Original Research

Establishment of an animal model of intrauterine adhesions

  • Shi Wen ,
  • Zhou Shu ,
Expand
  • Department of Gynecology, the Sixth Affiliated Hospital, Sun Yat-sen University, Guangzhou 510655, China
Zhou Shu, E-mail:

Received date: 2022-04-25

  Online published: 2022-09-29

Abstract

Objective To establish a stable animal model for the study of pathological regeneration of intrauterine adhesions (IUAs). Methods Thirty female SD rats were randomly divided into the experimental (n=15) and control groups (n=15). In the experimental group, a self-made 2-mm diameter curette was utilized to create mild and severe mechanical injury to the left and right endometrium of estrous rats and then divided into the mild and severe mechanical injury groups, respectively. In the control group, the rats were not treated with endometrial injury after open surgery, which were used as sham surgery controls. At 0 h, 24 h, 72 h, 5 d, and 7 d after surgery, bilateral uteruses were removed from 3 rats in each group and prepared for quick frozen sections for MHCⅡ and BrdU immunohistochemical staining. The endometrial glands of different rats were observed at postoperative 7 d, and the inflammatory reaction of endometrial tissues and the changes of endometrial tissue proliferation and repair were also observed in rats with different degrees of mechanical injury at different time points after surgery. Results In the mild mechanical injury group, a small amount of red-stained BrdU-containing cells and blue-stained MHCⅡ cells were seen at 7 d after surgery, and the endometrium was basically repaired, while mild inflammatory reaction occurred. In the severe mechanical injury group, no endometrial glands or very few glands were detected, no obvious red-stained BrdU-containing cells were seen, a small quantity of blue-stained MHCⅡ cells, mild inflammatory reaction, endometrial fibrosis, local lumen closure and adhesion were observed at postoperative 7 d. Compared with the control group, the number of endometrial glands in the rat uterine cavity was decreased along with the increase in the degree of mechanical endometrial injury at 7 d after surgery, and the difference was statistically significant (P < 0.001). Conclusions The rat model of IUAs can be successfully established by incision and suture of endometrial mechanical injury method. After mild mechanical injury, the endometrium of rats can regenerate and achieve basic repair. Nevertheless, the endometrial tissues cannot achieve basic repair after severe mechanical injury. In addition, tissue fibrosis occurs, leading to IUAs.

Cite this article

Shi Wen , Zhou Shu . Establishment of an animal model of intrauterine adhesions[J]. JOURNAL OF NEW MEDICINE, 2022 , 53(9) : 649 -654 . DOI: 10.3969/j.issn.0253-9802.2022.09.006

宫腔粘连(IUA)是由于各种宫腔内操作导致子宫内膜基底层损伤、宫内感染以及机体内源性雌激素水平低下等引起子宫颈和(或)子宫腔内膜纤维化, 宫腔容受性减小, 出现部分或完全闭塞粘连[1]。IUA临床表现为月经量减少、闭经、周期性下腹痛、复发性流产及不孕等, 是危害女性生殖及生理健康的一大疾病。IUA具体的病因机制尚不清楚。大鼠具有与人类相似的月经周期及子宫生理解剖结构, 且大鼠的双子宫结构提供了天然的实验对照, 是建立IUA模型进行相关病因机制研究的良好实验平台。本研究通过模拟人类子宫内膜机械损伤后IUA状态, 选取性成熟、未交配雌性SD大鼠制作子宫内膜不同程度机械损伤动物模型, 在损伤后的不同时间段进行取材切片后进行免疫组织化学(免疫组化)染色, 观察大鼠宫腔不同时期不同机械损伤程度下的内膜情况, 进一步探讨引起IUA与子宫内膜病理性再生的相关病因机制并提供稳定、合适的动物实验模型。

材料与方法

一、材料

1. 实验动物

健康、性成熟、未交配雌性SD大鼠30只, 鼠龄9~11周, 体质量200~250 g, 购于大连医科大学无特定病原体动物实验中心。所有大鼠遵循周期一致性原则, 温度20~26 ℃, 湿度50%~60%, 光照昼夜比例统一, 自由采食、饮水。实验动物的使用和处理过程均符合动物实验相关伦理规范。

2. 药物与主要试剂

包括:生理盐水, 一抗为小鼠抗大鼠主要组织相容性复合体Ⅱ类分子(MHCⅡ)抗体(稀释比1∶100)购自英国Abcam公司, 大鼠抗 5-溴脱氧尿苷(BrdU, 稀释比1∶10)购自美国Bio-Rad公司;二抗山羊抗小鼠 Ig 碱性磷酸酶(ALP, 稀释比1∶100)购自英国Abcam公司, 山羊抗大鼠 Ig ALP(稀释比1∶100)购自英国Jackson公司;免疫组化染色试剂蓝色碱性磷酸盐底物购自美国Vector公司, 新品红基质试剂盒购自日本N-Histofine公司;水合氯醛粉剂购自天津市大茂化学试剂厂。

二、方法

1. 实验动物的分组及处理

按照配对比较法随机分组, 将30只雌性SD大鼠分成实验组与对照组, 每组各15只。其中, 实验组大鼠左侧子宫行子宫内膜轻度机械损伤并设定为轻度机械损伤组, 右侧子宫行子宫内膜重度机械损伤并设定为重度机械损伤组。对照组大鼠开腹后不进行子宫内膜损伤处理, 进行假手术对照。

2. 大鼠阴道涂片方法

用毛细玻璃管吸取约50 μL生理盐水, 轻轻置入大鼠阴道内约1 cm处, 反复轻柔抽吸3~5次后, 将阴道内抽吸液取出, 立即均匀涂于洁净载玻片并编号标记, 待干3 min, 显微镜下观察阴道涂片各细胞的分布情况。统一选取大鼠动情期(涂片在光学显微镜下几乎全部为聚堆的无核角化上皮细胞, 呈落叶状, 而白细胞和有核细胞极少)进行实验, 以避免不同实验对象间子宫内膜所处月经周期不同和雌孕激素水平差异而导致结果出现误差[2-3]

3. 建模方法

所有实验对象于术前禁食、禁饮12 h, 动物电推剪取下腹正中部剃毛(面积约3 cm×4 cm), 腹腔注射麻醉, 严格遵循无菌操作原则, 碘伏棉球腹壁消毒3次, 以无菌纱布铺巾(图1A)。取实验对象腹部正中线、距离尿道口约3~4 cm处用大号直剪作纵行切口1.5 cm, 钝锐结合分离腹直肌层及腹膜, 进入腹腔(图1B);用2根无菌棉签轻探腹腔, 完整暴露膀胱后方“V”形子宫(图1C);无齿尖头直镊提起单侧子宫, 尽量避开子宫旁血管网, 于子宫1/2总长度处使用眼科剪横向剪开子宫至横切面直径3/4处(图1D), 采用自制2 mm直径不锈钢刮匙探入手术侧子宫切口上、下侧宫腔, 反复进行宫腔搔刮操作。实验组采用自身对照将大鼠左侧子宫内膜轻度搔刮作为轻度机械损伤组(图1E、F), 反复搔刮左侧宫腔至刮出宫腔内组织1~2刮匙、宫腔内少量积血、左侧子宫外观轻度充血、半透明、宫腔壁轻度塌陷, 弹性欠佳;右侧子宫内膜重度搔刮作为重度机械损伤组(图1G、H), 以不刮破子宫壁为标准反复搔刮右侧宫腔、刮出宫腔内容物3~4刮匙、宫腔内大量新鲜积血, 右侧子宫外观极度充血、近透明状、宫腔壁塌陷, 弹性极差, 无菌纱布清理切口处少量鲜血, 7-0带针缝合线间断缝合子宫切口3针, 查子宫切口无明显出血, 使用无菌棉签轻轻还纳术侧子宫;处置完毕后清点手术器械与术前一致, 逐层关腹(图1I、J);对照组同法进行开腹, 暴露相同手术时长后关腹, 不进行宫腔搔刮操作。术后将实验对象安全转至术后专用鼠笼, 温水瓶保暖, 等待麻醉复苏;苏醒后观察30 min、转至新的普通鼠笼;清洗手术器械、消毒备用, 清扫操作台面, 及时记录手术过程。
图1 SD大鼠轻、重度机械损伤术程图

注:A为消毒铺巾;B为逐层进腹;C为暴露“V”形子宫;D为剪开单侧子宫腔;E为左侧宫腔轻度机械损伤组搔刮状态;F为左侧宫腔轻度机械损伤组术后缝合状态(0 h);G为右侧宫腔重度机械损伤组搔刮状态;H为右侧宫腔重度机械损伤组术后缝合状态(0 h);I为逐层关腹;J为术毕。

4. 动物处理及取材

实验组和对照组分别在术后0 h、24 h、72 h、5 d、7 d进行取材。取材前1 h进行10% BrdU 1 mL活体大鼠尾静脉注射, 实验组、对照组各取材3只。其中各组术后0 h取材的实验对象需在进行宫腔机械损伤前1 h进行BrdU注射后再进行手术, 术后立即取材包埋, BrdU注射成功后1 h及时将各实验对象左、右侧子宫组织等完整取出, 分别进行同侧组织快速冰冻包埋后冻存于-80 ℃冰箱备用。4 μm厚度标准下冰冻切片机快速切片, 并于-80 ℃冰箱密封保存。

5. 免疫组化染色

取冰冻组织切片, 风干、固定、标记染色范围。第一重免疫组化选用MHCⅡ 60 μL为一抗, 抗鼠 Ig ALP 60 μL为二抗, Vector Blue碱性磷酸盐显色剂60 μL显色, 倒置相差显微镜下观察染色情况。第二重免疫组化选用抗鼠BrdU 60 μL为一抗, 抗鼠Ig ALP 60 μL为二抗, New Fuchsin显色剂显色, 倒置相差显微镜下观察染色情况。之后再次以甲醛钙固定玻片、封片, 风干后室温保存, 倒置相差显微镜下观察各切片组织形态改变及染色情况。

6. 大鼠子宫内膜腺体检测

术后7 d在倒置相差显微镜下观察大鼠的子宫内膜形态学变化以及腺体数量, 子宫内膜腺体的计数:每份组织随机选取3张切片, 置于镜下进行整个视野的子宫内膜腺体计数, 每份组织取3个视野进行计数, 取平均值为该组织腺体个数。

三、统计学处理

使用SPSS 22.0进行数据分析, 计量资料经检验均符合正态分布, 以 $\bar{x} \pm s$ 表示, 多组间比较采用单因素方差分析, 组间两两比较采用LSD-t检验。P < 0.05 为差异有统计学意义。

结果

一、动情期大鼠阴道细胞涂片的情况

大鼠的动情周期约4~5 d。大鼠动情期阴道涂片在光学显微镜下几乎全部为聚堆的无核角化上皮细胞, 呈落叶状, 白细胞和有核细胞极少, 见图2
图2 SD大鼠动情期阴道细胞涂片在光学显微镜下的表现(×100)

二、大鼠轻、重度机械损伤后各个时期子宫形态与正常子宫解剖形态的比较

所有大鼠术后一般状况良好, 精神可, 饮食佳, 大小便正常, 体质量无明显改变, 术后均存活。正常大鼠子宫外观颜色粉红, 血运丰富, 无充血, 管腔粗细均匀, 管壁膨隆、弹性好, 剖视子宫内膜层结构完整, 无异常出血及破损(图1C);轻度机械损伤0 h后大鼠子宫外观轻度充血水肿, 宫腔半透明、轻度塌陷状态, 弹性欠佳(图1F);重度机械损伤0 h后大鼠子宫外观极度充血水肿, 宫腔呈透明状、宫腔壁塌陷, 弹性极差, 剖视内膜层几乎完全破损、即将穿透子宫壁, 管腔积血多(图1H)。机械损伤24 h后大鼠双侧子宫水肿明显(图3A);机械损伤72 h后大鼠双侧子宫水肿, 可见管腔内淤血(图3B);机械损伤5 d后大鼠双侧子宫水肿淤血状态减轻, 管壁弹性较前改善(图3C);机械损伤7 d后大鼠双侧子宫与周围组织粘连明显, 无明显水肿淤血(图3D)。
图3 轻度机械损伤组(左侧子宫)和重度机械损伤组(右侧子宫)术后各时期大体形态图

注:A为术后24 h双侧子宫;B为术后72 h双侧子宫;C为术后5 d双侧子宫;D为术后7 d双侧子宫。

三、轻、重度机械损伤组子宫内膜各时期的镜下形态学表现、MHCⅡ细胞及BrdU标记细胞免疫组化染色结果

1. 轻、重度机械损伤组子宫内膜各时期镜下形态学表现

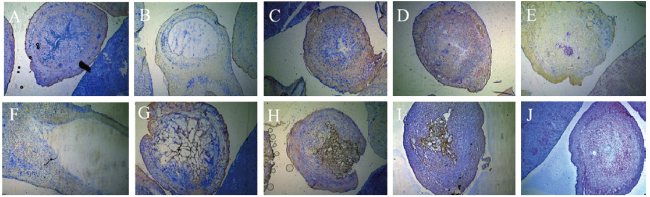
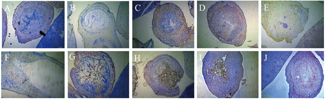
术后0 h, 轻度机械损伤组的子宫内膜组织破损、较正常内膜变薄1/4~1/3, 部分间质细胞及腺体缺失, 剩余内膜结构清晰、层次分明, 剩余腺体排列规则, 子宫管腔出现空隙(可能由积血或积液所致), 无明显水肿及纤维组织形成(图4A); 重度机械损伤组的子宫内膜组织破损严重、内膜层几乎全部破坏, 极少量间质细胞及腺体残留, 子宫管腔出现大空隙(可能由积血或积液所致), 无明显水肿及纤维组织形成(图4F)。术后24 h, 轻度机械损伤组的管腔见大量黏液及坏死组织, 管腔轻度水肿, 内膜较前变薄(图4B);重度机械损伤组见大量黏液坏死组织充满管腔, 管腔水肿明显, 部分宫腔未见明显内膜组织, 腺体少见(图4G)。术后72 h, 轻度机械损伤组的子宫内膜逐渐增生修复, 内膜间质及腺体数目增加, 子宫内膜表面上皮被覆完整, 管腔内空隙变小(图4C);重度机械损伤组的管腔空隙较前变小, 其内可见坏死组织, 未见明显腺体(图4H)。术后5 d, 轻度机械损伤组的管腔间隙进一步变小, 腺体数目较前明显增多(图4D);重度机械损伤组的管腔间隙进一步变小, 未见明显腺体增多(图4I)。术后7 d, 轻度机械损伤组的管腔基本闭合, 无明显水肿, 出现内膜线(图4E); 重度机械损伤组无明显水肿, 管腔进一步缩小, 未见腺体或腺体数目极少, 内膜组织纤维化, 内膜层大部分组织被纤维组织替代且向宫腔凸起, 甚至占据整个宫腔, 局部管腔闭合并出现粘连(图4J)。
图4 SD大鼠轻、重度机械损伤术后子宫内膜各时期形态表现(免疫组化染色, ×100)

注:图A~E依次为轻度机械损伤组子宫内膜在术后0 h、24 h、72 h、5 d、7 d的镜下表现;图F~J依次为分别为重度机械损伤组子宫内膜在术后0 h、24 h、72 h、5 d、7 d的镜下表现。

2. 轻、重度机械损伤组MHCⅡ细胞及BrdU标记细胞免疫组化染色结果

轻度机械损伤组中, 术后24 h开始出现蓝染的MHCⅡ细胞(图4B);术后72 h内膜层出现大量红染含BrdU的细胞, 并见大量蓝染的MHCⅡ细胞(图4C);术后5 d见较多红染含BrdU的细胞, 子宫内膜见蓝染的MHCⅡ细胞数目较前稍减少(图4D);术后7 d仍可见少量红染含BrdU的细胞, 子宫内膜基本修复, 见少量蓝染的MHCⅡ细胞(图4E)。重度机械损伤中, 术后24 h开始出现蓝染的MHCⅡ细胞(图4G);术后72 h内膜层未见明显红染含BrdU的细胞, 见少量蓝染的MHCⅡ细胞(图4H);术后5 d未见明显红染含BrdU的细胞, 见蓝染的MHCⅡ细胞、数目较前减少(图4I);术后7 d未见明显红染含BrdU的细胞, 见蓝染的MHCⅡ细胞、数目较前进一步减少(图4J)。

四、术后7 d轻、重度机械损伤组和对照组的子宫内膜腺体数目比较

术后7 d, 轻度机械损伤组、重度机械损伤组和对照组的子宫内膜腺体数目分别为(9.37± 1.31)个、(12.96±1.22)个和(2.93±0.83)个, 3组子宫内膜腺体数目比较差异有统计学意义(F =538.69, P < 0.001), 且随着子宫内膜受损程度增加, 腺体数目随之减少(组间两两比较P均< 0.001)。

讨论

IUA的发病机制尚不明确, Polishuk等(1975年)提出的纤维细胞增生活跃学说为当前主流学说。IUA的发病机制可能与纤维细胞的异常增生活跃主要相关[4]。研究提示, IUA分离术后子宫内膜中微血管密度的增加、血管内皮生长因子表达的上调、新生微血管的形成可能对子宫内膜修复有利[5]。用于建立IUA模型的实验物种包括小鼠、大鼠、新西兰兔以及犬等[6]。其中大鼠具有成本低、适应性强、生殖周期短、遗传背景清晰及个体差异性小等特点, 其独特的双子宫解剖结构可为IUA模型的建立提供天然的自身对照条件[7-8]。IUA动物模型的建立方式包括机械损伤法、物理损伤法、化学损伤法、感染损伤法、热损伤法以及多重损伤联合法等[9-10]
本研究采用子宫内膜机械损伤法, 最接近临床妊娠后行人工流产清宫术操作下的子宫内膜损伤方式。与通过Masson染色、HE染色等方式进行IUA模型建立不同, 本研究对大鼠子宫内膜组织染色方法进行了改进, 通过双重免疫组化染色将大鼠子宫内膜中包含MHCⅡ的细胞染成蓝色, 将含有BrdU的大鼠子宫内膜细胞染成红色, 进而观察术后不同时间点子宫内膜细胞的炎性反应以及细胞增殖情况, 深入反映术后早期IUA发生发展的过程。
MHCⅡ对有效调节炎症反应的强效应答有重要意义[10-12]。本研究通过对MHCⅡ细胞染色, 发现子宫受损后内膜及肌层组织中MHCⅡ反应增强, 在机械损伤后0 h至术后3 d炎症反应较大, 之后逐步减轻。BrdU是一种胸腺嘧啶核苷酸类似物, 通过与胸腺嘧啶核苷酸竞争, 从而替代胸腺嘧啶核苷酸掺入到S期新合成的DNA片段中, 研究者可通过计数不同机械损伤程度下标记有BrdU的细胞, 了解子宫内膜增生修复情况[13-15]。本研究显示, 轻度机械损伤组术后72 h, 大鼠子宫内膜处出现红染含BrdU的细胞, 提示大鼠内膜细胞开始增生修复;而重度机械损伤组大鼠子宫内膜未见红染含BrdU细胞, 提示子宫内膜细胞无增生修复, 考虑重度机械性损伤破坏了大鼠子宫内膜基底层及腺体, 导致子宫内膜再生障碍, 从而影响子宫内膜的修复。
另外, 本研究通过使用自制2 mm刮匙对大鼠子宫内膜进行轻、重度机械性搔刮后所造成的内膜损伤程度甚至IUA的整个大体及组织病理学过程的对比研究, 发现大鼠子宫内膜在轻度机械损伤后0 h出现1/4~1/3浅表层组织破坏, 部分腺体缺损, 术后24 h出现明显组织水肿, 术后72 h出现组织增生修复及大量炎性细胞, 术后5 d组织继续修复增生, 术后7 d基本达到完全修复再生;而大鼠子宫内膜在重度机械损伤后, 术后0 h子宫内膜损伤破坏程度达到内膜全层、累及整个基底层和腺体, 甚至造成肌层等的损伤, 术后24 h宫腔内残留的部分内膜组织水肿明显, 腺体残留少甚至部分宫腔不见腺体, 术后72 h及术后5 d, 子宫腔内间隙逐渐缩小, 但内膜组织镜下观察仍无明显修复增生表现, 术后7 d内膜组织无法达到基本修复, 子宫腔内间隙进一步缩小, 腺体数目少、排列分布不规则, 出现组织纤维化, 内膜层大部分被纤维组织替代且向宫腔凸起, 甚至占据整个宫腔, 局部管腔闭合、出现粘连。
综上所述, 本研究通过观察动情期大鼠子宫内膜在不同程度机械损伤后不同时期的再生修复过程, 发现重度机械损伤后大鼠子宫腔出现粘连改变, 提示切开缝合子宫内膜机械损伤法可以成功建立大鼠IUA模型。这为后续进行IUA相关机制的研究提供了良好的动物模型, 也提示在保护子宫内膜方面尽量避免重度机械损伤的重要性。
[1]
Kou L, Jiang X, Xiao S, et al. Therapeutic options and drug delivery strategies for the prevention of intrauterine adhesions. J Control Release, 2020, 318: 25-37.

DOI

[2]
Nicolas C, Russell T I, Pierce A F, et al. Incubation of cocaine craving after intermittent-access self-administration: sex differences and estrous cycle. Biol Psychiatry, 2019, 85(11): 915-924.

DOI

[3]
郭婷, 陈海鹏, 闫海虹, 等. 茸菖胶囊对雌性癫痫大鼠动情期雌激素及其受体的影响. 中华中医药杂志, 2021, 36 (11): 6400-6404.

[4]
Bai X, Liu J, Cao S, et al. Mechanisms of endometrial fibrosis and the potential application of stem cell therapy. Discov Med, 2019, 27(150): 267-279.

PMID

[5]
陈玉清, 常亚杰, 杨欢. 重度宫腔粘连子宫内膜修复中微血管密度及VEGF的表达及其临床意义. 新医学, 2016, 47(10): 671-675.

[6]
阳媛, 毛艳华, 王佳, 等. 机械和感染双重法建立中华田园犬宫腔粘连模型. 重庆医科大学学报, 2017, 42(4): 401-405.

[7]
陈艳玲, 孙冬岩. 大鼠宫腔粘连模型的研究进展. 中国计划生育和妇产科, 2022, 14(1): 49-51.

[8]
张璐, 李莹, 吕晓丹, 等. 大鼠子宫宫腔粘连模型的建立及评价指标. 动物学杂志, 2017, 52(1): 115-121.

[9]
Münz C. Autophagy proteins influence endocytosis for MHC restricted antigen presentation. Semin Cancer Biol, 2020, 66: 110-115.

DOI PMID

[10]
高花, 韩勇, 翟晓鑫, 等. MHC分子抗原递呈机制的研究进展. 生命科学, 2017, 29(5): 450-461.

[11]
Unanue E R, Turk V, Neefjes J. Variations in MHC class II antigen processing and presentation in health and disease. Annu Rev Immunol, 2016, 34: 265-297.

DOI PMID

[12]
Rock K L, Reits E, Neefjes J. Present yourself! By MHC class I and MHC class II molecules. Trends Immunol, 2016, 37(11): 724-737.

DOI PMID

[13]
Li H, Zhang M, Li X, et al. BrdU-label-retaining cells in rat eccrine sweat glands over Time. Acta Histochem, 2016, 118(2): 74-79.

DOI PMID

[14]
Boulanger J J, Staines W A, LeBlanc V, et al. A simple histological technique to improve immunostaining when using DNA denaturation for BrdU labelling. J Neurosci Methods, 2016, 259: 40-46.

DOI

[15]
Ranuh I G M A R, Sari G M, Utomo B, et al. Systematic review and meta-analysis of the efficacy of MLC 901 (NeuroAiDⅡTM) for acute ischemic brain injury in animal models. J Evid Based Integr Med, 2021, 26: 2515690X211039219.

Outlines

/