j.issn.1004-3845.2016.11.009 |
| [3] |
Liu YS, Wu L, Tong XH, Wu LM, He GP, Zhou GX, Luo LH, Luan HB. Study on the relationship between Th17 cells and unexplained recurrent spontaneous abortion[J]. Am J Reprod Immunol, 2011, 65(5): 503-511. DOI:10.1111/aji.2011.65.issue-5 |
| [4] |
李银广, 李婕, 刘俊, 赖嘉杰, 何善阳, 游泽山. STAT4基因rs10181656位点的多态性与不明原因复发性自然流产的相关性[J]. 中山大学学报(医学科学版), 2017, 38(4): 551-555. |
| [5] |
Mjösberg J, Berg G, Jenmalm MC, Ernerudh J. FOXP3+ regulatory T cells and T helper 1, T helper 2, and T helper 17 cells in human early pregnancy decidua[J]. Biol Reprod, 2010, 82(4): 698-705. DOI:10.1095/biolreprod.109.081208 |
| [6] |
Challis JR, Lockwood CJ, Myatt L, Norman JE, Strauss JF 3rd, Petraglia F. Inflammation and pregnancy[J]. Reprod Sci, 2009, 16(2): 206-215. DOI:10.1177/1933719108329095 |
| [7] |
Mathur AN, Chang HC, Zisoulis DG, Stritesky GL, Yu Q, O'Malley JT, Kapur R, Levy DE, Kansas GS, Kaplan MH. Stat3 and Stat4 direct development of IL-17-secreting Th cells[J]. J Immunol, 2007, 178(8): 4901-4907. DOI:10.4049/jimmunol.178.8.4901 |
| [8] |
Mei S, Tan J, Chen H, Chen Y, Zhang J. Changes of CD4+CD25 high regulatory T cells and FOXP3 expression in unexplained recurrent spontaneous abortion patients[J]. Fertil Steril, 2010, 94(6): 2244-2247. DOI:10.1016/j.fertnstert.2009.11.020 |
| [9] |
Li J, Xu D, Li HL. Evaluation of failed immunotherapy among patients with negative APLA recurrent spontaneous abortion by serum anticardiolipin antibodies and mononuclear cell of Tim-1[J]. Eur Rev Med Pharmacol Sci, 2017, 21(5): 908-912. |
| [10] |
Cavalcante MB, Sarno M, Araujo Júnior E, Da Silva Costa F, Barini R. Lymphocyte immunotherapy in the treatment of recurrent miscarriage:systematic review and meta-analysis[J]. Arch Gynecol Obstet, 2017, 295(2): 511-518. DOI:10.1007/s00404-016-4270-z |
| [11] |
Hosseini S, Shokri F, Ansari Pour S, Jeddi-Tehrani M, Nikoo S, Yousefi M, Zarnani AH. A shift in the balance of T17 and Treg cells in menstrual blood of women with unexplained recurrent spontaneous abortion[J]. J Reprod Immunol, 2016, 116: 13-22. DOI:10.1016/j.jri.2016.03.001 |
| [12] |
Varikuti S, Oghumu S, Natarajan G, Kimble J, Sperling RH, Moretti E, Kaplan MH, Satoskar AR. STAT4 is required for the generation of Th1 and Th2, but not Th17 immune responses during monophosphoryl lipid A adjuvant activity[J]. Int Immunol, 2016, 28(11): 565-570. DOI:10.1093/intimm/dxw038 |
| [13] |
Lee PW, Smith AJ, Yang Y, Selhorst AJ, Liu Y, Racke MK, Lovett-Racke AE. IL-23R-activated STAT3/STAT4 is essential for Th1/Th17-mediated CNS autoimmunity[J]. JCI Insight, 2017, 2(17): pii:91663. DOI:10.1172/jci.insight.91663 |
| [14] |
Xu J, Yang Y, Qiu G, Lal G, Yin N, Wu Z, Bromberg JS, Ding Y. Stat4 is critical for the balance between Th17 cells and regulatory T cells in colitis[J]. J Immunol, 2011, 186(11): 6597-6606. DOI:10.4049/jimmunol.1004074 |


