综合病例研究

眼睑小圆细胞恶性肿瘤一例

  • 南炜瑾 ,
  • 赵梅生 ,
  • 燕洪涛 ,
  • 赵亮亮 ,
  • 刘沛洋 ,
  • 朱昱
展开
  • 130000 长春,吉林大学第二医院眼科中心(南炜瑾,赵梅生,燕洪涛,赵亮亮,刘沛洋); 130000 长春,一汽总医院•吉林大学第四医院眼科(朱昱)
赵梅生,E-mail:

Copy editor: 杨江瑜

收稿日期: 2019-05-12

  网络出版日期: 2019-10-10

版权

版权所有,未经授权,不得转载、摘编本刊文章,不得使用本刊的版式设计。

Small round cell malignant tumor of the eyelid: a case report

  • Nan Weijin ,
  • Zhao Meisheng ,
  • Yan Hongtao ,
  • Zhao Liangliang ,
  • Liu Peiyang ,
  • Zhu Yu
Expand
  • Department of Ophthalmology, the Second Hospital of Jilin University, Changchun 130000, China
Zhao Meisheng, E-mail:

Copy editor: Yang Jiang-yu

Received date: 2019-05-12

  Online published: 2019-10-10

Copyright

Copyright reserved © 2019. Office of Journal of New Medicine All articles published represent the opinions of the authors, and do not reflect the official policy of the Chinese Medical Association or the Editorial Board, unless this is clearly specified.

摘要

小圆细胞恶性肿瘤罕见,以往的报道中发现95%以上位于腹腔和骨盆,而<5%可发生于其它器官。该文报道1例发生于眼睑的小圆细胞恶性肿瘤患者,该患者以眼睑肿物进行性增大,继发性上睑下垂,伴反复眼红、溢泪,肿物触之质硬,有压痛,边界不清,活动度差为临床表现,术中快速病理回报提示为小圆细胞恶性肿瘤,排除其他继发性因素最后诊断为小圆细胞恶性肿瘤。确诊后将肿物扩大切除并选取了替代物修补睑板,此例患者选取自身眶骨骨膜作为修复。该例提示对于不明原因的眼睑肿物进行性增大的患者,在与睑板腺癌、淋巴瘤、基底细胞癌、鳞状细胞癌等疾病鉴别后,应考虑小圆细胞恶性肿瘤的可能。眼睑小圆细胞恶性肿瘤临床表现缺乏特异性,一旦高度怀疑应尽快行病变活组织病理检查以明确诊断。

本文引用格式

南炜瑾 , 赵梅生 , 燕洪涛 , 赵亮亮 , 刘沛洋 , 朱昱 . 眼睑小圆细胞恶性肿瘤一例[J]. 新医学, 2019 , 50(10) : 797 -800 . DOI: 10.3969/j.issn.0253-9802.2019.10.016

Abstract

Small round cell malignancies are rarely encountered. It has been reported that 95% of the cases occur in the abdominal cavity and pelvis and <5% in other organs. In this article, one case of small round cell malignancy occurring in the eyelid was reported. The patient presented with clinical manifestations including progressive enlargement of eyelid mass, secondary ptosis, repeated redness and tears. The texture of mass was hard with tenderness and ill-defined margin. Intraoperative rapid pathological examination prompted the diagnosis of small round cell malignant tumor. The patient was eventually diagnosed with small round cell malignant tumor after excluding other secondary factors. After the diagnosis was confirmed, the tumor was enlarged and excised. The orbital bone periosteum was selected to repair the eyelid plate. The diagnosis and treatment of this case hinted that the possibility of small round cell malignancies should be considered for those with unexplained progressive eyelid enlargement after the differential diagnosis of meibomian adenocarcinoma, lymphoma, basal cell carcinoma, and squamous cell carcinoma, etc. Small round cell malignancies in the eyelid lack of specific clinical manifestations. Pathological biopsy should be immediately performed to confirm the diagnosis for highly suspected cases.

小圆细胞恶性肿瘤比较罕见,可生长于全身各组织内,以腹腔、淋巴系统、肾脏等较多见,发生于眼睑的尤为少见[1]。其临床表现缺乏典型性,CT、MRI等影像学检查也无特异性,鉴别诊断困难,病理学检查是其主要的诊断依据。小圆细胞恶性肿瘤的瘤细胞形态大小一致,在组织内呈弥漫性分布,其分化程度差,恶性程度高。目前,该肿瘤的主要治疗方式为手术切除外加手术后的放射治疗和化学治疗。发生于眼睑的小圆细胞恶性肿瘤的切除需要扩大范围,会累及到睑板、泪小点等。为保持眼部的美观和功能,睑板替代物的选择显得尤为重要。自身眶骨骨膜取材方便,血运丰富,可作为睑板的理想替代物。

病例资料

一、主诉、病史及体格检查

患者女,70岁,因发现右眼上睑肿物45 d于2018年3月16日就诊于我院。既往无特殊病史。入院眼部检查:右眼视力0.15,矫正0.20,左眼视力自诉无光感。右眼眼压测不出,指测T+3;左眼眼压15 mm Hg(1 mm Hg=0.133 kPa)。右眼上睑可触及一2.5 cm×1.5 cm×1.0 cm肿物(图1A),质硬,有压痛,不活动,累及上泪小点,对应睑结膜呈灰白色,上睑遮盖瞳孔区,球结膜充血,余前节未见明显异常,眼底视不清。左眼眼位外斜15°,结膜无充血,角膜透明,前房深浅正常,房水清,6 ~ 9点位虹膜前粘连,瞳孔欠圆,直径约2.5 mm,直接、间接对光反射迟钝,晶状体浑浊,眼底窥不进。
图1 一例小圆细胞恶性肿瘤患者手术前后眼部图片

A:右眼术前上睑肿物;B:术后闭眼;C:术后睁眼

二、实验室及辅助检查

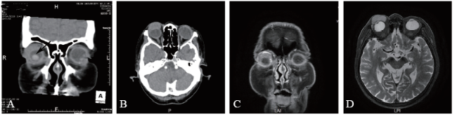
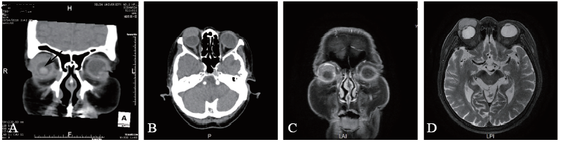
实验室检查:血常规、尿常规、空腹血糖、肝肾功能、凝血常规未见异常。眼眶CT示右侧眼睑软组织影增厚,并突入右眼眶内(图2A、B)。眼眶MRI示右侧上眼睑软组织影内见类圆形稍长T1稍长T2信号影,大小约2.7 cm×1.7 cm×1.4 cm,边界尚清(图2C、D)。
图2 一例小圆细胞恶性肿瘤患者CT、MRI检查结果

A:CT冠状位检查(病灶见黑色箭头);B:CT横断面检查;C:MRI冠状位检查;D: MRI横断面检查

三、诊断及治疗

根据病史及辅助检查,怀疑恶性肿瘤可能,但患者拒绝全身排查,术前准备完善后行肿物切除术。术中将肿物扩大切除并行外侧眶骨膜移植的眼睑重建术。术中可见肿物约3.0 cm×1.5 cm×1.2 cm,上累及肌层,下累及睑结膜,将肿物连同上睑缘及睑结膜、睑板及泪小点完整切除,术中快速病理回报:(右侧眼睑)恶性肿瘤,分化差。继续分离皮肤至外侧眶缘,取外侧眶骨骨膜转移至原睑板的位置,6-0可吸收线断端板层固定,分别固定提上睑肌、眼轮匝肌于转移的骨膜上,逐层对位缝合,手术结束,术后眼部见图1B、C。术后病理诊断:(右眼上睑)小圆细胞恶性肿瘤,结合免疫组织化学(组化)染色结果支持未分化癌,直径约1.3 cm,脉管未见浸润,各切缘未见癌。免疫组化染色结果:CK7(+)、CK(AE1/AE3)(+)、EMA(弱+)、CgA(-)、Syn(-)、CD56(-)、CK5/6(-)、p63(-)、LCA(-)、TdT(-)、CK20(-),见图3。Ki67增殖指数约90%。术后患者依从性较差,拒绝放射治疗和化学治疗等后续治疗及随访。
图3 一例小圆细胞恶性肿瘤患者病理图片

A:形态特征(苏木素-伊红染色, ×200),细胞大小形态一致,呈小圆形,核深染,核浆比较高;B:肿瘤细胞显示CK7呈阳性(免疫组化染色, ×100);C:肿瘤细胞显示CK(AE1/AE3)呈阳性(免疫组化染色, ×100);D:肿瘤细胞显示EMA呈弱阳性(免疫组化染色, ×100)

讨 论

小圆细胞恶性肿瘤比较罕见,通常是指形态学上瘤细胞体积较小、形态一致呈圆形、核深染、核浆比较高的一组恶性肿瘤[2]。小圆细胞恶性肿瘤多数来源于淋巴系统、卵巢、肾脏、肝脏、骨骼及软组织,而来源于眼睑的相对少见。本病例患者拒绝做全身排查,因此不能确定是否为眼睑原发癌。
小圆细胞恶性肿瘤在本例中的临床表现为肿物进行性增大,继发性上睑下垂,伴反复眼红、溢泪,触之质硬如石,有压痛,边界不清,活动度差,无破溃。其主要病理学改变:显微镜下可见大小一致的小圆细胞呈弥漫性分布,或排列为结节状、索条状,核深染,胞浆少[2]。免疫组化分析多见CK7(+)、Ki67(+)、CK(AE1/AE3)(+)、EMA(弱+)。
小圆细胞恶性肿瘤的主要治疗方法为手术切除。本例患者保留了皮肤,所以睑板替代物的选择至关重要。通常,睑板替代物的选择有化学合成品、异体巩膜及睑板、自身眶骨骨膜、硬腭黏膜、鼻中隔黏膜等[3]。异体巩膜支撑作用弱,术后可收缩,引起睑内翻等并发症[4]。考虑本患者年龄较大,另一只眼失明,取材异体巩膜可能会造成睑内翻等并发症,还需二次矫正术,故不采取。硬腭黏膜表面光滑,在组织、形态上与睑板相似,可以起到支撑、塑形的效果,并且能贴附在眼球表面,顺应眼球的活动。但是由于硬腭黏膜上皮具有角化性,作为上睑睑板的替代物,与角膜接触频繁,长时间会造成角膜上皮功能障碍甚至角膜损伤[5]。对此患者来说,取自身硬腭黏膜创伤较大,代替上睑睑板,长时间会对角膜造成损伤。而由于对侧眼失明,取对侧眼睑板创伤也较大,并且考虑到术后美观问题,暂不取。而自身眶骨骨膜取材方便,血供丰富,残余结膜上皮可覆盖其表面,对此患者来说是较为理想的睑板替代物[6]
本病需与以下疾病进行鉴别诊断:①睑板腺癌,多见于上睑,边缘清楚,呈现黄白色肿块,无压痛,似霰粒肿。其病理学特点为肿瘤细胞呈分叶状,聚集成巢状,中心伴有坏死,癌巢周有基底样细胞。而眼睑小圆细胞恶性肿瘤的病理学改变为大小一致的小圆细胞呈弥漫性分布[7]。②淋巴瘤,初期表现常以眼部不适、眼睑肿胀为主,严重可致上睑下垂,眼球活动受限、复视,结膜下可见似鱼肉样肿块[8]。而眼睑小圆细胞恶性肿瘤的肿块不具有典型性。B细胞淋巴瘤患者的典型CT征象为眶壁骨质侵蚀。T细胞淋巴瘤患者眼睑常伴有溃疡和红斑[9]。③侵袭性神经纤维瘤,表现多以眼睑肿物、眼球移位呈现[10]。常伴有神经纤维瘤病综合征,全身可见肿块多发性沿神经干走形。④基底细胞癌,以下睑多见,常为结节样肿块,病程后期肿块中央可破溃出血,严重的可侵袭眼眶、面部等邻近组织[11]。病理学特点常可见基底细胞样细胞聚集形成小叶、索条状,周边有基质环绕。而眼睑小圆细胞常呈弥漫性分布。⑤鳞状细胞癌,眼睑可呈现出红斑、斑块、结节状、乳头状肿物等,病变发展较快,短期内可破溃[12]。其发病与紫外线照射、光化学损伤及应用免疫抑制药物有一定关联。⑥黄色瘤,黄色肿物对称性分布于上眼睑[13]。病理表现为大量泡沫细胞浸润、杜顿细胞、淋巴滤泡与胶原纤维轻度变性,组织病理学提示非朗格汉斯细胞黄色肉芽。而眼睑小圆细胞恶性肿瘤的病理改变无胶原纤维变性和泡沫细胞等的浸润[13]
综上所述,眼睑小圆细胞恶性肿瘤比较少见,临床表现不典型,影像等辅助诊断方法缺乏特异性,病理及免疫组化可明确诊断。早发现、积极治疗原发病及彻底切除病患是治疗该病和改善预后的关键因素。
[1]
Bismar TA, Basturk O, Gerald WL, Schwarz K, Adsay NV . Desmoplastic small cell tumor in the pancreas. Am J Surg Pathol, 2004,28(6):808-812.

[2]
Machado I, Yoshida A, Morales MGN, Abrahão-Machado LF, Navarro S, Cruz J, Lavernia J, Parafioriti A, Picci P, Llombart-Bosch A . Review with novel markers facilitates precise categorization of 41 cases of diagnostically challenging, “undifferentiated small round cell tumors”. A clinicopathologic, immunophenotypic and molecular analysis. Ann Diagn Pathol, 2018,( 34):1-12.

[3]
Morley AM, deSousa JL, Selva D, Malhotra R . Techniques of upper eyelid reconstruction. Surv Ophthalmol, 2010,55(3):256-271.

[4]
李明, 刘少倩, 陈碾, 段非交, 谢红炬 . 自体组织再造睑板联合颞区皮瓣修复下眼睑全层缺损. 中南大学学报(医学版), 2017,42(6):662-666.

[5]
李晓华 . 硬腭黏膜移植联合眶周表浅肌肉腱膜系统皮瓣重建全层眼睑缺损. 国际眼科杂志, 2010,10(8):1564-1566.

[6]
潘雪峰, 童峰峰 . 颞侧眶骨膜联合皮瓣转移治疗上睑中外侧全层缺损16例分析. 现代实用医学, 2011,23(7):780-781.

[7]
何春燕, 张盛忠, 尹鸿雁, 刘红刚 . 眼睑基底细胞癌与睑板腺癌的临床病理学对比观察. 临床与实验病理学杂志, 2009,25(3):302-306.

[8]
潘宇澄, 沙炎, 彭卫军, 蔡生东 . 眼附属器淋巴瘤的影像学表现. 放射学实践, 2007,22(7):694-697.

[9]
Svendsen FH, Heegaard S . Lymphoma of the eyelid. Surv Oph-thalmol, 2017,62(3):312-331.

[10]
Chaudhry IA, Morales J, Shamsi FA, Al-Rashed W, Elzaridi E, Arat YO, Jacquemin C, Oystreck DT, Bosley TM . Orbitofacial neurofibromatosis: clinical characteristics and treatment out-come. Eye(Lond), 2012,26(4):583-592.

[11]
Marzuka AG, Book SE . Basal cell carcinoma: pathogenesis,epidemiology, clinical features, diagnosis,histopathology, and management. Yale J Biol Med, 2015,88(2):167-179.

[12]
Donaldson MJ, Sullivan TJ, Whitehead KJ, Williamson RM . Squamous cell carcinoma of the eyelids. Br J Ophthalmol, 2002,( 86):1161-1165.

[13]
齐心竹, 陈晗, 范斌, 李光宇 . 成人双侧眼睑巨大黄色瘤一例. 新医学, 2017,48(3):197-200.

文章导航

/