糖皮质激素(激素)关节腔注射能迅速而有效地缓解以类风湿关节炎和脊柱关节炎为代表的炎症性关节病以及骨关节炎的症状,且治疗费用低廉,已经在临床中广泛应用[1-2]。激素不仅可缓解病情,还可通过抑制局部炎症改善关节软骨及骨代谢[3]。有研究提示,激素对关节软骨及软骨下骨有直接损害,故近年对关节腔注射激素一直存在争议[4]。为此,本研究探讨倍他米松踝关节局部注射对胶原诱导关节炎(CIA)大鼠病情、骨及软骨代谢的影响,现报告如下。
材料与方法 一、实验动物健康成年雌性Sprague-Dawley大鼠,体质量(200±20)g,购自中山大学北校区实验动物中心,饲养于该中心无特定病原体级实验室,实验场所为中山大学北校区动物实验中心,本研究方案经中山大学实验动物伦理委员会批准。
二、主要实验试剂二丙酸倍他米松及倍他米松磷酸钠注射液(得宝松)购自上海先灵葆雅制药有限公司;牛Ⅱ型胶原及不完全弗氏佐剂购自美国Chondrex公司;大鼠CRP、核因子-κB受体活化因子配体(RANKL)、骨保护素、Ⅱ型胶原C端肽(CTX-Ⅱ)及软骨寡聚基质蛋白(COMP)的ELISA试剂盒购自美国R & D公司。
三、方法 1. CIA模型的建立牛Ⅱ型胶原与不完全弗氏佐剂等体积混合成均匀乳剂。初次免疫时每只大鼠予0.2 ml乳剂右后肢足垫皮内注射,7 d后加强免疫时予0.1 ml乳剂尾根部皮内注射。
2. 药物干预加强免疫1周后选取造模成功的CIA大鼠共24只,按随机数字表法分为倍他米松单次治疗组(Ⅰ组)、倍他米松多次治疗组(Ⅱ组)及空白对照组(Ⅲ组),每组各8只,对病变较重的右踝关节行局部注射。Ⅰ组大鼠首次注射倍他米松(0.5 mg/kg),以后每周注射等体积生理盐水共4周;Ⅱ组及Ⅲ组大鼠则分别每周注射1次倍他米松(0.5 mg/kg)或等体积生理盐水,共4周。
3. 病情评估将加强免疫后1周定义为基线期,每次注射后1周即下次操作前为随访1、2、3及4。通过关节炎指数(AI)评估大鼠右后肢炎症程度,而四肢AI评分相加即为全身AI[5]。AI越高提示病情越严重。
4. 血清指标的检测所有CIA大鼠完成随访,经心脏采血2 ml后处死,参照CRP、RANKL、骨保护素、CTX-Ⅱ及COMP的ELISA试剂盒说明书检测上述指标在血清中的浓度。
5. 组织学检查分离右踝关节后迅速置于甲醛固定24 h,之后65%浓硝酸脱钙2周。脱钙完成后将标本放于流水中冲洗过夜,随后脱水、石蜡包埋并切片。关节切片贴于载玻片上,37 ℃拷片后按常规程序行苏木素-伊红(HE)染色,通过Mankin评分对关节软骨病变进行评估,评分越高提示软骨病变越严重[6]。
四、统计学处理使用SPSS 18.0处理数据。计量资料以x±s表示,全身及局部AI多个时间点组间比较采用重复测量资料方差分析(RMANOVA),根据交互效应检测结果进一步行主效应或简单效应分析联合Bonferroni法;其他数据多组间比较采用方差分析,组间进一步两两比较采用LSD-t检验。α=0.05。
结果 一、CIA大鼠病情的比较 1. CIA大鼠AI的比较初次免疫后大鼠右后肢足垫轻微肿胀,但全身状态良好。再次免疫后2 ~ 3 d大鼠右后肢关节肿胀逐渐加重,局部皮温升高,随后左后肢及双前肢关节明显肿胀。再次免疫后1周,大鼠右后肢关节出现较严重的充血肿胀,视为造模成功。大鼠总造模成功率83.33%,本研究选取造模成功的CIA大鼠进行关节腔注射及观察。
Ⅰ组及Ⅱ组大鼠右踝关节腔注射后局部肿胀减轻,其他关节的肿胀也略改善。RMANOVA提示右踝AI在不同处理与随访间存在交互效应(F=30.99,P < 0.001),故通过简单效应分析联合Bonferroni法(3组间两两比较P < 0.05/3=0.017,各时间点比较P < 0.05/10=0.005为差异有统计学意义),比较该指标在不同时间点及组内的差异。基线期各组右踝AI比较差异无统计学意义(P > 0.05),见表 1。在随访1,Ⅰ组及Ⅱ组右踝AI比较差异无统计学意义(P > 0.017),但均低于Ⅲ组(P均 < 0.017)。从随访2到随访4,各组间比较差异均有统计学意义(P均 < 0.017)。就不同的随访而言,Ⅰ组大鼠随访1到随访4的右踝AI均低于基线期(P均 < 0.005),其中随访1最低。Ⅱ组大鼠各随访间比较差异均有统计学意义(P均 < 0.005)。Ⅲ组大鼠各随访间比较差异均无统计学意义(P > 0.05)。全身AI的RMANOVA也提示不同处理与随访间存在交互效应(F=79.58,P < 0.05),简单效应分析联合Bonferroni法提示全身AI变化趋势与右踝AI一致,见表 1。
| 表 1 倍他米松局部注射治疗CIA前后大鼠右踝及全身AI比较(x±s) |
所有大鼠完成随访后采血并完成CRP测定,Ⅰ、Ⅱ、Ⅲ组分别为(5.33±2.39)、(2.04±1.04)、(12.15±3.47)μg/ml,组间比较差异有统计学意义(F = 62.42,P < 0.05)。CRP在各组CIA大鼠血清中的浓度两两比较差异均有统计学意义(P均 < 0.05)。
二、CIA大鼠血清骨代谢标记物的比较Ⅰ组、Ⅱ组及Ⅲ组CIA大鼠血清RANKL浓度分别为(58.56±7.25)、(21.14±6.54)、(117.84±20.01)pg/ml,组间比较差异有统计学意义(F = 115.13,P < 0.05),组间两两比较差异均有统计学意义(P均 < 0.05)。血清骨保护素浓度在Ⅰ、Ⅱ、Ⅲ组分别为(53.98±5.75)、(121.29±6.26)、(44.05±5.74)ng/ml,组间比较差异有统计学意义(F = 402.94,P < 0.05),两两比较差异均有统计学意义(P均 < 0.05)。
三、CIA大鼠血清软骨代谢标记物的比较Ⅰ组CIA大鼠血清CTX-Ⅱ及COMP浓度分别为(42.22±9.19)、(85.21±8.37)ng/ml,Ⅱ组为(55.23±8.64)、(135.56±11.53)ng/ml,Ⅲ组为(125.12±7.12)、(213.51±9.11)ng/ml。3组血清CTX-Ⅱ(F = 6.33,P < 0.05)及COMP(F = 103.69,P < 0.05)浓度比较差异均有统计学意义。
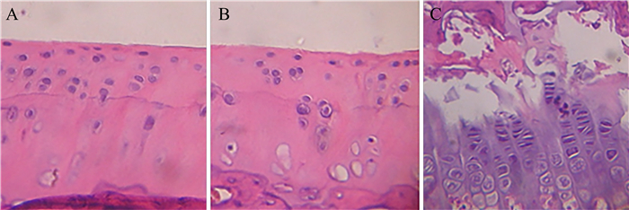
四、CIA大鼠软骨病理学改变Ⅰ组及Ⅱ组大鼠右踝关节软骨表面尚光滑,但Ⅱ组大鼠软骨细胞空泡变性多见。Ⅲ组大鼠软骨着色浅、表面破溃且软骨细胞变形、大小不一,周围可见滑膜明显增生,见图 1。Ⅰ、Ⅱ、Ⅲ组大鼠右踝关节软骨Mankin评分分别为(1.88±0.35)、(3.50±0.76)及(5.88±0.64)分,组间比较差异有统计学意义(F = 87.73,P < 0.05),两两比较差异均有统计学意义(P均 < 0.05)。
|
图 1 随访结束时CIA大鼠右踝关节软骨病理学结果(HE染色,×400) A:倍他米松单次治疗组;B:倍他米松多次治疗组;C:空白对照组 |
激素是常用的抗炎药物,但长期全身用药可引起高血压病、糖尿病、向心性肥胖及骨质疏松等不良反应[7]。关节腔注射激素可提高局部药物浓度,并减少该类药物的全身吸收,从而提高疗效并降低不良反应的发生风险及严重程度。既往多项研究显示,激素关节腔注射可迅速而有效地缓解炎症性关节病及骨关节炎的单关节症状[8]。本研究显示,关节腔注射倍他米松在降低右踝关节及全身AI的同时,血清CRP也随之下降。此外,随着倍他米松给药次数的增加,AI及CRP下降的趋势越明显。然而,踝关节穿刺及局部注射生理盐水可能引起骨及软骨代谢血清标记物等客观指标的改变,故本研究以右踝关节注射生理盐水的CIA大鼠作为空白对照组,进一步探讨倍他米松关节腔注射对CIA大鼠骨及软骨代谢的影响,并发现该治疗对骨代谢有保护作用,但对软骨有损害。
激素关节腔注射对骨代谢的影响,至今存在较多的争论。Bajpayee等[3]建立创伤后骨关节炎大鼠模型并给予关节腔注射地塞米松,通过显微电子计算机断层扫描检查发现接受治疗的关节骨破坏较轻。Holwegner等[9]通过建立佐剂诱导关节炎大鼠模型,发现接受曲安奈德局部注射的关节骨密度较高。相反,有研究提示关节腔注射曲安奈德或地塞米松,可引起骨破坏加重及局部骨密度下降[4, 10]。严重者甚至在单次局部注射激素后即可出现骨坏死[11]。本研究通过RANKL及OPG观察关节腔注射倍他米松对CIA大鼠骨代谢的影响。前者为TNF超家族,通过与核因子-κB受体活化因子结合,介导破骨细胞分化成熟,而后者通过与RANKL结合从而抑制破骨细胞的活化并促进其凋亡,导致骨吸收被抑制[12]。本研究显示,倍他米松关节腔注射后的大鼠RANKL下降而OPG上升,且随着注射次数增多改变越明显,与上述结果一致的是CRP随倍他米松用药次数增加而下降。因此,倍他米松关节腔注射可能通过降低局部及全身炎症水平从而改善骨代谢。
既往多项研究显示,关节腔注射激素可引起软骨退化,如McAlindon等[13]连续2年给予骨关节炎患者每3个月膝关节注射曲安奈德,MRI发现治疗后患者软骨体积下降。此外,激素可导致软骨细胞分化障碍、凋亡及发生形态改变,并降低蛋白多糖的合成[14-16]。近年有研究显示,单次小剂量局部注射地塞米松可通过降低关节腔内IL-1及TNF浓度,从而减轻软骨降解[17]。此外,Rudnik-Jansen等[18]报道曲安奈德结合于聚酯酰胺微球,局部注射进入关节腔后稳定使之缓慢释放有效成分,在缓解关节症状的同时对软骨有保护作用。本研究给予大鼠关节腔注射二丙酸倍他米松及倍他米松磷酸钠注射液,虽然CIA的局部症状及整体病情均有改善,但作为软骨降解产物的CTX-Ⅱ及COMP仅仅比对照组下降,且随着倍他米松给药次数增多而上升。另一方面,虽然局部注射倍他米松可避免软骨结构破坏,但注射次数增多可引起软骨细胞形态改变,提示激素多次局部注射虽然能缓解局部炎症,但对关节软骨有损害。
综上所述,关节腔注射倍他米松缓解大鼠CIA疾病活动性的同时也改善了骨代谢,但对软骨有损害作用。然而,关于关节腔注射激素对于骨及软骨代谢的影响仍有争议,而本研究发现倍他米松对CIA大鼠骨与软骨代谢影响不一致,可能与药物剂型、给药次数及观察时间有关,故未来的研究应关注上述因素对骨及软骨代谢的影响。
| [1] |
Pereira DF, Natour J, Machado NP, Furtado RN. Effectiveness of intra-articular injection in wrist joints according to triamcinolone hexacetonide dose in rheumatoid arthritis: a randomized controlled double-blind study. Am J Phys Med Rehabil, 2015, 94(2): 131-138. DOI:10.1097/PHM.0000000000000174 |
| [2] |
Tian K, Cheng H, Zhang J, Chen K. Intra-articular injection of methylprednisolone for reducing pain in knee osteoarthritis: A systematic review and meta-analysis. Medicine (Baltimore), 2018, 97(15): e0240. DOI:10.1097/MD.0000000000010240 |
| [3] |
Bajpayee AG, Dela Vega RE, Scheu M, Varady NH, Yannatos IA, Brown LA, Krishnan Y, Fitzsimons TJ, Bhattacharya P, Frank EH, Grodzinsky AJ, Porter RM. Sustained intra-cartilage delivery of low dose dexamethasone using a cationic carrier for treatment of post traumatic osteoarthritis. Eur Cell Mater, 2017, 34: 341-364. DOI:10.22203/eCM |
| [4] |
Zhang Z, Wei X, Gao J, Zhao Y, Zhao Y, Guo L, Chen C, Duan Z, Li P, Wei L. Intra-articular injection of cross-linked hyaluronic acid-dexamethasone hydrogel attenuates osteoarthritis: an experimental study in a rat model of osteoarthritis. Int J Mol Sci, 2016, 17(4): 411. DOI:10.3390/ijms17040411 |
| [5] |
刘璐, 张全波, 青玉凤, 周京国, 何泳龙. 加味四妙散汤剂对大鼠急性痛风性关节炎的疗效及可能作用机制的研究. 新医学, 2017, 48(6): 375-379. DOI:10.3969/j.issn.0253-9802.2017.06.003 |
| [6] |
Gou H, Ye J, Wang Y, Xu X, Shen Q, Xue J, Zhao J, Lu X. The anti-inflammatory activity of toonaciliatin K against adjuvant arthritis. Biomed Res Int, 2017, 2017: 9436280. |
| [7] |
Black RJ, Goodman SM, Ruediger C, Lester S, Mackie SL, Hill CL. A survey of glucocorticoid adverse effects and benefits in rheumatic diseases: the patient perspective. J Clin Rheumatol, 2017, 23(8): 416-420. DOI:10.1097/RHU.0000000000000585 |
| [8] |
Hajialilo M, Ghorbanihaghjo A, Valaee L, Kolahi S, Rashtchizadeh N, Amirkhiz MB, Malekmahdavi I, Khabbazi A. A double-blind randomized comparative study of triamcinolone hexacetonide and dexamethasone intra-articular injection for the treatment of knee joint arthritis in rheumatoidarthritis. Clin Rheumatol, 2016, 35(12): 2887-2891. DOI:10.1007/s10067-016-3397-4 |
| [9] |
Holwegner C, Reinhardt AL, Schmid MJ, Marx DB, Reinhardt RA. Impact of local steroid or statin treatment of experimental temporomandibular joint arthritis on bone growth in young rats. Am J Orthod Dentofacial Orthop, 2015, 147(1): 80-88. DOI:10.1016/j.ajodo.2014.09.016 |
| [10] |
Knudsen M, Bury M, Holwegner C, Reinhardt AL, Yuan F, Zhang Y, Giannini P, Marx DB, Wang D, Reinhardt RA. Effect of dexamethasone prodrug on inflamed temporomandibular joints in juvenile rats. Arthritis Res Ther, 2015, 17: 267. DOI:10.1186/s13075-015-0772-5 |
| [11] |
Wang A, Ren M, Wang J.The pathogenesis of steroid-induced osteonecrosis of the femoral head: a systematic review of the literature. Gene, 2018, pii: S0378-1119(18)30588-2. http://www.ncbi.nlm.nih.gov/pubmed/29859289
|
| [12] |
Compston J. Glucocorticoid-induced osteoporosis: an update. Endocrine, 2018, 61(1): 7-16. |
| [13] |
McAlindon TE, LaValley MP, Harvey WF, Price LL, Driban JB, Zhang M, Ward RJ. Effect of intra-articular triamcinolone vs saline on knee cartilage volume and pain in patients with knee osteoarthritis: a randomized clinical trial. JAMA, 2017, 317(19): 1967-1975. DOI:10.1001/jama.2017.5283 |
| [14] |
Chang LH, Wu SC, Chen CH, Wang GJ, Chang JK, Ho ML. Parathyroid hormone 1-34 reduces dexamethasone-induced terminal differentiation in humanarticular chondrocytes. Toxicology, 2016, 368-369: 116-128. DOI:10.1016/j.tox.2016.09.002 |
| [15] |
Byron CR, Benson BM, Stewart AA, Pondenis HC. Effects of methylprednisolone acetate and glucosamine on proteoglycan production by equinechondrocytes in vitro. Am J Vet Res, 2008, 69(9): 1123-1128. DOI:10.2460/ajvr.69.9.1123 |
| [16] |
Zhang M, Shi CY, Zhou ZL, Hou JF. Bone characteristics, histopathology, and chondrocyte apoptosis in femoral head necrosisinduced by glucocorticoid in broilers. Poult Sci, 2017, 96(6): 1609-1614. DOI:10.3382/ps/pew466 |
| [17] |
Grodzinsky AJ, Wang Y, Kakar S, Vrahas MS, Evans CH. Intra-articular dexamethasone to inhibit the development of post-traumatic osteoarthritis. J Orthop Res, 2017, 35(3): 406-411. DOI:10.1002/jor.v35.3 |
| [18] |
Rudnik-Jansen I, Colen S, Berard J, Plomp S, Que I, van Rijen M, Woike N, Egas A, van Osch G, van Maarseveen E, Messier K, Chan A, Thies J, Creemers L. Prolonged inhibition of inflammation in osteoarthritis by triamcinolone acetonide released from a polyester amide microsphere platform. J Control Release, 2017, 253: 64-72. DOI:10.1016/j.jconrel.2017.03.014 |


