研究论著

多种快速评估右心室收缩功能方法比较:心脏磁共振多中心研究

  • 罗琳 ,
  • NgMing-Yen ,
  • 何健龙 ,
  • 陈燕 ,
  • 马玉佩 ,
  • 贾亦真 ,
  • 沈新平
展开
  • 中国香港,香港大学李嘉诚医学院(Ng Ming-Yen)
沈新平,E-mail:

Copy editor: 杨江瑜

收稿日期: 2019-11-18

  网络出版日期: 2020-04-01

基金资助

深圳市科技研发资金基础研究项目(JCYJ20150331142757386)

版权

版权所有,未经授权,不得转载、摘编本刊文章,不得使用本刊的版式设计。

Comparison of different methods for rapid assessment of right ventricular systolic function: a multi-center cardiac magnetic resonance imaging study

  • Luo Lin ,
  • Ng Ming-Yen ,
  • He Jianlong ,
  • Chen Yan ,
  • Ma Yupei ,
  • Jia Yizhen ,
  • Shen Xinping
Expand
  • Department of Radiology, Medical Imaging Center, the University of Hong Kong-Shenzhen Hospital, Shenzhen 518035, China
Shen Xinping, E-mail:

Received date: 2019-11-18

  Online published: 2020-04-01

Copyright

Copyright reserved © 2020.Office of Acta Agronomica Sinica All articles published represent the opinions of the authors, and do not reflect the official policy of the Chinese Medical Association or the Editorial Board, unless this is clearly specified.

摘要

目的 比较磁共振评估右心室收缩功能几种主观及客观半定量快速方法的诊断准确性。方法 回顾性分析多中心心脏磁共振(CMR)扫描161例不同疾病及正常志愿者的影像资料,使用右心室射血分数(RVEF)、目测评估、三尖瓣环收缩位移、右心室缩短率、右心室面积变化率(RVFAC)、右心室心肌纵向应变/应变率、右心室心肌径向应变/应变率分别测量评估右心室收缩功能,统计分析各快速评估方法与传统方法RVEF的相关性。结果 各快速评估方法在RVEF≥45%者(99例)与RVEF < 45%者(62例)的差异均有统计学意义(P均< 0.05)。ROC曲线结果显示各快速评估方法对RVEF < 45%均具有较高的诊断准确性,且均具有较高的灵敏度,其中RVFAC的灵敏度、特异度最均衡。结论CMR快速评估右心室收缩功能的主观及客观半定量方法均具有较高的诊断准确性,受过训练的有经验医师可以使用目测评估,经验欠缺的医师可以选择任一种快速半定量方法评估右心室收缩功能,尤以RVFAC为佳。

本文引用格式

罗琳 , NgMing-Yen , 何健龙 , 陈燕 , 马玉佩 , 贾亦真 , 沈新平 . 多种快速评估右心室收缩功能方法比较:心脏磁共振多中心研究[J]. 新医学, 2020 , 51(3) : 199 -204 . DOI: 10.3969/j.issn.0253-9802.2020.03.009

Abstract

Objective To compare the diagnostic accuracy of several subjective and objective semi-quantitative MRI methods for rapid evaluation of the right ventricular systolic function.Methods The cardiac magnetic resonance (CMR) cine data of 161 patients with different diseases and healthy volunteers from multiple centers were retrospectively analyzed.The right ventricular ejection fraction (RVEF) was measured by traditional golden standard method.Visual evaluation and rapid evaluation of tricuspid annulus systolic displacement (TAPSE), right ventricular fractional shortening (RVFS), right ventricular fractional area change (RVFAC), right ventricular longitudinal strain (RVLS) / strain rate (RVLSSR) and right ventricular radial strain (RVRS) / strain rate (RVRSSR) were performed to assess the right ventricular systolic function.The correlation between the rapid evaluation method and traditional golden method was statistically analyzed.Results The TAPSE, RVFS, RVFAC, RVLS, RVLSSR, RVRS and RVRSSR significantly differed between RVEF≥45% (n = 99) and RVEF < 45% (n = 62) in patients with different diseases and healthy volunteers (P < 0.05).Each rapid measurement method evaluated by ROC curve had relatively high diagnostic accuracy and sensitivity when RVEF < 45%.The sensitivity and specificity of RVFAC were the most balanced.Conclusions All subjective and objective semi-quantitative methods for rapid evaluation of the right ventricular systolic function by CMR have relatively high diagnostic accuracy.The trained experienced doctors can perform visual evaluation.Inexperienced doctors can choose any semi-quantitative rapid method to quickly evaluate the right ventricular systolic function, preferably the RVFAC.

对象与方法

一、研究对象

回顾性分析了2015年3月至2019年6月在香港大学深圳医院及香港大学李嘉诚医学院2个中心3部不同机型及场强行CMR检查的250例各种不同疾病的CMR图像,排除标准为:图像质量不佳(呼吸运动、心律失常)、瓣膜严重返流或其他原因所致右心室游离壁显示不清的病例,共入组161例病例[包含148例不同疾病患者及13名正常志愿者,其中男5名、女8名,年龄(35±15)岁],男110例、女51例,年龄(50±16)岁。所有病例在CMR检查前均签署了知情同意书。本研究经香港大学深圳医院医学伦理委员会批准。
根据文献标准及指南,右心室收缩功能的金标准为磁共振右心室射血分数(RVEF),右心收缩功能下降定义为RVEF < 45%。将入组患者分成RVEF < 45%组( 62例)和RVEF ≥ 45% 组(99例)。患者一般资料见表1
表 1 RVEF≥45%组和RVEF< 45%组一般资料比较
组 别 总数 RVEF≥45%组(n = 99) RVEF < 45%组(n = 62) t/2 P值
年龄(岁, 50±16 49±16 52±16 -1.16 0.250
男性[例(%)] 110(68) 60(60) 50(81) 7.07 0.008
体质量(kg, 67±14 65±13 69±15 -1.79 0.075
身高(cm, 166±12 166±7 169±9 -2.37 0.019
体表面积(m2, 1.7±0.2 1.7±0.2 1.8±0.2 -3.09 0.002
基础疾病(例)
缺血性心肌病 13 3(3) 10(16) 8.81 0.003
非缺血性扩张性心肌病 66 25(25) 41(66) 26.34 < 0.001
肥厚性心肌病 39 39(39) 0(0) 32.23 < 0.001
高血压相关肥厚性心肌病 3 3(3) 0(0) - 0.285a
心肌淀粉样变性 1 1(1) 0(0) - 1.000a
致右心室心律失常性心肌病 1 0(0) 1(2) - 0.385a
左心室心肌致密化不全 2 2(2) 0(0) - 0.523a
瓣膜病 1 1(1) 0(0) - 1.000a
直背综合征 1 1(1) 0(0) - 1.000a
慢性肾病 12 10(10) 2(3) 1.71 0.191
先天性心脏病(法洛氏四联症) 8 2(2) 6(10) - 0.056a
肿瘤化学治疗后(蒽环类) 1 1(1) 0(0) - 1.000a

注:a Fisher确切概率法

二、检查设备与方法

1.图像扫描

在香港大学深圳医院,100例病例使用德国西门子 Avanto 1.5T 磁共振进行扫描,联合6通道表面相控阵线圈和相对应的2 ~ 3个脊柱相控阵线圈进行了常规心脏的定位、扫描。电影序列(包括二腔心电影、三腔心电影、四腔心电影、包含左心室及右心室从心底部至心腔部层面的短轴电影)采用回顾性心电门控平衡式稳态自由进动梯度回波(SSFP)序列扫描。共采集25个期相,短轴电影根据心脏大小采集8 ~ 13个层面不等,其他电影序列各一层。扫描参数为:短轴电影层厚8 mm,层间距0 mm,矩阵192×100,时间分辨率40 ms,空间分辨率1.7 mm×1.7 mm,TR 2.63 ms,TE 1.1 ms,翻转角77°。
在香港大学李嘉诚医学院,34例病例采用飞利浦Achieva 3.0T磁共振,27例病例采用GE 1.5T Signa HDX磁共振。均行左心室二腔心、三腔心、四腔心、右心室二腔心、三腔心及包含左右心室的短轴电影序列扫描。电影序列采用回顾性心电门控平衡式稳态自由进动梯度回波(SSFP)序列,在呼气末采集图像。层厚8 mm,层间距
0 mm,时间分辨率平均27 ~ 30 ms,空间分辨率1.43 mm×1.43 mm,TR 3.4 ms,TE 1.5 ms,翻转角77°。共采集25个期相,根据心脏大小采集8 ~ 13个层面不等。

2.图像后处理

所有图像均导入CVI42后处理软件(Circle Cardiovascular Imaging, Calgary, Canada),在各个电影序列上观察左、右心室的运动,确定左室舒张末期、收缩末期、右心室舒张末期、收缩末期,然后分别进行各种方法的测量。
2.1 CVI42 短轴电影心功能后处理界面
分别在左心室舒张末期、收缩末期勾画左室心内膜(不包括乳头肌)、心外膜,以舒张末期、收缩末期心肌质量指数相等为标准的条件下计算LVEF和左心室每搏输出量(LVSV);分别在右心室舒张末期、收缩末期勾画右心室心内膜(不包括乳头肌),根据四腔心电影序列检查定位线确定心底部层面,并参照右心室二腔心、三腔心电影确定右心室与右心房的分界、右心室流出道及肺动脉瓣的位置以确定勾画右心室腔的轮廓,以LVSV与右心室每搏输出量(RVSV)相等的标准(允许5%的误差)计算准确的RVEF[4]
2.2 CVI42 Viewer界面测量TAPSE及RVFS
观察四腔心电影,分别测量舒张末期右心室心尖至三尖瓣环侧面距离(LengthED)和收缩末期右心室心尖至三尖瓣环侧面距离(LengthES),以LengthED-LengthES计算三尖瓣环收缩位移(TAPSE)及右心室缩短率(RVFS),RVFS= TAPSE/LengthED。
2.3 CVI42 Viewer界面测量RVFAC
观察四腔心电影,分别测量右心室舒张末期面积(RV areaED)和右心室收缩末期面积(RV areaES),计算右心室面积变化率(RVFAC),RVFAC =(RV areaED - RV areaES)/ RV areaED。
2.4 CVI42 Tissue tracking界面上进行右心室2D心肌应变分析
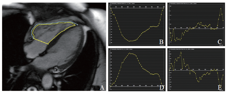
在四腔心电影舒张末期勾画右心室心内膜及游离壁的心外膜,Tissue tracking自动追踪分析右心室游离壁的应变,获得右心室纵向应变(RVLS)、右心室纵向收缩应变率(RVLSSR)、右心室径向应变(RVRS)、右心室径向应变率(RVRSSR),测量值均取绝对值(图1)。
图1 CVI42 Tissue tracking界面上进行右心室2D心肌应变分析

A:勾画右心室内膜及游离壁心外膜,计算得出右心室strain各值,并记录具体数值;B:RVLS;C:RVLSSR;D:RVRS;E:RVRSSR

2.5 目测评估
由2名有4年以上专门从事心脏磁共振诊断工作并取得国际心血管磁共振协会(SCMR)二级(Level Ⅱ)认证的放射科医师分别在不知道患者资料的情况下观察所有能提供相关右心室信息的图像(包括四腔心电影、短轴电影),对各个病例的右心室收缩功能进行目测评估,目测评估RVEF < 45%记为 “1”, RVEF≥45%记为“0”。

三、统计学处理

使用STATA 14 (StataCorp, College Station, TX, USA)对所有数据进行统计学分析。符合正态分布的连续变量以$\bar{x}±S$表示,组间比较采用独立样本t检验。计数资料用例(%)表示,组间比较用2检验或者Fisher确切概率法。采用Pearson或Spearman秩相关分析变量间的相关性。采用受试者工作特征(ROC)曲线分析各评估方法的灵敏度、特异度、阳性预测值、阴性预测值及各半定量方法的阈值,并用Kappa分析诊断一致性。P < 0.05表示差异有统计学意义。

结 果

一、RVEF≥45%组和RVEF < 45%组一般资料比较

RVEF≥45%组和RVEF<45%组比较,性别、身高、体表面积、缺血性心肌病比例、非缺血性扩张性心肌病比例、肥厚性心肌病比例比较差异均有统计学意义(P均< 0.05),其他资料比较差异均无统计学意义(P均> 0.05),具有可比性。

二、各种测量右心室收缩功能参数比较

161例患者分成RVEF≥45%组和RVEF<45%组,各种测量右心室收缩功能参数见表2
表2 不同方法评估右心室收缩功能各参数的测量值
心脏磁共振评价参数 均值 RVEF≥45%(99例) RVEF<45%(62例) t值 P值
RVEDV(ml) 159±61 133±40 201±69 -7.92 < 0.001
RVEDVBSA(ml/m2 90±33 76±20 112±36 -8.15 < 0.001
RVESV(ml) 88±58 54±23 142±59 -13.33 < 0.001
RVESVBSA(ml/m2 50±34 31±13 80±36 -41.16 < 0.001
RVEF(%) 49±16 60±7 31±9 22.87 < 0.001
TAPSE(mm) 19.7±7.5 23.3±6.4 14±5.5 9.46 < 0.001
RVFS(%) 21±9 26±6 14±6 12.35 < 0.001
RVFAC(%) 40±14 47±9 29±13 10.37 < 0.001
RVLS(%) 1.13±6.01 23.70±4.68 17.02±5.64 8.14 < 0.001
RVLSSR 1.32±0.41 1.47±0.38 1.08±0.34 6.59 < 0.001
RVRS(%) 43.92±20 52.53±17.35 30.17±15.88 8.22 < 0.001
RVRSSR 2.5±1.04 2.98±0.88 1.72±0.79 9.19 < 0.001

三、ROC曲线评估结果

各快速测量方法诊断RVEF < 45%的曲线下面积(AUC)、灵敏度、特异度、阳性预测值、阴性预测值及RVEF < 45%时相应阈值、诊断一致性分析见表3
表3 各快速测量方法ROC曲线评估及诊断一致性分析结果
项 目 灵敏度 特异度 阳性预测值 阴性预测值 AUC P值 阈值 与RVEF的Kappa一致性
TAPSE 90% 69% 81% 82% 0.87 < 0.001 <17mm 0.61
RVFS 97% 71% 94% 83% 0.92 < 0.001 <16.4% 0.71
RVFAC 93% 84% 88% 90% 0.94 < 0.001 <36.3% 0.78
RVLS 85% 69% 74% 82% 0.81 < 0.001 <[19.73] 0.55
RVLSSR 83% 65% 70% 79% 0.79 < 0.001 <[1.1] 0.48
RVRS 89% 66% 80% 89% 0.83 < 0.001 <[32.6] 0.58
RVRSSR 88% 69% 78% 82% 0.86 < 0.001 <[2.01] 0.58
医师 1 88% 94% 90% 93% 0.91 < 0.001 N 0.83
医师 2 69% 99% 98% 84% 0.84 < 0.001 N 0.72
各种快速评估右心室收缩功能方法除RVLSSR(AUC = 0.79) 外,其他测量方法的AUC均大于0.8。其中RVFS、RVFAC及医师1的诊断准确性最高(AUC分别为0.92、0.94、0.91),与其他参数的AUC比较差异均有统计学意义(P < 0.01),三者之间比较差异无统计学意义(P > 0.05)。
右心室心肌应变各参数与RVEF具有中等程度的一致性(Kappa值0.48 ~ 0.58),其余快速评估右心室收缩功能参数均与RVEF具有中等-高度的一致性(Kappa值均> 0.6)。医师1具有最均衡的灵敏度(88%)和特异度(94%),与RVEF的诊断一致性最高(Kappa值 = 0.83)。

四、各快速评估右心室收缩功能参数与RVEF相关性

TAPSE、RVFS、RVFAC、RVLS、RVLSSR、RVRS、RVRSSR各参数经检验均符合正态分布,Pearson相关分析显示TAPSE、RVFS、RVFAC、RVLS、RVLSSR、RVRS、RVRSSR与RVEF均呈正相关(r分别为0.626、0.748、0.800、0.657、0.550、0.639、0.671,P均< 0.001);目测分析为分类变量,不符合正态分布,使用Spearman秩相关分析医师1、医师2与RVEF的相关性,rs分别为0.793、0.756,P均< 0.001。

讨 论

快速右心室收缩功能评估方法包括主观目测评估及各种客观定量/半定量方法。本研究分析了161例病例(包括148例不同疾病患者及13名正常志愿者)在多中心、不同机型场强的磁共振图像,对比右心室收缩功能快速评估方法与金标准的诊断准确性和相关性研究。
在本研究中,2名有经验的医师目测回顾分析了右心室的所有专用电影图像(四腔心、短轴、右心室两腔心、三腔心电影),包括他们对RVEF的视觉估计中的三尖瓣环运动程度。与其他方法相比,目测评估表现出了良好的诊断准确性(AUC分别为0.91、0.84),且与金标准的评估有较强的一致性(Kappa值分别为0.83、0.72)。但本研究中的2名医师均为有4年以上CMR诊断、后处理经验并一直从事CMR诊断工作,没有对经验较少的诊断医师进行评估。
根据本研究统计分析结果:客观半定量的方法中,当阈值TAPSE < 17 mm、RVFS < 15.4%、RVFAC < 36.3%、RVLS < 19.7%、RVLSSR < 1.1、RVRS < 32.6%、RVRSSR < 2.01时可反映右心收缩功能不全(RVEF < 45%)。
TAPSE和RVFS提供了较高的诊断准确性,与RVEF的诊断呈中等程度一致性,相关性分析表明与RVEF强相关。其中RVFS更好,且其灵敏度和特异度均更高,这一结果类似于Robin等[5]的研究,可能是因为RVFS比TAPSE对负荷的依赖性更小。
结果表明与TAPSE和RVFS相比,CMR RVFAC是一种更好的评估患者RVEF的指标,RVFAC的 AUC高达0.94,且有较高的诊断灵敏度和特异度,最为均衡。与笔者既往研究类似,与其他相关文献报道结果类似,即选择RVFAC评估右心室收缩功能时出错的机会较少,可能与RVFAC同时包含了右心室长轴方向运动及游离壁向心腔内运动变化有关[3, 6-9]
本研究中心肌应变CMR组织追踪(CMR-TT),利用心肌应变和应变率等参数评估心肌纵向、径向应变,理论上反映了生理状态下右心室泵功能本质为纵向缩短和具有类似重要性的径向运动[10,11,12]。但本研究结果显示尽管RVLS、RVLSSR、RVRS、RVRSSR的诊断准确性均较好,却较其他快速测量方法诊断准确性低,笔者认为可能与其每个参数只反映右心室心肌其中一种方式的运动有关,而其他方法反映右心室整体运动同时包含参与右心室收缩的多种因素。CMR-TT各参数与RVEF诊断一致性一般,与Gertz等[13]研究类似。相关性分析显示各参数均与RVEF呈强相关(除RVLSSR与RVEF呈中等程度相关),文献报道CMR-TT与RVEF中度相关[14,15]。与strain的其他技术如心肌标记(Tagging)、应变编码和位移编码自旋回波(DENSE)相比,CMR-TT后处理要求较低,因此可以使用CMR-TT对右心收缩功能进行快速评估[9]。本研究不足之处:为回顾性分析,样本量不够大,有一定的偏倚,多中心、多机型的研究能部分弥补此部分不足。
综上所述,快速评估右心室收缩功能的主观、客观半定量CMR方法均具有较好的诊断准确性。对右心收缩功能的快速评估,受过CMR诊断规范训练有经验的医师目测评估最为简便,而经验欠缺的医师可选用RVFAC、RVFS等半定量的方法。CMR-TT心肌应变分析需特殊的后处理软件,右心收缩功能的整体评估并不比其他方法有优势,但如有此后处理软件,可以作为评估右心室心肌不同层次、方向、节段运动评估的补充,可根据疾病的需求选用。
[1]
Kawut SM, Barr RG, Lima JA, Praestgaard A, Johnson WC, Chahal H, Ogunyankin KO, Bristow MR, Kizer JR, Tandri H, Bluemke DA . Right ventricular structure is associated with the risk of heart failure and cardiovascular death: the Multi-Ethnic Study of Atherosclerosis (MESA)——right ventricle study. Circulation, 2012,126(14):1681-1688.

[2]
Kawel-Boehm N, Maceira A, Valsangiacomo-Buechel ER, Vogel-Claussen J, Turkbey EB, Williams R, Plein S, Tee M, Eng J, Bluemke DA . Normal values for cardiovascular magnetic resonance in adults and children. J Cardiovasc Magn Reson, 2015,17:29.

[3]
罗琳, 何健龙, 陈燕, 马玉佩, 沈新平 . 心脏磁共振快速评估右心室收缩功能方法在常见原发性心肌病的应用. 新医学, 2019,50(2):123-128.

[4]
Schulz-Menger J, Bluemke DA, Bremerich J, Flamm SD, Fogel MA, Friedrich MG , Kim RJ, von Knobelsdorff-Brenkenhoff F, Kramer CM, Pennell DJ, Plein S, Nagel E.Standardized image interpretation and post processing in cardiovascular magnetic resonance: Society for Cardiovascular Magnetic Resonance (SCMR) board of trustees task force on standardized post processing. J Cardiovasc Magn Reson, 2013,15:35.

[5]
Robin J, Fintel B, Pikovskaya O, Davidson C, Cilley J, Flaherty J . Multiple myeloma presenting with high-output heart failure and improving with anti-angiogenesis therapy: two case reports and a review of the literature. J Med Case Rep, 2008,2:229.

[6]
Barczuk-Falęcka M, Małek ŁA, Roik D, Werys K, Werner B ,Brzewski M.Right ventricular end-systolic area as a simple first-line marker predicting right ventricular enlargement and decreased systolic function in children referred for cardiac magnetic resonance imaging. Clin Radiol , 2018,73(6): 592. e9-e592.e14.

[7]
Hoette S, Creuzé N, Günther S, Montani D, Savale L, Jaïs X, Parent F, Sitbon O, Rochitte CE, Simonneau G, Humbert M, Souza R, Chemla D . RV fractional area change and tapse as predictors of severe right ventricular dysfunction in pulmonary hypertension: a cmr study. Lung, 2018,196(2):157-164.

[8]
Simsek E, Nalbantgil S, Ceylan N, Zoghi M, Kemal HS, Engin C, Yagdi T, Ozbaran M . Assessment of right ventricular systolic function in heart transplant patients: correlation between echocardiography and cardiac magnetic resonance imaging.Investigation of the accuracy and reliability of echocardiography. Echocardiography, 2017,34(10):1432-1438.

[9]
Yang LT, Yamashita E, Nagata Y, Kado Y, Oshima S, Otsuji Y, Takeuchi M . Prognostic value of biventricular mechanical parameters assessed using cardiac magnetic resonance feature-tracking analysis to predict future cardiac events. J Magn Reson Imaging, 2017,45(4):1034-1045.

[10]
江添, 刘明辉 . 实时三平面斑点追踪技术评价肥厚型心肌病左心室整体及节段收缩期纵向应变的研究. 新医学, 2016,47(2):113-116.

[11]
Lakatos BK, Tokodi M, Assabiny A, Tősér Z, Kosztin A, Doronina A, Rácz K, Koritsánszky KB, Berzsenyi V, Németh E, Sax B, Kovács A, Merkely B . Dominance of free wall radial motion in global right ventricular function of heart transplant recipients. Clin Transplant, 2018,32(3):e13192.

[12]
Lakatos BK, Kiss O, Tokodi M, Tősér Z, Sydó N, Merkely G, Babity M, Szilágyi M, Komócsin Z, Bognár C, Kovács A, Merkely B . Exercise-induced shift in right ventricular contraction pattern: novel marker of athlete’s heart? Am J Physiol Heart Circ Physiol, 2018,315(6):H1640-H1648.

[13]
Gertz RJ, Lange T, Kowallick JT, Backhaus SJ, Steinmetz M, Staab W, Kutty S, Hasenfuß G, Lotz J, Schuster A . Inter-vendor reproducibility of left and right ventricular cardiovascular magnetic resonance myocardial feature-tracking. PLoS One, 2018,13(3):e0193746.

[14]
Shehata ML, Harouni AA, Skrok J, Basha TA, Boyce D, Lechtzin N, Mathai SC, Girgis R, Osman NF, Lima JA, Bluemke DA, Hassoun PM, Vogel-Claussen J . Regional and global biventricular function in pulmonary arterial hypertension: a cardiac MR imaging study. Radiology, 2013,266(1):114-122.

[15]
Tong X, Poon J, Li A, Kit C, Yamada A, Shiino K, Ling LF, Choe YH, Chan J, Lau YK ,Ng MY. Validation of cardiac magnetic resonance tissue tracking in the rapid assessment of RV function: a comparative study to echocardiography. Clin Radiol, 2018, 73(3):324e9-e324. e18.

文章导航

/