3D打印技术辅助腹主动脉瘤腔内治疗一例

王湘, 蔡震宇, 于洪涛, 李刚

新医学 ›› 2020, Vol. 51 ›› Issue (12) : 966-970.

PDF(2108 KB)
PDF(2108 KB)
新医学 ›› 2020, Vol. 51 ›› Issue (12) : 966-970. DOI: 10.3969/j.issn.0253-9802.2020.12.016
综合病例研究

3D打印技术辅助腹主动脉瘤腔内治疗一例

作者信息 +

3D printing-assisted intraluminal treatment of abdominal aortic aneurysm: a case report

Author information +
文章历史 +

摘要

腹主动脉瘤是指与全身纤维结缔组织退行性变相关联的腹主动脉局部瘤样扩张,是常见的主动脉疾病。近年随着三维(3D)打印技术的不断进步,其在医疗领域应用的范围不断扩大,特别是在血管外科的运用。该文介绍1例腹主动脉瘤3D打印辅助治疗实例,与传统主动脉CT血管造影(CTA)检查进行对比,基于CTA图像的3D打印技术能够精准地还原CTA重建图像,测量数据更客观,使外科医师获得更直观的视觉理解,有助于手术的顺利进行。

Abstract

Abdominal aortic aneurysm refers to the local tumor-like dilatation of the abdominal aorta associated with the degeneration of systemic fibrous connective tissues, which is a common type of aortic disease. In recent years, with the persistent advancement of three-dimensional (3D) printing technology, its range of application in the medical field has been constantly expanded, especially in vascular surgery. In this article, one case of 3D printing-assisted treatment of abdominal aortic aneurysm was reported. Compared with traditional aortic CT angiography (CTA), 3D printing technology based on CTA image can more accurately restore the reconstructed CTA image, yield more objective measurement data, deliver more intuitive visual understanding to the surgeons and contribute to the success of surgery.

关键词

腹主动脉瘤 / 腔内治疗 / 三维打印

Key words

Abdominal aortic aneurysm / Intraluminal treatment / Three-dimensional printing

引用本文

导出引用
王湘 , 蔡震宇 , 于洪涛 , 李刚. 3D打印技术辅助腹主动脉瘤腔内治疗一例[J]. 新医学, 2020, 51(12): 966-970 https://doi.org/10.3969/j.issn.0253-9802.2020.12.016
Wang Xiang , Cai Zhenyu , Yu Hongtao , Li Gang. 3D printing-assisted intraluminal treatment of abdominal aortic aneurysm: a case report[J]. JOURNAL OF NEW MEDICINE, 2020, 51(12): 966-970 https://doi.org/10.3969/j.issn.0253-9802.2020.12.016
三维(3D)打印技术起源于一百多年前美国研究的照相雕刻和地貌成型技术[1]。它是一种以数字模型数据为基础,综合了数字运算、信息技术、材料学与化学等多方面技术,通过计算机控制,采用分层加工、叠加成型的方式来“制造”产品,故又称为“增材”制造技术[2]。1986年美国科学家Charles Hull开发了第一台商业3D打印机[3]。经历了30年的发展,3D打印技术的应用范围从航天航空、汽车制造、桥梁建筑逐渐延伸到了医学领域。在血管外科领域,主动脉瘤的治疗方案取决于腹主动脉瘤的解剖学形态,主动脉的扩张及扭曲程度、瘤颈长短、主要分支与瘤体间关系、瘤体内附壁血栓等因素将直接影响手术方案的选择以及患者预后的判断[4]。通过 3D 打印技术能够精准复制动脉瘤,可直视下全方位了解病变的解剖学情况。本文介绍1例腹主动脉瘤3D打印实际模型,并与传统主动脉CT血管造影(CTA)检查进行对比,初步探讨基于CTA图像的3D打印技术的相关应用价值及其准确性和可塑性。

病例资料

一、主诉及病史

患者男,68岁。因突发腰、背痛15 h余于2017年7月3日急诊入院。患者诉疼痛性质剧烈,为撕裂样疼痛,持续不缓解,伴全身乏力。既往有胆囊结石病史,已行手术治疗,否认高血压、糖尿病史,否认乙型肝炎、结核等传染病史,否认外伤及手术史,未发现食物及药物过敏史。吸烟约40年,20支/日。

二、体格检查及辅助检查

入院体格检查:体温36.6℃,心率82次/分,血压 110/68 mm Hg(左上肢,1 mm Hg = 0.133 kPa),呼吸20次/分。神志清晰,精神状态差,痛苦面容,口唇无发绀。双肺呼吸音清,各瓣膜听诊区未闻及明显病理性杂音。腹膨隆,无压痛及反跳痛,肠鸣音正常。双侧肢体波动减弱。
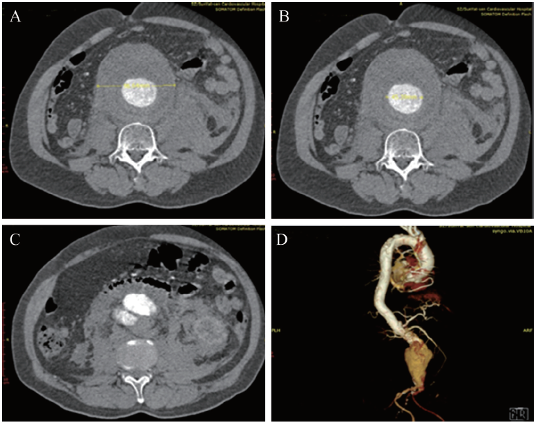
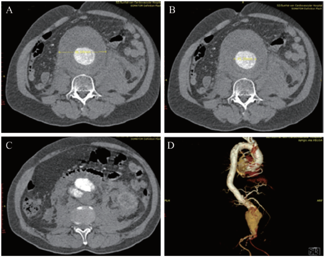
血常规示血红蛋白90 g/L,白细胞12.7 ×109/L,红细胞2.9×1012/L,血小板143×109/L。UCG示LVEF 0.55,心腔结构未见异常。全主动脉增强CT扫描提示腹主动脉瘤并腹主动脉破裂。术前CT血管三维重建显示患者肾下腹主动脉呈囊性扩张。瘤体最大直径约96 mm,瘤体真腔最大直径约45 mm,瘤体破口位于右侧肾动脉以下,瘤颈向右侧略偏斜,无明显扭曲,长度约15 mm,见图1
图1 一例腹主动脉瘤患者入院当日的CTA图像
A~C:轴位图像,D:VR容积成像显示侧位图像

Full size|PPT slide

三、3D模型重建及打印

提取患者术前主动脉(从腹腔干动脉上方到股动脉分叉处)薄层增强CT扫描资料,并以DICOM格式输出,将导出的主动脉CT扫描资料导入 Mimics 软件,对主动脉区域进行三维重构,重构后的数据输入 Cura软件进行切片设置,将转换后的.x3g格式文件拷贝到SD卡,然后利用武汉嘉一公司科易乐-巧匠E73D打印机进行打印,打印材料为聚乳酸生物可降解材料(PLA),分别打印成型腹主动脉瘤及腹主动脉瘤腔模型。该模型完整地展示了患者腹主动脉瘤及腹主动脉瘤腔的形态,见图2
图2 一例腹主动脉瘤患者的3D打印模型
A:腹主动脉瘤体(冠状位);腹主动脉瘤腔(冠状位)

Full size|PPT slide

四、CTA重建图像及3D打印模型测量对比

腹主动脉瘤3D打印模型精准还原CTA重建图像:肠系膜上动脉、双侧肾动脉、双侧髂总动脉及分支、肾动脉与瘤颈关系、扭曲的瘤颈以及瘤颈长度、髂外动脉扭曲(具体测量数值见表 1)。肠系膜下动脉在CTA重建图像及3D打印模型中均无显现。

五、手术治疗

术中取右股动脉及左股动脉相应部位皮肤切口,造影见腹主动脉瘤巨大,直径约10 cm,长约14 cm,未累及左右髂动脉,形态特征基本与CTA及3D打印模型测量值相符。顺利置入美敦力ENBF2516C145EE腹主动脉主体覆膜支架1枚,分别经左、右侧股动脉顺利置入美敦力ENLW1610C120EE、ENLW1613C120EE短腿支架各1枚。最后造影示所释放支架位置均准确固定,腹主动脉瘤被完全隔绝,双侧肾动脉、双侧髂总动脉、双侧髂外动脉、髂内动脉显影好,无造影剂滞留,无造影剂外溢,无内漏,见图3A。术程顺利,术中无输血,术毕安返ICU,术后复查 CTA 结果满意,见图3B。随访至撰稿日,未见异常。
图3 一例腹主动脉瘤患者术中造影及术后复查CTA图像
A:术中造影;B:术后复查CTA

Full size|PPT slide

讨论

CTA技术采用图像后处理软件进行多平面重建(MPR)、最大密度投影(MIP)、容积成像(VR),综合影像结果进行诊断,可观察主动脉瘤发生部位、形态、大小和累及范围,并依据专为腹主动脉瘤腔内修复术制定的三型五分法及其测量指标进行测量及分型,对临床进行指导[5]
在主动脉腔内治疗的术前指导过程以及主动脉相关形态学研究中,CTA技术未能完全满足需求,这主要与CTA本身局限的计算平台功能有关[6]。例如“梯形瘤颈”直径、动脉瘤最大直径、动脉瘤腔最大直径的测量,CTA存在一定的误差,这种误差与主动脉在矢状位的扭曲和倾斜有关,实际上CTA三维重建图像只是3D图像的二维显现,这也解释了表1中CTA与3D打印模型之间存在的数值差异。而3D打印技术可以个体化三维重建生成立体的、精确的腹主动脉瘤解剖物理模型,有助于我们更准确、更直观地观察和理解。我们结合3D打印模型的测量数值,准确地选用了合适大小的主动脉支架并且成功地实施了手术。
表1 腹主动脉瘤CTA测量与3D模型测量之间对比
项 目 CT图像测量 3D模型测量
左肾动脉下缘瘤颈长度(mm) 18.3 18.7
右肾动脉下缘瘤颈长度(mm) 44.0 44.5
瘤颈最大直径(mm) 22.5 22.0
瘤腔最大直径(mm) 56.4 55.0
a角(°) 14 14
b角(°) 45 47
瘤体最大直径(mm) 99.9 99.0
左肾动脉开口直径(mm) 5.9 6.2
右肾动脉开口直径(mm) 3.5 3.7
左侧髂总动脉开口直径(mm) 12.2 11.0
右侧髂总动脉开口直径(mm) 16.7 15.8
腹主动脉瘤体长度(mm) 105.0 107.0
注:a角为瘤颈与正常腹主动脉夹角;b角为瘤颈与腹主动脉中轴夹角
3D打印是一种正在快速发展的技术。3D打印能够制作具有复杂内部结构的产品[7]。3D打印和影像学检查的结合为医学,特别是血管外科的发展提供了巨大的机会[8,9,10]。该技术使具有复杂解剖结构的疾病可视化、直观化,并可以创建不同的模型用于外科手术规划和培训[11,12,13,14]。术前手术规划是血管内手术的关键部分[15,16,17,18]。传统情况下,血管内支架的选择主要依赖于CT图像,然而,在病变较为复杂的情况下,CT提供的信息不够直观和具体[19,20]。而目前可以基于CT数据创建3D打印的血管模型,以协助进行术前手术规划[21,22]
Koleilat等[23]比较了通过自动3D中心线成像数据与3D打印的主动脉模型获得的测量结果的准确性。与3D打印的主动脉模型相比,各观察者之间的测量结果存在实质性差异,血管角度无法准确测量,这可能会导致分支血管破裂和再次介入的几率增加。在欧洲进行的一项多中心、前瞻性、随机试验显示,在进行腔内修复术之前,利用3D打印血管模型进行术前讨论及手术训练,减少了支架植入术中对比剂及X线曝光剂量,进而提高安全性和手术效率[24]
本研究中,3D打印模型是基于CT扫描数据,虽将CT图像精确还原成立体实物,但3D模型仅能显现瘤腔的大小、形状,却不能真实还原血管壁、瘤壁血栓以及瘤腔。而在Riesenkmpff等[25]采用CT及MRI数据对11例复杂先天性心脏病患者进行三维重建,并打印出患者的3D心脏模型。Dankowski等[26]也完整打印出心脏模型,并且能较好地显现出心脏瓣膜。CT扫描技术和3D打印技术的结合可以扫描、编辑和复制实体对象,创建精确的副本或优化原件,从三维重建图像到最终的待打印立体光刻模型,其中涉及的数据处理和格式转换过程正是2种技术结合的关键。通过对立体光刻文件的再整合,本研究中的打印方法亦可改善模型的呈现。因此,与CTA相比,3D打印模型具有更直观的视觉理解,测量数据更客观,有广阔的临床应用价值。

参考文献

[1]
黄建华, 王伟. 3D打印技术在腔内血管外科中的应用前景. 临床外科杂志, 2015,23(8):577-579.
[2]
Walker TG, Kalva SP, Yeddula K, Wicky S, Kundu S, Drescher P, d’Othee BJ, Rose SC, Cardella JF; Society of Interventional Radiology Standards of Practice Committee; Interventional Radiological Society of Europe; Canadian Interventional Radiology Association. Clinical practice guidelines for endovascular abdominal aortic aneurysm repair: written by the Standards of Practice Committee for the Society of Interventional Radiology and endorsed by the Cardiovascular and Interventional Radiological Society of Europe and the Canadian Interventional Radiology Association. J Vasc Interv Radiol, 2010,21(11):1632-1655.
[3]
林若然, 吕俊远, 辛世杰. 3D打印技术在血管外科应用进展. 中国实用外科杂志, 2016,36(12):1338-1340.
[4]
O’Mara JE, Bersin RM. Endovascular management of abdominal aortic aneurysms: the year in review. Curr Treat Options Car-diovasc Med, 2016,18(8):54.
[5]
刘继峰, 郭旺明. 多层螺旋CT血管成像在腹主动脉瘤诊断及术前评估中的应用价值. 中国医疗设备, 2015,30(9):60-62.
目的 探讨多层螺旋CT血管成像(CTA)在腹主动脉瘤诊断及术前评估中的应用价值。方法选择经手术或数字减影血管造影(DSA)证实的82例腹主动脉瘤患者作为研究对象。采用CTA技术对患者的腹主动脉及其分支进行扫描,应用多平面重建、最大密度投影、容积成像等技术对图像进行重建,并进行分型、病灶位置和累及范围等定位。结果 82例腹主动脉瘤中,CTA检出76例,与DSA检查结果相比,差异无统计学意义(P>0.05)。CTA评估Ⅰ型8例、ⅡA型7例、ⅡB型9例、ⅡC型40例、Ⅲ型12例,近肾型10例,肾下型66例,与DSA检查结果相比,差异无统计学意义(P>0.05)。结论 CTA技术对腹主动脉瘤具有较高的诊断准确率,可准确评估瘤体的形态、部位、大小,指导临床治疗方案的选择及手术指征的确定。
[6]
杨晗, 胡明, 黄群, 覃忠, 郭思恩, 覃晓. 3D打印辅助覆膜支架修复术在复杂主动脉疾病腔内治疗中的应用. 中国血管外科杂志(电子版), 2018,10(1):4-9.
[7]
Marro A, Bandukwala T, Mak W. Three-dimensional printing and medical imaging: a review of the methods and applications. Curr Probl Diagn Radiol, 2016,45(1):2-9.
The purpose of this article is to review recent innovations on the process and application of 3-dimensional (3D) printed objects from medical imaging data. Data for 3D printed medical models can be obtained from computed tomography, magnetic resonance imaging, and ultrasound using the Data Imaging and Communications in Medicine (DICOM) software. The data images are processed using segmentation and mesh generation tools and converted to a standard tessellation language (STL) file for printing. 3D printing technologies include stereolithography, selective laser sintering, inkjet, and fused-deposition modeling . 3D printed models have been used for preoperative planning of complex surgeries, the creation of custom prosthesis, and in the education and training of physicians. The application of medical imaging and 3D printers has been successful in providing solutions to many complex medical problems. As technology advances, its applications continue to grow in the future.
[8]
Sheth R, Balesh ER, Zhang YS, Hirsch JA, Khademhosseini A, Oklu R. Three-dimensional printing: an enabling technology for IR. J Vasc Interv Radiol, 2016,27(6):859-865.
Rapid prototyping, also known as three-dimensional (3D) printing, is a recent technologic advancement with tremendous potential for advancing medical device design. A wide range of raw materials can be incorporated into complex 3D structures, including plastics, metals, biocompatible polymers, and even living cells. With its promise of highly customized, adaptable, and personalized device design at the point of care, 3D printing stands to revolutionize medical care. The present review summarizes the methods for 3D printing and their current and potential roles in medical device design, with an emphasis on their potential relevance to interventional radiology.
[9]
Giannopoulos AA, Mitsouras D, Yoo SJ, Liu PP, Chatzizisis YS, Rybicki FJ. Applications of 3D printing in cardiovascular diseases. Nat Rev Cardiol, 2016,13(12):701-718.
3D-printed models fabricated from CT, MRI, or echocardiography data provide the advantage of haptic feedback, direct manipulation, and enhanced understanding of cardiovascular anatomy and underlying pathologies. Reported applications of cardiovascular 3D printing span from diagnostic assistance and optimization of management algorithms in complex cardiovascular diseases, to planning and simulating surgical and interventional procedures. The technology has been used in practically the entire range of structural, valvular, and congenital heart diseases, and the added-value of 3D printing is established. Patient-specific implants and custom-made devices can be designed, produced, and tested, thus opening new horizons in personalized patient care and cardiovascular research. Physicians and trainees can better elucidate anatomical abnormalities with the use of 3D-printed models, and communication with patients is markedly improved. Cardiovascular 3D bioprinting and molecular 3D printing, although currently not translated into clinical practice, hold revolutionary potential. 3D printing is expected to have a broad influence in cardiovascular care, and will prove pivotal for the future generation of cardiovascular imagers and care providers. In this Review, we summarize the cardiovascular 3D printing workflow, from image acquisition to the generation of a hand-held model, and discuss the cardiovascular applications and the current status and future perspectives of cardiovascular 3D printing.
[10]
Mitsouras D, Liacouras P, Imanzadeh A, Giannopoulos AA, Cai T, Kumamaru KK, George E, Wake N, Caterson EJ, Pomahac B, Ho VB, Grant GT, Rybicki FJ. Medical 3D printing for the radiologist. Radiographics, 2015,35(7):1965-1968.
While use of advanced visualization in radiology is instrumental in diagnosis and communication with referring clinicians, there is an unmet need to render Digital Imaging and Communications in Medicine (DICOM) images as three-dimensional (3D) printed models capable of providing both tactile feedback and tangible depth information about anatomic and pathologic states. Three-dimensional printed models, already entrenched in the nonmedical sciences, are rapidly being embraced in medicine as well as in the lay community. Incorporating 3D printing from images generated and interpreted by radiologists presents particular challenges, including training, materials and equipment, and guidelines. The overall costs of a 3D printing laboratory must be balanced by the clinical benefits. It is expected that the number of 3D-printed models generated from DICOM images for planning interventions and fabricating implants will grow exponentially. Radiologists should at a minimum be familiar with 3D printing as it relates to their field, including types of 3D printing technologies and materials used to create 3D-printed anatomic models, published applications of models to date, and clinical benefits in radiology. Online supplemental material is available for this article.
[11]
Marro A, Bandukwala T, Mak W. Three-dimensional printing and medical imaging: a review of the methods and applications. Curr Probl Diagn Radiol, 2016,45(1):2-9.
[12]
Shibata E, Takao H, Amemiya S, Ohtomo K. 3D-printed visceral aneurysm models based on CT data for simulations of endovascular embolization: evaluation of size and shape accuracy. AJR Am J Roentgenol, 2017,209(2):243-247.
OBJECTIVE: The objective of this study is to verify the accuracy of 3D-printed hollow models of visceral aneurysms created from CT angiography (CTA) data, by evaluating the sizes and shapes of aneurysms and related arteries. SUBJECTS AND METHODS: From March 2006 to August 2015, 19 true visceral aneurysms were embolized via interventional radiologic treatment provided by the radiology department at our institution; aneurysms with bleeding (n = 3) or without thin-slice (< 1="" mm="" preembolization="" ct="" data="" n="1)" were="" excluded.="" a="" total="" of="" 15="" consecutive="" true="" visceral="" aneurysms="" from="" 11="" patients="" eight="" women="" and="" three="" men="" mean="" age="" 61="" years="" range="" 53-72="" years="" whose="" aneurysms="" were="" embolized="" via="" endovascular="" procedures="" were="" included="" in="" this="" study.="" three-dimensional-printed="" hollow="" models="" of="" aneurysms="" and="" related="" arteries="" were="" fabricated="" from="" cta="" data.="" the="" accuracies="" of="" the="" sizes="" and="" shapes="" of="" the="" 3d-printed="" hollow="" models="" were="" evaluated="" using="" the="" nonparametric="" wilcoxon="" signed="" rank="" test="" and="" the="" dice="" coefficient="" index.="" results:="" aneurysm="" sizes="" ranged="" from="" 138="" to="" 18691="" mm3="" diameter="" 6.1-35.7="" mm="" and="" no="" statistically="" significant="" difference="" was="" noted="" between="" patient="" data="" and="" 3d-printed="" models="" p="0.56)." shape="" analysis="" of="" whole="" aneurysms="" and="" related="" arteries="" indicated="" a="" high="" level="" of="" accuracy="" dice="" coefficient="" index="" value="" 84.2-95.8="" mean="" -="" sd="" 91.1="" -="" 4.1.="" conclusion:="" the="" sizes="" and="" shapes="" of="" 3d-printed="" hollow="" visceral="" aneurysm="" models="" created="" from="" cta="" data="" were="" accurate.="" these="" models="" can="" be="" used="" for="" simulations="" of="" endovascular="" treatment="" and="" precise="" anatomic="" information.="">
[13]
Biglino G, Verschueren P, Zegels R, Taylor AM, Schievano S. Rapid prototyping compliant arterial phantoms for in-vitro studies and device testing. J Cardiovasc Magn Reson, 2013,15(1):2.
[14]
Mafeld S, Nesbitt C, Mc Caslin J, Bagnall A, Davey P, Bose P, Williams R. Three-dimensional (3D) printed endovascular simulation models: a feasibility study. Ann Transl Med, 2017,5(3):42.
[15]
Wilasrusmee C, Suvikrom J, Suthakorn J, Lertsithichai P, Sitthiseriprapip K, Proprom N, Kittur DS. Three-dimensional aortic aneurysm model and endovascular repair: an educational tool for surgical trainees. Int J Angiol, 2008,17(3):129-133.
[16]
Taher F, Falkensammer J, McCarte J, Strassegger J, Uhlmann M, Schuch P, Assadian A. The influence of prototype testing in three-dimensional aortic models on fenestrated endograft design. J Vasc Surg, 2017,65(6):1591-1597.
OBJECTIVE: The fenestrated Anaconda endograft (Vascutek/Terumo, Inchinnan, UK) is intended for the treatment of abdominal aortic aneurysms with an insufficient infrarenal landing zone. The endografts are custom-made with use of high-resolution, 1-mm-slice computed tomography angiography images. For every case, a nonsterile prototype and a three-dimensional (3D) model of the patient's aorta are constructed to allow the engineers as well as the physician to test-implant the device and to review the fit of the graft. The aim of this investigation was to assess the impact of 3D model construction and prototype testing on the design of the final sterile endograft. METHODS: A prospectively held database on fenestrated endovascular aortic repair patients treated at a single institution was completed with data from the Vascutek engineers' prototype test results as well as the product request forms. Changes to endograft design based on prototype testing were assessed and are reported for all procedures. RESULTS: Between April 1, 2013, and August 18, 2015, 60 fenestrated Anaconda devices were implanted. Through prototype testing, engineers were able to identify and report potential risks to technical success related to use of the custom device for the respective patient. Theoretical concerns about endograft fit in the rigid model were expressed in 51 cases (85.0%), and the engineers suggested potential changes to the design of 21 grafts (35.0%). Thirteen cases (21.7%) were eventually modified after the surgeon's testing of the prototype. A second prototype was ordered in three cases (5.0%) because of extensive changes to endograft design, such as inclusion of an additional fenestration. Technical success rates were comparable for grafts that showed a perfect fit from the beginning and cases in which prototype testing resulted in a modification of graft design. CONCLUSIONS: Planning and construction of fenestrated endografts for complex aortic anatomies where exact fit and positioning of the graft are paramount to allow cannulation of the aortic branches are challenging. In the current series, approximately one in five endografts was modified after prototype testing in an aortic model. Eventually, success rates were comparable between the groups of patients with a good primary prototype fit and those in which the endograft design was altered. Prototype testing in 3D aortic models is a valuable tool to test the fit of a custom-made endograft before implantation. This may help avoid potentially debilitating adverse events associated with misaligned fenestrations and unconnected aortic branches.
[17]
United Kingdom EVAR Trial Investigators, Greenhalgh RM, Brown LC, Powell JT, Thompson SG, Epstein D, Sculpher MJ. Endovascular versus open repair of abdominal aortic aneurysm. N Engl J Med, 2010,362(20):1863-1871.
[18]
Greenhalgh RM, Brown LC, Kwong GP, Powell JT, Thompson SG; EVAR trial participants. Comparison of endovascular aneurysm repair with open repair in patients with abdominal aortic aneurysm (EVAR trial 1), 30-day operative mortality results: randomised controlled trial. Lancet, 2004,364(9437):843-848.
BACKGROUND: Endovascular aneurysm repair (EVAR) is a new technology to treat patients with abdominal aortic aneurysm (AAA) when the anatomy is suitable. Uncertainty exists about how endovascular repair compares with conventional open surgery. EVAR trial 1 was instigated to compare these treatments in patients judged fit for open AAA repair. METHODS: Between 1999 and 2003, 1082 elective (non-emergency) patients were randomised to receive either EVAR (n=543) or open AAA repair (n=539). Patients aged at least 60 years with aneurysms of diameter 5.5 cm or more, who were fit enough for open surgical repair (anaesthetically and medically well enough for the procedure), were recruited for the study at 41 British hospitals proficient in the EVAR technique. The primary outcome measure is all-cause mortality and these results will be released in 2005. The primary analysis presented here is operative mortality by intention to treat and a secondary analysis was done in per-protocol patients. FINDINGS: Patients (983 men, 99 women) had a mean age of 74 years (SD 6) and mean AAA diameter of 6.5 cm (SD 1). 1047 (97%) patients underwent AAA repair and 1008 (93%) received their allocated treatment. 30-day mortality in the EVAR group was 1.7% (9/531) versus 4.7% (24/516) in the open repair group (odds ratio 0.35 [95% CI 0.16-0.77], p=0.009). By per-protocol analysis, 30-day mortality for EVAR was 1.6% (8/512) versus 4.6% (23/496) for open repair (0.33 [0.15-0.74], p=0.007). Secondary interventions were more common in patients allocated EVAR (9.8% vs 5.8%, p=0.02). INTERPRETATION: In patients with large AAAs, treatment by EVAR reduced the 30-day operative mortality by two-thirds compared with open repair. Any change in clinical practice should await durability and longer term results.
[19]
Tam MD, Laycock SD, Brown JR, Jakeways M. 3D printing of an aortic aneurysm to facilitate decision making and device selection for endovascular aneurysm repair in complex neck anatomy. J Endovasc Ther, 2013,20(6):863-867.
PURPOSE: To describe rapid prototyping or 3-dimensional (3D) printing of aneurysms with complex neck anatomy to facilitate endovascular aneurysm repair (EVAR). CASE REPORT: A 75-year-old man had a 6.6-cm infrarenal aortic aneurysm that appeared on computed tomographic angiography to have a sharp neck angulation of ~90 degrees . However, although the computed tomography (CT) data were analyzed using centerline of flow, the true neck length and relations of the ostial origins were difficult to determine. No multidisciplinary consensus could be reached as to which stent-graft to use owing to these borderline features of the neck anatomy. Based on past experience with rapid prototyping technology, a decision was taken to print a model of the aneurysm to aid in visualization of the neck anatomy. The CT data were segmented, processed, and converted into a stereolithographic format representing the lumen as a 3D volume, from which a full-sized replica was printed within 24 hours. The model demonstrated that the neck was adequate for stent-graft repair using the Aorfix device. CONCLUSION: Rapid prototyping of aortic aneurysms is feasible and can aid decision making and device delivery. Further work is required to test the value of 3D replicas in planning procedures and their impact on procedure time, radiation dose, and procedure cost.
[20]
Taher F, Falkensammer J, McCarte J, Strassegger J, Uhlmann M, Schuch P, Assadian A. The influence of prototype testing in three-dimensional aortic models on fenestrated endograft design. J Vasc Surg, 2017,65(6):1591-1597.
OBJECTIVE: The fenestrated Anaconda endograft (Vascutek/Terumo, Inchinnan, UK) is intended for the treatment of abdominal aortic aneurysms with an insufficient infrarenal landing zone. The endografts are custom-made with use of high-resolution, 1-mm-slice computed tomography angiography images. For every case, a nonsterile prototype and a three-dimensional (3D) model of the patient's aorta are constructed to allow the engineers as well as the physician to test-implant the device and to review the fit of the graft. The aim of this investigation was to assess the impact of 3D model construction and prototype testing on the design of the final sterile endograft. METHODS: A prospectively held database on fenestrated endovascular aortic repair patients treated at a single institution was completed with data from the Vascutek engineers' prototype test results as well as the product request forms. Changes to endograft design based on prototype testing were assessed and are reported for all procedures. RESULTS: Between April 1, 2013, and August 18, 2015, 60 fenestrated Anaconda devices were implanted. Through prototype testing, engineers were able to identify and report potential risks to technical success related to use of the custom device for the respective patient. Theoretical concerns about endograft fit in the rigid model were expressed in 51 cases (85.0%), and the engineers suggested potential changes to the design of 21 grafts (35.0%). Thirteen cases (21.7%) were eventually modified after the surgeon's testing of the prototype. A second prototype was ordered in three cases (5.0%) because of extensive changes to endograft design, such as inclusion of an additional fenestration. Technical success rates were comparable for grafts that showed a perfect fit from the beginning and cases in which prototype testing resulted in a modification of graft design. CONCLUSIONS: Planning and construction of fenestrated endografts for complex aortic anatomies where exact fit and positioning of the graft are paramount to allow cannulation of the aortic branches are challenging. In the current series, approximately one in five endografts was modified after prototype testing in an aortic model. Eventually, success rates were comparable between the groups of patients with a good primary prototype fit and those in which the endograft design was altered. Prototype testing in 3D aortic models is a valuable tool to test the fit of a custom-made endograft before implantation. This may help avoid potentially debilitating adverse events associated with misaligned fenestrations and unconnected aortic branches.
[21]
Mafeld S, Nesbitt C, McCaslin J, Bagnall A, Davey P, Bose P, Williams R. Three-dimensional (3D) printed endovascular simulation models: a feasibility study. Ann Transl Med, 2017,5(3):42.
BACKGROUND: Three-dimensional (3D) printing is a manufacturing process in which an object is created by specialist printers designed to print in additive layers to create a 3D object. Whilst there are initial promising medical applications of 3D printing, a lack of evidence to support its use remains a barrier for larger scale adoption into clinical practice. Endovascular virtual reality (VR) simulation plays an important role in the safe training of future endovascular practitioners, but existing VR models have disadvantages including cost and accessibility which could be addressed with 3D printing. METHODS: This study sought to evaluate the feasibility of 3D printing an anatomically accurate human aorta for the purposes of endovascular training. RESULTS: A 3D printed model was successfully designed and printed and used for endovascular simulation. The stages of development and practical applications are described. Feedback from 96 physicians who answered a series of questions using a 5 point Likert scale is presented. CONCLUSIONS: Initial data supports the value of 3D printed endovascular models although further educational validation is required.
[22]
Andolfi C, Plana A, Kania P, Banerjee PP, Small S. Usefulness of three-dimensional modeling in surgical planning, resident training, and patient education. J Laparoendosc Adv Surg Tech A, 2017,27(5):512-515.
BACKGROUND: Imaging has a critical impact on surgical decision making and three-dimensional (3D) digital models of patient pathology can now be made commercially. We developed a 3D digital model of a cancer of the head of the pancreas by integrating actual CT data with 3D modeling process. After this process, the virtual pancreatic model was also produced using a high-quality 3D printer. PATIENTS AND METHODS: A 56-year-old female with pancreatic head adenocarcinoma presented with biliary obstruction and jaundice. The CT scan showed a borderline resectable tumor with a clear involvement of the gastroduodenal artery but doubtful relationships with the hepatic artery. Our team in collaboration with the Immersive Touch team used multiple series from the CT and segmented the relevant anatomy to understand the physical location of the tumor. An STL file was then developed and printed. RESULTS: Reconstructing and compositing the different series together enhanced the imaging, which allowed clearer observations of the relationship between the mass and the blood vessels, and evidence that the tumor was unresectable. Data files were converted for printing a 100% size rendering model, used for didactic purposes and to discuss with the patient. CONCLUSIONS: This study showed that (1) reconstructing enhanced traditional imaging by merging and modeling different series together for a 3D view with diverse angles and transparency, allowing the observation of previously unapparent anatomical details; (2) with this new technology surgeons and residents can preobserve their planned surgical intervention, explore the patient-specific anatomy, and sharpen their procedure choices; (3) high-quality 3D printed models are increasingly useful not only in the clinical realm but also for personalized patient education.
[23]
Koleilat I, Jaeggli M, Ewing JA, Androes M, Simionescu DT, Eidt J. Interobserver variability in physician-modified endograft planning by comparison with a three-dimensional printed aortic model. J Vasc Surg, 2016,64(6):1789-1796.
BACKGROUND: With the increasing application of fenestrated and physician-modified endografting for aneurysm repair, there is increasing concern about the accuracy of vessel position measurements based on computed tomography scans. Inaccuracies in measurements may result in a
[24]
Desender LM, Van Herzeele I, Lachat ML, Rancic Z, Duchateau J, Rudarakanchana N, Bicknell CD, Heyligers JM, Teijink JA, Vermassen FE; PAVLOV Study Group.. Patient-specific rehearsal before EVAR: influence on technical and nontechnical operative performance. a randomized controlled trial. Ann Surg, 2016,264(5):703-709.
OBJECTIVE: To assess the effect of patient-specific virtual reality rehearsal (PsR) before endovascular infrarenal aneurysm repair (EVAR) on technical performance and procedural errors. BACKGROUND: Endovascular procedures, including EVAR, are executed in a complex multidisciplinary environment, often treating high-risk patients. Consequently, this may lead to patient harm and procedural inefficiency. PsR enables the endovascular team to evaluate and practice the case in a virtual environment before treating the real patient. METHODS: A multicenter, prospective, randomized controlled trial recruited 100 patients with a nonruptured infrarenal aortic or iliac aneurysm between September 2012 and June 2014. Cases were randomized to preoperative PsR or standard care (no PsR). Primary outcome measures were errors during the real procedure and technical operative metrics (total endovascular and fluoroscopy time, contrast volume, number of angiograms, and radiation dose). RESULTS: There was a 26% [95% confidence interval (CI) 9%-40%, P = 0.004) reduction in minor errors, a 76% (95% CI 30%-92%, P = 0.009) reduction in major errors, and a 27% (95% CI 8.2%-42%, P = 0.007) reduction in errors causing procedural delay in the PsR group. The number of angiograms performed to visualize proximal and distal landing zones was 23% (95% CI 8%-36%, P = 0.005) and 21% (95% CI 7%-32%, P = 0.004) lower in the PsR group. CONCLUSIONS: PsR before EVAR can be used in different hospital settings by teams with various EVAR experience. It reduces perioperative errors and the number of angiograms required to deploy the stent graft, thereby reducing delays. Ultimately, it may improve patient safety and procedural efficiency.
[25]
Riesenkampff E, Rietdorf U, Wolf I, Schnackenburg B, Ewert P, Huebler M, Alexi-Meskishvili V, Anderson RH, Engel N, Meinzer HP, Hetzer R, Berger F, Kuehne T. The practical clinical value of three-dimensional models of complex congenitally malformed hearts. J Thorac Cardiovasc Surg, 2009,138(3):571-580.
OBJECTIVE: Detailed 3-dimensional anatomic information is essential when planning strategies of surgical treatment for patients with complex congenitally malformed hearts. Current imaging techniques, however, do not always provide all the necessary anatomic information in a user-friendly fashion. We sought to assess the practical clinical value of realistic 3-dimensional models of complex congenitally malformed hearts. METHODS: In 11 patients, aged from 0.8 to 27 years, all with complex congenitally malformed hearts, an unequivocal decision regarding the optimum surgical strategy had not been reached when using standard diagnostic tools. Therefore, we constructed 3-dimensional virtual computer and printed cast models of the heart on the basis of high-resolution whole-heart or cine magnetic resonance imaging or computed tomography. Anatomic descriptions were compared with intraoperative findings when surgery was performed. RESULTS: Independently of age-related factors, images acquired in all patients using magnetic resonance imaging and computed tomography proved to be of sufficient quality for producing the models without major differences in the postprocessing and revealing the anatomy in an unequivocal 3-dimensional context. Examination of the models provided invaluable additional information that supported the surgical decision-making. The anatomy as shown in the models was confirmed during surgery. Biventricular corrective surgery was achieved in 5 patients, palliative surgery was achieved in 3 patients, and lack of suitable surgical options was confirmed in the remaining 3 patients. CONCLUSION: Realistic 3-dimensional modeling of the heart provides a new means for the assessment of complex intracardiac anatomy. We expect this method to change current diagnostic approaches and facilitate preoperative planning.
[26]
Dankowski R, Baszko A, Sutherland M, Firek L, Kałmucki P, Wróblewska K, Szyszka A, Groothuis A, Siminiak T. 3D heart model printing for preparation of percutaneous structural interventions: description of the technology and case report. Kardiol Pol, 2014,72(6):546-551.
BACKGROUND: Structural heart disease, including valvular disease as well as congenital defects, causes important alterations in heart anatomy. As a result, individualised planning for both surgical and percutaneous procedures is crucial for procedural optimisation. Three dimensional (3D) rapid prototyping techniques are being utilised to aid operators in planning structural heart procedures. AIM: We intend to provide a description of 3D printing as a clinically applicable heart modelling technology for the planning of percutaneous structural heart procedures as well as to report our first clinical use of a 3D printed patient-specific heart model in preparation for a percutaneous mitral annuloplasty using the Mitralign percutaneous annuloplasty system. METHODS: Retrospectively gated, contrast enhanced, multi-slice computed tomography (MSCT) scans were obtained. MSCT DICOM data was analysed using software that creates 3D surface files of the blood volume of specific regions of interest in the heart. The surface files are rendered using a software package that creates a solid model that can be printed using commercially available stereolithography machines. RESULTS: The technique of direct percutaneous mitral annuloplasty requires advancement of a guiding catheter through the aorta, into the left ventricle, and requires the positioning of the tip of the catheter between the papillary muscles in close proximity to the mitral annulus. The 3D heart model was used to create a procedural plan to optimise potential device implantation. The size of the deflectable guiding catheter was selected on the basis of the patient's heart model. Target locations for annulus crossing wires were evaluated pre-procedurally using the individual patient's 3D heart model. In addition, the ability to position the Bident Catheter at the appropriate locations under the mitral annulus as well as the manoeuvrability between the papillary muscles were analysed on the heart model, enabling safe completion of the procedure, which resulted in a significant reduction in mitral regurgitation. CONCLUSIONS: 3D printing is a helpful tool in individualised planning for percutaneous structural interventions. Future studies are warranted to assess its role in preparing for percutaneous and surgical heart procedures.

基金

深圳市科技创新委员会资助项目(JCY20150402094341898)

版权

版权所有,未经授权,不得转载、摘编本刊文章,不得使用本刊的版式设计。
PDF(2108 KB)

1024

Accesses

0

Citation

Detail

段落导航
相关文章

/