目前认为肝纤维化的发生、发展与肝星状细胞(HSC)的增殖、活化关系密切,抑制HSC活化、增殖,促进HSC凋亡,进而逆转肝纤维化的研究是肝纤维化治疗研究的主要方向[1-3]。细胞自噬在HSC增殖活化中扮演着重要的调节作用。姜黄素调控细胞自噬及治疗肝纤维化的效果已有大量研究证实,但其机制仍不明。
我们的前期研究表明姜黄素能减轻肝纤维化的病理改变,对肝纤维化的发生发展具有抑制作用[4]。本实验是在前期研究基础上,以四氯化碳诱导肝纤维化模型,采用免疫组织化学链亲和素-酶复合物-生物素技术(SP法),观察姜黄素对肝纤维化大鼠自噬相关蛋白(Beclin1、Atg5)表达的影响,探讨姜黄素介导的自噬对肝纤维化的影响,从自噬的角度探讨姜黄素治疗肝纤维化的作用机制。
材料与方法 一、材料实验动物:健康雄性Sprague Dawley (SD)大鼠,体质量300~350 g,清洁级,购于中山大学医学院实验动物中心。姜黄素购自国药集团化学试剂有限公司,四氯化碳购自天津市北宏试剂厂,苏木素、伊红、苯胺蓝、Masson三色试剂盒、Masson复合染色液均购自美国SIGMA,Beclin1多克隆抗体、Atg5多克隆抗体、DAB显色试剂盒购自美国Proteintech公司。
二、方法 1. 动物分组与处理40只SD大鼠,适应饲养1周后动物随机分为3组。正常对照组(10只)、模型组(15只)、姜黄素组(15只)。正常对照组:正常饲养8周,不予处理;模型组:腹腔注射四氯化碳溶液(以花生油按1: 6比例稀释),剂量为1 ml/kg,每周3次,共8周制作肝纤维化模型;姜黄素组造模同时按照每100 g体质量给予20 mg姜黄素灌胃,每周3次,共8周,实验全过程按时予以普通饲料喂养。
2. 标本采集和处理8周后处死大鼠留取肝脏左叶浸泡于甲醛溶液中固定1周,收集完所有标本后,统一制备蜡块。
3. Beclin1、Atg5免疫组化SP法染色将制备的蜡块,常规切片,脱腊入水,3% H2O2室温孵育10 min,以灭活内源性过氧化物酶,蒸馏水洗3 min×3次,将切片于0.01 mmol/L柠檬酸缓冲液中微波煮沸修复10 min,常温冷却,PBS洗5 min×2次,室温下用山羊血清工作液封闭1 h,甩去多余液体,勿洗,在湿盒中将载玻片铺平,滴加适当稀释的一抗(Beclin1、Atg5的浓度分别为1: 150、1: 200),以PBS代替一抗作为阴性对照,置于4 ℃冰箱过夜,过夜后第2日早上将湿盒自冰箱中取出,室温下放置30 min,PBS洗5 min×3次,滴加50~100 μl抗兔/鼠HRP标记聚合物,37 ℃孵育30 min,同上洗涤,滴加预先制备好的DAB工作液100 μl,室温孵育3~5 min, 并同时把玻片放置在显微镜下观察,用蒸馏水及时浸洗终止显色,蒸馏水洗,苏木素复染,盐酸酒精分化,脱水,透明,中性树胶封片,显微镜下观察结果。
结果判定:每张切片选5个不同视野观察,每个视野计数100个细胞,显微镜下胞浆或胞核内出现棕黄色或棕褐色颗粒为阳性细胞,并判读阳性表达强度和阳性率。结果用半定量分析法:用染色强度与阳性细胞数百分比的乘积评分表示表达强度。染色强度以多数细胞呈现的染色强度减去背景着色计分:无明显着色为0分,淡黄色或轻微黄色为1分,深黄或棕黄色为2分,棕褐色为3分。阳性细胞百分比:0% ~5%为评为0分,6% ~25%评1分,26% ~50%评2分,51% ~75%评3分,>75%均评为4分。对每个视野进行染色强度的评分与阳性细胞百分比的评分,评分结果以染色强度与阳性细胞百分比的乘积表示:0分为阴性,1~6分为弱阳性,7~12分为强阳性。
三、统计学处理应用SPSS 19.0分析数据,正态分布数据采用x±s表示,多组间比较采用单因素方差分析,多重比较采用LSD-t检验。P < 0.05为差异有统计学意义。
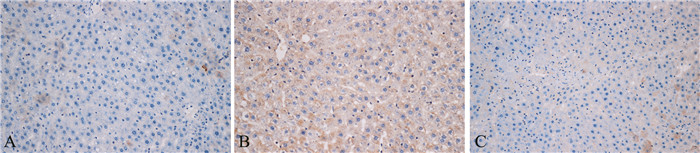
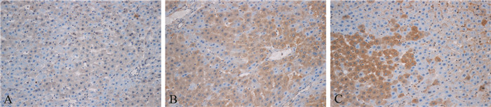
结果 一、3组大鼠肝组织中Beclin1、Atg5的阳性表达结果显微镜下Beclin1的阳性表达呈棕黄色或棕褐色,主要表达于肝细胞胞浆。正常对照组Beclin1表达呈棕黄色,表达面积小;模型组胞浆可见大量的Beclin1表达,呈棕褐色,表达面积大;姜黄素组可见Beclin1表达呈棕黄色,表达面积较模型组减少,颜色也较浅,但较正常组表达面积增大,颜色也较深,见图 1。显微镜下Atg5的阳性表达呈棕黄色或棕褐色,主要表达于肝细胞胞浆。正常对照组Atg5表达呈棕黄色,表达面积小;模型组胞浆可见大量的Atg5表达,呈棕褐色,表达面积大;姜黄素组可见Atg5表达呈棕黄色,表达面积较模型组减少,颜色也较浅,但较正常组表达面积增大,颜色也较深,见图 2。
|
图 1 各组大鼠肝组织Beclin1免疫组化结果(×400) A:正常组;B:模型组;C:姜黄素组 |
|
图 2 各组大鼠肝组织Atg5免疫组化结果(×400) A:正常组;B:模型组;C:姜黄素组 |
模型组及姜黄素组较正常对照组Beclin1 (P < 0.001及P=0.029)、Atg5 (P < 0.001及P=0.010)表达增多,而姜黄素治疗组中Beclin1、Atg5表达较模型组减弱(P=0.003及P=0.001),见表 1。
| 表 1 3组大鼠肝组织表达Beclin1、Atg5的比较(x±s) |
肝纤维化是慢性肝病发展至肝硬化的必经病理阶段,激活的HSC在肝纤维化发生发展中起重要作用[5]。自噬是细胞进化过程中高度保守的基因调控程序,是一种溶酶体依赖途径的降解过剩的蛋白质和受损的细胞器的过程。国外学者发现在正常肝脏中自噬溶酶体中的酶活性非常低,生理条件下肝细胞低水平自噬维持着肝脏正常的代谢功能[6-7]。各种肝脏损伤(如酒精的消耗、四氯化碳等毒物)已经被证实能诱导自噬水平升高[8]。自噬过程由多种重要的蛋白通过磷酸化与去磷酸化进行调控,其中Beclin1、Atg5参与了自噬的启动和延伸阶段,是调控自噬的关键基因。Beclin1又称为BECN1,是首个被发现具有调节自噬的相关基因,它是Atg6基因的同源产物,编码一种分子量为60 ku的蛋白。目前,人们普遍认为Beclin1是调控自噬的一种关键蛋白,作为自噬启动过程中的关键蛋白,Beclin1是最被广泛应用于研究自噬的自噬分子标记物之一。Atg5是参与自噬体形成的重要基因,Atg5通常是以与Atg12结合形成复合物的形式存在,在一些真核细胞中,几乎所有的Atg5和Atg12都以结合成复合物的形式存在。Atg5-Atg12复合物在自噬体膜的延伸阶段起着关键的作用。据报道,在动物模型中敲除Atg5能使自噬水平下降,发生基因突变的Atg5不能与Atg12结合成复合物,从而阻止自噬体的形成[9]。因此,Atg5也是调控细胞自噬的一个关键基因,是被广泛应用于研究自噬的自噬分子标记物。
在本实验中四氯化碳作为一种造成肝损伤的毒性物质,在造成肝损伤的同时也能诱导细胞自噬来参与肝纤维化的进程,国外学者发现自噬为HSC的活化提供能量支持[10]。因此认为自噬促进了HSC活化从而参与了肝纤维化的形成。Thoen等(2011年)用特异性抑制剂抑制自噬或敲除自噬相关基因Atg的表达则ATP的水平明显降低、并能使活化的HSC转为静息型。Hernández-Gea等[11]用四氯化碳制作小鼠肝纤维化模型,并利用特性性自噬抑制剂或敲除自噬相关基因阻断HSC的自噬,结果发现肝纤维化模型小鼠自噬水平明显升高,阻断鼠HSC的自噬则减少了肝纤维化的形成和细胞外基质的沉积。由此,肝星状细胞中自噬的激活在肝纤维形成中至关重要,选择性地抑制HSC的自噬或许可用于治疗肝纤维化。
抗肝纤维化的实验研究已经取得很大进展,很多药物在啮齿动物研究中被证明抗肝纤维化是有效的[12]。本研究小组既往研究已经证实姜黄素具有预防和治疗肝纤维化的作用,并探讨了其有关作用机制[13-14]。本实验是结合以往系列研究成果,用姜黄素作用于肝纤维化大鼠模型,观察姜黄素的抗肝纤维化作用及自噬相关蛋白表达,进一步探索姜黄素抗肝纤维化的作用机制。结果显示,模型组及姜黄素组较正常对照组Beclin1、Atg5表达明显增多,再次证实肝纤维化模型中自噬水平升高,而姜黄素治疗组中Beclin1、Atg5表达明显较模型组减弱,说明姜黄素在肝纤维化动物模型中能明显减少Beclin1、Atg5的表达,降低自噬水平。本实验在前期研究基础上进一步证实了姜黄素具有抑制HSC活化的作用,其机制可能与其抑制Beclin1、Atg5的表达有关,姜黄素可能通过抑制自噬来抑制HSC活化从而延缓肝纤维化的进展。
本研究从细胞自噬这一新的视角探讨姜黄素治疗肝纤维化的机制,为姜黄素治疗肝纤维化的临床应用提供了进一步的证据支持,拓宽了肝纤维化治疗的视野,为临床肝纤维化治疗研究提供新思路和潜在治疗靶点。
| [1] |
Friedman SL. Hepatic fibrosis-overview[J]. Toxicology, 2008, 254(3): 120-129. DOI:10.1016/j.tox.2008.06.013 |
| [2] |
Fu MY, He YJ, Lv X, Liu ZH, Shen Y, Ye GR, Deng YM, Shu JC. Transforming growth factor β1 reduces apoptosis via autophagy activation in hepatic stellate cells[J]. Mol Med Rep, 2014, 10(3): 1282-1288. DOI:10.3892/mmr.2014.2383 |
| [3] |
Liu XY, He YJ, Yang QH, Huang W, Liu ZH, Ye GR, Tang SH, Shu JC. Induction of autophagy and apoptosis by miR-148a through the Sonic Hedgehog signaling pathway in hepatic stellate cells[J]. Am J Cancer Res, 2015, 5(9): 2569-2589. |
| [4] |
舒建昌, 皮新军, 何雅军, 吕霞, 方力, 叶国荣. 姜黄素对肝纤维化大鼠CTGF及TLMP-1和NF-kB表达的影响[J]. 中国肝脏病杂志(电子版), 2008, 1(1): 4-9. |
| [5] |
王晖, 但自力. 转化生长因子-β、结缔组织生长因子、基质金属蛋白酶及其抑制物与肝纤维化[J]. 新医学, 2009, 40(3): 203-205. |
| [6] |
Cuervo AM, Knecht E, Terlecky SR, Dice JF. Activation of a selective pathway of lysosomal proteolysis in rat liver by prolonged starvation[J]. Am J Physiol, 1995, 269(5 Pt 1): C1200-C1208. |
| [7] |
Jones RG, Plas DR, Kubek S, Buzzai M, Mu J, Xu Y, Birnbaum MJ, Thompson CB. AMP-activated protein kinase induces a p53-dependent metabolic checkpoint[J]. Mol Cell, 2005, 18(3): 283-293. DOI:10.1016/j.molcel.2005.03.027 |
| [8] |
Ding WX, Li M, Chen X, Ni HM, Lin CW, Gao W, Lu B, Stolz DB, Clemens DL, Yin XM. Autophagy reduces acute ethanol-induced hepatotoxicity and steatosis in mice[J]. Gastroenterology, 2010, 139(5): 1740-1752. DOI:10.1053/j.gastro.2010.07.041 |
| [9] |
Ahn CH, Jeong EG, Lee JW, Kim MS, Kim SH, Kim SS, Yoo NJ, Lee SH. Expression of beclin1, an autophagy-related protein, in gastric and colorectal cancers[J]. APMIS, 2007, 115(12): 1344-1349. DOI:10.1111/apm.2007.115.issue-12 |
| [10] |
Heaton NS, Perera R, Berger KL, Khadka S, Lacount DJ, Kuhn RJ, Randall G. Dengue virus nonstructural protein 3 redistributes fatty acid synthase to sites of viral replication and increases cellular fatty acid synthesis[J]. Proc Natl Acad Sci U SA, 2010, 107(40): 17345-17350. DOI:10.1073/pnas.1010811107 |
| [11] |
Hernández-Gea V, Ghiassi-Nejad Z, Rozenfeld R, Gordon R, Fiel MI, Yue Z, Czaja MJ, Friedman SL. Autophagy releases lipid that promotes fibrogenesis by activated hepatic stellate cells in mice and in human tissues[J]. Gastroenterology, 2012, 142(4): 938-946. DOI:10.1053/j.gastro.2011.12.044 |
| [12] |
马得宏, 李武. 抗肝纤维化的实验研究进展[J]. 新医学, 2012, 43(8): 600-604. |
| [13] |
Shu JC, He YJ, Lv X, Ye GR, Wang LX. Curcumin prevents liver fibrosis by inducing apoptosis and suppressing activation of hepatic stellate cells[J]. J Nat Med, 2009, 63(4): 415-420. DOI:10.1007/s11418-009-0347-3 |
| [14] |
舒建昌, 叶国荣, 吕霞, 方力, 吴海恩, 陈小娟. 姜黄素治疗肝纤维化及其作用机制的初步研究[J]. 中华肝脏病杂志, 2007, 10(15): 753-757. |


