Original Research

The promoting effect of chitosan thermosensitive hydrogel complex with chitosan nanoparticles carrying BMP-2 plasmid DNA on alveolar bone regeneration in beagle dogs

  • Li Hui ,
  • Ji Qiuxia
Expand
  • Department of Stomatology, Beijing Friendship Hospital, Capital Medical University, Beijing 100000, China
Ji Qiuxia, E-mail:

Received date: 2023-08-11

  Online published: 2024-01-03

Abstract

Objective To construct the chitosan/BMP-2 plasmid thermosensitive hydrogel complex CS/CSn(pDNA-BMP2)-GP,and evaluate the effect of this composite system on alveolar bone regeneration in beagle dogs. Methods Periodontitis models were established in the second and third premolars from 4 beagle dogs. All teeth were randomly divided into three groups: CS/CSn-GP group,CS/CSn(pDNA-BMP2)-GP group and blank control group. In the CS/CSn-GP group,CS/CSn-GP was injected. In the CS/CSn(pDNA-BMP2)-GP group,CS/CSn(pDNA-BMP2)-GP was injected. In the blank control group,no material was injected. All animals were sacrificed 8 weeks later. The alveolar bone regeneration in periodontitis was observed by Masson staining. The expression of alkaline phosphatase (ALP) in bone defects was observed by calcium and cobalt staining. Results Masson staining showed that different degrees of alveolar bone regeneration was noted in the CS/CSN-GP and CS/CSn(pDNA-BMP2)-GP groups,and significant regeneration was noted in the CS/CSn(pDNA-BMP2)-GP group. Calcium and cobalt staining revealed strongly-positive ALP in the CS/CSn(pDNA-BMP2)-GP group,weakly-positive ALP in the CS/ CSN-GP group,and negative result in the blank control group. The average optical density value in the ALP-positive staining area in the CS/CSn(pDNA-BMP2)-GP group was higher than that in the CS/CSn-GP group,followed by that in the blank control group(all P < 0.05). Conclusions CS/CSn-GP composite repair system exerts positive effect on alveolar bone regeneration. Inclusion of pDNA-BMP2 can significantly promote the effect on alveolar bone regeneration.

Cite this article

Li Hui , Ji Qiuxia . The promoting effect of chitosan thermosensitive hydrogel complex with chitosan nanoparticles carrying BMP-2 plasmid DNA on alveolar bone regeneration in beagle dogs[J]. JOURNAL OF NEW MEDICINE, 2023 , 54(12) : 872 -878 . DOI: 10.3969/j.issn.0253-9802.2023.12.006

牙周病作为成人缺牙的主要原因,主要是指由牙周致病菌感染所引起的,发生在牙周支持组织的慢性细菌性感染性疾病,在全球范围内普遍存在[1-4]。牙周病导致的口腔内微生物稳态的破坏,还可能增加各种全身疾病的发生风险,例如类风湿性关节炎、结肠炎、系统性红斑狼疮、心肌梗死和阿尔茨海默病等[5-8]。因此,有效治疗牙周炎并促进牙周组织再生对人类健康至关重要。传统的牙周治疗包括基础治疗、手术治疗、全身和局部施用抗生素等,在恢复牙周组织的生理结构和功能上,受主动诱导组织再生修复能力缺失的影响,均无法实现理想的牙槽骨再生效果[9]。在分子生物学、细胞生物学、组织工程技术有着更深入研究的背景下,在促进牙槽骨再生方面,联合使用组织工程和基因靶向治疗及干细胞归巢技术广受期望。本研究拟构建壳聚糖/BMP-2质粒温敏水凝胶复合修复体系CS/CSn(pDNA-BMP2)-GP,研究该复合体系在犬牙槽骨再生中的作用。

材料与方法

一、材料

1. 动物

4只29月龄比格犬,体质量15~16 kg,购自青岛博隆实验动物有限公司。

2. 试剂与仪器

三聚磷酸钠(TPP,医药级,含量99%)购自上海精细化工材料研究所;pDNA-BMP2购自青岛大学医学院中心实验室;多聚甲醛粉、α,β-GP(分析纯)购自国药集团化学试剂有限公司;壳聚糖(医级,脱乙酰度90%)购自桓台县金湖甲壳制品有限公司;SM2000R型病理组织切片机(Leica Biosystems,德国)。本研究已获得青岛大学医学院附属医院伦理委员会批准。

二、方法

1. CS/CSn-GP支架与CS/CSn(pDNA-BMP2)-GP复合支架的制备

①称取0.1 g CS,用0.1 mol/L乙酸定容至100 mL,搅拌1 h,得到1 mg/mL的CS溶液。②称取0.1 g的TPP,用三蒸水定容至100 mL,得到1 mg/mL 的TPP溶液。③吸取0.5 mL的TPP(aq)和5 mL的CS(aq),质量比为1∶10,进行搅拌,时长为0.5 h,然后进行5 min超声震荡,静置15 min,进行过滤处理,获得无菌CSn溶液。④取1 μL pDNA-BMP2与10 μL CSn加入Eppendorf管中,室温下均匀漩涡30 s,即可制备成N/P等于5∶1的CSn (pDNA-BMP2)。⑤取0.2 g CS,加入8 mL的0.1 mol/L乙酸,使用磁力搅拌器进行搅拌,持续时长为2 h,待充分溶解后进行除杂,过滤,使用高压蒸汽进行灭菌(设置的条件为121 ℃,10 min),置入4 ℃冰箱保存;使用2 mL双蒸水溶解0.56 g α,β-GP,而后磁力搅拌器持续搅拌5min至充分溶解,使用滤膜(孔径为0.22 μm)过滤后,在4 ℃冰箱中保存滤液。对以上两种溶液,进行15 min的冰浴,然后以2∶8的比例,在CS溶液中逐滴加入α,β-GP与CS溶液,并进行10 min的持续搅拌,就能够获得质量浓度为2%的CS溶液和5.6%质量浓度的α,β-GP凝胶溶液。溶胶经37 ℃的恒温水浴后,转变为凝胶,形成Cs/α,β-GP温敏水凝胶。⑥取适量CS/CSn(pDNA-BMP2),加入Cs/α,β-GP温敏水凝胶中,进行磁力搅拌,使得纳米粒能够均匀散布,从而实现CS/CSn(pDNA-BMP2)-GP复合体系的制备。⑦使用等量的去离子水,替代以上制备中使用的pDNA-BMP2,不变动其他步骤,就可实现CS/CSn-GP复合修复体系的制备。

2. CS/CSn-GP复合支架系统及CS/CSn(pDNA-BMP2)-GP复合修复体系的性质检测

扫描电镜观察:取少量的CS/CSn-GP溶液真空喷金,对表面形态进行检测并拍照。
温敏性测定:制备CS/CSn-GP复合支架系统及CS/CSn(pDNA-BMP2)-GP复合修复体系,采用试管倒置法检测水凝胶在室温37 ℃时的溶胶-凝胶转变。

3. 实验动物模型的建立及分组

根据Kim等[10]建模方法建立第二、三前磨牙牙周炎模型。从4只比格犬第二、三前磨牙(共32颗牙,16象限)选取15个象限的30颗牙齿随机分成3组:每个象限内牙齿为同一组,每组包含5个象限的10颗牙齿,A组为CS/CSn (pDNA-BMP2) -GP组(n=10),B组为CS/CSn-GP组(n=10),C组为空白对照组(n=10)。实验使用的各种器械进行高压消毒,动物称重后,速眠新Ⅱ 0.4~0.8 mg/kg肌注麻醉。对口内、口外使用碘酊进行消毒,铺无菌巾,对实验牙行翻瓣术,翻开黏膜骨膜瓣至前庭沟,对根面作平整处理,对残留肉芽组织进行去除,结合分组的差异,置入相应材料。A组注入CS/CSn(pDNA-BMP2)-GP复合体,B组注入CS/CSn-GP复合体,C组作为空白对照组仅做手术,不注入任何修复材料,组织瓣冠向复位,以4-0号线缝合。在术后5 d内,连续肌注青霉素2×106单位,以避免发生感染;流质软食喂养1周,以避免术区受到咬合力的影响。术后8周,处死实验犬,取颌骨,标本分切,常规4%多聚甲醛固定。行Masson染色观察新生骨组织。行钙钴法测定ALP强度表达。

三、统计学处理

采用SPSS 19.0和GraphPad Prism 5.0进行统计分析。正态分布定量资料用$\bar{x}±s$表示,多组间比较采用单因素方差分析,两两比较采用LSD法。α=0.05(双侧)。

结果

一、扫描电镜观察

扫描电镜(图1)可见,CSn纳米粒为规则球形,在复合体系中分散性好。
图1 CS/CSn-GP扫描电镜图像

二、温敏性测定

CS/CSn-GP和CS/CSn(pDNA-BMP2)-GP复合修复体系溶胶-凝胶转变速率与温度、时间的关系见表1。在25 ℃下,CS/CSn-GP和CS/CSn(pDNA-BMP2)-GP复合修复体系可长时间保持溶胶状,而在37 ℃下,3 min内就能够向凝胶状转变。
表1 CS/CSn-GP和CS/CSn(pDNA-BMP2)-GP复合修复体系在 25 ℃和 37 ℃的成胶时间
修复体 25 ℃ 37 ℃
1 min 3 min 5 min 7 min 1 min 3 min 5 min 7 min
CS/CSn-GP + + +
CS/CSn(pDNA-BMP2)-GP + + +

注:-表示不成胶,+表示成胶。

试管倒置法测定CS/CSn-GP和CS/CSn(pDNA-BMP2)-GP合修复体系溶胶-凝胶转变的实验结果见图2。在25 ℃下,CS/CSn-GP和CS/CSn(pDNA-BMP2)-GP复合修复体系可长时间保持溶胶状,在37 ℃下,能够向凝胶状转变(图2B、D)。
图2 修复体溶胶-凝胶转变的实验结果

注:A为25 ℃时CS/CSn-GP复合修复体系,B为37 ℃ 时CS/CSn-GP复合修复体系,C为25 ℃ 时CS/CSn(pDNA-BMP2)-GP复合修复体系,D为37 ℃ 时 CS/CSn(pDNA-BMP2)-GP复合修复体系。

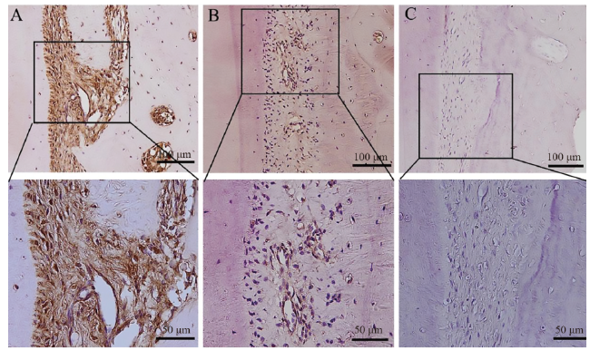
三、Masson染色结果

Masson染色结果见图3。CS/CSn(pDNA-BMP2)-GP组(图3A)具有更多的新生骨(NB)、新生牙周膜(PDL)。平行排列的新生沙比纤维(SF)插入新生牙槽骨内。而CS/CSn-GP组(图3B)只见少量NB形成,及少量的SF,空白对照组(图3C)只见极少NB生成,SF极少。
图3 Masson染色结果

注:A为CS/CSn(pDNA-BMP2)-GP组,B为CS/CSn-GP组,C为空白对照组;NB为新生骨,PDL为新生牙周膜,SF为新生沙比纤维,CV为毛细血管;上图:×100,下图:×200。

NB及PDL高度统计结果见图4。CS/CSn(pDNA-BMP2)-GP组NB高度最高,CS/CSn-GP组次之,空白对照组最低,两两比较差异均有统计学意义(P均< 0.05)。CS/CSn(pDNA-BMP2)-GP组与CS/CSn-GP组PDL高度无统计学差异(P > 0.05),而2组与空白对照组相比,差异均有统计学意义(P均< 0.01)。
图4 3组NB及PDL高度统计图

注:*P < 0.05,**P < 0.01,ns P > 0.05。

四、ALP活性测定

钙钴法染色结果见图5。ALP阳性部位被染为深棕色或黑色,CS/CSn(pDNA-BMP2)-GP组(图5A)与CS/CSn-GP组(图5B)同空白对照组(图5C)相比较,ALP阳性部位有着更明显的着色。CS/CSn(pDNA-BMP2)-GP 组与CS/CSn-GP组相比较,ALP阳性部位有着更明显的着色,呈深棕黑色。
图5 钙钴法染色结果

注:A为CS/CSn(pDNA-BMP2)-GP组,B为CS/CSn-GP组,C为空白对照组;上图:×100,下图:×200。

3组ALP阳性部位的平均光密度(AOD)统计结果见图6。结果表明:CS/CSn(pDNA-BMP2)-GP 组最高,CS/CSn-GP组次之,空白对照组最低,两两比较差异均有统计学意义(P < 0.05)。
图6 3组ALP阳性部位的AOD统计结果

注:* P < 0.05,**P < 0.01。

讨论

在组织再生领域内,可原位注射和生物降解的温敏水凝胶应用非常广泛[11]。它主要有以下优点:第一,温敏水凝胶在室温状态下为稳定流体状,而在机体体温下,水凝胶会由流体变为胶体。故而,在局部治疗中,只需要利用注射器就能够向病变位置进行温敏水凝胶的靶向注入,无需进行手术,使得手术创伤能够尽可能地减轻,让患者获得更好的舒适度和接受度。第二,对注射型生物材料尤为重要的是,流体状的温敏水凝胶能够随着注射位置的变化而形成不定形水凝胶,从而避免受形状不规则的影响发生机体损伤。第三,载药性温敏水凝胶能够实现对药物的持续缓释,不只是在改善药物不良反应及减少给药次数上有积极效果,对提升治疗靶向性、改善患者的舒适度等也有着积极作用。在组织工程技术进一步发展的背景下,在基因传递载体的研究中,纳米粒的研究是热点。作为天然的阳离子多糖,壳聚糖的生物相容性良好,可与DNA有效结合,对DNA能够起到保护作用,以免被核酸酶降解,故而是非病毒基因传递的理想载体之一[12-14]。壳聚糖纳米粒的制备,可运用的方法较多,具体有共价交联法、乳化交联法、离子交联法、去溶剂法、大分子复合法[15-16]。其中,离子交联法采用TPP交联剂对壳聚糖进行离子诱导,进行壳聚糖纳米粒的制备。离子交联法在室温条件下就可实现,具有较好的可行性,反应条件温和,不需要使用到有机溶剂,制备出的纳米粒在粒径上可调且尺寸均一,是最多使用到的一种制备方法[17]。在本研究中,采用离子交联法制备CS/CSn-GP和CS/CSn(pDNA-BMP2)-GP复合修复体系。
骨组织工程的构成三要素是生长因子、细胞和支架。其中,生长因子和支架有着重要作用。作为骨缺损修复治疗应用的一种新方法,骨组织工程在临床上也获得应用。BMP2在体内诱导中体现出强大的作用,已被看作是有着最强大骨诱导能力的一种生长因子,也是可单独诱导骨组织形成的仅有的一种局部生长因子[18]。但因其极易被降解和变性的特点,目前临床应用较为局限。纳米微球(NPs)的显著特征是表面积大、直径小,能够为药物突破生物屏障及穿透细胞膜并积聚至目标位置带来帮助,使得药物具有更高的利用率及更强的靶向作用,故而在药物输送系统中有着良好作用[19-20]
采用试管倒置法对CS/CSn-GP和CS/CSn(pDNA-BMP2)-GP复合修复体系温敏性进行检测表明,在25 ℃下,两者均为溶胶状,而在37 ℃下,3 min内两者就能够向凝胶状转变。反映出CS/CSn-GP复合支架的温敏性良好,而CSn(pDNA-BMP2)的加入对温敏性并不存在影响。壳聚糖具有的矩阵结构对细胞增殖具有积极影响,能够使得细胞微环境中壳聚糖的浓度保持在较高水平,从而使得基因的表达获得延长,并使得基因治疗具有更好效果[21]。如果CS/CSn(pDNA-BMP2)-GP复合修复体系由溶液变成水凝胶,常规孔和多孔结会构成交联网络。水凝胶显现出的形态特征,对水和小分子的自由移动是有利的。扫描电镜显示,在支架中CSn(pDNA-BMP2)呈均布状,并嵌入支架支柱内,反映出CSn(pDNA-BMP2)与支架有着紧密的结合。纳米粒子和支架的三维结构,能够对pDNA-BMP2起到保护作用,避免发生快速扩散与降解。充分表明,CS/CSn(pDNA-BMP2)-GP复合修复体系是潜力巨大的基因载体支架系统。
部分研究显示,对PCLDs增殖及向成骨方向分化,BMP-2能够起到诱导作用,如果将BMP-2 与材料复合,进行细胞支架的制备,能够显著改善牙周再生效率,而它功能的发挥,主要依赖的是改善细胞的ALP活性,提高骨钙蛋白和胶原蛋白含量[22]。对成骨细胞的分化趋势,ALP水平的高低可予以客观表征。在本实验中,应用CS/CSn(pDNA-BMP2)-GP复合修复体系后,与其他2组相比较,ALP活性明显更高;在仅应用CS/CSn-GP组的情形下,与空白对照组相比较,ALP活性更高。反映出,在促进牙槽骨再生方面,CS/CSn-GP复合修复体系有着良好的能力,包载pDNA-BMP2后,能够显著提升成骨能力;此外,在CS/CSn-GP复合修复体系与一定量的BMP-2复合后,Masson染色观察到在8周有出现明显的新生牙槽骨样结构,反映出牙周膜细胞受成骨诱导因子的刺激作用,在支架中实现成骨向分化,且有着明显的效果。故而说明,CS/CSn-GP复合修复体系是pDNA-BMP2的良好载体。
本实验表明:CS/CSn-GP复合修复体系对牙槽骨再生有着积极影响,包载pDNA-BMP-2后,有着更显著的促牙槽骨再生作用。本研究对在牙周骨组织缺损修复中应用CS/CSn(pDNA-BMP2)-GP 复合体系的可行性问题作了初步分析,为后期实验奠定了基础。
[1]
Eke P I, Dye B A, Wei L, et al. Prevalence of periodontitis in adults in the United States: 2009 and 2010. J Dent Res, 2012, 91(10): 914-920.

PMID

[2]
Chen Y, Zhu B L, Wu C C, et al. Periodontal disease and tooth loss are associated with lung cancer risk. Biomed Res Int, 2020, 2020: 5107696.

[3]
Kinane D F, Stathopoulou P G, Papapanou P N. Periodontal diseases. Nat Rev Dis Primers, 2017, 3: 17038.

DOI PMID

[4]
Otomo-Corgrl J, Pucher J J, Rethman M P, et al. State of the science: chronic periodontitis and systemic health. J Evid Based Dent Pract, 2012, 12(3 Suppl): 20-28.

DOI PMID

[5]
Nemesh O M, Honta Z M, Slaba O M, et al. Pathogenetic mechanisms of comorbidity of systemic diseases and periodontal pathology. Wiad Lek, 2021, 74(5): 1262-1267.

PMID

[6]
Pessoa L, Aleti G, Choudhury S, et al. Host-microbial interactions in systemic lupus erythematosus and periodontitis. Front Immunol, 2019, 10: 2602.

DOI PMID

[7]
Sanz M, Del Castillo A M, Jepsen S, et al. Periodontitis and cardiovascular diseases. consensus report. Glob Heart, 2020, 15(1): 1.

[8]
Zhang Y, Chen J, Fu H, et al. Exosomes derived from 3D-cultured MSCs improve therapeutic effects in periodontitis and experimental colitis and restore the Th 17 cell/Treg balance in inflamed periodontium. Int J Oral Sci, 2021, 13(1): 43.

DOI PMID

[9]
Moeintaghavi A, Talebi-ardakani M R, Haerian-ardakani A, et al. Adjunctive effects of systemic amoxicillin and metronidazole with scaling and root planing: a randomized, placebo controlled clinical trial. J Contemp Dent Pract, 2007, 8(5): 51-59.

PMID

[10]
Kim S E, Lee E R, Lee Y, et al. A modified method for inducing periodontitis in dogs using a silk-wire twisted ligature. J Vet Sci, 2012, 13(2): 193-197.

PMID

[11]
Steinberg D, Friedman M. Sustained-release delivery of antimicrobial drugs for the treatment of periodontal diseases: fantasy or already reality? Periodontol 2000, 2020, 84(1): 176-187.

DOI

[12]
林继宗, 陈署贤, 胡昆鹏, 等. 大鼠骨髓间质干细胞与两种壳聚糖支架相容性的对比实验研究. 新医学, 2010, 41(7): 468-471, 491.

[13]
Morris V B, Sharma C P. Folate mediated histidine derivative of quaternised chitosan as a gene delivery vector. Int J Pharm, 2010, 389(1-2): 176-185.

DOI

[14]
Chuan D, Jin T, Fan R, et al. Chitosan for gene delivery: methods for improvement and applications. Adv Colloid Interface Sci, 2019, 268: 25-38.

DOI

[15]
Wu J, Wei W, Wang L Y, et al. Preparation of uniform-sized pH-sensitive quaternized chitosan microsphere by combining membrane emulsification technique and thermal-gelation method. Colloids Surf B Biointerfaces, 2008, 63(2): 164-175.

DOI

[16]
Chang S J, Niu G C, Kuo S M, et al. Preparation and preliminary characterization of concentric multi-walled chitosan microspheres. J Biomed Mater Res A, 2007, 81(3): 554-566.

PMID

[17]
Pan J, Li Y, Chen K, et al. Enhanced physical and antimicrobial properties of alginate/chitosan composite aerogels based on electrostatic interactions and noncovalent crosslinking. Carbohydr Polym, 2021, 266: 118102.

DOI

[18]
Wendler J, Vallejo L F, Rinas U, et al. Publisher Correction to: application of an SPR-based receptor assay for the determination of biologically active recombinant bone morphogenetic protein-2. Anal Bioanal Chem, 2022, 414(22): 6707.

DOI PMID

[19]
Tian J, Xu S, Deng H, et al. Fabrication of self-assembled chitosan-dispersed LDL nanoparticles for drug delivery with a one-step green method. Int J Pharm, 2017, 517(1-2): 25-34.

DOI

[20]
Tan T, Yang Q, Chen D, et al. Chondroitin sulfate-mediated albumin corona nanoparticles for the treatment of breast cancer. Asian J Pharm Sci, 2021, 16(4): 508-518.

DOI PMID

[21]
Centelles M N, Isasi J R, Qian C, et al. Influence of the chitosan nature on the transfection efficacy of DNA-loaded nanoparticles after hydrodynamic administration in mice. J Microencapsul, 2010, 27(5): 460-469.

DOI PMID

[22]
Kim S E, Yun Y P, Han Y K, et al. Osteogenesis induction of periodontal ligament cells onto bone morphogenic protein-2 immobilized PCL fibers. Carbohydr Polym, 2014, 99: 700-709.

DOI

Outlines

/