Case Research

Coverage of soft tissue defects after epulis resection with coronally repositioned flap: a case report

  • Liu Changhuan ,
  • Jiang Shan ,
  • Li Fengzhou
Expand
  • Department of Periodontics and Oral Mucosa, Shenzhen Stomatological Hospital of Southern Medical University(Pingshan), Shenzhen 518000, China
Li Fengzhou, E-mail:

Received date: 2022-05-20

  Online published: 2022-09-29

Abstract

Epulis is a type of proliferative gingival disease, and usually occurs in the lip or buccal gingiva near the papilla canines and premolars. Females are more prone to epulis than male counterparts. The resection of large epulis is often accompanied by keratinized gingival narrowing and the exposure of bone and root surface, etc. In this article, a case of epulis admitted to the department of periodontal mucosa was reported. During surgical resection of epulis, coronally repositioned flap was simultaneously utilized to cover the exposed bone and root surface by combining the basic principle of mucogingival surgery. This technique can prevent the occurrence of postoperative complications to the largest extent, such as infection, bone absorption, root exposure and root dentin hypersensitivity, achieving excellent aesthetic repair of the soft tissues. Regarding the diagnosis and treatment of this case, the coronally repositioned flap has the advantages of simple operation and avoids the second surgical area.

Cite this article

Liu Changhuan , Jiang Shan , Li Fengzhou . Coverage of soft tissue defects after epulis resection with coronally repositioned flap: a case report[J]. JOURNAL OF NEW MEDICINE, 2022 , 53(9) : 705 -708 . DOI: 10.3969/j.issn.0253-9802.2022.09.017

牙龈瘤是在牙龈局部生长的炎性反应性瘤样增生物, 多见于牙龈乳头处[1]。其多由局部炎症或机械刺激因素如牙石、悬突、不良修复体等引起[2]。内分泌因素也是牙龈瘤产生的重要原因。多囊卵巢综合征(PCOS)多伴有性激素水平改变[3]。传统上, 牙龈瘤的治疗从牙周基础治疗开始, 以祛除局部炎性刺激;对伴有内分泌水平改变的患者则需进行内分泌调节治疗。如果祛除牙龈瘤的原发致病因素后, 牙龈瘤仍未见明显缩小, 可择期行牙龈瘤切除术, 但单纯切除牙龈瘤后, 往往会出现角化龈变窄以及骨面、根面的暴露、牙龈软组织缺少等不良预后。笔者近期诊治1例合并PCOS的牙龈瘤患者, 经牙周基础治疗及PCOS治疗2个月后牙龈瘤仍未明显缩小, 故而对其行牙龈瘤切除术并同期使用冠向复位瓣覆盖暴露骨面, 实现手术创口关闭, 达到了远期良好的软组织美学效果, 现报道如下。

病例资料

一、病史及主诉

患者女, 34岁。因PCOS 2年, 左下后牙颊牙龈肿物1年、增大半年于2021年9月19日至我科就诊。患者2年前因PCOS于外院进行中西医联合治疗, 1年前发现左下后牙颊侧牙龈肿物, 近半年自觉有逐渐增大趋势, 偶有刷牙出血症状。患者最近于2021年9月4日 (月经第2日)在外院妇科复查相关激素水平示胰岛素7.42 mIU/L(参考值范围4.00~23.00 mIU/L)、孕酮0.080 μg/L[参考值范围0.057~0.893 μg/L (卵泡期)]、睾酮0.277 μg/L(参考值范围0.084~0.481 μg/L)、雌二醇40.0 pg/mL[参考值范围12.4~233.0(卵泡期)]、促卵泡生成素5.4 mIU/L[参考值范围3.5~12.5 mIU/L(卵泡期)]、促甲状腺素1.76 mIU/L(参考值范围0.27~4.20 mIU/L)、催乳素241.6 mIU/L(参考值范围102.0~496.0 mIU/L)、促黄体素生成素10.3 mIU/L[参考值范围2.4~12.6 mIU/L(卵泡期)], 妇科医师认为其激素水平相对稳定, 可行牙龈瘤手术治疗, 遂来院咨询治疗方案。既往史:PCOS(西医诊断)、月经后期(痰湿阻滞胞宫), 口服屈螺酮炔雌醇片(Ⅱ)每日1片(含炔雌醇0.02 mg、屈螺酮3.00 mg);否认妊娠及其他系统病史, 否认过敏史。

二、专科检查及治疗计划拟定

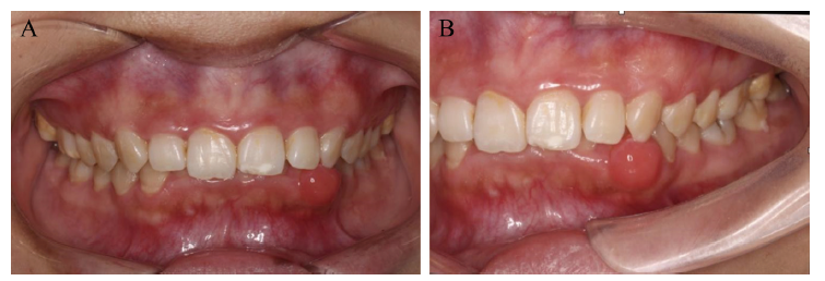
患者一般体格检查无特殊, 全口卫生情况一般, 牙石(+), 色素(-), 牙齿无明显松动, 牙龈稍红肿;33、34颊侧牙龈增生, 呈球形, 质韧, 无蒂, 基底1.0 cm×1.0 cm×0.5 cm大小, 覆盖33唇侧超过1/2(图1), 探诊出血(-), 牙周探诊深度3~5 mm, 唇侧正中位点牙周探诊深度5 mm;正中咬合时, 23可咬及牙龈瘤, 牙龈瘤表面可见齿痕, 未见明显溃疡。术前影像学检查:全口牙槽骨未见明显吸收(图2A);33、34牙槽骨未见明显吸收(图2B)。临床诊断:慢性牙龈炎、牙龈瘤(待查)。治疗计划:①与妇科医师充分沟通后, 建议患者在妇科医师指导下继续治疗PCOS;②由于患者对行牙龈瘤切除术的意愿比较强烈, 建议患者先行牙周基础治疗, 2个月后若肿物仍未见明显缩小, 择期行牙龈瘤切除术并同期使用冠向复位瓣技术修复软组织缺损。
图1 一例牙龈瘤患者术前的口腔外观

注:A为术前正面全口外观;B为术前患处局部外观。

图2 一例牙龈瘤患者术前的影像学检查结果

注:A为术前全景X线片检查结果;B为术前根尖X线片检查结果。

三、手术过程

患者龈上洁治术后2个月未见肿物明显缩小。2021年11月20日患者的血常规、凝血4项(凝血酶原时间、凝血酶时间、活化部分凝血酶时间以及纤维蛋白原)和传染病4项(乙型肝炎、丙型肝炎、梅毒和艾滋病筛查)等术前检查结果均未见异常。行牙龈瘤切除术, 同期使用冠向复位瓣修复软组织缺损。具体操作:局部麻醉下, 沿牙龈瘤唇颊侧边缘2 mm处(图3A)做切口及33、34唇颊侧沟内做切口, 切除肿物(图3B、C);33近中轴面角、34近中轴面角处做角形垂直切口, 超过膜龈联合;33、34唇颊侧剩余黏骨膜瓣, 先翻全厚瓣, 至牙槽嵴顶下方约3 mm, 做深层骨膜松解, 再做浅层锐分离, 半厚瓣翻瓣, 做浅表黏骨膜瓣的松解(图3D);术区行局部牙槽骨修整, 牙周膜清扫及袋内上皮修整;松解黏骨膜瓣, 并行冠向无张力复位至釉牙骨质界上方1 mm处;采用单牙悬吊缝合结合间断缝合关闭手术创口(图3G)。
图3 一例牙龈瘤患者的手术过程、术后病理及随访结果

注:A为沿牙龈瘤唇颊侧边缘2 mm处做切口;B为牙龈瘤切除后创面;C为术中切除肿物, 大小约1.0 cm×1.0 cm×0.5 cm;D为浅表黏骨膜瓣松解减张, 行黏骨膜瓣冠向复位;E(×200)、F(×400)为切除组织的病理学结果(HE染色);G为悬吊缝合结合间断缝合关闭创口;H为患者术后6个月全口外观;I为患者术后6个月患处局部外观。

四、转归

术后病理回报为牙龈瘤(图3E、F)。嘱患者术后2周内在术区使用复方氯己定含漱液控制菌斑, 禁忌术区刷牙, 其他部位正常刷牙。术后2周拆线, 手术创口周围软组织愈合良好, 未出现感染、根面暴露等并发症。 术后6个月复查33、34的牙龈高度稳定, 且与对侧同名牙43、44高度接近, 33、34牙间乳头丰满, 充盈颊侧邻间隙, 软组织形态自然(图3H、I), 患者反馈无明显不适。

讨论

牙龈瘤是一种常见的增生性疾病, 通常认为其来源于牙周膜及牙龈的结缔组织, 因其无肿瘤的生物学特征和结构, 故并非恶性肿瘤, 但切除后易复发。牙龈瘤呈球形或椭圆形, 大小不一, 直径由几毫米到1~2 cm不等, 表面有时呈分叶状。较大的肿瘤可被咬破而发生溃疡、出血或伴发感染。患处长时间存在较大的牙龈瘤肿块还可能出现牙槽骨壁的破坏, 根尖X线片可见骨质吸收、牙周膜间隙增宽现象, 牙齿可松动、移位。根据病理学表现不同, 牙龈瘤主要分为纤维型、肉芽肿型及血管型3种类型, 临床需与牙龈癌鉴别诊断, 若增生物表面呈菜花状溃疡、易出血甚至发生坏死, 应尽早切除, 并进行组织病理学检查以明确诊断[1]。术前完善的牙周基础治疗并祛除内分泌因素的影响, 术中扩大切口完整地切除瘤体, 术区完善牙槽骨的修整、相邻牙的牙周膜清扫以及软组织修整, 可有效地避免术后复发。
较大的牙龈瘤切除后, 往往伴随骨面、根面的暴露及软组织美学缺陷, 既往仅切除牙龈瘤不修复的手术方式, 已经不能满足临床患者对牙龈美学的要求[4]。本例牙龈瘤的体积较大, 笔者结合膜龈手术的基本原理, 创新性地运用冠向复位瓣技术修复牙龈瘤切除术后牙龈软组织的美学缺陷, 最大程度地避免了感染、牙槽骨吸收及牙根敏感等并发症的发生, 并达到了良好的远期效果。术后6个月随访结果可见33、34的牙龈高度稳定, 且与对侧同名牙43、44高度接近, 33、34牙间乳头丰满, 颊间隙充盈, 软组织形态自然。
随着口腔科学的快速发展, 牙周病学方面的新技术也在不断突破, 膜龈手术在软硬组织再生、美学修复、种植及正畸等方面的应用越来越广泛[5]。膜龈手术技术通常分为龈瓣技术和移植技术, 临床常用于根面覆盖及角化龈增量等手术中。本病例中牙龈瘤切除后, 天然牙根剩余的角化龈较少, 术后6个月复查时虽然术区牙龈黏膜颜色比周围黏膜略红, 但复查时患者反馈并未有任何不适, 可能仍处于软组织重建的过程, 因此建议继续观察, 如有必要再于后期行游离龈移植术以增加术区角化龈宽度。目前附着龈宽度对牙周组织的影响尚存在争议, 有学者认为天然牙唇颊侧牙龈黏膜虽缺乏角化龈但仍可行使正常功能, 也有学者认为2 mm的附着龈宽度对于保持软组织封闭以及控制菌斑聚集都是有必要的[6]。本研究显示, 冠向复位瓣技术具有操作简单、避免第二术区等优势。
本例治疗过程中, 笔者创新性地运用膜龈手术, 成功修复牙龈瘤切除后伴随的大面积软组织缺损, 达到远期良好的美学效果。本例在6个月的随访期内虽未见复发, 但鉴于患者合并PCOS, 仍需要长期随访, 以进一步观察疗效。
[1]
孟焕新. 牙周病学. 5版. 北京: 人民卫生出版社, 2020.

[2]
Li L, Liu Y. 980-nm diode laser excision of a giant pregnancy epulis. Pak J Med Sci, 2022, 38(3Part-I): 773-775.

DOI PMID

[3]
林慧, 刘肖, 梁清妹, 等. 体质量管理对肥胖型多囊卵巢综合征女性的内分泌激素水平和辅助生育结局的影响. 新医学, 2021, 52(11): 868-872.

[4]
Wang H L, Zucchelli G. Editorial: significance of peri-implant keratinized mucosa width and soft tissue thickness. Int J Periodontics Restorative Dent, 2019, 39(6): 767-768.

DOI

[5]
Gisotti M, Lops D, Valente N A. Esthetic management of space and soft tissue deficiencies in implant therapy: combined orthodontic-mucogingival approach. Int J Esthet Dent, 2022, 17(1): 42-56.

PMID

[6]
Frisch E, Ziebolz D, Vach K, et al. The effect of keratinized mucosa width on peri-implant outcome under supportive postimplant therapy. Clin Implant Dent Relat Res, 2015, 17: e236-e244.

DOI

Outlines

/