过敏性紫癜分为单纯型、腹型、关节型、肾型及混合型,有皮肤症状时容易诊断,但部分患者皮疹出现晚于其它症状或仅表现为消化道症状时临床极易误诊。现回顾分析我院1例以消化道出血为主要症状的成人腹型紫癜患者的临床诊治情况,报道如下。
病例资料 一、病例资料患者女,39岁。因“腹痛、便血2 d”于2018年1月4日入院。患者2 d前出现腹痛,位于中下腹部,呈持续性绞痛,疼痛剧烈、难以忍受,无向远处放射,解鲜红色血便3次,粪便呈稀水样,伴有双下肢无力、膝关节轻度疼痛,当地医院多次给予解痉止痛、止血治疗,症状无明显缓解,自发病以来,无恶心、呕吐,无黄疸,无尿频、尿急、尿痛,无心慌、胸闷、气短、喘息等症状,小便正常。体格检查:体温36.5℃,呼吸21次/分,心率103次/分,血压119/77 mm Hg(1 mm Hg=0.133 kPa),全身皮肤黏膜无出血点,腹平软,中腹及下腹压痛(+),无反跳痛,移动性浊音(-),肠鸣音活跃,约7次/分。双膝关节无红肿,屈伸活动尚可。既往无“过敏性紫癜”病史。有“磺胺类”药物过敏史,无食物过敏史。1周前因“急性上呼吸道感染”在当地诊所就诊,经抗感染治疗(具体药物不详)后病情好转。其子有“过敏性紫癜”病史。
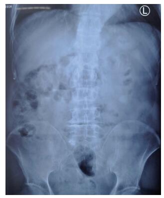
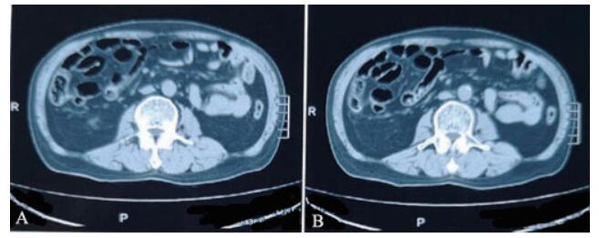
二、实验室及辅助检查血常规示白细胞14.25×109/L,中性粒细胞0.883,红细胞4.25×1012/L,血红蛋白133 g/L,血小板249×109/L。降钙素原0.44 ng/ml,CRP 59.5 mg/L,超敏CRP > 5 mg/mL。凝血检测:凝血酶原时间11.2 s,活化部分凝血酶原时间25.3 s,纤维蛋白原含量2.41 g/L,凝血酶时间11.0 s。尿常规、肝肾功能正常。抗O、RF、CCP(-)。双膝关节正侧位片无异常。腹部立位片示腹部肠管内见少量气体及肠内容物,中腹部可见小气液平面(图 1)。全腹CT示小肠肠管聚拢,肠管增宽,宽4.0 m,肝脏、胆囊、胰腺、脾脏未见异常(图 2)。
|
图 1 一例腹型过敏性紫癜患者腹部立位片 |
|
图 2 一例腹型过敏性紫癜患者全腹CT |
入院后嘱患者禁饮食,给予抑酸、止血、抗感染、营养支持等对症治疗。患者疼痛反复出现,剧烈难忍,间断给予山莨菪碱、布桂嗪注射液后症状无缓解,于2018年1月8日行胃镜检查示慢性萎缩性胃炎。磁控胶囊内镜检查示回肠黏膜多发点状糜烂,黏膜充血水肿。结肠镜示全结肠黏膜多发片状糜烂、溃疡,表面覆有黄苔,黏膜广泛充血水肿,血管纹理模糊,以横结肠、降结肠、乙状结肠明显(图 3)。黏膜组织病理检查示升结肠、横结肠、降结肠黏膜组织内可见灶状出血,小血管周围见中性粒细胞、嗜酸性粒细胞浸润,局灶区表面可见坏死(图 4)。结合症状、体征及辅助检查,确诊为腹型过敏性紫癜,立即给予口服泼尼松30 mg/d、非索非那定120 mg/d抗炎、抗过敏治疗,糖皮质激素治疗2周后减量5 mg/周,逐周递减。随访1个月复查肠镜,肠黏膜完全愈合,肠镜示升结肠、横结肠、降结肠黏膜可见散在条索状隆起,黏膜潮红,血管纹理清晰,无水肿、糜烂及溃疡、出血,乙状结肠、直肠上段黏膜光滑(图 5)。
|
图 3 一例腹型过敏性紫癜患者治疗前结肠镜检查 A、B:升结肠; C~E:横结肠; F:降结肠 |
|
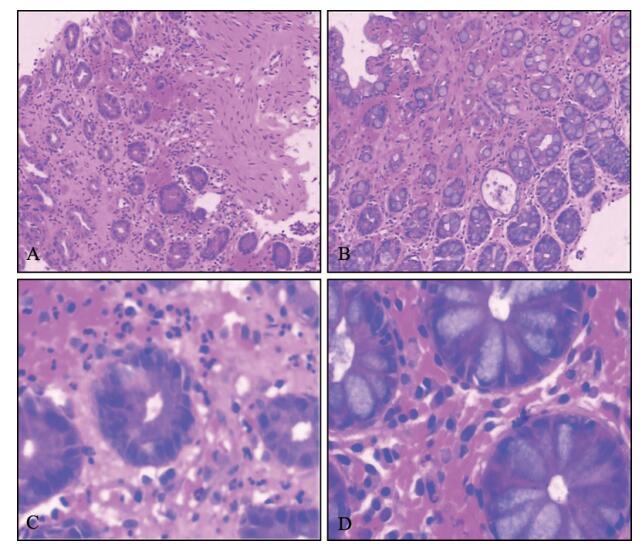
图 4 一例腹型过敏性紫癜患者结肠病理 A、B:苏木素-伊红染色,×40;C、D:苏木素-伊红染色,×400 |
|
图 5 一例腹型过敏性紫癜患者治疗后结肠镜检查 A、B:升结肠; C:横结肠; D、E降结肠; F:直肠上段 |
过敏性紫癜是一种血管变态反应性疾病[1-2]。多发于学龄期儿童,常见发病年龄为7 ~ 14岁,1周岁以内婴儿及成人少见[3-4]。病变累及皮肤、消化道黏膜、肾脏、关节滑膜等多个不同部位[5]。当以皮肤紫癜为首发症状时较易确诊,但对于以消化道症状包括腹痛、恶心、呕吐、便血为首发症状的腹型过敏性紫癜,很难与急性胃肠炎、消化性溃疡、急性胰腺炎、急性阑尾炎等相鉴别,甚至有时以急腹症行外科手术确诊。目前,过敏性紫癜发病机制及病因仍未完全阐明,病因可能涉及感染、免疫紊乱、遗传等因素。发病机制以IgA介导的体液免疫异常为主。根据过敏性紫癜诊断标准(EULAR/PreS统一标准):可触性(必要条件)皮疹伴以下任何一条,弥漫性腹痛、任何部位活检示IgA沉积、关节炎/关节痛、肾脏受损表现(血尿或蛋白尿)[6-7]。
该例患者以腹痛、解鲜红色血便为主要症状,伴有关节受累,但皮肤黏膜并无皮疹出现。腹痛表现突出,呈持续性绞痛,剧烈难忍,但腹部体征轻微,表现出症状、体征相分离的特点,且腹痛反复发作,不能为解痉药物(如山莨菪碱)缓解,同时患者伴随下消化道出血,并可见少量脱落的肠黏膜。患者既往有药物过敏史,且此次发病前有上呼吸道感染及抗生素用药史。此外,结合实验室检查结果,CRP、白细胞水平明显升高,其水平与体内炎性反应及组织损伤的严重程度呈正相关。全腹CT检查提示肠壁水肿、增厚表现。根据既往病史、过敏史及腹痛、便血特点,结合实验室、影像学检查,虽缺乏特异性,但不能排除腹型紫癜可能。因此,通过肠镜检查我们清楚看到,内镜显示全结肠黏膜多发纵形隆起伴有出血、糜烂、溃疡形成。镜下病理显示上皮细胞肿胀,黏膜下血管壁可有坏死,间质水肿、红细胞外渗、血管周围有炎症变化,大量中性粒细胞和嗜酸性粒细胞浸润等情况,提示黏膜血管炎。由于该患者既往无食物过敏史,近期无进食特殊食物史,外周血嗜酸性粒细胞正常,临床表现除消化道症状外还伴有关节受累,结合肠镜镜下表现及组织病理特点,暂不考虑嗜酸性粒细胞性胃肠炎,初步确诊为腹型过敏性紫癜,给予组胺类药物及糖皮质激素抗过敏、抗炎治疗后症状明显缓解。由于腹型过敏性紫癜多累及胃、小肠及结肠,本病是变态反应性疾病,小肠具有丰富的淋巴组织,但因小肠镜尚未得到广泛开展,限制了小肠部位病变检出率,因此对于过敏性紫癜空回肠的发病率要比报道的多。为此,给予该患者行胶囊内镜检查了解小肠黏膜情况,结果显示回肠黏膜多发散在点状糜烂,黏膜充血水肿明显。
经抗过敏、抗炎、改善血管通透性等对症治疗,1个月后随访对患者进行肠镜检查显示结肠病变黏膜已愈合。本病例提醒临床医师对于消化道症状(如腹痛、消化道出血等)明显,尤其腹痛剧烈,以绞痛为主,腹痛部位不固定,一般解痉药物不能缓解,但腹部体征轻微,症状体征分离或伴有消化道出血而拟诊腹型过敏性紫癜者,早期胃镜及肠镜检查是经济有效的办法,可早期诊治,减少误诊、漏诊,避免不必要的外科手术及并发症出现。
| [1] |
McCarthy HJ, Tizard EJ. Clinical practice:diagnosis and management of Henoch-Schönlein purpura. Eur J Pediatr, 2010, 169(6): 643-650. DOI:10.1007/s00431-009-1101-2 |
| [2] |
Hetland LE, Susrud KS, Lindahl KH, Bygum A. Henoch-Schönlein purpura: a literature review. Acta Derm Venereol, 2017, 97(10): 1160-1166. DOI:10.2340/00015555-2733 |
| [3] |
Aalberse J, Dolman K, Ramnath G, Pereira RR, Davin JC. Henoch Schonlein purpura in children: an epidemiological study among Dutch paediatricians on incidence and diagnostic criteria. Ann Rheum Dis, 2007, 66(12): 1648-1650. DOI:10.1136/ard.2006.069187 |
| [4] |
柴鸣荣, 邸晓华, 林益群, 袁海超. 儿童过敏性紫癜复发的相关因素分析. 新医学, 2015, 46(3): 180-182. DOI:10.3969/g.issn.0253-9802.2015.03.011 |
| [5] |
Guo D, Lam JM. Henoch-Schönlein purpura. CMAJ, 2016, 188(15): E393. DOI:10.1503/cmaj.151072 |
| [6] |
Ozen S, Ruperto N, Dillon MJ, Bagga A, Barron K, Davin JC, Kawasaki T, Lindsley C, Petty RE, Prieur AM, Ravelli A, Woo P. EULAR/PReS endorsed consensus criteria for the classification of childhood vasculitides. Ann Rheum Dis, 2006, 65(7): 936-941. |
