子宫内膜异位症指有活性的子宫内膜细胞种植在子宫内膜以外的位置,是妇科的常见疾病之一[1]。肠道子宫内膜异位症是子宫内膜细胞种植到肠道的一种深部子宫内膜异位症,患者如囊肿破裂可引起严重的急腹症。妊娠合并肠道子宫内膜异位症发病率低,约占子宫内膜异位症发病率的3.8%,临床症状无特异性,超声和MRI检查受妊娠子宫的影响,术前确诊率低,需要手术中探查和活组织病理检查(活检)确诊。目前该类病例报道较少,本文总结了我院近年收治的一例妊娠合并回结肠子宫内膜异位症囊肿破裂患者诊疗经过,以供临床同道参考。
病例资料 一、病史与体格检查患者女,29岁。因“停经30+1周,左下腹疼痛8 h”于2016年12月29日入院。患者孕1产0,月经史无特殊,既往体健,否认特殊病史。孕期规律行产前检查,孕早期核对孕周准确。孕9周因腹痛住院,行超声检查示子宫上方实性肿块,约5 cm×3 cm,考虑肠道来源肿块,妇科肿瘤标志物组合未见异常。予抗炎、补液对症治疗后出院,孕期定期复查超声,肿块无明显变化。孕30+1周无明显诱因出现左下腹持续性疼痛,4 h后自行缓解,于我院急诊入院。
入院体格检查:体温36.9℃,脉搏92次/分,血压116/68 mm Hg(1 mm Hg = 0.133 kPa),呼吸20次/分。腹软,左下腹压痛(+),反跳痛(+)。宫高29 cm,腹围90 cm; 胎心140次/分。
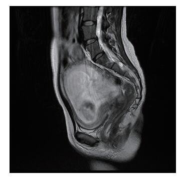
二、实验室及辅助检查血常规:血红蛋白110 g/L,红细胞4.6×1012/L,白细胞18.9×109/L,淋巴细胞2.4×109/L,中性粒细胞16.5×109/L。CRP 60 mg/L,降钙素原0.11 μg/L。产科彩超:宫内妊娠,孕32周,受明显增大的子宫影响,原腹腔肿物不能探及。泌尿系、肝胆胰脾、阑尾超声检查未见异常。盆腹腔MRI提示肠道占位性病变(45 mm×32 mm),见图 1。
|
图 1 一例妊娠合并回结肠子宫内膜异位症患者的盆腹腔MRI结果 |
入院诊断:孕1产0,宫内妊娠30+1周,左枕横位,单活胎,先兆早产; 腹痛查因; 子宫上方肿物性质待查。入院后予头孢呋辛钠抗感染、地塞米松促胎肺成熟治疗,患者腹痛明显缓解。7 d后孕妇无明显诱因再次出现左下腹疼痛,无缓解。体格检查:体温37.9℃,腹隆,左下腹压痛及反跳痛明显,肠鸣音弱; 未扪及宫缩,胎心146次/分。复查CRP 34 mg/L,白细胞16.5×109/L。考虑急腹症,未排除盆腔肿物破裂可能,急诊行子宫下段剖宫产术,新生儿出生体质量1.90 kg,身长40 cm,因早产转新生儿科。剖宫术中探查:子宫形态正常,子宫左、右侧壁靠近切口处组织质脆; 右侧附件正常; 左侧卵巢正常,左侧输卵管与肠壁粘连; 腹腔见脓性液体渗出,乙状结肠可扪及一包块,边界不清,与周围肠管粘连。术中请外科医师会诊,予乙状结肠病灶切除术联合回肠部分切除术。术中出血500 ml。术后活检示乙状结肠、回肠子宫内膜异位症伴蜕膜样变。免疫组织化学染色示:CD10、雌激素受体(ER)、孕激素受体(PR)、细胞角蛋白(CK)均(+),CD163、CK20、CDX-2、人绒毛膜促性腺激素、肌动蛋白、CD34均(-)。术后患者生命体征平稳,继续予头孢哌酮舒巴坦钠抗感染治疗,11 d后出院,3个月后行小肠造瘘还纳术,术后恢复好,Ⅱ型伤口甲级愈合,随访超声未见明显异常。
讨论妊娠合并肠道子宫内膜异位症囊肿破裂可引起各种妊娠期并发症,如早产、自发腹腔出血和肠穿孔等,是罕见的产科急危重症,误诊率高[2-3]。有研究认为,辅助生殖技术的应用是孕期出现肠穿孔的危险因素,但本例患者为自然受孕,无明显危险因素[4]。
肠道子宫内膜异位症引起肠穿孔的病理生理机制仍不明确。肠道子宫内膜异位囊肿组织压迫性坏死可能是导致肠穿孔的主要原因[3]。肠道子宫内膜异位囊肿破裂的临床表现不典型,可表现为发热、腹痛、腹膜刺激征、胎儿窘迫等[5]。其确诊主要依据术中所见和病理诊断。妊娠期超声、MRI等影像学检查具有一定局限性,本例患者多次影像学检查均未排除肠道来源肿瘤、予抗生素抗感染治疗后疼痛缓解,可能是导致误诊的主要原因。随着孕周的增加,腹腔压力和增大的子宫的压迫,回结肠子宫内膜异位囊肿受压可能引起囊肿破裂,导致急腹症[6]。
妊娠晚期出现急腹症,需要及时行剖宫产终止妊娠。剖宫产术中应仔细探查盆腹腔情况,及时切除破裂坏死肠道,围手术期时应予广谱抗生素预防感染,本例患者在剖宫产后行乙状结肠病灶切除术联合回肠部分切除术,切除肠道坏死病灶,择期行小肠造瘘还纳术,术后恢复好,随访超声未见明显异常。
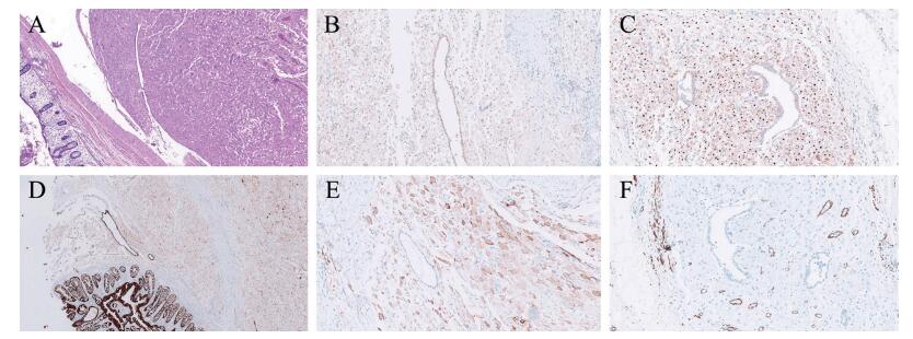
|
图 2 一例妊娠合并回结肠子宫内膜异位症患者的术后活检结果 A:苏木素-伊红染色(×40); B ~ F:免疫组织化学染色(×100),B ~ F依次为ER(+)、PR(+)、CK(+)、CD10(+)、肌动蛋白(-) |
综上所述,对于妊娠合并肠道肿物的孕妇,要警惕肠道子宫内膜异位症的可能,一旦出现囊肿破裂导致急腹症,早期发现、及时处理治疗可有效改善孕产妇和围生儿预后。
| [1] |
朱静妍, 朱秀君, 黄黛苑, 陈颐, 陆杉, 梁雪芳, 黄健玲, 徐珉. 子宫内膜异位症的发病相关因素研究. 新医学, 2014, 45(11): 724-728. DOI:10.3969/g.issn.0253-9802.2014.11.005 |
| [2] |
Setúbal A, Sidiropoulou Z, Torgal M, Casal E, Lourenço C, Koninckx P. Bowel complications of deep endometriosis during pregnancy or in vitro fertilization. Fertil Steril, 2014, 101(2): 442-446. DOI:10.1016/j.fertnstert.2013.11.001 |
| [3] |
Leone Roberti Maggiore U, Inversetti A, Schimberni M, Viganò P, Giorgione V, Candiani M. Obstetrical complications of endometriosis, particularly deep endometriosis. Fertil Steril, 2017, 108(6): 895-912. DOI:10.1016/j.fertnstert.2017.10.035 |
| [4] |
Roman H, Puscasiu L, Lempicki M, Huet E, Chati R, Bridoux V, Tuech JJ, Abo C. Colorectal endometriosis responsible for bowel occlusion or subocclusion in women with pregnancy intention: is the policy of primary in vitro fertilization always safe?. J Minim Invasive Gynecol, 2015, 22(6): 1059-1067. DOI:10.1016/j.jmig.2015.05.023 |
| [5] |
Glavind MT, Møllgaard MV, Iversen ML, Arendt LH, Forman A. Obstetrical outcome in women with endometriosis including spontaneous hemoperitoneum and bowel perforation: a systematic review. Best Pract Res Clin Obstet Gynaecol, 2018, 51: 41-52. DOI:10.1016/j.bpobgyn.2018.01.018 |
| [6] |
Cohen J, Thomin A, Mathieu D'Argent E, Laas E, Canlorbe G, Zilberman S, Belghiti J, Thomassin-Naggara I, Bazot M, Ballester M, Daraï E. Fertility before and after surgery for deep infiltrating endometriosis with and without bowel involvement: a literature review. Minerva Ginecol, 2014, 66(6): 575-587. |


