Original Research

Malignant transformation of infantile hepatic hemangioendothelioma to hepatic angiosarcoma: report of one case and review of literatures

  • Zhao Chang ,
  • Liu Xingling ,
  • Zhang Xiaofang ,
  • Lin Weizhen ,
  • Zhang Nana ,
  • Tang Luying ,
  • Zhou Jing
Expand
  • Department of Pathology, the Third Affiliated Hospital of Sun Yat-sen University,Guang-zhou 510630, China
Zhou Jing,E-mail:

Received date: 2019-03-26

  Online published: 2019-08-30

Copyright

Copyright reserved © 2019

Abstract

Objective To investigate the possibility of infantile hepatic hemangioendothelioma (IHHE) progressing into hepatic angiosarcoma and the timing of liver transplantation.Methods Clinical characteristics, pathological features of one IHHE case progressing into malignant angiosarcoma after liver transplantation admitted to our hospital were retrospectively analyzed. The morphology and immuno-histochemical features of IHHE and angiosarcoma were analyzed.Literature review related to IHHE progressing into angiosarcoma was performed from PubMed, SinoMed, CNKI, Wanfang data and Chongqing VIP databases by using the searching words of “liver transplantation”, “infantile hepatic hemangioendothelioma”, “angiosarcoma” amd “clinicopathology”.Results The 4-year-old boy diagnosed with IHHE was admitted to our hospital due to chief complaints of abdominal distention and systemic and scleral yellowing at more than 2 years after comprehensive treatment. MRI showed the recurrence of the tumor. The patient underwent “allograft orthotopic transplantation”. Pathological biopsy demonstrated that the tumor was composed of two types of structures including typical angiosarcoma and IHHE-like morphological features. However, the tissue structure and cellular heterogeneity were more complicated compared with conventional IHHE. The transition was observed between two regions. The patient died from lung infection and heart failure at 17 d after liver transplantation. In the literature review, 3 cass of IHHE transforming into angiosarcoma all died due to disease aggravation after steroids, interferon or chemotherapy.Conclusions IHHE can progress into angiosarcoma. long-term follow-up, accurate diagnosis and effective treatment should be delivered for the affected children. The specific timing of liver transplantation should be determined by surgeons and pathologists. Whether the indications of liver transplantation should be widened to obtain better clinical prognosis remains to be elucidated.

Cite this article

Zhao Chang , Liu Xingling , Zhang Xiaofang , Lin Weizhen , Zhang Nana , Tang Luying , Zhou Jing . Malignant transformation of infantile hepatic hemangioendothelioma to hepatic angiosarcoma: report of one case and review of literatures[J]. JOURNAL OF NEW MEDICINE, 2019 , 50(8) : 628 -633 . DOI: 10.3969/j.issn.0253-9802.2019.08.014

肝婴儿型血管内皮瘤(IHHE)又被称为良性血管内皮瘤或肝婴儿型血管瘤,是婴儿期最常见的原发于肝脏的良性肿瘤,起源于血管内皮,常被误诊为海绵状血管瘤[1]。肿瘤多于出生后6个月内被发现,可无任何临床症状,或合并有皮肤血管瘤、充血性心衰竭和血小板减少症、Kasabach-Merritt 综合征等。血管肉瘤是一种少见的软组织肿瘤,占软组织肉瘤的1% ~ 2%,约1/3的患者发生于皮肤,发生于肝脏罕见,发生于儿童且由IHHE恶变而来则更为罕见。笔者通过回顾1例肝移植术后发现的IHHE恶变为血管肉瘤的患儿的临床病理特征,并分析相关文献,以探讨两者可能存在的联系以及恶变的机制,加深同行对该病的认识,及早作出正确诊断,适时行肝移植治疗。

对象与方法

一、1例IHHE恶变为血管肉瘤患儿临床资料的收集

我科于2018年1月诊断1例IHHE恶变为血管肉瘤的患儿,收集并分析其病史、实验室及辅助检查、病理诊断等资料。

二、文献检索

以“肝移植”“肝婴儿型血管内皮瘤“血管肉瘤”及“临床病理”为检索词(包括中英文),对以下数据库截至2019年1月收录的论文进行检索:生物医学文献数据库 (PubMed)、中国生物医学文献服务系统 (SinoMed) 、中国期刊全文数据库 (CNKI)、 万方数据知识服务平台、 维普中文科技期刊数据库, 收集并分析检索到的IHHE恶变为血管肉瘤患者的资料。

结 果

一、1例IHHE恶变为血管肉瘤患儿的病历资料

1.病史、实验室及辅助检查

患儿男,4岁,因IHHE治疗效果欠佳拟行肝移植术于2018年1月来我院就诊。患儿2年余前因腹痛于外院行腹部彩色多普勒超声(彩超)及CT检查,提示肝内巨大占位性病变,穿刺病理活组织检查(活检)示IHHE,遂行“介入栓塞治疗”,后因肿瘤复发,多次行“肝肿物切除术”,期间曾服用甲泼尼龙及长春新碱治疗,效果欠佳,遂至我院拟行同种异体原位肝移植术。术前甲胎蛋白及癌胚抗原均处于正常范围,肝功能AST 221 U/L、ALT 56 U/L,腹部CT示肝内多发巨大肿块(最大者约145 mm×113 mm),考虑肿瘤复发;胸部CT示双肺多发结节灶,考虑炎性病变或肿瘤。

2.病理学检查

2.1 外院玻片会诊结果

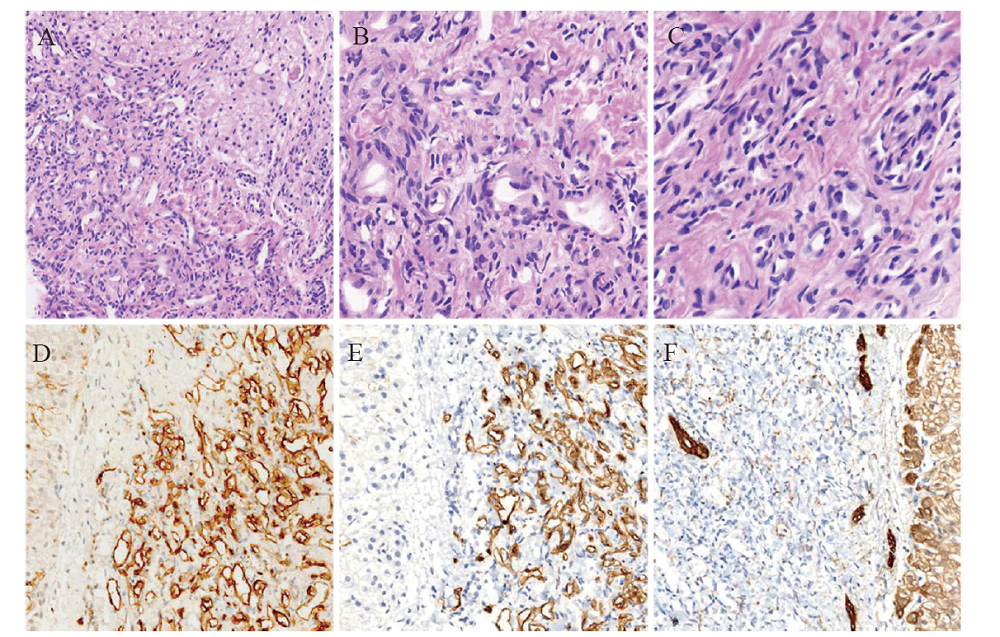
患儿首次穿刺活检(外院) 苏木素-伊红(HE)染色显示肿瘤由大量增生血管构成,管腔大小不一,内衬单层内皮细胞,细胞有轻度异型性,核分裂罕见,边界尚清,但未见纤维包膜(图1A ~ C)。免疫组织化学检查(免疫组化)显示血管内皮均表达CD31、CD34(图1D、E),肿瘤内可见残存的小胆管(图1F),会诊结果考虑为IHHE。
图1 一例IHHE恶变为血管肉瘤患儿外院首次穿刺活检会诊结果

A ~ C:IHHE镜下形态,可见丰富毛细血管聚集,细胞核圆形或卵圆形,部分细胞呈上皮样,细胞无明显异型性,与周围肝组织分界尚清(HE染色,A×200,B、C×400);D、E:免疫组化分别标记为CD31、CD34,显示毛细血管网弥漫阳性表达(×200);F:免疫组化标记为CK7,肿瘤细胞阴性,肝细胞及残存小胆管阳性表达(×200)

2.2 肝移植术病理活检结果

2.2.1 大体形态
送检21 cm×18 cm×10 cm灰红肝组织一块,切面可见多个结节状肿物,最大者14 cm×10 cm,切面灰白,部分质软,部分质硬,边界欠清。
2.2.2 镜下形态及免疫组化结果
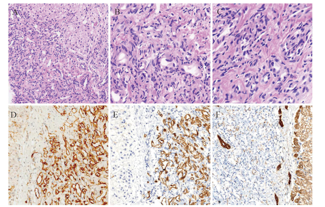
HE染色显示肿瘤部分区域由大小不等的迷路样腔隙构成(图2A),内衬单层或多层圆形细胞(图2B),可见少数核分裂;部分区域呈实性片状分布,细胞呈圆形、卵圆形或梭形,细胞异型性明显,核分裂多见,可见多灶坏死(图2C ~ F),两区域之间可见移行过渡(图2A),肿瘤边界不清,病变内可见残存的肝细胞及小胆管样结构,部分肿瘤细胞向周围肝窦内延伸,未突破肝被膜。免疫组化染色显示2种形态的细胞均表达ERG、CD34、CD31(图2G ~ I),肿物周围肝细胞及小胆管分别表达Hep及CK7(图2J、K),肿瘤细胞增殖指数较高(图2L)。
图2 一例IHHE恶变为血管肉瘤患儿肝移植术切除肿物病理形态及免疫组化

A:左侧为血管肉瘤区域,右侧为IHHE区域(HE染色,×100);B、C:IHHE区域,显示肿瘤形成迷路样血管腔隙,衬覆扁平或立方细胞,穿插于肝窦之间,细胞有一定异型性(HE染色,×400);D ~ F:血管肉瘤区域,肿瘤由梭形或圆形细胞构成,部分可见胞浆内空泡,细胞异型性明显,核分裂易见,可见多灶性坏死,并见神经侵犯(D为HE染色,×400;E、F为HE染色,×200);G ~ L:分别为CD31、CD34、ERG、Hep、CK7及Ki67免疫组化结果,肿瘤细胞血管源性标记CD31、CD34、ERG均强阳性,肿瘤内残存小胆管及肝细胞均阴性,肿瘤细胞Hep、CK7阴性,肿瘤内残存肝细胞Hep阳性,残存小胆管CK7阳性,Ki67热点区域约40%阳性(×400)

结合临床病史、肝移植术后肿瘤病理学活检大体形态以及免疫组化结果,患儿被诊断为IHHE恶变为血管肉瘤。

3. 预 后

患儿行肝移植术后肝功能AST 45 U/L、ALT 53 U/L,反复出现低体温、尿少逐渐转为无尿,术后第3日出现心包积液,行心包穿刺引流术,同时出现呼吸困难,靠呼吸机维持通气。胸部CT示双肺多发结节较前增多、增大,考虑双肺结节转移瘤并曲霉菌感染可能性大,但未行病理学检查证实。患儿于肝移植术后第17日死于肺部感染及心力衰竭。

二、IHHE恶变为血管肉瘤相关文献检索结果

文献检索结果见表1,同类患儿经类固醇、IFN或化学治疗后,均因病情加重死亡。
表1 IHHE恶变为血管肉瘤患儿文献检索统计表
序 号 第一作者 发病年龄 性别 既往诊断 治疗手段 进展 预后 死亡年龄
1 Nazir Z[7] 21 d 肝2型肝婴儿血管内皮瘤 高剂量类固醇激素联合IFN-α 考虑为血管肉瘤,但未行病理检测 死亡 3个月
2 Kamath SM[10] 2岁 肝婴儿血管内皮瘤 大剂量类固醇激素联合心得安 血管肉瘤 死亡 3岁半
3 Jeng MR[13] 5个月 多灶性婴儿血管瘤(皮肤、肝、肺) 抗血管内皮生长因子联合全身化学治疗 血管肉瘤 死亡 5岁

讨 论

近年来,由于免疫组化的应用及分子病理检测的开展,临床研究者对发生于婴幼儿皮肤的血管肿瘤和血管畸形的概念有了新的认识。IHHE虽然是肝内最常见的血管源性良性肿瘤,但儿童肝脏肿瘤比较少见,仅占所有儿童肿瘤的2% ~ 3%,故儿童IHHE仍属罕见[2]
IHHE主要分为2型,Ⅰ型最常见,肿瘤由密集增生的不规则薄壁毛细血管样腔隙构成,管腔内衬单层上皮细胞,扁平或圆形,细胞形态较一致,可见小到中等大的核仁,几乎无核分裂,管腔内可见红细胞,病变中可有残留的胆管、肝细胞及汇管区,也可见到较大的海绵状血管瘤样管腔,间质纤维化,部分病例可见髓外造血。Ⅱ型肿瘤出现细胞多形性及异型性,并呈多层排列,甚至向腔内呈簇状突起。Ⅱ型IHHE相对少见,约占20%左右,侵袭性强,部分研究者认为其本质可能为血管肉瘤[2]。IHHE的主要鉴别诊断包括:海绵状血管瘤、间质错构瘤及血管肉瘤[4]。海绵状血管瘤主要见于老年人,镜下表现无毛细血管样或窦样结构,取而代之的是广泛扩张的非吻合薄壁血管,内衬单层扁平内皮细胞,间质为增生的纤维组织。间质错构瘤镜下表现主要由畸形的胆管、间质组织及血管组织构成,间质黏液样变性,可见松散排列的星状细胞。超声多表现为囊实性或多房分隔的囊性肿块,与IHHE显示的肝内肿块——内部可有点线状或较丰富的静脉血流信号较易鉴别[4]。血管肉瘤可显示出实体状、梁索状、片状、乳头状或海绵状生长方式,单一或混合存在,细胞有明显的异型性,可见胞浆内空泡,核分裂可少见或多见,可见窦内扩张、肝内门静脉或肝静脉侵犯。发生于儿童的肝原发性血管肉瘤罕见,结合有毒素接触史、不成熟的血管形成、恶性细胞形态、病理性核分裂和血管浸润,可以作出诊断[6]
IHHE的发病高峰期为6月龄婴儿,其自然进程最常见的是进展为良性海绵状血管瘤或通过弥漫性纤维化而消失,少数IHHE可以发生转移,并恶变为血管肉瘤[6]。临床处理方式因肿瘤的大小及患儿症状而异,肿瘤体积小、单发且无症状者可以等待肿瘤消退。其他治疗方案包括放射治疗、手术切除、类固醇激素或IFN-α2A、动脉结扎或栓塞等[8]。而肝移植术常作为上述治疗无效后的选择。Awan等[9]曾报道过1例患儿,行肝左叶良性血管内皮瘤切除术后发现肝右叶占位性病变,穿刺活检提示肿瘤复发并向恶性转化,欲行肝移植术治疗,然而患儿术前死于肿瘤播散,尸检显示肝脏大血管中出现了肿瘤栓子,肺内也有多发转移灶。本例患儿的病理活检示IHHE与血管肉瘤区域相邻且有移行过渡,表明后者可能由前者转化而来,具体机制尚未明确。有研究者提出,若出生1年后发现仍存在持续增长的肝脏肿块,形态学具有IHHE的特征,应怀疑是否为恶性肿瘤[9]。原发于肝的恶性肿瘤占所有儿科恶性肿瘤的1%,发生于儿童的IHHE则更为罕见,其发生机制尚未明确[11]。Falk等[12]报道了4例肝血管肉瘤患儿,其中1例暴露于高砷水平。1例被诊断为多灶性婴儿血管瘤(皮肤、肝、肺)的患儿在服用了抗血管内皮生长因子(贝伐单抗)联合全身化学治疗(吉西他滨和多西紫杉醇)后,仍然恶变为血管肉瘤,该例存在RAS基因(KRASL19)突变,提示该恶变可能与该基因突变后激活MAPK/ERK信号通路从而促进血管生成有关[13]。已有文献报导β-肾上腺素能抑制恶性血管肿瘤的选择性细胞毒性和肿瘤抑制能力,因此被用来治疗IHHE[14]。但Kamath等[10]在用大剂量类固醇联合心得安治疗IHHE患儿后,其仍往血管肉瘤进展。一些患儿直至尸检时才发现是死于IHHE导致的充血性心力衰竭、呼吸衰竭、肿瘤破裂合并出血[8, 15-16]
本例患儿诊断IHHE后,曾接受介入及肝内肿物切除治疗。期间曾服用甲泼尼龙及长春新碱,尚无文献表明此2种药物会促使IHHE转化为血管肉瘤。本例患儿反复多次行肝肿物切除,仍未能控制其症状,遂行肝移植术。但患儿术前已出现肺部结节,因未行病理检测故未能确定性质,但胸腹水的出现提示肿瘤的存在已导致患儿循环系统障碍,病情进展较快。已有文献表明,Ⅱ型IHHE患者经肝移植术治疗后生存状态较好[17,18]。IHHE恶变为血管肉瘤的病例较为罕见,尚无有力的证据表明血管肉瘤可通过肝移植完全治愈,但IHHE在经药物或部分肝切除术治疗后有复发的征象,早期行肝移植术可能会获得更好的预后。
我们通过分析本例罕见病例的资料,重点分析组织病理学特征,向同行强调了IHHE可恶变为血管肉瘤,机制可能与RAS基因的突变有关。从本例患儿的临床病理特点来看,其肝移植术时机选择较晚,已经出现肿瘤的多次复发及肺内结节,不排除转移的可能,肝移植术实施的具体时机须由临床及病理医师共同商榷,是否应放宽移植的手术指征以期获得更好的预后,值得讨论。总之,IHHE多数情况下是良性肿瘤,但对该病患者长期随访是十分必要,若发现肿瘤复发或进展,应提高警惕,谨防恶变。
[1]
Ganguly R, Mukherjee A . Infantile hemangioendothelioma: a case report and discussion. Pathol Res Pract, 2010,206(1):53-58.

[2]
Finegold MJ, Egler RA, Goss JA, Guillerman RP, Karpen SJ, Krishnamurthy R, O’Mahony CA . Liver tumors: pediatric population. Liver Transpl, 2008,14(11):1545-1556.

[3]
Nord KM, Kandel J, Lefkowitch JH, Lobritto SJ, Morel KD, North PE, Garzon MC . Multiple cutaneous infantile hemangiomas associated with hepatic angiosarcoma: case report and review of the literature. Pediatrics, 2006,118(3):e907-e913.

[4]
Dehner LP, Ishak KG . Vascular tumors of the liver in infants and children. A study of 30 cases and review of the literature. Arch Pathol, 1971,92(2):101-111.

[5]
王红, 张欢, 邱婷婷 . 肝婴儿型血管内皮瘤的临床与超声特征分析. 四川大学学报(医学版), 2018,49(1):148-150.

[6]
Zhang Z, Chen HJ, Yang WJ, Bu H, Wei B, Long XY, Fu J, Zhang R, Ni YB, Zhang HY . Infantile hepatic hemangio-endothelioma: a clinicopathologic study in a Chinese population. World J Gastroenterol, 2010,16(36):4549-4557.

[7]
Nazir Z, Pervez S . Malignant vascular tumors of liver in neonates. J Pediatr Surg, 2006,41(1):e49-e51.

[8]
von Schweinitz D . Management of liver tumors in childhood. Semin Pediatr Surg, 2006,15(1):17-24.

[9]
Awan S, Davenport M, Portmann B, Howard ER . Angiosarcoma of the liver in children. J Pediatr Surg, 1996,31(12):1729-1732.

[10]
Kamath SM, Mysorekar VV, Kadamba P . Hepatic angiosarcoma developing in an infantile hemangioendothelioma: a rare case report. J Cancer Res Ther, 2015,11(4):1022.

[11]
Litten JB, Tomlinson GE . Liver tumors in children. Oncologist, 2008,13(7):812-820.

[12]
Falk H, Herbert JT, Edmonds L, Heath CJ, Thomas LB, Popper H . Review of four cases of childhood hepatic angios-arcoma—elevated environmental arsenic exposure in one case. Cancer, 1981,47(2):382-391.

[13]
Jeng MR, Fuh B, Blatt J, Gupta A, Merrow AC, Hammill A, Adams D . Malignant transformation of infantile hemangioma to angiosarcoma: response to chemotherapy with bevacizumab. Pediatr Blood Cancer, 2014,61(11):2115-2117.

[14]
Stiles JM, Amaya C, Rains S, Diaz D, Pham R, Battiste J, Modiano JF, Kokta V, Boucheron LE, Mitchell DC, Bryan BA . Targeting of beta adrenergic receptors results in therapeutic efficacy against models of hemangioendothelioma and angiosarcoma. PLoS One, 2013,8(3):e60021.

[15]
Selby DM, Stocker JT, Waclawiw MA, Hitchcock CL, Ishak KG . Infantile hemangioendothelioma of the liver. Hepatology, 1994,20(1 Pt 1):39-45.

[16]
Dempers J, Wadee SA, Boyd T, Wright C, Odendaal HJ, Sens MA . Hepatic hemangioendothelioma presenting as sudden unexpected death in infancy: a case report. Pediatr Dev Pathol, 2011,14(1):71-74.

[17]
Nord KM, Kandel J, Lefkowitch JH, Lobritto SJ, Morel KD, North PE, Garzon MC . Multiple cutaneous infantile hemangiomas associated with hepatic angiosarcoma: case report and review of the literature. Pediatrics, 2006,118(3):e907-e913.

[18]
Walsh R, Harrington J, Beneck D, Ozkaynak MF . Congenital infantile hepatic hemangioendothelioma type Ⅱ treated with orthotopic liver transplantation. J Pediatr Hematol Oncol, 2004,26(2):121-123.

Outlines

/