Case Research

AIDS complicated with Salmonella Typhi subdural abscess: a case report

  • Li Xiang ,
  • Qi Min ,
  • Fu Xuwen ,
  • Li Haiwen ,
  • Chen Haiyun
Expand
  • The Third People Hospital of Kunming City/Yunnan Clinical Medical Center for Infectious Diseases, Kunming 650041, China
Chen Haiyun, E-mail:

Received date: 2023-07-28

  Online published: 2024-04-08

Abstract

Subdural abscesses are located between the dura mater and the subarachnoid space, which are primarily caused by Staphylococci and Streptococci, etc. Subdural abscesses caused by Salmonella Typhi are extremely rare. In this article, a patient with acquired immunodeficiency syndrome (AIDS) presented with a subdural abscess with fever and headache. Blood culture and next-generation sequencing (NGS) of cerebrospinal fluid were indicative of Salmonella Typhi infection. He was treated with sensitive antibiotics based on drug sensitivity testing combined with surgical drainage, and Salmonella Typhi was cultured in the drainage sample. During 4-month postoperative follow-up, relevant symptoms were mitigated and imaging examination results were normal. This case prompts that intracranial infection caused by Salmonella Typhi is extremely rare, which can occur in immunocompromised population. Blood culture, pus culture and NGS are of significant value in differential diagnosis of Salmonella Typhi infection. After the diagnosis is confirmed, sensitive antibiotics combined with surgical treatment can achieve high efficacy.

Cite this article

Li Xiang , Qi Min , Fu Xuwen , Li Haiwen , Chen Haiyun . AIDS complicated with Salmonella Typhi subdural abscess: a case report[J]. JOURNAL OF NEW MEDICINE, 2024 , 55(3) : 238 -242 . DOI: 10.3969/j.issn.0253-9802.2024.03.016

沙门菌属是一类通过受污染食物传播的兼性厌氧革兰阴性菌,根据临床感染症状,分为伤寒和非伤寒沙门菌感染,其侵入人体造成感染,通常造成胃肠道感染,发生在中枢神经系统的少见,常表现为脑膜炎,表现为硬膜下脓肿罕见[1-3]。本文报道一例合并HIV感染,以发热、头痛为主要表现的伤寒杆菌所致的硬膜下脓肿,通过敏感抗生素治疗联合外科脓肿引流得到治愈,旨在提高临床医师对该病的认识水平,达到及时诊断和治疗的目的。

病例资料

一、主诉与病史

患者男,43岁。因间断发热、头痛2个月,头痛加重伴反应迟钝1周,于2020年9月14日收入我科。患者2个月来间断发热,发热多在夜间,最高体温39 ℃,发热时感头痛,无恶心、呕吐,1周前自觉头痛加重,反应迟钝,记忆力下降,站立困难,步态不稳。患者自起病以来,体质量下降10 kg。患者既往有静脉吸毒史,3 d前在当地疾病控制与预防中心检测HIV抗体,初筛结果呈阳性。患者父母健在,否认家族遗传病史。

二、体检检查、实验室检查与辅助检查

患者入院体格检查:体温36.5 ℃,脉搏55次/分,呼吸22次/分,血压109/60 mmHg(1 mmHg=0.133 kPa)。患者一般情况差,精神萎靡,消瘦,神志清晰,反应慢,记忆力下降,无法回忆银行卡密码及家庭住址门牌号码,对光反射迟钝,口腔见白色伪膜,颈抵抗,生理反射存在,病理反射未引出。
入院后实验室检查:外周血白细胞总数3.77×109/L[参考值范围(3.97~9.15)×109/L],中性粒细胞计数2.34×109/L[参考值范围(2.40~7.60)×109/L],嗜酸性粒细胞计数0×109/L[参考值范围(0~0.1)×109/L],淋巴细胞1.09×109/L[参考值范围(0.80~4.00)×109/L];超敏CRP 118.15 mg/L(参考值范围0~6 mg/L),血清淀粉样蛋白A 440.7 mg/L(参考值范围0~10 mg/L),IL-6 39.34 pg/L(参考值范围0~7 pg/L);ESR 140 mm/h(参考值范围0~20 mm/h);CD4+ T淋巴细胞计数158.55 /μL(参考值范围410~1 590 /μL)。脑脊液蛋白1 298.2 mg/L(参考值范围80~430 mg/L),脑脊液葡萄糖1.64 mmol/L(参考值范围2.2~3.9 mmol/L),脑脊液氯化物124.7 mmol/L(参考值范围118~132 mmol/L),脑脊液白细胞50×106/L(参考值范围0~8×106/L),脑脊液球蛋白阳性。HIV RNA 4.26×106 copies/mL;全自动加抗血培养伤寒沙门菌阳性,对氨苄西林、哌拉西林、头孢唑啉、阿米卡星、庆大霉素、四环素耐药,阿莫西林/克拉维酸钾、头孢他啶、头孢曲松钠、头孢吡肟、阿奇霉素、厄他培南、亚胺培南、美罗培南、环丙沙星、复方磺胺甲唑、哌拉西林/他唑巴坦、头孢哌酮/舒巴坦、头孢西丁、头孢噻肟、头孢呋辛、氯霉素敏感,左氧氟沙星、呋喃妥因、氨苄西林/舒巴坦中介。肥达试验及外斐反应阴性。脑脊液下一代测序(NGS)检出沙门菌属肠沙门菌,序列数为4。
入院影像学检查:肺部CT提示双肺内多发斑片状影,考虑为肺部感染。颅脑CT提示左侧额顶部骨质内板下新月形稍低密度影,CT值约29 Hu,邻近脑实质受压、脑沟变浅,左侧侧脑室受压缩小,左侧额叶内结节状高密度影,周围未见水肿(图1A)。颅脑MRI提示左侧额顶部骨质内板下新月形异常信号影,其内可见液-液平面,其腹侧呈低T1加权像(T1WI)、高T2WI信号影,T2液体抑制反转恢复序列(FLAIR)呈低信号影,其背侧呈等T1WI、稍高T2WI信号影(图1BC),弥散加权成像(DWI)可见新月形异常信号背侧部分弥散受限(图1D),表观弥散系数(ADC)值约为774×10-6 mm2/s,增强扫描左侧额顶部硬脑膜明显强化,左侧额顶叶软脑膜轻度强化(图1EF)。
图1 一例艾滋病合并伤寒沙门菌感染致硬膜下脓肿患者入院影像学检查结果

注:检查时间为2020年9月22日。A为颅脑CT平扫,示左侧额顶部骨质内板下新月形稍低密度影(白箭头);B、C为颅脑MRI平扫T2WI及T1WI,示左侧额顶部骨质内板下新月形异常信号,其内可见液-液平面(白箭头);D为DWI,示新月形异常信号影背侧部分弥散受限;E、F为颅脑MRI T1WI增强矢状位及冠状位重建,示左侧额顶部硬脑膜明显强化(白箭头),左侧额顶叶软脑膜轻度强化(黑箭头)。

三、治疗与转归

考虑患者为伤寒沙门菌引起的颅内感染,给予甘露醇脱水治疗、美罗培南抗感染治疗,使用美罗培南注射液2 g,每日3次,连续使用2周。2020年10月5日,行左侧额顶部硬膜下脓肿颅骨钻孔引流术,引流物为灰白色脓液,引流物培养为伤寒沙门菌。
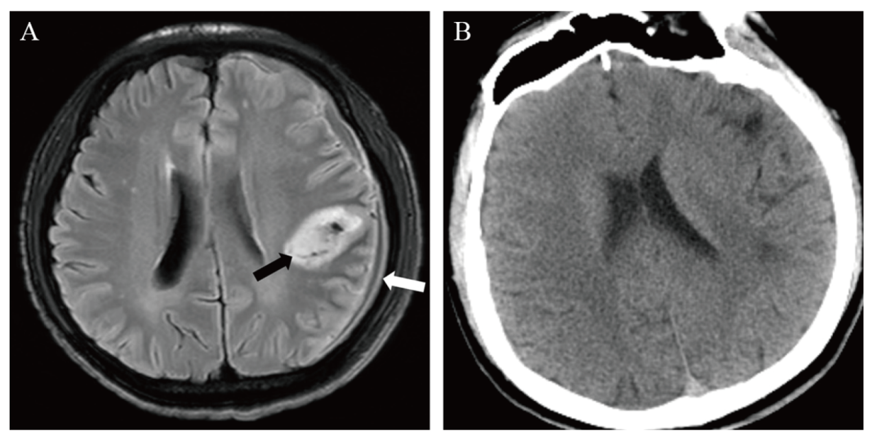
术后患者头痛缓解,术后12 d(2020年10月17日)脑脊液检查提示,蛋白246.6 mg/L(参考值范围80~430 mg/L),葡萄糖2.33 mmol/L(参考值范围2.2~3.9 mmol/L),氯化物132.4 mmol/L(参考值范围118~132 mmol/L),白细胞22×106/L(参考值范围0~8×106/L),球蛋白阳性。2020年10月20日复查颅脑MRI,提示左侧额顶部骨质内板下异常信号影范围明显缩小,额顶部硬脑膜及额顶叶软脑膜增厚,左侧顶叶片状低T1WI、高T2WI信号,提示脑实质水肿(图2A)。患者病情好转后出院。2021年2月5日,患者返院随访,未述不适,入院体格检查:患者神志清晰,反应正常,口腔未见白色伪膜,颈软无抵抗,生理反射存在,病理反射未引出。入院后实验室检查:超敏CRP 1.89 mg/L,血清淀粉样蛋白A 4.1 mg/L,IL-6 2.73 pg/L,ESR 16 mm/h,CD4+ T淋巴细胞计数242.75 /μL(参考值范围410~1 590 /μL),HIV RNA 检测阴性。复查颅脑CT示,左侧额顶部硬膜下低密度影完全消失,脑实质内未见异常密度(图2B)。
图2 一例艾滋病合并伤寒沙门菌感染致硬膜下脓肿患者随访影像学检查结果

注:A为颅脑MRI平扫T2FLAIR,检查时间为2020年10月20日,示左侧额顶部骨质内板下少许低信号影(黑箭头),左侧额顶部硬脑膜增厚(白箭头),左侧额顶叶软脑膜增厚;B为颅脑CT平扫,检查时间为2021年2月5日,左侧额顶部骨质内板下未见异常密度,脑实质内未见异常密度。

讨论

伤寒沙门菌属于沙门菌属,其感染是一个全球的公共卫生问题,每年有大约1 000万新发病例,并造成超过10万人的死亡[4]。在亚洲,伤寒沙门菌感染病例主要集中在南亚次大陆[5]。在中国,2020年伤寒发病率约为0.38/100 000,且发病率逐年下降[6]。在中国南方地区,伤寒沙门菌感染逐渐被甲型副伤寒感染取代[5]。虽然非伤寒沙门菌是HIV感染患者血培养阳性主要病原体之一[7]。WHO将沙门菌引起的菌血症定义为艾滋病指向性疾病[8]。HIV患者伤寒沙门菌感染报道却很少见,在南非HIV患者伤寒发病率约为1.1/100 000,在越南HIV患者合并伤寒感染也出现逐渐下降趋势[9-10]
伤寒沙门菌通过粪口传播,细菌在肠道内通过肠系膜淋巴结到达血液播散至全身,通常引起肠道的感染,在免疫低下人群中可引起肠外的感染[11-12]。伤寒的诊断依赖于PCR和血培养,但血培养灵敏度较低,近年来,NGS技术在伤寒的诊断上也有一定程度的应用[13]。HIV患者中,中枢神经系统感染常见病原体有结核分枝杆菌、新型隐球菌和弓形虫等,但发生硬膜下脓肿少见。本文患者突发中枢神经系统症状,血常规提示嗜酸性粒细胞计数为0,临床考虑存在伤寒沙门菌感染的可能,通过血培养检出沙门菌,但硬膜下脓肿的病原体有待进一步的检查,既往有报道沙门菌引起硬膜下脓肿的病例,但未报道具体细菌[14]。HIV感染者的T淋巴细胞免疫功能低下,为伤寒沙门菌引起肠外感染的危险因素。本文患者最后通过硬膜下脓肿引流NGS及培养结果确诊,虽然脑脊液NGS沙门菌序列数为4,但因为该细菌为胞内菌,NGS检测效能相对较低,尤其是在脑脊液中检出,故结合临床及其他实验室检查,仍具有较高的临床诊断价值[15]
硬膜下脓肿在成人可由血源性感染引起[16]。本文患者血培养阳性,且无颅脑外伤、中耳、牙周、面部感染等,故推测其为血行感染。硬膜下脓肿早期临床症状缺乏特异性,表现为发热、头痛等,故影像学检查在其诊断中具有较重要的价值,CT和MRI表现为硬膜下区域低密度影和低T1WI、高T2WI信号[16]。本例患者在CT检查中表现为硬膜下等低混合密度影,其等密度成分为脓液,而MRI表现也出现了液-液平面,其CT表现为等密度影成分在MRI上出现弥散受限,增强扫描可见患侧硬脑膜的明显强化,符合硬膜下脓肿的诊断。
在治疗上,敏感抗菌药物的使用尤为重要,喹诺酮类、阿奇霉素、头孢菌素和氯霉素均可选用,其中头孢曲松钠、头孢他啶具有很好的疗效[17-18]。有研究发现沙门菌多重耐药率高达76.56%[19]。考虑到药物不良反应、可及性及细菌耐药的问题,故在临床上多选用三代头孢菌素类、氟喹诺酮类和碳青霉烯类药物。本文患者使用美罗培南进行抗菌治疗,该药抗菌活性强、抗菌谱广,是低免疫状态患者敏感菌导致的颅内感染患者推荐用药。除敏感抗菌药物的应用外,硬膜下脓肿还应行手术治疗以清除病灶及解除对脑组织的压迫[16]。本文患者在抗生素联合外科引流的治疗下,症状改善、感染指标好转,复查影像学脓肿消失,仅可见硬脑膜的增厚征象。
伤寒沙门菌引起的颅内感染罕见,可见于免疫功能低下人群,血培养、脓液培养和NGS对于鉴别该病原体感染有重要的价值,确诊后选用敏感抗生素结合外科治疗,可获得良好的疗效。
[1]
Wen S C, Best E, Nourse C. Non-typhoidal Salmonella infections in children: review of literature and recommendations for management[J]. J Paediatr Child Health, 2017, 53(10): 936-941.

DOI

[2]
Belloso W H, Romano M, Greco G S, et al. Recurrent meningitis and subarachnoid hemorrhage due to salmonella in an HIV+ patient: case report and mini-review of the literature[J]. Open AIDS J, 2011, 5: 62-66.

DOI PMID

[3]
Ahmed T, Ahmed T. Salmonella meningitis complicated by ventriculitis and brain abscesses in an HIV positive adult patient[J]. Cureus, 2020, 12(10): e11223.

[4]
Collaborators G 2 T A P. The global burden of typhoid and paratyphoid fevers: a systematic analysis for the Global Burden of Disease Study 2017[J]. Lancet Infect Dis, 2019, 19(4): 369-381.

DOI PMID

[5]
Wain J, Hendriksen R S, Mikoleit M L, et al. Typhoid fever[J]. Lancet, 2015, 385(9973): 1136-1145.

DOI PMID

[6]
高玺玉, 汤巧雨, 刘凤凤, 等. 2004—2020年中国伤寒/副伤寒流行病学特征分析[J]. 中华流行病学杂志, 2023, 44(5): 743-750.

Gao X Y, Tang Q Y, Liu F F, et al. Epidemiological characteristics of typhoid fever and paratyphoid fever in China, 2004-2020[J]. Chin J Epidemiol, 2023, 44(5): 743-750.

DOI PMID

[7]
张可依, 黄曦悦, 石明巧, 等. HIV合并血流感染者病原菌分布及临床特征分析[J]. 中国艾滋病性病, 2019, 25(2): 187-188.

Zhang K Y, Huang X Y, Shi M Q, et al. Distribution and clinical characteristics of pathogenic bacteria in HIV patients with bloodstream infection[J]. Chin J AIDS STD, 2019, 25(2): 187-188.

[8]
Meremo A, Mshana S E, Kidenya B R, et al. High prevalence of Non-typhoid salmonella bacteraemia among febrile HIV adult patients admitted at a tertiary Hospital, North-Western Tanzania[J]. Int Arch Med, 2012, 5(1): 28.

DOI PMID

[9]
Keddy K H, Sooka A, Smith A M, et al. Typhoid fever in South Africa in an endemic HIV setting[J]. PLoS One, 2016, 11(10): e0164939.

[10]
Nga T V, Parry C M, Le T, et al. The decline of typhoid and the rise of non-typhoid salmonellae and fungal infections in a changing HIV landscape: bloodstream infection trends over 15 years in southern Vietnam[J]. Trans R Soc Trop Med Hyg, 2012, 106(1): 26-34.

DOI

[11]
谢磊, 王佳, 丁曼琳, 等. 伤寒感染的保护性免疫机制及疫苗研究进展[J]. 重庆医学, 2022, 51(10): 1778-1782.

Xie L, Wang J, Ding M L, et al. Research advances in immunoprotective mechanisms of typhoid infection and vaccine development[J]. Chongqing Med, 2022, 51(10): 1778-1782.

[12]
袁婷, 龙云铸, 谭琴, 等. 伤寒杆菌致感染性腹主动脉瘤合并腹腔脓肿1例[J]. 传染病信息, 2022, 35(6): 570-573.

Yuan T, Long Y Z, Tan Q, et al. A case report of infectious abdominal aortic aneurysm with abdominal abscess caused by Salmonella typhi[J]. Infect Dis Inf, 2022, 35(6): 570-573.

[13]
钱奕亦, 朱逸敏, 马逸珉, 等. 分子检测快速诊断伤寒沙门菌血流感染一例[J]. 中华传染病杂志, 2018, 36(1): 48-49.

Qian Y Y, Zhu Y M, Ma Y M, et al. A case of rapid diagnosis of Salmonella typhi bloodstream infection by molecular detection[J]. Chin J Infect Dis, 2018, 36(1): 48-49.

[14]
贺小桔, 张生梅, 陈婉秋, 等. 沙门菌感染致硬膜下脓肿一例[J]. 中华传染病杂志, 2021, 39(12): 761-762.

He X J, Zhang S M, Chen W Q, et al. A case of subdural abscess caused by Salmonella infection[J]. Chin J Infect Dis, 2021, 39(12): 761-762.

[15]
《中华传染病杂志》编辑委员会. 中国宏基因组学第二代测序技术检测感染病原体的临床应用专家共识[J]. 中华传染病杂志, 2020, 38(11): 681-689.

Editorial Board of the Chinese Journal of Infectious Diseases. Clinical practice expert consensus for the application of metagenomic next generation sequencing[J]. Chin J Infect Dis, 2020, 38(11): 681-689.

[16]
刘永杰, 袁益光, 牛占峰, 等. 硬膜下脓肿的临床特点及治疗[J]. 中华神经外科疾病研究杂志, 2018, 17(4): 382-384.

Liu Y J, Yuan Y G, Niu Z F, et al. Clinical features and treatment of intracranial subdural empyema[J]. Chin J Neurosurg Dis Res, 2018, 17(4): 382-384.

[17]
熊和民, 颜太琼, 孙建文. 头孢曲松钠与左氧氟沙星治疗伤寒的疗效比较——附41例报告[J]. 新医学, 2008, 39(9): 589-590.

Xiong H M, Yan T Q, Sun J W. Comparison of therapeutic effects of ceftriaxone sodium and levofloxacin in the treatment of typhoid fever: a report of 41 cases[J]. J New Med, 2008, 39(9): 589-590.

[18]
周东辉, 张群智, 钟恢海. 头孢他啶与氨苄西林治疗伤寒的疗效比较: 附76例报告[J]. 新医学, 2010, 41(4): 244-246.

Zhou D H, Zhang Q Z, Zhong H H. Comparison of ceftazidime and ampicillin in the treatment of typhoid: a report of 76 cases[J]. J New Med, 2010, 41(4): 244-246.

[19]
王小强, 赵悦宛, 营思思, 等. 2015—2021年西安市腹泻患者沙门菌耐药性及分子分型研究[J]. 中国人兽共患病学报, 2023, 39(4): 333-339.

Wang X Q, Zhao Y W, Ying S S, et al. Characteristics of antimicrobial resistance and molecular typing of Salmonella isolated from patients with diarrhea in Xi’an from 2015 to 2021[J]. Chin J Zoonoses, 2023, 39(4): 333-339.

Outlines

/