Original Research

Diabetic ketoacidosis complicated with hypophosphatemia and Aspergillus fumigatus pneumonia: a case report and literature review

  • Qiu Ruizhen ,
  • Wu Ying ,
  • Yan Qiaolu ,
  • Zhang Ping
Expand
  • College of Clinical Medicine, Dali 671013, China
Wu Ying, E-mail:

Received date: 2023-03-07

  Online published: 2023-09-27

Abstract

Objective To investigate the clinical characteristics of hypophosphatemia in diabetic ketoacidosis (DKA) complicated with pulmonary infection. Methods A patient with DKA complicated with Aspergillus fumigatus pneumonia who developed severe hypophosphatemia was reported. Revelant studies were searched from PubMed,CNKI, Wanfang Data and Chongqing VIP using“diabetic ketoacidosis”and“hypophosphatemia”as the keywords.Clinical data of retrieved cases of DKA complicated with hypophosphatemia were collected and analyzed. Results The 35-year-old male patient were diagnosed with diabetes mellitus complicated with DKA, Aspergillus fumigatus pneumonia and severe hypophosphatemia. After fluid rehydration, hypoglycemic and antifungal treatment, serum phosphorus level was restored to normal range spontaneously along with DKA correction and pulmonary infection control. The patient was discharged after improvement. According to literature review, 16 cases of DKA complicated with hypophosphatemia with complete clinical data were searched. Clinical manifestations mainly include respiratory failure, rhabdomyolysis, seizures, cardiac arrest, fatigue, and no symptoms, etc. Some patients can spontaneously recover, whereas other patients require supplemental phosphorus therapy. Conclusions DKA patients complicated with pulmonary infection are prone to hypophosphatemia with non-specific clinical manifestations, which can be life-threatening in severe cases. Early recognition is helpful to improve clinical prognosis.

Cite this article

Qiu Ruizhen , Wu Ying , Yan Qiaolu , Zhang Ping . Diabetic ketoacidosis complicated with hypophosphatemia and Aspergillus fumigatus pneumonia: a case report and literature review[J]. JOURNAL OF NEW MEDICINE, 2023 , 54(9) : 681 -686 . DOI: 10.3969/j.issn.0253-9802.2023.09.014

低磷血症是临床常见的合并症,常发生在有糖尿病酮症酸中毒(DKA)、肺部感染以及营养不良等多种问题的患者中,严重时甚至危及生命。但由于其临床症状和体征往往缺乏特异性,常被临床医师忽视,既往文献也少有报道。本文报道1例DKA合并低磷血症、烟曲霉菌肺炎的患者,并复习既往文献中DKA合并低磷血症的病例,以期进一步提高临床医师对此类患者的认识水平。

对象与方法

一、收集1例DKA合并低磷血症、烟曲霉菌肺炎患者的临床资料

大理大学第一附属医院2022年3月18日收治1例DKA合并发热患者,并发重度低磷血症,同时经电子支气管镜取肺泡灌洗液经定量宏基因测序确诊为烟曲霉菌肺炎,予补液、降糖、抗真菌治疗,随着DKA纠正、肺部感染控制后血磷水平自行回升,好转出院。收集并分析其病史、体格检查、实验室及辅助检查、治疗及转归等资料。

二、文献检索

以“糖尿病酮症酸中毒(diabetic ketoacidosis)”“低磷血症(hypophosphatemia)”为检索词对以下数据库的相关论文进行检索:PubMed、中国知网、万方数据知识服务平台、维普中文科技期刊数据库,收集并分析检索到的DKA合并低磷血症的病例资料。

结果

一、1例DKA合并低磷血症、烟曲霉菌肺炎患者的病例资料

1. 病史

患者男,35岁,因“咳嗽、咳痰1周,口干、嗜睡4 d,胸闷、呕吐2 d”于2022年3月18日被急诊收入院。患者入院前1周于受凉后出现咳嗽、咳淡绿色黏液痰,伴低热,体温波动于37.3~37.4℃,于当地卫生所就诊并被诊断为“肺部感染”,予抗感染治疗3 d后症状无好转。入院前4 d出现口干、嗜睡,于当地县医院就诊,检查发现血糖升高,尿酮体阳性,按“糖尿病酮症酸中毒、肺部感染”的诊断予降血糖、补液、抗感染治疗3 d后症状仍无好转。本次入院前2 d出现胸闷、呼吸困难,并逐渐加重,伴大汗淋漓、恶心、呕吐及不思饮食。

2. 检查情况

体格检查:体温36.8℃,脉搏122次/分,呼吸24次/分,血压160/92 mm Hg(1 mmHg=0.133 kPa),BMI 30.4 kg/m2,一般情况差,体型偏胖,嗜睡,平车入室,口唇干燥,呼吸急促,双肺呼吸音粗,双下肺可闻及湿性啰音,心率122次/分,心律整齐,未闻及病理性杂音,腹部饱满,无压痛。
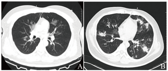
实验室及辅助检查:尿常规示酮体(++++),葡萄糖(++++)。随机静脉血糖17.16 mmol/L。动脉血气分析示酸碱度7.047,氧分压66.8 mmHg,二氧化碳分压23.4 mmHg,阴离子间隙24.4 mmol/L,碳酸氢根离子6.4 mmol/L。血常规示血红蛋白164 g/L,红细胞5.65×1012/L,白细胞16.87×109/L,中性粒细胞绝对值14.63×109/L,淋巴细胞绝对值0.74×109/L,血小板233×109/L。血液生化示肝肾功能无异常。血钾4.96 mmol/L、钠133 mmol/L、镁0.96 mmol/L、磷1.19 mmol/L(参考值范围0.8~1.5 mmol/L)、钙2.21 mmol/L。GHbA1c 12.7%。甲状腺功能提示低T3综合征。肿瘤标志物、肥达外斐反应、风湿免疫相关检查均无异常。心电图示窦性心动过速。头颅CT未见异常。肺部CT示双肺散在渗出,见图1A。肺动脉造影CT血管成像未见明显栓塞。腹部CT示胰腺萎缩、胰头部点状钙化,胆囊多发结石、慢性胆囊炎。痰涂片仅检出少量革兰阳性球菌,2次痰培养、3次血培养、中段尿培养、乙型流感病毒RNA、疟原虫等均阴性,腹部B超提示脂肪肝及胆囊结石。初步诊断:①DKA;②肺部感染。
图1 一例DKA合并低磷血症、烟曲霉菌肺炎患者的CT检查图

注:A为2022年3月18日肺部CT表现;B为2022年3月28日复查肺部CT表现。

3. 诊治过程

经治疗后于入院第7日尿酮体转阴。入院时予赖脯胰岛素皮下泵自“基础率0.8 U/h,三餐前大剂量各6 U”起始,根据血糖情况调整至“基础率1.2 U/h,三餐前大剂量早12 U、中8 U、晚8 U”控制血糖。先后予头孢哌酮舒巴坦钠、莫西沙星抗感染及吸氧等对症处理。
入院第8日查真菌D-葡聚糖530.2 pg/mL(参考值范围0~100.5 pg/mL)。停用莫西沙星,改予伊曲康唑胶囊0.1 g、2次/日。并停用胰岛素皮下泵,改予德谷胰岛素35 U+赖脯胰岛素注射液(优泌乐,早15 U、中15U、晚11 U)控制血糖。经治疗后患者仍偶有发热,最高38.3℃,脉搏波动于92~119次/分,呼吸波动于16~22次/分,面罩吸氧时血氧饱和度波动于92%~96%,不吸氧时为86%。血糖波动于14~21.4 mmol/L,空腹血糖16.5 mmol/L。入院第10日复查肺部CT提示病灶增多,见图1B。遂进一步完善电子气管镜检查,取肺泡灌洗液送院外机构实验室行定量宏基因组检测,检出烟曲霉菌,明确诊断为烟曲霉菌肺炎。因本院内无针剂,故于入院第18日调整伊曲康唑胶囊用量为0.2 g、2次/日,治疗6 d后患者病情明显好转,无需吸氧,日常活动无不适,胸闷缓解,体温36.5℃、脉搏78次/分、呼吸20次/分。胰岛素用量改为德谷胰岛素 20 U+ 优泌乐(早10 U、中3 U、晚3 U),血糖波动于4.3~14.6 mmol/L,空腹血糖5.4 mmol/L。结合患者病情及糖尿病自身抗体阴性,考虑为2型糖尿病。
治疗期间患者血磷水平变化如下,入院第2日血磷0.33 mmol/L,鼓励患者进食。第3日血磷0.24 mmol/L。检测25-羟维生素D 13.86 ng/mL、甲状旁腺激素10.54 pg/mL。第6日血磷0.68 mmol/L,第10日血磷1.22 mmol/L。
经治疗后患者病情好转,于2022年4月7日出院,出院后继续使用胰岛素控制血糖、伊曲康唑抗真菌治疗。随访情况如下,患者于院外规律使用胰岛素降糖治疗5个月,口服足量伊曲康唑治疗7个月,出院后情况稳定、无不适,工作生活不受影响,患者未遵医嘱返院复查肺部CT,目前偶测随机指尖血糖<10 mmol/L。

二、文献检索结果

收集到病例临床资料较完善的DKA合并低磷血症的文献15篇,病例共16例,见表1[1-15] 。病例年龄跨度较大,低磷血症的表现包括呼吸衰竭、肺活量降低、呼吸困难、气促(4例),横纹肌溶解及肌酶升高(4例),心脏骤停、心功能受损(3例),癫痫发作(2例),急性溶血(2例),疲乏、恶心、厌食(1例)以及无症状(1例)。这些症状同时或单个出现。其中2例病例未予补磷治疗血磷水平自行回升,预后良好;其余14例经补磷及对症治疗后,13例预后良好,仅1例持续昏迷。
表1 DKA合并低磷血症病例文献检索结果
第一作者 性别 年龄/岁 血磷浓度最低值 低磷血症的临床表现或相关检查结果 治疗 疗效及预后 合并症
Shilo S [1] 28 0.19 mmol/L 急性溶血性贫血 静脉补磷酸二氢钾 治疗第6日血磷
1.26 mmol/L,治疗第10日溶血指标改善
Shilo S[1] 20 0.35 mmol/L 急性溶血性贫血 未补磷 血红蛋白逐渐升高,第10日血磷升至1.45 mmol/L
Hasselstrøm
L[2]
48 接近0 mg/dL 半饱和氧分压(P50)非常低,肺动脉毛细血管楔形压升高,心室射血分数降低,出现心力衰竭 静脉补磷酸盐 患者完全恢复
Liu P Y[3] 39 0.3 mg/dL 肺活量< 300 mL,乏力,不能脱离呼吸机 静脉补磷酸钾 肌无力改善,肺活量增加,脱机拔管,完全康复
郭昆全[4] 33 0.22 mmol/L 疲乏、恶心、厌食明显,肌肉无力 125(OH)2D3
及富磷饮食
血磷升高,临床症状消失
Mégarbane
B[5]
49 0.6 mg/dL 神经系统损害:昏迷加深,癫痫发作 静脉及鼻胃管补磷 治疗后第6日意识水平和脑电图逐渐改善 双向障碍(服用锂剂)
de Oliveira IglesiasS B[6] 1 1.0 mg/dL 2次强直阵挛性癫痫发作,癫痫发作1 h后心脏骤停 静脉补磷酸氢盐 治疗后第2日脱离
通气支持,第3日
血磷升至5 mg/dL,无神经损伤
Osuka A[7] 37 0 mg/dL 心脏骤停 静脉补磷酸盐 持续昏迷 重度高甘油三酯血症
Kutlu A O[8] 11 0.42 mg/dL 无肌红蛋白尿的横纹肌溶解症,继发急性肾小管坏死 口服补磷,增加乳制品摄入 治疗第2日血磷升至2.6 mg/dL,急性肾衰竭完全治愈
周俊伟[9] 22 0.11 mmol/L 呼吸困难,肌酸激酶明显升高 静脉补磷 血磷正常 急性胰腺炎
Murakami T[10] 72 0.6 mg/dL 意识障碍加重 静脉补磷酸二氢钠 磷替代治疗8 h后,格拉斯哥昏迷评分迅速提高,血磷升高,治疗后第3日精神状态恢复正常,第10日血磷升至3.1 mg/dL
张媛[11] 9 0.32 mmol/L 无症状 未补磷 第11日血磷恢复正常
Shah S K[12] 10 0.8 mg/dL 横纹肌溶解症 补肠内磷酸盐 治疗后第3日症状缓解,第4日血磷升至3.0 mg/dL 严重营养不良
Choi H S[13] 14 0.4 mg/dL 呼吸衰竭 静脉补磷酸盐 血磷升高,自主呼吸恢复,动脉血气分析正常
肖玉聪[14] 23 0.12 mmol/L 胸闷、气促,肌酸激酶高 静脉补复合磷酸氢钾 血磷升高,肌酸激酶正常
Yoshida T[15] 52 2 mg/dL 定向障碍、心肌损害 静脉补磷酸盐 治疗后第3日定向障碍消失,第5日心电图ST段回降,出院时完全痊愈

讨论

低磷血症通常是潜在的,主要通过血清电解质检测确诊,分为轻度(0.8~1.5 mmol/L)、中度(0.5~0.8 mmol/L)和重度(< 0.5 mmol/L)。许多学者提出低磷血症的临床表现可能与细胞内磷酸盐耗竭有关[5,16 -20]。本例患者在合并DKA、烟曲霉菌肺炎的情况下并发了重度低磷血症,虽然入院时血磷正常,但细胞内可能已经存在磷酸盐耗竭,因此在给予含糖溶液及胰岛素治疗后患者血磷水平急剧下降。相关检查结果不支持维生素D或甲状旁腺素相关疾病。随着DKA的纠正,患者血磷有所上升,但仍偏低。加用抗真菌药物后,虽然肺部感染的影像学表现尚未好转,但呼吸道症状有所减轻,血磷迅速恢复。周俊伟等[9]提出重度低磷血症可能影响胰岛素与胰岛素受体的结合能力及其受体蛋白质的磷酸化,削弱胰岛素的降糖作用,这可能是本例患者在低血磷期间血糖控制不佳的因素,因此考虑低磷血症与DKA、肺部感染之间是相互影响的。本例在抗真菌治疗初期影像学表现加重,考虑与抗真菌药物剂量不足、疗程不够有关[21]
磷在细胞代谢中起重要作用,包括合成细胞反应能量来源的ATP以及调节氧从血红蛋白中解离的红细胞2,3-二磷酸甘油酸盐(2,3-DPG),ATP和2,3-DPG耗尽会导致能量储存减少和氧气输送受损,最终引发低磷血症[5,7]。复习文献显示,严重低磷血症的临床表现包括易怒、虚弱、感觉异常、癫痫发作和昏迷等神经系统功能障碍,肌肉无力和压痛、横纹肌溶解,心肌收缩能力受损、心力衰竭,血液学并发症如急性溶血以及粒细胞、血小板和红细胞功能障碍,还有急性肾衰竭、少尿等,因患者表现各异,因此易被漏诊。
在DKA及其纠正过程中发生低磷血症并不少见,目前国内尚无该发生率的具体统计值,但一项国外的研究表明DKA使用胰岛素治疗期间低磷血症的发生率高达74%[16]。DKA相关的低磷血症与不同程度的细胞内磷酸盐耗竭有关,酮体等酸性物质的刺激使胃肠功能紊乱,引发进食障碍,磷的摄入减少;高血糖渗透性利尿导致尿磷丢失;代谢性酸中毒导致磷酸盐从细胞内转移到细胞外;胰岛素导致细胞磷酸盐摄取减少和血清磷酸盐浓度下降;输注葡萄糖及大量输液导致尿磷排泄增加等[15-16]。因此,摄入不足、跨细胞移位、渗透性利尿和肾近端小管钠-磷转运体对磷的重吸收减少,导致了磷丢失,最终降低血磷水平。
烟曲霉菌是肺曲霉菌病主要的致病菌之一,除非暴露在高剂量感染分生孢子中,免疫力正常者很少会发展为肺曲霉菌病。而糖尿病患者免疫系统功能受损,机体对感染敏感,伴发DKA时烟曲霉菌还可以利用酮体作为主要能源物质[17]。因此DKA有利于烟曲霉菌在人体中的增殖、生长,促使肺曲霉菌病的发生。低磷血症与肺部感染的预后密切相关,但具体机制尚未明确[18-19]。感染时血清高浓度C反应蛋白和炎性因子介导的代谢增加可能是低磷血症的原因;低磷血症反过来可以降低白细胞趋化作用和吞噬功能,从而影响呼吸功能、增加肺炎和败血症的发生风险。Chen等(2020年)发现,急性呼吸衰竭期间低磷血症可能损害膈肌的收缩特性。营养状况或许也是低磷血症的原因之一,白蛋白水平较低的患者或者再进食营养过度患者可能更容易发生低磷血症。
低磷血症是DKA及呼吸道感染的常见合并症,但目前对其治疗仍存在争议。一方面,不少文献表明补充磷酸盐对重度低磷血症有效,甚至能挽救患者生命。另一方面,有少数病例虽未接受补磷治疗,但其血磷水平仍能自行恢复,且有研究显示低磷血症在DKA中的持续时间是有限的,补磷治疗不能改善DKA的预后。因此,目前对低磷血症的治疗仍以经验性为主,大多数情况下,轻或中度急性低磷血症可以通过增加膳食磷酸盐或口服磷酸盐制剂治疗,严重的急性低磷血症合并磷酸盐耗竭时,则需要静脉注射磷酸盐[20,22]
尽管本例患者在未接受补磷治疗的情况下低磷血症自行消失,但检索文献发现仍有部分严重病例需要接受治疗。因此,在DKA及其治疗过程中,特别是合并肺部感染时,临床医师应警惕并尽早识别严重低磷血症,避免发生危及生命的后果。
[1]
Shilo S, Werner D, Hershko C. Acute hemolytic anemia caused by severe hypophosphatemia in diabetic ketoacidosis. Acta Haematol, 1985, 73(1): 55-57.

DOI

[2]
Hasselstrøm L, Wimberley P D, Nielsen V G. Hypophosphatemia and acute respiratory failure in a diabetic patient. Intensive Care Med, 1986, 12(6): 429-431.

DOI

[3]
Liu P Y, Jeng C Y. Severe hypophosphatemia in a patient with diabetic ketoacidosis and acute respiratory failure. J Chin Med Assoc, 2004, 67(7): 355-359.

[4]
郭昆全, 杨坤, 贺聪. 糖尿病酮症酸中毒治疗过程中并发严重低磷血症一例. 郧阳医学院学报, 2005, 24(5): 316.

[5]
Mégarbane B, Guerrier G, Blancher A, et al. A possible hypophosphatemia-induced, life-threatening encephalopathy in diabetic ketoacidosis: a case report. Am J Med Sci, 2007, 333(6): 384-386.

[6]
de Oliveira Iglesias S B, Pons Leite H, de Carvalho W B. Hypophosphatemia-induced seizure in a child with diabetic ketoacidosis. Pediatr Emerg Care, 2009, 25(12): 859-861.

DOI PMID

[7]
Osuka A, Matsuoka T, Idoguchi K. Is this the worst outcome of metabolic syndrome? Hypophosphatemia and resulting cardiac arrest during the treatment of diabetic ketoacidosis with hypertriglyceridemia. Intern Med, 2009, 48(16): 1391-1395.

DOI

[8]
Kutlu A O, Kara C, Cetinkaya S. Rhabdomyolysis without detectable myoglobulinuria due to severe hypophosphatemia in diabetic ketoacidosis. Pediatr Emerg Care, 2011, 27(6): 537-538.

DOI PMID

[9]
周俊伟, 袁戈恒, 马晓伟, 等. 糖尿病酮症酸中毒合并急性胰腺炎、重度低磷血症1例. 中国糖尿病杂志, 2013, 21(5): 472-473.

[10]
Murakami T, Yoshida M, Funazo T, et al. Prolonged disturbance of consciousness caused by severe hypophosphatemia: a report of two cases. Intern Med, 2014, 53(19): 2227-2232.

[11]
张媛, 王镁, 郝宏铮. 糖尿病酮症酸中毒合并重度低磷血症一例. 山西医药杂志, 2015, 44(2): 237-238.

[12]
Shah S K, Shah L, Bhattarai S, et al. Rhabdomyolysis due to severe hypophosphatemia in diabetic ketoacidosis. JNMA J Nepal Med Assoc, 2015, 53(198): 137-140.

[13]
Choi H S, Kwon A, Chae H W, et al. Respiratory failure in a diabetic ketoacidosis patient with severe hypophosphatemia. Ann Pediatr Endocrinol Metab, 2018, 23(2): 103-106.

DOI PMID

[14]
肖玉聪, 姜鹏, 张春玲. 糖尿病酮症酸中毒诱发严重低磷血症一例. 健康之友, 2019(15): 264.

[15]
Yoshida T, Takemoto M. Impaired cardiac and neurological function with mild hypophosphatemia during insulin therapy for diabetic ketoacidosis and marked improvement with phosphate supplementation: a case report. J Diabetes Investig, 2021, 12(3): 454-458.

[16]
van der Vaart A, Waanders F, van Beek A P, et al. Incidence and determinants of hypophosphatemia in diabetic ketoacidosis: an observational study. BMJ Open Diabetes Res Care, 2021, 9(1): e002018.

DOI

[17]
Jafar N, Edriss H, Nugent K. The effect of short-term hyperglycemia on the innate immune system. Am J Med Sci, 2016, 351(2): 201-211.

DOI PMID

[18]
Fisher J, Magid N, Kallman C, et al. Respiratory illness and hypophosphatemia. Chest, 1983, 83(3): 504-508.

PMID

[19]
邓家祥, 李倩. 低磷血症与临床相关疾病的研究进展. 锦州医科大学学报, 2017, 38(4): 108-110, 112.

[20]
Felsenfeld A J, Levine B S. Approach to treatment of hypophosphatemia. Am J Kidney Dis, 2012, 60(4): 655-661.

DOI PMID

[21]
黄丽华, 刘娇, 彭雪儿, 等. 2019-2021年某肿瘤专科医院院内感染情况分析. 中山大学学报(医学科学版), 2023, 44(4): 697-703.

[22]
吴荣艳, 陈柳稚, 黄厚今. 2型糖尿病患者社区和家庭结合的综合模式干预分析. 遵义医学院学报, 2017, 40(6): 682-685.

Outlines

/