Original Research

Effect of PCDH7 on LPS-induced renal tubular epithelial cell pyroptosis

  • Wang Yanling ,
  • Tan Fang ,
  • You Yiying ,
  • Yu Xiaofang ,
  • Huang Fei
Expand
  • Department of Anesthesiology, the Third Affiliated Hospital of Sun Yat-sen University, Guangzhou 510630, China
Huang Fei,

Received date: 2021-12-25

  Online published: 2022-05-16

Abstract

Objective To investigate whether protocadherin 7 (PCDH7) participates in the progress of renal tubular epithelial cell pyroptosis induced by lipopolysaccharide (LPS). Methods HK-2 cell was stimulated by 2 μg/mL LPS to construct renal tubular epithelial cell injury model. The changes in the expression levels of PCDH7, NLRP3, caspase-1, and IL-1β in cells were detected by RT-PCR and western blot. MTT assay was used to detect cell viability. TUNEL assay was employed to determine pyroptosis rate. ELISA was adopted to detect the secretion of TNF-α and IL-6 in cells. The content of lactate dehydrogenase (LDH) in culture medium was detected by automatic biochemical analyzer. Results Compared with the control group, cell viability was decreased, while pyroptosis rate was increased. The expression levels of TNF-α and IL-6 were up-regulated. The expression level of LDH, a biomarker of cell damage, was significantly elevated. The expression levels of PCDH7 and mRNA were significantly down-regulated. The expression levels of NLRP3, caspase-1, IL-1β and mRNA were significantly up-regulated in the LPS group (all P < 0.05). Conclusion LPS can induce renal tubular epithelial cell pyroptosis by down-regulating the expression of PCDH7.

Cite this article

Wang Yanling , Tan Fang , You Yiying , Yu Xiaofang , Huang Fei . Effect of PCDH7 on LPS-induced renal tubular epithelial cell pyroptosis[J]. JOURNAL OF NEW MEDICINE, 2022 , 53(4) : 238 -242 . DOI: 10.3969/j.issn.0253-9802.2022.04.003

脓毒性急性肾损伤(SAKI)是一种重症患者术后常见且严重影响预后的并发症,发生率高达50%,是导致患者发展为慢性肾病甚至死亡的关键原因[1]。前期研究已报道SAKI主要发生在肾小管上皮细胞,且细胞焦亡是SAKI发生发展过程中的重要事件,通过抑制炎症反应和细胞死亡可明显减轻SAKI,然而其机制尚未完全阐明[2-4]
研究表明,细菌等伤害性信号刺激使caspase-1活化,活化的caspase-1一方面切割Gasdermin D诱导细胞膜穿孔和破裂引起细胞死亡。另一方面促进IL-1β和IL-18活化和释放,引起强烈的炎症反应,导致细胞焦亡,而过度的细胞焦亡会因细胞死亡和级联炎症反应而导致器官损伤和疾病的发生[5-6]。原钙黏附蛋白7(PCDH7)是钙黏蛋白超家族的一组跨膜糖蛋白,广泛参与细胞识别、通信、运动等细胞活动,介导生长分化、炎症、免疫应答及肿瘤转移等复杂生物学过程[7-8]。有研究显示PCDH可通过干预炎症因子、趋化因子等的募集和浸润,控制级联炎症反应,参与疾病的防治[9-11]。本研究拟评价脂多糖(LPS)刺激引起肾小管上皮细胞PCDH7表达和细胞焦亡过程的变化。

材料与方法

一、材料

肾小管上皮细胞株(HK-2)购自美国ATCC公司,SYBR Green RT-PCR试剂盒购自日本TOYOBO,BCA蛋白浓度测定试剂盒购自美国Thermo Scientific 公司, PCDH7、NLR家族Pyrin域蛋白3(NLRP3)、caspase-1和IL-1β抗体购自美国Santa Cruz公司,MTT试剂盒、乳酸脱氢酶(LDH)试剂盒、TNF-α和IL-1β含量测定试剂盒均购自广州杰特伟生物科技有限公司,原位末端转移酶标记技术(TUNEL)试剂盒购自美国 Roche公司。

二、方法

1. 细胞培养

配制含10%胎牛血清的DMEM/F12完全培养基,将HK-2复苏后转移至培养皿中,加入7 mL培养基,并置于37℃、5%CO2培养箱中贴壁培养。待细胞生长达到80%融合时,用0.05%胰蛋白酶消化并传代,每4~5 d传代1次,选取处于对数生长期并且状态良好的细胞进行后续实验。

2. 实验分组与处理

HK-2以1.5×104个/mL 的密度接种于96孔培养板,研究分为Control组和LPS组。Control组置于常氧恒温培养箱(37℃,5%CO2-21%O2-74%N2)中培养24 h;LPS组加入含2 μg/mL LPS(Sigma公司, 美国)的培养基,置于常氧恒温培养箱中孵育24 h;每组设置复孔5个。

3. 检测方法

MTT法检测细胞活力,流式细胞仪测定细胞焦亡率,ELISA法检测细胞分泌TNF-α和IL-6的水平,全自动生化分析仪检测LDH含量,分别参照产品说明书完成检测。

4. 蛋白免疫印迹法检测蛋白表达

根据总蛋白提取裂解液说明书按步骤操作,取适量蛋白样本进行电泳,分离后转膜、封闭。洗膜后加入一抗4℃孵育过夜,再加入二抗(1:5000) 室温下孵育1 h。洗膜3次后显色曝光。采用Tanon-4500凝胶图像处理系统进行结果分析。

5. RT-PCR法检测mRNA表达

按照RNA快速提取试剂盒说明书提取各组细胞中的RNA,测定RNA纯度与浓度,逆转录后测定目的基因,选择β-actin作为内参基因。

三、统计学处理

采用SPSS 22.0软件和GraphPad Prism 8.0软件进行统计学分析及作图,使用Kolmogorov-Smirnov检验数据的正态性,Levene检验用于检验方差齐性。正态分布的计量资料以 表示,2组间比较采用独立样本t检验。P < 0.05为差异有统计学意义。

结果

一、LPS刺激对肾小管上皮细胞生存率和焦亡率的影响

与Control组比较,LPS组明显降低肾小管上皮细胞的生存率(P < 0.001),增加肾小管上皮细胞的焦亡率(P < 0.05),见表1
表1 LPS组与Control组肾小管上皮细胞生存率、焦亡率比较($\bar{x} \pm s$,n= 5) 单位:%
组 别 细胞生存率 细胞焦亡率
Control组 100 10.3±1.2
LPS组 50.2±1.6a 32.4±1.5b
t值 62.020 -19.016
P值 <0.001 0.013

注:与Control组比较,aP < 0.001,bP < 0.05。

二、LPS刺激对肾小管上皮细胞炎症因子和LDH水平的影响

与Control组比较,LPS组炎症因子TNF-α和IL-6水平明显升高(tTNF-α = -24.381,P < 0.001;tIL-6 = -15.205,P < 0.001),细胞损伤指标LDH水平也明显升高(tLDH = -8.771,P < 0.001),见图1
图1 2组细胞炎症因子和LDH水平变化

注:A为TNF-α水平比较;B为IL-6水平比较;C为LDH水平比较;与Control组比较,***P < 0.001。

三、LPS刺激对肾小管上皮细胞PCDH7表达的影响

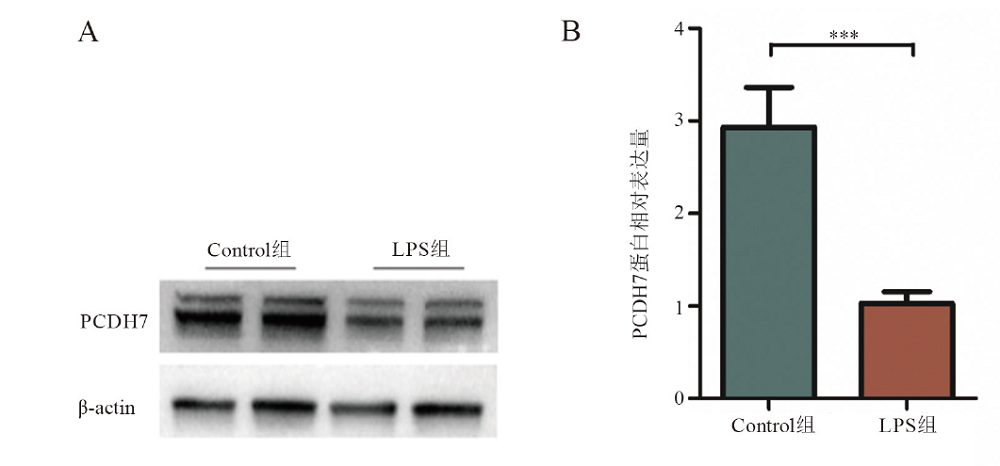
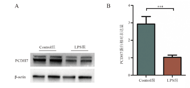
与Control组比较,LPS组PCDH7表达明显下调,见图2
图2 2组肾小管上皮细胞PCDH7蛋白表达的比较

注:A为2组肾小管上皮细胞PCDH7蛋白免疫印迹条带;B为2组肾小管上皮细胞焦亡相关蛋白免疫印迹条带;与Control组比较,t = 9.630,***P < 0.001。

四、LPS刺激对肾小管上皮细胞PCDH7蛋白表达的影响

蛋白免疫印迹法灰度分析结果显示,LPS组细胞焦亡相关蛋白NLRP3、caspase-1及IL-1β表达均高于Control组(tNLRP3 = -7.359,P = 0.009;tcaspase-1 = -22.390,P = 0.001;tIL-1β = -8.717,P = 0.006),见图3
图3 2组细胞细胞焦亡蛋白表达的比较

注:A为2组细胞焦亡相关蛋白免疫印迹条带;B为2组细胞NLRP3蛋白相对表达量;C为2组细胞caspase-1蛋白相对表达量;D为2组细胞IL-1β蛋白相对表达量;与Control组比较,**P < 0.01。

五、LPS刺激对肾小管上皮细胞PCDH7、NLRP3、caspase-1和IL-1β mRNA表达的影响

与Control组比较,LPS组PCDH7 mRNA的表达下调,NLRP3、caspase-1和IL-1β mRNA的表达上调,见表2
表2 2组肾小管上皮细胞PCDH7、NLRP3、caspase-1、及IL-1β mRNA表达的比较($\bar{x} \pm s$,n= 5)
组 别 PCDH7 mRNA NLRP3 mRNA caspase-1 mRNA IL-1βmRNA
Control组 0.912±0.031 0.464±0.032 0.898±0.057 0.784±0.047
LPS组 0.387±0.022a 1.771±0.138a 2.249±0.297a 1.983±0.146a
t值 28.118 -28.900 -17.875 -8.972
P值 <0.001 <0.001 <0.001 <0.001

注:与Control组比较,aP < 0.001。

讨论

重症患者常由于感染或肠黏膜屏障破坏、肠道菌群改变和微生物易位,引起全身性炎症反应,改变宿主的免疫和代谢稳态,引起脓毒血症,并驱动术后急性肾损伤(AKI)的发生,而AKI期间炎症介质和代谢产物的清除减少,进一步导致肠道损伤和黏膜屏障破坏,加重SAKI,导致恶性循环从而造成严重后果[12]。脓毒血症患者围术期病理生理变化非常复杂,术后AKI的高发生率是影响患者预后和导致患者死亡的重要原因之一[13]
SAKI同心源性、缺血再灌注等原因引起AKI明显不同的病理学表现,主要表现为肾小管上皮细胞凋亡和炎性细胞浸润,而在其他原因AKI中常见的细胞坏死几乎不存在[14]。有证据表明,SAKI的起源是多方面的,存在几种并发机制,其中特有的募集和诱导炎症因子、趋化因子、其他黏附分子等的浸润,级联放大炎症反应在诱导最早期的细胞损伤尤为重要[1, 15]。组织修复与细胞死亡相关基因PCDH7具有促进细胞运动优于维持细胞黏附稳定性的特点,介导动态细胞过程[16]。多项研究显示PCDH可通过调控炎症因子和趋化因子等的募集和浸润,参与多种疾病的防治[9-11]。本研究基于上述研究背景,发现LPS刺激肾小管上皮细胞引起细胞焦亡,伴随PCDH7的表达抑制,提示PCDH7的表达减少可能参与LPS引起的肾小管上皮细胞焦亡过程。
本研究使用LPS刺激肾小管上皮细胞建立肾小管上皮细胞损伤模型,基于前期研究和预实验结果,选取浓度为2μg/mL的LPS刺激肾小管上皮细胞,结果表明LPS引起以细胞焦亡损伤形式为主的肾小管上皮细胞损伤过程,表现为肾小管上皮细胞生存率下降,细胞焦亡率升高,炎症因子IL-6和TNF-α、细胞损伤指标LDH水平明显升高,细胞焦亡指标NLRP3、caspase-1、IL-1β蛋白及mRNA水平升高,此研究结果与同行相关研究结果一致[4, 17]。在此基础上,为了确定 PCDH7是否参与LPS诱导的肾小管上皮细胞焦亡过程,本研究进一步观察组织修复和细胞死亡相关基因PCDH7的表达情况,结果发现,LPS刺激肾小管上皮细胞损伤过程伴随PCDH7蛋白和mRNA的表达明显下调,提示PCDH7的表达减少参与LPS引起肾小管上皮细胞焦亡过程。研究报道了内皮细胞中的“组织修复相关基因”PCDH可通过细胞骨架动力学调控,在多种损伤修复过程中发挥调节炎性细胞极性迁移的作用[9]。研究已证实PCDH1是气道功能的重要物理屏障,吸烟明显降低肺组织PCDH1的表达,诱导中性粒细胞增多和气道高反应性[10]。PCDH17前体在溃疡性结肠炎的受损黏膜中高表达,参与创伤早期朝向创伤位点的细胞极化迁移[11]。因此,我们认为 LPS可能通过调控肾小管上皮细胞PCDH7的表达,介导细胞焦亡损伤过程。
DNA甲基化是一种介导多种疾病发生过程的表观遗传修饰[18]。研究揭示了PCDHB基因甲基化在脓毒性炎症反应过程中调节白细胞的黏附和迁移功能,影响脓毒症的严重程度并导致不良预后[19]。受损肾脏组织即使在起始的AKI完全恢复以后,部分AKI仍会向慢性肾脏病转变,这种被称为“损伤记忆”的现象就是由表观遗传学的改变介导,肯定了以表观遗传学手段为靶向防治肾损伤的可行性[20]。未来我们将进一步从PCDH7甲基化的角度深入探究其参与LPS引起肾小管上皮细胞焦亡的分子机制,进而从表观遗传学角度为重症患者术后SAKI的精准防治提供新思路。
综上所述,LPS刺激肾小管上皮细胞损伤的细胞焦亡过程与其对PCDH7表达的调控有关。
[1]
Poston J T, Koyner J L. Sepsis associated acute kidney injury. BMJ, 2019, 364: k4891.

[2]
廖豪峰, 庞梦雅, 张政, 等. PUMA对高脂饮食小鼠LPS诱导的急性肾损伤和凋亡的影响. 新医学, 2021, 52(1): 19-25.

[3]
Wang Y, Zhu Q, Luo C, et al. Dual effects of Bilirubin on the proliferation of rat renal NRK52E cells and ITS association with gap junctions. Dose Response, 2012, 11(2): 220-237.

[4]
Zhang Y, Zhang Y, Yang A, et al. Downregulation of IRF2 alleviates sepsis-related acute kidney injury in vitro and in vivo. Drug Des Devel Ther, 2021, 15: 5123-5132.

DOI

[5]
Gao Y L, Zhai J H, Chai Y F. Recent advances in the molecular mechanisms underlying pyroptosis in sepsis. Mediators Inflamm, 2018, 2018: 5823823.

[6]
王紫涵, 何洋, 王梦婷, 等. 肾小管上皮细胞-间充质转化在糖尿病肾病中作用的研究进展. 新医学, 2021, 52(12): 897-902.

[7]
Brasch J, Goodman K M, Noble A J, et al. Visualization of clustered protocadherin neuronal self-recognition complexes. Nature, 2019, 569(7755): 280-283.

DOI

[8]
Sethi S, Madden B, Debiec H, et al. Protocadherin 7-associated membranous nephropathy. J Am Soc Nephrol, 2021, 32(5): 1249-1261.

DOI

[9]
Moeller M J, Soofi A, Braun G S, et al. Protocadherin FAT1 binds Ena/VASP proteins and is necessary for actin dynamics and cell polarization. EMBO J, 2004, 23(19): 3769-3779.

DOI PMID

[10]
Heijink I H, Brandenburg S M, Postma D S, et al. Cigarette smoke impairs airway epithelial barrier function and cell-cell contact recovery. Eur Respir J, 2012, 39(2): 419-428.

DOI PMID

[11]
Hayashi S, Takeichi M. Emerging roles of protocadherins: from self-avoidance to enhancement of motility. J Cell Sci, 2015, 128(8): 1-10.

DOI

[12]
Zhang J, Ankawi G, Sun J, et al. Gut-kidney crosstalk in septic acute kidney injury. Crit Care, 2018, 22(1):117.

DOI

[13]
Schuster K M, Hazelton J P, Rattigan D, et al. Association of acute care surgeon experience with emergency surgery patient outcomes and mortality. JAMA Surg, 2021, 156(5): 472-478.

DOI PMID

[14]
Ronco C, Bellomo R, Kellum J A. Acute kidney injury. Lancet, 2019, 394(10212): 1949-1964.

DOI

[15]
Morrell E D, Kellum J A, Pastor-Soler N M, et al. Septic acute kidney injury: molecular mechanisms and the importance of stratification and targeting therapy. Crit Care, 2014, 18 (5): 501.

DOI

[16]
Harrison O J, Brasch J, Katsamba P S, et al. Family-wide structural and biophysical analysis of binding interactions among non-clustered δ-protocadherins. Cell Rep, 2020, 30(8): 2655-2671.

DOI PMID

[17]
Huang J, Xu C. LncRNA MALAT1-deficiency restrains lipopolysaccharide (LPS)-induced pyroptotic cell death and inflammation in HK-2 cells by releasing microRNA-135b-5p. Ren Fail, 2021, 43(1): 1288-1297.

DOI PMID

[18]
王锋, 丁艳, 张焕基. 循环游离DNA甲基化模式分析在心肌梗死中的研究进展. 新医学, 2021, 52(4): 229-233.

[19]
Dhas D B, Ashmi A H, Bhat B V, et al. Comparison of genomic DNA methylation pattern among septic and non-septic newborns-An epigenome wide association study. Genom Data, 2014, 3:36-40.

[20]
Allison S J. Genetic engineering: trans-epigenetic modulation of target genes in acute kidney injury. Nat Rev Nephrol, 2018, 14(2):72.

DOI PMID

Outlines

/