食管结核是人体感染结核菌导致食管壁产生的一种慢性特异性炎性肉芽肿性病变,临床罕见,仅占所有消化道结核病例的2.8%,常好发于中段食管[1]。其中吞咽困难是最常见的症状,如治疗不及时,会导致出血、穿孔、瘘管形成、食管狭窄、吸入性肺炎,严重导致致命性呕血[2]。由于该病罕见,临床上无特异性的表现,常被误诊为食管癌、食管平滑肌瘤、食管外压性病变等。本文通过分析该例被误诊为食管平滑肌瘤的食管结核患者的临床特征、放射学、内镜检查特征,以及诊断、治疗方法、鉴别诊断,从而探讨误诊原因,提高对该疾病的认识,及时诊治,改善患者预后。
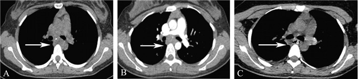
病例报告 一、病例资料患者女,20岁。因“吞咽困难1个月余”于2018年1月28日入院,既往无肺结核病史,家族中无结核感染病史。体格检查:体温36.5 ℃,心率98次/分,呼吸18次/分,血压112/86 mm Hg (1 mm Hg=0.133 kPa),双肺呼吸运动均匀对称,语音震颤未见明显增强或减弱,叩诊呈清音双肺未闻及明显湿啰音及胸膜摩擦音,腹部查体未见异常。辅助检查:普通胃镜检查提示距门齿25 cm处可见一大小约2.1 cm×2.3 cm的黏膜隆起,表面光滑;考虑为:黏膜下来源?外压?(图 1A)。经电子胃镜超声示黏膜肌层中低回声团块,表面黏膜完整,考虑黏膜下来源,平滑肌瘤可能(图 1B)。胸部CT平扫示纵隔内气管隆突下方软组织肿块影,大小约2.7 cm×2.8 cm,其内可见钙化影,与邻近食管分界欠清,性质?(图 2A)。胸部增强CT示气管隆突下方见一大小约为2.9 cm×2.6 cm的软组织肿块影,可见部分钙化影,边界不清,增强扫描呈轻度强化,考虑为:增大淋巴结?(图 2B)。上消化道钡剂造影示黏膜规则,管壁光滑柔软,未见异常病变。入院后行血液分析、肝肾功能均未见异常,痰涂片未见结核杆菌,ESR正常,结核抗体试验阴性。
|
图 1 食管结核患者胃镜及超声胃镜图 A:胃镜提示食管黏膜有规则的隆起病变(箭头);B:超声胃镜示食管黏膜肌层中低回声团块(箭头),考虑为平滑肌瘤可能 |
|
图 2 食管结核患者胸部CT图 A:胸部CT平扫示气管隆突下方软组织肿块,边界不清(箭头);B:胸部增强CT示气管隆突下软组织肿块,边界模糊,呈轻度强化(箭头);C:术后软组织肿块明显缩小(箭头) |
相关检验、检查完善后,经全科术前讨论,结合患者为青年女性、术前影像学表现以及经食道超声检查特点等因素,一致考虑食管平滑肌瘤可能性大,排除手术禁忌证后,于2018年1月31日在全身麻醉下行胸腔镜下食管良性肿物切除术,术中见病变位于奇静脉弓水平稍靠下,位于食管肌层内,大小约2.0 cm×2.0 cm×1.8 cm,质软,与周围组织边界不清,完整切除后食管黏膜完整。术中快速冰冻病理检查结果示良性病变,倾向肉芽肿性炎(图 3A),冲洗胸腔后关胸术毕。
|
图 3 食管结核患者病理检查结果 A:细胞弥漫呈肉芽肿性炎性改变(苏木素-伊红染色,×100);B:局部区域细胞呈现出凝固性坏死(苏木素-伊红染色,×200,箭头);C:可见巨细胞反应性增生(苏木素-伊红染色,×200,箭头) |
患者术后第2日复查胸部CT示食管下段壁稍增厚、模糊,周围脂肪间隙模糊;双肺未见明显钙化灶(图 2C),予以拔除右侧纵隔引流管;复查上消化道钡剂造影示:黏膜光滑规则。术后第3日予以拔除胃管,同时嘱患者开始进少渣流食。术后病理检查结果示(隆突下肿块)肉芽肿性炎,伴灶性区域凝固性坏死及巨细胞反应,镜下组织形态考虑结核(图 3A~C)。术后行结核感染T细胞检测结果阳性,抗原A斑点数168个,抗原B斑点数>300个;遂即给予患者行抗结核治疗(异烟肼0.3 g+利福平0.45g+乙胺丁醇0.75 g+盐酸左氧氟沙星0.5 g,以上药物均每日1次)。患者术后第10日复查肝肾功能未见异常,带口服药出院治疗。2个月后电话回访,患者吞咽困难等症状完全缓解。
讨论食管结核是一种临床上罕见的疾病,相关文献报道其发病率介于0.07% ~0.15%,可发生于任何年龄组的人群,但以中青年较为多见,女性多于男性,男女比1.0 : 1.3,好发于气管分叉处隆突水平或食管中下段[3-4]。食管结核通常是通过纵隔淋巴结感染直接侵入食管壁而引起,很少通过肺结核感染血流途径传播。食管结核发病率低可能与以下原因有关:①食管黏膜被覆复层扁平上皮,具有较强的保护力;②食管为直立管道,由于进食、饮水的冲刷导致结核分枝杆菌潴留食管黏膜机会少;③食管舒张收缩交替进行,呈波形蠕动,具有高运动性,因此包含结核分枝杆菌的食物潴留时间短;④食管周围淋巴组织不丰富,形成淋巴结核机会少[5]。
该病临床表现各种各样,无特异性表现,起病隐匿,病程缓慢,通常患者以吞咽困难为主要表现,可能为结核性纵隔淋巴结外压所致,也可能为食管结核引起的纵隔纤维化导致的食管受压或运动障碍。部分患者可表现为进食时胸骨后疼痛,以及结核感染全身中毒症状,如潮热、盗汗、乏力、纳差等。食管结核无特异性影像学特征,通常与食管癌和纵隔淋巴结肿大变现类似,很难通过CT等检查区别。内镜可以显示食管结核病变的位置、大小、特征以及与周围组织的关系,其在内镜下变现可分为3型:①增殖型,镜下主要以大量结核性肉芽组织和纤维组织增生为主,其症状常表现为进行性吞咽困难,当增生性肿块明显突入食管腔内,则导致食管狭窄;②溃疡型,发病较为常见,镜下可见溃疡表浅,边缘粗糙、不规则,仅累及黏膜和黏膜下层。其突出症状为胸骨后疼痛,多呈持续性,吞咽时加重,极易误诊为食管癌或黏膜下肿瘤;严重溃疡型突破食管外膜导致食管穿孔,引起食管纵隔瘘或食管胸膜瘘。如侵及气管,可形成食管气管瘘;若累及主动脉弓,患者可因大出血而死亡;③颗粒型,镜下为食管黏膜及黏膜下层可见许多灰白色小结节,常发生于全身性系统性疾病[6]。
通常食管结核的确诊为病变组织中分离出结核分枝杆菌,然而结核分枝杆菌很少从食管病变、消化液、痰液中分离出来。相关研究报道,通过内镜超声检查(EUS)和细针抽吸(FNA)等方式,结合特征性EUS形态和活组织检查,可用于食管结核的诊断,并提高诊断的准确性,但结核杆菌培养或干酪样坏死的阳性率甚至更低[7]。目前主要是通过取标本送活检,活检标本的组织学显示上皮样肉芽肿和Langhans型多核巨细胞,可强烈提示结核感染,但肉芽肿性炎症还可能存在其他疾病:克罗恩氏病、真菌感染、梅毒和结节病[8]。此外,TB-SPOT、结核菌素试验、ESR及CRP对诊断均有重要的参考价值。尽管食管结核的诊断非常困难,甚至有些病例常被误诊,导致非必要的手术治疗。但是早期准确的诊断,不仅有利于及时治疗,还可以减少患者并发症。应用电视辅助胸腔镜手术可以提高确诊率并迅速解决吞咽困难,而传统开胸手术常用于治疗并发症,如食管胃底瘘或食管支气管瘘[7]。
食管平滑肌瘤起源于食管肌层,为最常见的食管良性肿瘤,但相关文献报道的发生率低至0.005%,约占食管黏膜下肿瘤的70%,最常见于食管中下三分之一,发病通常为20~50岁的患者,其中常见于男性,男女比例为2: 1[9]。大部分食管平滑肌瘤患者无症状,部分有症状患者常以吞咽困难和吞咽痛为主,其症状和严重程度与病变部位、大小和形状有关。根据相关文献报道,食管平滑肌瘤大小为1~29 cm[10]。食管钡餐检查是诊断食管平滑肌瘤最常见的手段,常表现为食管部分腔内钡剂呈圆形或半圆形充盈缺损,边缘光滑,局部黏膜呈“涂抹综合征”[11]。由于现代内镜技术的不断发展,许多无症状患者也在正常的体检中被诊断出。普通胃镜可见肿瘤突入腔内,呈半球形或扁平隆起状,食管黏膜光滑。但普通胃镜难以区分食管平滑肌瘤和其他食管黏膜下病变或食管外压性病变,因为它无法获取病变大小、来源以及与周围组织的关系,极易导致误诊。而EUS可以清楚地显示食管壁的结构,从而确定病变的大小、数量、性质以及来源,为一种有效的诊断方法[12]。其中绝大多数食管平滑肌瘤起源于固有肌层,EUS提示肿瘤呈低回声影,边界清晰,密度均匀,周围伴有高回声区域,可以轻易区别脂肪瘤,囊肿或食管壁血管瘤。
有文献报道,对于部分黏膜下肿瘤起源显示不清楚或其内部结构回声不均匀,有必要经超声内镜引导下细针穿刺活检术获得组织学标本以明确诊断,尽管其诊断黏膜下肿瘤准确率高,但是进行活检可能会出现出血、血肿、瘢痕形成,导致肿瘤与局部食管黏膜粘连更加紧密,从而增加了术中食管黏膜破裂的风险。对于症状明显或肿瘤直径较大的病变,手术治疗为首选的治疗方式,而传统的开胸手术通常被称为“小手术,大切口”,甚至通过胸腹联合切口行肿瘤手术切除。随着胸腔镜技术的不断发展,通过电视胸腔镜辅助食管平滑肌瘤剥除术,具有创伤小、痛苦少、恢复快等优点,目前已逐渐成为食管平滑肌瘤的首选治疗方式,其中食管黏膜撕裂为术中和术后常见的并发症,因此术后常规通过普通胃镜检查食管黏膜的完整性,对于术后正常的进食以及预防食管瘘等并发症非常重要。
食管结核和食管平滑肌瘤临床特征缺乏特异性鉴别特点,极易相互混淆。放射学、内镜学检查对于早期病变的诊断率较低,容易造成误诊。通过对本例误诊的分析以及相关文献的回顾,总结其导致误诊原因为:①该患者为青年女性,既往无结核感染及家族结核患病史,而以吞咽困难为主要症状,易首先考虑为常见的食管占位性病变,如食管良性肿瘤或恶性肿瘤;②影像学及经食道超声检查均提示食管黏膜下肌层占位,而食管肌层良性病变以食管平滑肌瘤最为常见;③食管结核在临床中比较罕见,通常无特异性的临床表现、影像学以及内镜学特征,辅助科室医师以及经治医师经验不足,导致了对该病的认识不足。
通过本文对食管结核和食管平滑肌瘤的临床表现、影像学、内镜学特征和治疗等进行文献复习,以及对本例误诊原因进行分析,提高了对该病的认识。对于引起吞咽困难等症状的疾病,除了考虑食管癌和食管平滑肌瘤等肿瘤外,还应考虑到食管结核的可能,避免疾病的漏诊及误诊,有利于疾病的尽早诊断及治疗,提高了患者的预后。
| [1] |
Khanna V, Kumar A, Alexander N, Surendran P. A case report on esophageal tuberculosis-a rare entity[J]. Int J Surg Case Rep, 2017, 35: 41-43. DOI:10.1016/j.ijscr.2017.03.042 |
| [2] |
Nagi B, Lal A, Kochhar R, Bhasin DK, Gulati M, Suri S, Singh K. Imaging of esophageal tuberculosis:a review of 23 cases[J]. Acta Radiol, 2003, 44(3): 329-333. |
| [3] |
Sood D, Singh T, Singh A, Chaudhary A. Esophageal tuberculosis mimicking submucosal leiomyoma-report of a case[J]. Indian J Surg, 2011, 73(6): 465-466. DOI:10.1007/s12262-011-0266-x |
| [4] |
张毅, 魏翔, 潘铁成. 食管结核的诊断和外科治疗[J]. 临床肺科杂志, 2010, 15(2): 203-204. |
| [5] |
Puri R, Khaliq A, Kumar M, Sud R, Vasdev N. Esophageal tuberculosis:role of endoscopic ultrasound in diagnosis[J]. Dis Esophagus, 2012, 25(2): 102-106. DOI:10.1111/des.2012.25.issue-2 |
| [6] |
张继乔, 郑晓辉, 王晶晶, 邓尚华, 殷彩桥, 谭家武. 超声内镜在食管结核诊断中的9例应用并文献复习[J]. 中国内镜杂志, 2017, 23(2): 91-95. |
| [7] |
Ni B, Lu X, Gong Q, Zhang W, Li X, Xu H, Zhang S, Shao Y. Surgical outcome of esophageal tuberculosis secondary to mediastinal lymphadenitis in adults:experience from single center in China[J]. J Thorac Dis, 2013, 5(4): 498. |
| [8] |
Park JH, Kim SU, Sohn JW, Chung IK, Jung MK, Jeon SW, Kim SK. Endoscopic findings and clinical features of esophageal tuberculosis[J]. Scand J Gastroenterol, 2010, 45(11): 1269-1272. DOI:10.3109/00365521.2010.501524 |
| [9] |
Mutrie CJ, Donahue DM, Wain JC, Wtight CD, Gaissert HA, Grillo HC, Mathisen DJ, Allan JS. Esophageal leiomyoma:a 40-year experience[J]. Ann Thorac Surg, 2005, 79(4): 1122-1125. DOI:10.1016/j.athoracsur.2004.08.029 |
| [10] |
Karagülle E, Akkaya D, Türk E, Göktürk HS, Yildrim E, Moray G. Giant leiomyoma of the esophagus:a case report and review of the literature[J]. Turk J Gastroenterol, 2008, 19(3): 180-183. |
| [11] |
Jang KM, Lee KS, Lee SJ, Kim EA, Kim TS, Han D, Shim YM. The spectrum of benign esophageal lesions:imaging findings[J]. Korean J Radiol, 2002, 3(3): 199-210. DOI:10.3348/kjr.2002.3.3.199 |
| [12] |
Wang YX, Zhang J, Liu Y, Liu Y, Chu XY, Lu ZS, Wang ZB, Tong XY. Diagnosis and comprehensive treatment of esophageal leiomyoma:clinical analysis of 77 patients[J]. Int J Clin Exp Med, 2015, 8(10): 17214-17220. |

,