唑、米诺环素口服,联合利奈唑胺静脉滴注抗感染后好转出院,随访无复发; 1例予磺胺甲
唑口服,美罗培南、利奈唑胺静脉滴注等治疗,曾出现急性脑积水,先后行侧脑室外引流术、脑室腹腔分流术,其后病情逐渐好转并出院,随访无复发; 1例予磺胺甲
唑口服,利奈唑胺、美罗培南静脉滴注,曾出现脑积水,行侧脑室外引流术,其后病情好转并出院,随后失访。该文提示在传统检测方法的基础上,将脑脊液mNGS作为常规的检测手段有助于提高该病的确诊率。诺卡菌为一种革兰阳性需氧菌,可通过呼吸道吸入或损伤的皮肤直接接触感染,可引起感染部位的化脓性炎症、坏死,严重者可通过血液播散至全身,进而形成脓毒血症,对于免疫缺陷或免疫抑制的人群感染机会相对较高[1]。Valdezate等[2]回顾了西班牙2005 ~ 2014年经分子鉴定的1 119株诺卡菌的检查结果,最常与人类感染相关的诺卡菌菌属有:盖尔森基兴诺卡菌(25.3%)、新星诺卡菌(15.0%)、脓肿诺卡菌(12.7%)、鼻疽诺卡菌(11.4%)。分离菌株的主要位置是呼吸道(86%)。其中来自中枢神经系统(CNS)的所有菌株一半(13/27)为鼻疽诺卡菌。CNS诺卡菌感染的患者常表现为局灶性神经系统异常、头痛、发热和癫痫发作[3-5]。目前国内关于CNS诺卡菌感染的报道比较少,笔者旨在通过总结我院3例经基于宏基因组学的二代基因测序技术(mNGS)诊断的CNS诺卡菌感染病例的临床资料,并分析诺卡菌性脑膜炎的临床及治疗要点,以提高同行对该病的诊治水平。
病例资料例1 患者女,26岁。因“咽痛4 d,发热伴意识模糊2 d”于2017年12月14日入中山大学附属第三医院。入院前4 d患者出现咽痛,呈持续性,伴轻微咳嗽,无明显咳痰,入院前2 d于坐车后出现呕吐1次,以胃内容物为主,休息后出现全身乏力、站立不稳,其后曾出现神志不清,随地大小便,体温最高达39.7 ℃。有SLE病史4年。发病前用药方案:硫酸羟氯喹0.2 g/次、2次/日,甲泼尼龙1 mg/次、1次/日。入院时体格检查:体温37.3℃,神志清晰,对答切题。双侧瞳孔等圆等大,直径3 mm,对光反射灵敏,双侧眼球外展受限,双侧眼底未见视乳头水肿。四肢肌张力正常,四肢肌力4级。颈软,颌胸距4 cm,克匿征阴性,巴宾斯基征阴性。心、肺、腹未见异常。实验室及辅助检查:血白细胞14.8×109/L,中性粒细胞0.87。腰椎穿刺示脑脊液压力320 mm H2O(1 mm H2O=0.0098 kPa),白细胞3.508×109/L,糖1.77 mmol/L,氯107.7 mmol/L,蛋白1.72 g/L。脑脊液涂片未发现病原体,脑脊液培养阴性。结核、真菌及病毒相关检查阴性。头颅MRI示脑膜脑炎,双侧额顶叶、放射冠、右侧侧脑室、右侧基底节及右侧海马旁回多发性病灶(图 1A、B)。脑脊液mNGS示鼻疽奴卡菌、特异序列数838、置信度高。诊断为诺卡菌脑膜脑炎,予磺胺甲
|
图 1 CNS诺卡菌感染例1患者头颅MRI A、B:治疗前头颅MRI增强图像显示右侧基底节片状异常信号影呈环状明显强化,并突向第三脑室内(A中箭头及B中箭头2所指处),有明显脑膜强化(B中箭头1所指处); C、D:治疗后头颅MRI增强图像显示右侧基底节片状异常信号影消失(C中箭头及D中箭头2所指处),未见明显脑膜强化(D中箭头1所指处) |
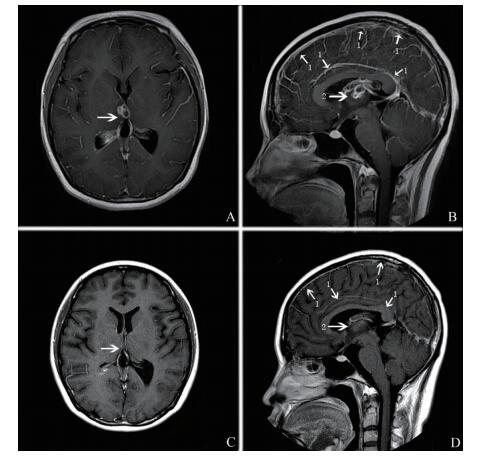
例2 患者女,52岁。因“头痛、复视2个月,四肢抽搐11 d”于2017年9月19日入中山大学附属第三医院。入院前2个月患者出现头痛,为全头胀痛,伴有复视,偶有肢体乏力,无言语不清。入院前11 d患者突发四肢抽搐,口吐白沫,约2 min后自行缓解,其后多次发作。既往有SLE、狼疮性肾病病史,入院时口服甲泼尼龙16 mg/次、1次/日,硫酸羟氯喹0.2 g/次、2次/日。入院时体格检查:体温36.4 ℃,神志清晰、对答切题,双侧瞳孔等圆等大,直径3 mm,对光反射灵敏,眼球各方位活动正常,双侧眼底未见视乳头水肿。四肢肌张力正常,双上肢肌力5级,左下肢肌力3级,右下肢肌力4级,左侧巴宾斯基征阳性,右侧巴宾斯基征阴性。颈软,颌胸距2 cm,克匿征阴性,布鲁津斯基征阴性。心、肺、腹未见异常。实验室及辅助检查:血白细胞13.02×109/L,中性粒细胞0.88。腰椎穿刺示脑脊液压力200 mm H2O,白细胞2×106/L,糖3.35 mmol/L,氯94.2 mmol/L,蛋白6.19 g/L。头颅MRI示右侧额顶枕叶、左侧大脑脚脑桥及小脑半球、脑膜多发病灶(图 2A、B)。脑脊液mNGS示鼻疽诺卡菌、序列数1 043、置信度高。脑脊液涂片未发现病原体,脑脊液培养结果示鼻疽诺卡菌。诊断为诺卡菌脑膜脑炎,予磺胺甲
|
图 2 CNS诺卡菌感染例2患者头颅MRI A、B:治疗前头颅MRI图像,右侧枕叶T2加权像上见类圆形长T2信号影,边缘见等信号壁,病灶周边环形低信号(A箭头所指处),额顶枕叶、小脑脚多发强化病灶(B箭头所指处); C、D:治疗后头颅MRI图像,右侧枕叶T2加权像上病灶呈斑片状长T2信号,较前吸收、缩小,邻近周围脑实质内见片状稍长T1稍长T2信号水肿区,范围较前缩小(C箭头所指处),额顶枕叶多发强化病灶,强化灶较前减少、缩小(D箭头所指处) |
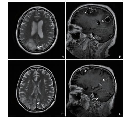
例3 患者男,26岁。因“头痛伴发热10 d”于2017年10月24日入中山大学附属第三医院。入院前10 d患者开始出现持续性头痛,不能缓解,后逐渐出现发热,伴有寒战,视物模糊,无恶心、呕吐、肢体运动障碍、大小便失禁、神志不清。有SLE病史3月余。发病前规律口服泼尼松50 mg、1次/日,2017年8月4日及8月8日在外院行环磷酰胺冲击治疗及地塞米松+甲氨蝶呤鞘内注射。入院时体格检查:体温36℃,神志清晰,对答切题,双侧瞳孔等圆等大,直径3 mm,对光反射灵敏,眼球各方位活动正常,双侧眼底未见视乳头水肿。四肢肌张力正常,四肢肌力5级,双侧巴宾斯基征阴性。颈软,颌胸距2 cm,克匿征阴性,布鲁津斯基征阴性。心、肺、腹未见异常。实验室及辅助检查:血白细胞9.25×109/L,中性粒细胞0.86。腰椎穿刺示脑脊液压力80 mm H2O,白细胞1 521×106/L,糖0.26 mmol/L,氯107.7 mmol/L,蛋白3.07 g/L。脑脊液涂片未发现病原体,脑脊液病原体培养阴性。头颅MRI示脑膜脑炎并双侧额叶,左侧侧脑室后角多发脓肿形成,周围水肿,脑室炎、左侧脉络丛炎(图 3A、B)。脑脊液mNGS示诺卡菌、序列数12、置信度中。诊断为诺卡菌脑膜脑炎,予磺胺甲
|
图 3 CNS诺卡菌感染例3患者头颅MRI 治疗前颅脑MRI增强图像,左侧侧脑室后角旁见一类圆形病灶,增强扫描环状强化,病灶周围水肿明显(A、B箭头所指处) |
诺卡菌是一种条件致病菌,主要经呼吸道吸入或直接通过破损的皮肤感染,当侵犯CNS时可导致亚急性或慢性脑膜脑炎和颅内脓肿[4]。
诺卡菌标本的检出率不高[6]。本文中3例患者均患有自身免疫性疾病,长期服用免疫抑制剂或肾上腺皮质激素,发病时出现头痛或发热,症状多变,3例患者的脑脊液涂片均未发现病原体,2例脑脊液培养阴性,而脑脊液mNGS检查均显示诺卡菌感染。当传统方法如脑脊液涂片、培养不能及时作出病原学诊断时,mNGS可提高病原体的检出率以助尽早确诊[7]。目前mNGS仍然存在着较多问题,如灵敏度有待提高、脑脊液mNGS病原体检测的特异度较低等,但对于一些常见方法不易检测到的病原微生物,如诺卡菌和厌氧菌常规培养阳性率极低,当mNGS检测到相关病原片段时,就可以有针对性地调整脑脊液培养的方案,以提高相关病原培养的阳性率[8]。
诺卡菌感染与其它脑脓肿一样,MRI下注射钆后显示出病变的坏死中心和多叶厚壁环状强化,T2加权像上的周边环形低信号被认为是由坏死组织碎片和巨噬细胞对夹膜的吞噬作用所形成,而厚荚膜的产生是因为诺卡菌生长缓慢及宿主抵抗细菌的过程中所发生的外周变化[9-10]。诺卡菌感染若能早期治疗,病灶可明显减少、缩小。
甲氧苄啶与磺胺甲

诺卡菌感染临床表现缺乏特异性,且诺卡菌脑脓肿病死率比其它细菌感染高3倍,若早期确诊、治疗,可明显降低病死率[3]。在传统的方法查不到病原体的情况下,二代基因测序作为一种检测手段,可以及时迅速检出病原体,及早使用靶向性和有效的抗生素指导治疗,从而降低患者致残率及病死率[6]。
| [1] |
Ambrosioni J, Lew D, Garbino J. Nocardiosis: updated clinical review and experience at a tertiary center. Infection, 2010, 38(2): 89-97. DOI:10.1007/s15010-009-9193-9 |
| [2] |
Valdezate S, Garrido N, Carrasco G, Medina-Pascual MJ, Villalón P, Navarro AM, Saéz-Nieto JA. Epidemiology and susceptibility to antimicrobial agents of the main Nocardia species in Spain. J Antimicrob Chemother, 2017, 72(3): 754-761. |
| [3] |
Anagnostou T, Arvanitis M, Kourkoumpetis TK, Desalermos A, Carneiro HA, Mylonakis E. Nocardiosis of the central nervous system: experience from a general hospital and review of 84 cases from the literature. Medicine (Baltimore), 2014, 93(1): 19-32. DOI:10.1097/MD.0000000000000012 |
| [4] |
Brown-Elliott BA, Brown JM, Conville PS, Wallace RJ Jr. Clinical and laboratory features of the Nocardia spp. based on current molecular taxonomy. Clin Microbiol Rev, 2006, 19(2): 259-282. DOI:10.1128/CMR.19.2.259-282.2006 |
| [5] |
彭晶. 从脑脊液中检出巴西诺卡菌一例. 医学信息(上旬刊), 2010, 23(11): 4035-4036. |
| [6] |
陈杏春. 13例患者奴卡氏菌感染临床资料分析. 中华医院感染学杂志, 2012, 22(9): 1826-1827. |
| [7] |
Wilson MR, Naccache SN, Samayoa E, Biagtan M, Bashir H, Yu G, Salamat SM, Somasekar S, Federman S, Miller S, Sokolic R, Garabedian E, Candotti F, Buckley RH, Reed KD, Meyer TL, Seroogy CM, Galloway R, Henderson SL, Gern JE, DeRisi JL, Chiu CY. Actionable diagnosis of neuroleptospirosis by next-generation sequencing. N Engl J Med, 2014, 370(25): 2408-2417. DOI:10.1056/NEJMoa1401268 |
| [8] |
冯国栋, 贺旻, 汪昕. 二代测序技术在诊断神经系统感染性疾病中的应用. 诊断学理论与实践, 2018, 17(4): 391-395. |
| [9] |
Pascual-Gallego M, Alonso-Lera P, Arribi A, Barcia JA, Marco J. Nocardia farcinica abscess of the cerebellum in an immunocompetent patient: a case report and review of the literature. Asian J Neurosurg, 2016, 11(4): 454. DOI:10.4103/1793-5482.145179 |
| [10] |
Pyhtinen J, Pääkkö E, Jartti P. Cerebral abscess with multiple rims of MRI. Neuroradiology, 1997, 39(12): 857-859. DOI:10.1007/s002340050520 |
| [11] |
Moylett EH, Pacheco SE, Brown-Elliott BA, Perry TR, Buescher ES, Birmingham MC, Schentag JJ, Gimbel JF, Apodaca A, Schwartz MA, Rakita RM, Wallace RJ Jr. Clinical experience with linezolid for the treatment of Nocardia infection. Clin Infect Dis, 2003, 36(3): 313-318. DOI:10.1086/cid.2003.36.issue-3 |
| [12] |
Schlaberg R, Fisher MA, Hanson KE. Susceptibility profiles of Nocardia isolates based on current taxonomy. Antimicrob Agents Chemother, 2014, 58(2): 795-800. DOI:10.1128/AAC.01531-13 |
| [13] |
Clark NM, Reid GE. Nocardia infections in solid organ transplantation. Am J Transplant, 2013, 13(S4): 83-92. DOI:10.1111/ajt.2013.13.issue-s4 |
| [14] |
De La Cru O, Minces LR, Silveira FP. Experience with linezolid for the treatment of nocardiosis in organ transplant recipients. J Infect, 2015, 70(1): 44-51. DOI:10.1016/j.jinf.2014.08.010 |
| [15] |
黄磊, 李湘燕, 孙立颖, 赵婧晨. 23株诺卡菌的耐药特点分析. 中国临床药理学杂志, 2018, 34(13): 1520-1524. |


