综合病例研究

临床表现不明显的妊娠中晚期胎死宫内、子宫破裂并坏死一例

  • 李丹 ,
  • 张国青 ,
  • 郑连文 ,
  • 徐影
展开
  • 130000 长春,吉林大学第二医院生殖医学中心
徐影,E-mail:

Copy editor: 林燕薇

收稿日期: 2019-12-02

  网络出版日期: 2020-08-05

版权

版权所有,未经授权,不得转载、摘编本刊文章,不得使用本刊的版式设计。

Fetal death, uterine rupture and necrosis in the middle and late stage of pregnancy without obvious clinical manifestations: a case report

  • Li Dan ,
  • Zhang Guoqing ,
  • Zheng Lianwen ,
  • Xu Ying
Expand
  • Reproductive Medicine Center, the Second Hospital of Jilin University, Changchun 130000, China
Xu Ying, E-mail:

Received date: 2019-12-02

  Online published: 2020-08-05

Copyright

Copyright reserved © 2019

摘要

子宫破裂是产科严重的并发症,随着剖宫产率的增加,瘢痕子宫已成为子宫破裂最为常见的危险因素,其中以剖宫产术后出现妊娠期子宫破裂最为多见。子宫破裂典型的临床表现为剧烈腹痛、烦躁、血尿、阴道流血等。该文报道1例临床表现不明显的妊娠中晚期胎死宫内、子宫破裂并坏死患者的诊疗过程,提示临床医师应提高对于子宫破裂的早期识别水平,及时给予特殊病史患者个体化治疗,尽量避免此类患者严重不良妊娠结局的发生。

本文引用格式

李丹 , 张国青 , 郑连文 , 徐影 . 临床表现不明显的妊娠中晚期胎死宫内、子宫破裂并坏死一例[J]. 新医学, 2020 , 51(7) : 558 -561 . DOI: 10.3969/j.issn.0253-9802.2020.07.014

Abstract

Uterine rupture is a serious obstretric complication. With the increase of cesarean section rate, scarred uterus has become the most common risk factor of uterine rupture, especially the uterine rupture during pregnancy after cesarean section. Typical clinical manifestations of uterine rupture are severe abdominal pain, irritability, hematuria and vaginal bleeding, etc. In this article, the diagnosis and treatment process of one case of fetal death, uterine rupture and necrosis in the middle and late stage of pregnancy without obvious clinical manifestations were reported. The medical staff should improve their early recognition of the occurrence of uterine rupture, timely deliver individualized treatment for patients with special medical history, and avoid the incidence of serious adverse pregnancy outcomes in these patients.

子宫破裂是产科严重的并发症,随着剖宫产率的增加,瘢痕子宫已成为子宫破裂最为常见的危险因素,其中以剖宫产术后出现妊娠期子宫破裂最为多见。子宫破裂典型的临床表现为剧烈腹痛、烦躁、血尿、阴道流血等。本文报道1例临床表现不明显的妊娠中晚期胎死宫内、子宫破裂并坏死患者的诊疗过程,以供临床同道参考。

病例资料

一、病史及体格检查

患者女,32岁,已婚,文化程度小学。因不规则阴道流血半个月,发现胎死宫内1 d于2019年11月20日入院。患者在孕期无明显恶心、呕吐等早孕反应,未感胎动。因该患者未觉妊娠迹象,孕期未行常规产前检查。近半个月无明显诱因出现不规则阴道流血,量少,色暗红,伴明显腥臭味,1 d前于当地医院就诊并行妇科彩色多普勒超声(彩超)检查,结果示单死胎、中期妊娠、胎盘前置状态。遂急诊转入我院。患者平素月经不规律,月经初潮14岁,月经周期60 ~ 90 d,持续2 ~ 3 d,末次月经2019年3月18日(据彩超推算)。患者孕42,分别于2008年、2018年经剖宫产分娩2活胎,现孩子身体健康,5年前药物流产1次。既往除2次剖宫产术外,还于2009年行经腹子宫切口囊肿切除术,2018年意外Ⅲ度烧伤,以腹部为著,多次、长期应用大剂量糖皮质激素(激素)(具体不详),自烧伤以来,长期口服布洛芬(具体不详)。
入院体格检查:体温36.6℃,脉搏104次/分,呼吸15次/分,血压103/72 mm Hg(1 mm Hg =0.133 kPa)。一般状态尚可,神志清晰,心肺未见异常,全身皮肤多出可见烧伤瘢痕及色素缺失,以腹部瘢痕最为严重,部分创面至今未愈,腹部皮肤温、触、痛觉缺失。子宫底高度在剑突下三横指,胎儿臀位,未闻及胎心。

二、实验室及辅助检查

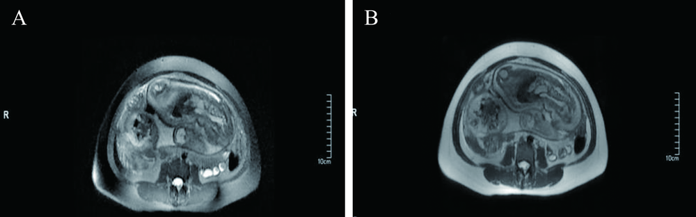
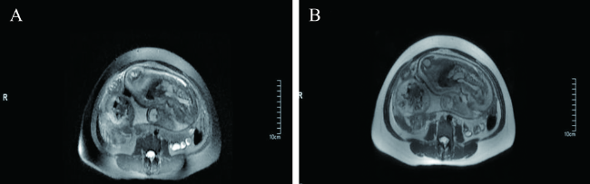
入院血常规:血红蛋白80 g/L,红细胞3.1×1012/L,白细胞9.0×109/L,中性粒细胞0.75,淋巴细胞0.25,血小板552.0×109/L。尿常规:白细胞计数10 909/μl,细菌计数342.97/μl。血超敏CRP 203 mg/L,降钙素原0.0045 μg/L。三维彩超表现:子宫内见一胚型,轮廓不清,胎头颅骨光环已变形,臀位,胎心未闻及,双顶径5.6 cm,头围23.4 cm,胎盘成熟度Ⅱ~Ⅲ级,子宫颈内口上方见胎盘组织,羊水指数几乎为0,子宫后方可见5.0 cm×4.0 cm网格无回声,形态欠清,界限欠清。超声诊断:宫内单死胎,胎龄35+2周,无羊水,胎盘前置状态,孕妇盆腔囊性包块。盆腔MRI表现:子宫壁菲薄,可见胎儿部分肢体向后下方突出于子宫轮廓,邻近子宫后下壁局部肌层信号不连续,周围盆腔内见囊性低T1、高T2信号,胎盘轮廓显示不清,部分达子宫内口,见图1。MRI诊断:不排除子宫破裂,部分前置胎盘。
图1 一例妊娠中晚期胎死宫内、子宫破裂并坏死的MRI检查结果

A:重复时间 899.7 ms,回波时间56.0 ms;B:重复时间 883.4 ms,回波时间55.9 ms

三、诊治经过

入院诊断:孕42,孕35+2周,纵产式,左骶前位,死胎,部分性前置胎盘,子宫破裂可能,瘢痕子宫。考虑患者胎死宫内时间不明确,可能继发盆腔感染及炎性包裹,且盆腔MRI不排除子宫破裂,遂急诊行剖腹探查术。术中探查:盆腹腔粘连严重,子宫呈黄绿色,严重坏死,子宫下段形成欠佳,子宫壁菲薄,质脆,取子宫近下段横切口,见黄绿色脓样液体流出,伴恶臭,术中徒手以左骶前位娩出一男性近足月死婴,胎体严重腐烂,后探查见子宫右侧壁破裂,胎头自此处穿出,头皮部分剥脱,与子宫壁、周围处大网膜及肠管紧密粘连,见图2。术中速请结直肠外科医师会诊,行大网膜部分切除术、腐烂全子宫切除术、双侧输卵管切除术。术中患者出血约1100 ml,给予输注同型红细胞悬液3 U、血浆390 ml。经左侧腹壁留置盆腔引流管1枚,术后给予抗感染、支持治疗,转入ICU进一步观察。
图2 一例妊娠中晚期胎死宫内、子宫破裂并坏死的术中所见

A:胎儿头皮部分剥脱,与子宫壁、周围处大网膜及肠管紧密粘连;B:胎儿娩出后严重坏死的子宫

术后常规病理结果回报:送检部分大网膜组织内见大量急慢性炎症细胞浸润,局部呈囊性改变,囊内壁见较多坏死及炎性渗出,局部囊壁内见多量角化物,并见有多核巨细胞反应。送检子宫组织大部分上皮坏死脱落,见大量急慢性炎性细胞浸润,有较多角化物及多核巨细胞反应,子宫肌壁薄,纤维组织增生,慢性宫颈炎,双侧输卵管炎性细胞浸润。
术后当日复查血常规:血红蛋白98 g/L,白细胞14.6×109 /L,中性粒细胞0.927,血小板424.0×109 /L。凝血酶原时间16.3 s,凝血酶原活动度67%,抗凝血酶64%,白蛋白27.0 g/L。ESR 56 mm/h,超敏CRP 151 mg/L。腹腔引流液细菌培养未见细菌生长,多次尿细菌培养亦未见明显异常。术后第2日,患者出现双侧胸腔积液、低蛋白血症,脑钠肽213.0 ng/L,给予补充白蛋白、血浆等抗心力衰竭治疗。术后第3日,复查患者双下肢血管彩超,结果示左下肢轻度静脉血栓,给予抗凝对症处理。术后患者体温无明显升高,多次复查血常规,白细胞最高为14.6×109 /L。然而考虑患者腹腔感染严重,且凝血功能障碍,可能与感染相关,遂于术后给予美罗培南联合替加环素抗感染治疗,患者恢复良好,并于术后第6日出院。出院诊断:胎死宫内,部分性前置胎盘,子宫破裂,瘢痕子宫,产后出血,盆腔粘连。

讨论

子宫破裂是产科严重的并发症,随着剖宫产率的增加,瘢痕子宫已成为子宫破裂最为常见的危险因素[1]。其中以剖宫产术后出现妊娠期子宫破裂最为多见[2]。本例患者近10年内先后共行3次子宫相关手术,且最近一次剖宫产术距此次妊娠不足2年,发生妊娠期子宫破裂风险明显增加,同时亦不能排除该患者存在瘢痕妊娠,随孕周增加发生子宫破裂的可能。
子宫破裂典型的临床表现为剧烈腹痛、烦躁、血尿、阴道流血等[3]。本例患者的上述症状均不明显,可能的原因有:①患者平素月经不规律,将孕期阴道流血史视为月经来潮,孕期无明显早孕反应,未能及时发现妊娠,从而延误就诊时间。②患者在2018年意外Ⅲ度烧伤,以腹部为著,腹部皮肤全层烧伤,包括真皮深层和皮肤附件全部变性坏死,烧伤创面痛觉丧失,硬如皮革。局部的周围神经受损,可能出现神经纤维渐进性坏死以及神经炎和多发性神经炎等改变,导致子宫破裂时腹部痛感不明显[4]。③患者为缓解烧伤疼痛长期服用布洛芬。布洛芬作为一种低选择性环氧酶-1抑制剂,通过抑制花生四烯酸代谢过程中的环氧酶,使前列腺素合成减少,以达到解热、镇痛、抗炎作用,可抑制白细胞活动,减少溶酶体释放,使局部痛觉冲动减少,痛觉的敏感性降低[5]。该患者自述腹部皮肤触觉、痛觉缺失。④该患者烧伤治疗过程中,曾多次、反复应用大剂量激素,激素可抑制中性粒细胞、单核细胞和巨噬细胞向炎症区域的聚集,同时抑制巨噬细胞对抗原的反应能力,从而达到抗炎作用;也可使血小板和纤维蛋白原增多,凝血时间缩短;并使中性粒细胞增多,但降低其游走、吞噬等功能;也能减少血中单核细胞和嗜酸性粒细胞[6]。激素还具有较强的免疫抑制作用,抑制巨噬细胞对抗原的吞噬和处理,使血中淋巴细胞迅速降低,抑制淋巴因子引起的炎症反应[7]。本例患者在术后白细胞最高为14.6×109 /L,仅超敏CRP升高,最高达151mg/L,术后多次腹腔引流液细菌培养均阴性,病程中血小板明显增多且患者无明显发热、腹痛症状,未继发感染性休克、DIC等严重并发症,可能与激素作用相关。⑤大网膜具有强大的分泌、吸收、防御、包裹功能。本例术中见胎儿头皮已与子宫壁、周围处大网膜及肠管紧密粘连,形成炎性包裹,也可能与临床表现隐匿相关。
本文病例极为罕见,术中见胎儿及子宫严重腐烂,胎儿头部与子宫壁、大网膜及肠管广泛紧密粘连,难以分离,胎儿早已宫内死亡,不规则阴道流血系宫腔坏死组织自阴道排出,患者末次月经应早于2019年3月18日。另外患者先前因意外烧伤,致使腹部触觉、痛觉等感觉缺失,加之其对于女性生理卫生常识缺乏认识,出现子宫破裂临床表现未予重视,从而导致了严重的不良妊娠结局。因此加强女性对于自身生理卫生宣教,提高临床医师对于子宫破裂情况发生的早期识别,及时给予特殊病史患者个体化治疗是防止此类事件再次发生的关键。
[1]
李咪琪, 黄素芳. 妊娠期子宫破裂高危因素的研究进展. 国际妇产科学杂志, 2019,46(1):53-56.

[2]
徐雷, 邵华江. 子宫瘢痕对再次妊娠的影响. 新医学, 2017,48(2):78-82.

[3]
郝丽英. 完全子宫破裂误诊分析. 临床误诊误治, 2018,31(12):27-29.

[4]
陈意生, 史景泉, 晏良遂, 谯怡然, 刘友生. 烧伤的病理学研究. 医学研究杂志, 1999,28(11):6.

[5]
周瑾, 顾柯. 非甾体类抗炎药物在慢性疼痛治疗中的应用. 中国医刊, 2012,47(11):19-23.

[6]
李洁, 何川疆, 谢志军. 糖皮质激素药理特性及其药物制剂的研究进展. 中外女性健康研究, 2016,20:31-32.

[7]
Löwenberg M, Verhaar AP, Bilderbeek J, Marle Jv, Buttgereit F, Peppelenbosch MP, van Deventer SJ, Hommes DW. Gluco-corticoids cause rapid dissociation of a T-cell-receptor-associated protein complex containing LCK and FYN. EMBO Rep, 2006,7(10):1023-1029.

PMID

文章导航

/