Case Research

Detection of a large amount of foamy cells in bronchial alveolar lavage fluid: a report of 4 cases

  • Li Wenjuan ,
  • Huang Xiangqi ,
  • Zhou Yuqi ,
  • Zhang Tiantuo
Expand
  • Department of Respiratory, the Third Affiliated Hospital of Sun Yat-sen University, Guangzhou 510630, China
Zhang Tiantuo, E-mail:

Received date: 2018-12-16

  Online published: 2019-09-10

Copyright

Copyright reserved © 2019

Abstract

Bronchial alveolar lavage fluid (BAL) plays a pivotal role in the diagnosis of lung diseases. Detection of a large amount of characteristic foamy cells in BAL is rarely encountered. In this article, a large quantity of foamy cells was detected in the BAL of 4 cases. They were diagnosed with pulmonary adenocarcinoma combined with Trichinella infection, pulmonary adenocarcinoma, pulmonary cryptococcal infection, SLE with antiphospholipid antibody syndrome and pulmonary embolism. The diagnosis and treatment of these patients prompted that the range of clinical diagnosis could be rapidly narrowed if a massive amount of foamy cells was detected in the BAL. Moreover, the diagnosis can be confirmed by complete rheumatism immunity-related examination, enhanced CT scan of the lung, Cryptococcus antigen or parasite-related examination, tumor screening, inquiry of medical history of drug use and environmental exposure, etc.

Cite this article

Li Wenjuan , Huang Xiangqi , Zhou Yuqi , Zhang Tiantuo . Detection of a large amount of foamy cells in bronchial alveolar lavage fluid: a report of 4 cases[J]. JOURNAL OF NEW MEDICINE, 2019 , 50(9) : 718 -721 . DOI: 10.3969/j.issn.0253-9802.2019.09.016

肺泡灌洗液(BAL)在肺部相关疾病的诊断中有着重要的临床意义,在特殊情况下可减少进一步的有创性检查,如肺穿刺病理活组织检查(活检)及开胸手术等。泡沫样细胞是BAL细胞分析中一种罕见类型,该细胞类型在某些疾病中具有协助诊断的价值[1,2,3]。本文收集近5年在我院就诊且BAL中检出大量泡沫样细胞的11例病因确定的4例患者临床资料,总结报道如下。

病例资料

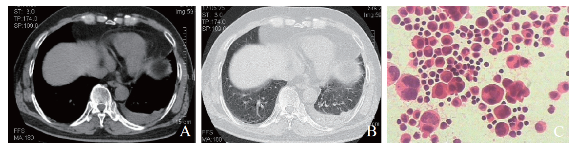
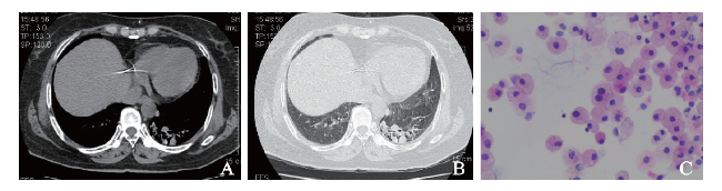
例1 患者女,66岁。因反复咳嗽3月余、加重伴少量咳白痰1个月于2014年4月20日收入我科。患者3个月前受凉后反复咳嗽,未予重视,近1个月来加重并伴咳白痰,无发热,有乏力,睡眠差,起病以来体质量下降约5 kg。既往史及个人史无特殊。入院体格检查:体温36.8 ℃,脉搏90次/分,呼吸20次/分,血压120/70 mm Hg(1 mm Hg=0.133 kPa)。生命体征平稳,双肺呼吸音清,可闻及Velcro啰音。入院后完善检查,血常规:血红蛋白132 g/L,白细胞5.51×109/L,嗜酸性粒细胞0.13×109/L,血小板251×109/L。肿瘤标志物癌胚抗原6.9 μg/L,细胞角蛋白19片段测定、神经元特异性烯醇化酶测定、甲胎蛋白等均未见明显异常,免疫标志物均未见异常。予头孢哌酮钠-舒巴坦钠3.0 g、每日2次,莫西沙星0.4 g/d,哌拉西林钠-他唑巴坦钠4.5 g、每日2次静脉滴注,患者症状无好转。4月24日完善纤维支气管镜(纤支镜)检查,送BAL病理检查见活动性鞭虫,住院期间经甲硝唑0.5 g每日2次联合复方磺胺甲恶唑0.8 g每日3次抗鞭虫治疗后症状好转。4月29日CT示双肺可见弥漫斑片状密度增高影,边缘模糊、密度不均,部分融合成片,大部分为磨玻璃样密度,呈地图状改变,内见空气支气管征(图1A、B)。因双肺弥漫渗出性病变,考虑为肺泡蛋白沉积症可能性大。5月5日BAL苏木素-伊红(HE)染色示大量泡沫样细胞(图1C)、组织细胞,少量纤毛柱状上皮细胞、淋巴细胞、中性粒细胞及少量散在退变核异质细胞,个别异常核分裂;过碘酸雪夫(PAS)染色(-)。病理活组织检查(活检)(左舌叶和下叶肺组织)送检组织3微粒:镜下为少许肺组织,部分区域肺泡上皮增生,腺体排列较密集,细胞核浆比例失调,核增大,可见核仁,呈轻 ~ 中度非典型,核分裂未见;免疫组织化学染色(免疫组化)示癌胚抗原(±),Ki-67 < 5%,CK7(+);PAS示肺泡上皮内、间局灶红染物沉积,六胺银(-),抗酸(-)。考虑为肺泡上皮增生丰富活跃,不排除贴壁生长低级别肺腺癌。患者经吸氧、抗感染、平喘、祛痰等治疗症状有所好转后即自动出院,家属未同意进一步肿瘤相关治疗,未再复诊。
图1 例1肺腺癌合并鞭虫感染患者的胸部CT及BAL涂片结果

A:胸部CT纵隔窗;B:胸部CT肺窗;C:BAL涂片(HE染色,×400)

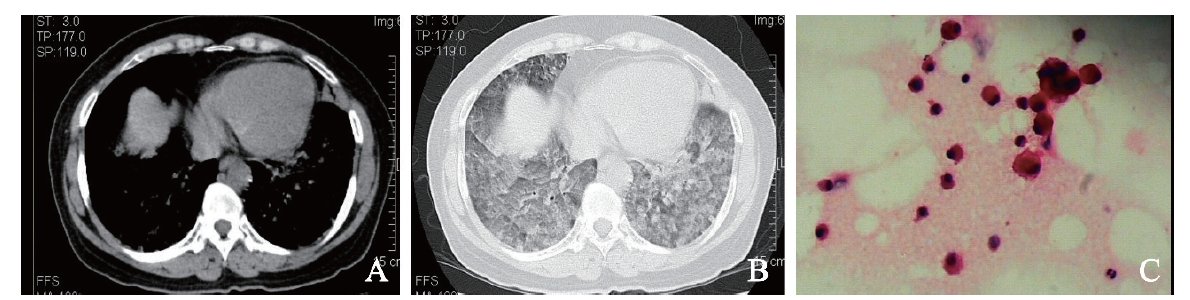
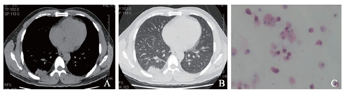
例2 患者男,68岁。因左肺腺癌1年返院复查于2017年7月18日收入我科。1年前患者因后背痛10月余,加重伴胸痛20 d在我科经胸部CT、肿瘤标志物、胸腔积液病理及免疫组化等检查确诊为左肺腺癌,于2016年8至12月行多西他赛120 mg、洛铂50 mg方案化学治疗6个疗程,过程顺利。既往吸烟30年,每日1包,戒烟2年,余无特殊。入院体格检查:体温36.7 ℃,脉搏100次/分,呼吸20次/分,血压144/93 mm Hg。双肺呼吸粗,未闻及干、湿性啰音。血常规示血红蛋白119 g/L,白细胞7.98×109/L,血小板 155×109/L。癌胚抗原21.0 μg/L,神经元特异性烯醇化酶、细胞角蛋白19片段、鳞状细胞癌相关抗原测定等正常。复查胸部螺旋CT平扫+增强扫描示左侧肺癌较前增大,左肺、左侧胸膜多发转移瘤较前稍增大(图2A、B)。遂完善BAL检查。7月25日BAL的HE涂片及液基细胞学检查示较多泡沫样细胞及少量上皮细胞,未见确切癌细胞(图2C)。予培美曲塞800 mg、顺铂120 mg化学治疗,过程顺利,予出院。随访至2018年8月5日,患者再次化学治疗,过程顺利。
图2 例2肺腺癌患者的胸部CT及BAL涂片结果

A:胸部CT纵隔窗;B:胸部CT肺窗;C:BAL涂片(HE染色,×400)

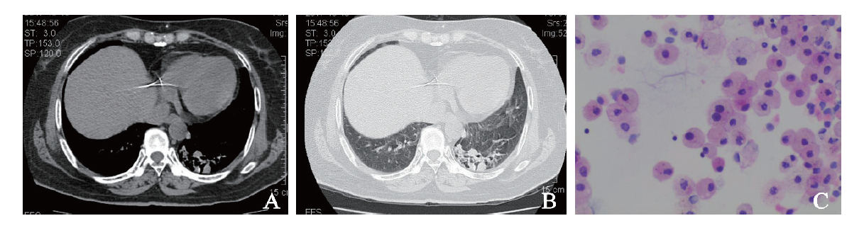
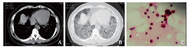
例3 患者女,59岁。因头晕6个月,头痛10余日于2017年5月13日在我院神经内科就诊。6个月余前患者无明显诱因出现发作性眩晕,体位变化时明显,10余日前出现头痛、头晕伴恶心、呕吐胃内容物多次,偶有喷射样呕吐,头痛较剧烈,以前额为主,休息后可缓解,头痛时伴视物模糊、眼前发黑感,9 d前曾出现头痛时意识障碍、大小便失禁并出现发热,体温最高38℃,当地医院查头颅MRI/磁共振血管成像(MRA)未见明显异常,胸部X线片示左肺下叶感染,予抗感染、止痛、退热等治疗后未再发热,仍反复头痛、头晕,伴恶心、呕吐,体质量近1月下降约3 kg。既往有乙型肝炎史,个人史无特殊。入院体格检查:体温:36.8℃,脉搏82次/分,呼吸18次/分,血压142/78 mm Hg。神清,对答切题,双侧瞳孔等大、等圆,直径约3 mm,远视力变差,对光反射灵敏,可见水平眼震,伸舌居中,鼻唇沟无变浅,躯干四肢深浅感觉无明显异常,四肢肌力、肌张力正常,颈项强直,克尼格征(+),双侧巴宾斯基征可疑阳性。入院后完善检查,血常规示:血红蛋白127 g/L,白细胞9.18×109/L,血小板30×109/L;脑脊液涂片示隐球菌1 982 /ml;脑脊液生化常规示糖 2.59 mmol/L,氯115.4 mmol/L,脑脊液蛋白0.62 g/L,白细胞计数14×106/L,无色、透明、清亮、无薄膜形成,球蛋白定性(+),红细胞24×106/L。10月18日胸部CT示:①左肺下叶基底段病变,考虑真菌感染;②双肺少许炎症,左肺下叶基底段见多发斑片状、结节状实变影,边界不清,内部密度不均,内可见结节状高密度阴影,病灶较前稍减少(图3A、B),余双肺见少许斑片状稍高密度影。肺部病灶抗感染治疗后于11月10日复查CT,结果示较前进展,遂完善纤支镜检查,12月14日BAL涂片及液基细胞学示较多泡沫样细胞及少量上皮细胞、淋巴细胞,未见确切癌细胞(图3C)。特殊染色结果:PAS(-),抗酸染色(-),六氨银(-)。长期使用伏立康唑联合氟胞嘧啶抗感染治疗后复查CT好转。
图3 例3肺隐球菌感染患者的胸部CT及BAL涂片结果

A:胸部CT纵隔窗;B:胸部CT肺窗;C:BAL涂片(HE染色,×400)

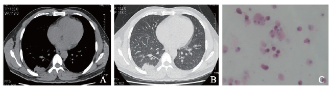
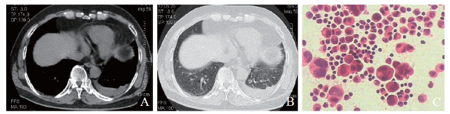
例4 患者男,39岁。因右侧胸背痛9 d于2018年7月9日收入我科。9 d前患者无明显诱因出现右侧持续性胸背痛,无胸闷、发热、心悸。当地医院予头孢呋辛联合左氧氟沙星抗感染及止痛治疗,7月7日当地医院胸部CT示右肺中下叶炎症,右侧胸膜增厚伴少量胸腔积液。起病以来,患者无皮疹、盗汗等,近1周体质量下降4 kg。既往史及个人史无特殊。入院体格检查:体温 37.1 ℃,脉搏 96次/分,呼吸 20次/分,血压125/85 mm Hg。双肺呼吸音粗,右下肺可闻及少许细湿啰音。入院后查血常规示:血红蛋白137 g/L,白细胞6.62×109/L, 血小板291×109/L,凝血酶原时间、活化部分凝血活酶时间、凝血酶时间、纤维蛋白原均正常,D二聚体正常。自身免疫相关指标:抗心磷脂抗体IgG(+),核周型-抗中性粒细胞胞浆抗体(+),抗核抗体颗粒型(+),抗双链DNA抗体(+)。入院后予哌拉西林钠-他唑巴坦钠4.5 g、每8 h 1次静脉滴注,未见明显好转。7月18日胸部CT示:①右下肺动脉及其分支栓塞;②右肺下叶炎性病变,部分较前吸收,部分范围较前增大(图4),建议继续治疗后复查;③右侧胸腔少量积液,较前吸收。右肺下叶见多发不规则片状影,边界欠清,增强扫描强化不明显(图4A、B)。7月12日BAL液基细胞学及涂片可见较多泡沫样组织细胞(图4C)。考虑SLE合并抗磷脂抗体综合征及肺栓塞,予甲泼尼龙40 mg、每日1次,羟氯喹0.2 g、每日2次,甲氨蝶呤10 mg、每周1次及利伐沙班10 mg、每日2次抗凝治疗,患者症状好转出院。至撰稿日长期门诊随访,治疗效果良好,未再出现胸痛等不适症状。
图4 例4 SLE合并抗磷脂抗体综合征及肺栓塞患者的胸部CT及BAL涂片结果

A:胸部CT纵隔窗;B:胸部CT肺窗;C:BAL涂片(HE染色,×400)

讨 论

BAL检出大量泡沫样细胞者在临床罕见,笔者所在医院近5年来共检出11例,其中病因明确诊断者仅为本文列出的4例。国内对BAL检出泡沫样细胞的关注很少,仅有1例鞭虫感染合并胺碘酮肺炎的报道[1]。有研究分析31例肺泡蛋白沉积症的患者BAL,结果显示其可检出泡沫样巨噬细胞但巨噬细胞数目较正常人减少[2]。国外对泡沫样细胞相关疾病报道也极为罕见。目前所见与泡沫样细胞相关的临床疾病类型包括尼曼-匹克病、闭塞性支气管肺炎、肺泡蛋白沉积症、隐源性机化性肺炎、过敏性肺炎、肺孢子虫病、肺栓塞、药物相关性肺损伤、胃酸反流性肺炎、肺栓塞、ARDS、肺挫伤及少量其他不确定类型间质性肺病[1,2,3]。本文所列出的检出多量泡沫样细胞的疾病类型分别为肺腺癌合并鞭虫感染、肺腺癌、SLE合并肺栓塞、肺隐球菌感染,4例患者均未曾使用可疑肺损伤药物。
BAL中的泡沫样细胞为巨噬细胞的一种类型(另外一种为颗粒型巨噬细胞),其胞体大小不一,大小25 ~ 50 μm,多呈圆形、卵圆形或不规则形,核圆、卵圆或豆形,常偏位,核膜明显,染色质细粒状,个别浓缩不均,可见1 ~ 2个小核仁,也有双核或多核,边缘有时刺状突起。胞浆量丰富,泡沫状,淡红色,可见空泡及吞噬物[1]。其形成机制尚不完全明确。肺泡灌洗作为比肺穿刺损伤更小的协助诊断方法,其检出特征性罕见细胞类型,不仅有助早期诊断,更有助于减少下一步有创性检查。一项针对肺癌和骨髓移植患者的系统性评价研究显示:与肺活检相比,BAL的感染性诊断更常见、并发症更少、手术相关病死率更低[4]。如BAL检出大量泡沫样细胞,临床可迅速缩小诊断思考范围,可通过完善风湿免疫相关检查、肺部CT增强扫描、隐球菌抗原或寄生虫相关检查、肿瘤相关筛查、询问既往可疑药物及生活环境暴露史等进一步明确诊断。
综上所述,肺腺癌、肺腺癌合并鞭虫、肺隐球菌感染、SLE合并肺栓塞等患者的BAL中可检出泡沫样细胞。目前诊断BAL细胞相关特异性检查主要集中于肿瘤细胞、哮喘等疾病,尚未见针对泡沫样细胞相关抗原检测[5]。由于回顾性研究的局限性,我们未对BAL的多量泡沫样细胞内含物质进行检测,尚不能确定每种疾病的泡沫样细胞的成分差异及特征,这有待日后进一步研究探讨。
[1]
陆志成, 周道银, 陈国英, 马晨芸 . 肺泡灌洗液同时查见超鞭毛虫及泡沫样巨噬细胞形态学分析. 实验与检验医学, 2008,26(6):664-666.

[2]
刘超群, 周道银, 徐健, 陈燕 . 31例肺泡蛋白沉积症的支气管肺泡灌洗液常规细胞学检查分析. 中国卫生检验杂志, 2018,28(12):1467-1468.

[3]
Jacobs JA, De Brauwer EI, Ramsay G, Cobben NA , Wagenaar SS, van der Ven AJ, Bruggeman CA, Drent M. Detection of non-infectious conditions mimicking pneumonia in the intensive care setting: usefulness of bronchoalveolar fluid cytology. Respir Med, 1999,93(8):571-578.

[4]
Chellapandian D, Lehrnbecher T, Phillips B, Fisher BT, Zaoutis TE, Steinbach WJ, Beyene J, Sung L . Bronchoalveolar lavage and lung biopsy in patients with cancer and hematopoietic stem-celltransplantation recipients: a systematic review and meta-analysis. J Clin Oncol, 2015,33(5):501-509.

[5]
Johansson MW, Kelly EA, Nguyen CL, Jarjour NN, Bochner BS . Characterization of siglec-8 expression on lavage cells after segmental lung allergen challenge. Int Arch Allergy Immunol, 2018,177(1):16-28.

Outlines

/