研究论著

伴牛痘样水疱皮肤损害的慢性活动性EB病毒感染一例并文献复习

  • 刘靖薇 ,
  • 江文文 ,
  • 邓丽君 ,
  • 杨京华 ,
  • 林晓红
展开
  • 518116 深圳,深圳龙岗中心医院中医科(刘靖薇);510120 广州,广州中医药大学第二附属医院 广东省中医院罗笑容名医工作室(刘靖薇,江文文,邓丽君,杨京华,林晓红)
杨京华,E-mail:

Copy editor: 洪悦民

收稿日期: 2020-03-25

  网络出版日期: 2020-09-25

基金资助

国家中医药管理局项目罗笑容全国名老中医药传承工作室(14GG2X02)

版权

版权所有,未经授权,不得转载、摘编本刊文章,不得使用本刊的版式设计。

Chronic active Epstein-Barr virus infection featured with hydroa vacciniforme-like eruptions: a case report and literature review

  • Liu Jingwei ,
  • Jiang Wenwen ,
  • Deng Lijun ,
  • Yang Jinghua ,
  • Lin Xiaohong
Expand
  • Department of Traditonal Chinese Medicine, Longgang District Central Hospital of Shenzhen, Shenzhen 518116, China
Yang Jinghua, E-mail:

Received date: 2020-03-25

  Online published: 2020-09-25

Copyright

Copyright reserved © 2020

摘要

目的 总结以牛痘样水疱(HV)为典型皮肤特征的慢性活动性EB病毒感染(CAEBV)的特征,分析其诊治要点。 方法 报道1例伴HV样皮损CAEBV患儿病例,并以“儿童”“牛痘样水疱”和“慢性活动性EB病毒感染”(包括中英文)为关键词在PubMed和中国期刊全文数据库 (CNKI) 进行检索,收集并分析检索到的患者的资料。 结果 该例患儿以反复发热伴全身淋巴结肿大为主要表现,伴HV样皮损,有外周血EB病毒相关滴度抗体改变且EBV-DNA载量增高,皮肤及淋巴结病理检查示EBER(+),排除相关疾病明确CAEBV诊断。患儿接受异基因造血干细胞移植后病情好转且稳定。检索文献共收集到6篇相关病例报道,主要分布于东亚,感染EBV细胞主要为T淋巴细胞,抗病毒治疗、化学治疗等治疗效果不佳。 结论 HV为CAEBV的典型皮肤特征,有助于早期诊断。干细胞移植对CAEBV有效,但其治疗时机存在争议,移植前应充分评估患者状态,以把握治疗时机。

本文引用格式

刘靖薇 , 江文文 , 邓丽君 , 杨京华 , 林晓红 . 伴牛痘样水疱皮肤损害的慢性活动性EB病毒感染一例并文献复习[J]. 新医学, 2020 , 51(9) : 680 -686 . DOI: 10.3969/j.issn.0253-9802.2020.09.008

Abstract

Objective To summarize the characteristics of one case of chronic active Epstein-Barr virus infection(CAEBV)featured with hydroa vacciniforme(HV), and analyze the highlights of diagnosis and treatment. Methods One case of CAEBV complicated with HV-like eruption was reported. Literature review was conducted from PubMed and CNKI by using keywords of ‘child/children’‘chronic active Epstein-Barr virus infection’ and ‘hydroa vacciniforme-like eruption’ both in Chinese and English. The data of the searched patients were collected and analyzed. Results The main manifestations of this patient included repeated fever and systemic lymph node enlargement accompanied by hydroa vacciniforme-like eruption. Laboratory examination showed the changes of EBV-related antibody titer in the peripheral blood and increased EBV-DNA load. Excluding the possibility of autoimmune and tumor diseases, the diagnosis of CAEBV was confirmed by the skin and lymph node pathology. The patient’s condition was improved and stable after treated with allogeneic hematopoietic stem cell transplantation. A total of 6 cases were retrieved, mainly distributed in East Asia. T lymphocytes were the main type of cells infected with EBV. Antiviral therapy and chemotherapy yielded poor clinical efficacy. Conclusions HV is a typical skin feature of CAEBV, which is helpful for early diagnosis of CAEBV. Stem cell transplantation is the most promising and effective treatment for CAEBV. Nevertheless, the timing of treatment is controversial. Prior to transplantation, the patients’ conditions should be comprehensively evaluated to determine the optimal treatment timing.

多数无免疫功能缺陷的个体感染EB病毒(EBV)后表现为慢性活动性EBV感染(CAEBV),其病理表现为EBV持续感染不同类型细胞引起淋巴组织增殖性疾病(EBV+LPD),T淋巴细胞型和自然杀伤细胞(NK)型常见于亚洲、中美洲及南美洲,而B淋巴细胞型常见于白种人[1,2]。CAEBV临床罕见,在没有接受干细胞移植治疗(HCT)的情况下,患者被确诊后一般在10到15年内死亡,并且有可能进展为噬血细胞综合征、淋巴瘤等,因此早期诊断有助于把握治疗时机,提高生存率,降低恶性转化率。CAEBV临床症状无特异性,表现形式多种多样,伴皮肤损害的CAEBV在儿童少见[3]。牛痘样水疱(HV)为CAEBV的典型临床特征,但在临床上易被忽视。现报道我院收治的1例伴HV的CAEBV患儿,并检索相关文献进行分析。

对象与方法

一、一例伴HV的CAEBV患儿的临床资料收集

笔者于2019年4月1日收治1例CAEBV患儿,收集并分析其病史、各项检查、治疗及转归等资料。

二、文献检索

以“儿童”“慢性活动性EB病毒感染”和“牛痘样水疱”(包括中英文)为关键词对PubMed和中国期刊全文数据库(CNKI)中截至2020年4月收录的论文进行检索,收集并分析伴HV的CAEBV患儿的资料。

结果

一、一例伴HV的CAEBV患儿的病历资料

1.主诉与病史

患儿女,8岁,因发热、咽痛7 d于2019年4月1日至广州中医药大学第二附属医院(广东省中医院)就诊。患儿入院时以反复发热、发热时淋巴结肿大、全身散在水疱为主要症状。患儿为第1胎,足月顺产,出生时无产伤及窒息史,出生后人工喂养,适时添加辅食,生长发育正常。无蚊虫叮咬过敏史。患儿母亲有地中海贫血病史,否认有其他家族遗传病、传染病及类似病史。2017年3月患儿曾因面神经麻痹住院,予鼠神经生长因子等治疗1月余,痊愈后出院;2017年12月曾患猩红热住院,接受抗感染治疗,痊愈后出院,其后家属自觉患儿免疫力明显下降,反复出现呼吸道感染;2018年7月再次因面神经麻痹而住院治疗1月余,痊愈后出院。2018年至2019年间患儿反复发热,在外院就诊,考虑为化脓性扁桃体炎予抗生素治疗后发热可退,但有反复,初起发热时间间隔1 ~ 2个月,近半年来发热更频密,约半个月1次,体温波动于38 ~ 41℃,发热时颈部淋巴结肿大,热退后淋巴结缩小。2019年2月出现全身散在水疱,部分呈牛痘样,对日光照射及蚊虫叮咬敏感,在外院行免疫相关检查及心脏彩色多普勒超声检查(彩超)等,结果均无明显异常。2019年3月23日,患儿开始出现反复发热及咽痛,热峰40℃,遂于2019年3月28日至我科门诊就诊,检测血常规血红蛋白113 g/L,红细胞4.5×1012/L,白细胞6.04×109/L,中性粒细胞0.36,淋巴细胞0.53,血小板194×109/L;ESR 11 mm/h,超敏
CRP 16.75 mg/L。门诊医师诊断为“急性化脓性扁桃体炎”,予患儿口服阿莫西林克拉维酸钾片、施保利通等,其发热可退但仍反复,遂收入院治疗。

2.体格检查、实验室及辅助检查

体格检查:神志清晰,精神稍倦,营养中等,发育基本正常。颈部、手掌、下肢可见散在水疱,部分结痂,无皮下出血点,见图1。左颌下可触及一枚肿大淋巴结,大小约0.9 cm×0.8 cm,颈部双侧、腋窝及腹股沟区可触及数枚肿大淋巴结,最大约1.0 cm×0.8 cm,质软,无压痛,表面光滑,活动度可。咽充血(+),双侧扁桃体Ⅰ°肿大,左侧扁桃体可见白色分泌物附着。心肺无异常。全腹平软,无压痛及反跳痛,肝、脾未触及肿大,肝区无叩痛,肠鸣音正常。
图1 一例伴HV的CAEBV患儿的HV外观

A:头颈部;B:头面部;C:手部;D:小腿部

2019年4月2日至4月6日的实验室检查如下,血常规血红蛋白125 g/L,红细胞4.6×1012/L,白细胞8.05×109/L,中性粒细胞0.50,淋巴细胞0.46,血小板229×109/L。超敏CRP 32.73 mg/L。抗链球菌溶血素239 IU/ml。IgA 13.69 g/L,总补体溶血活性(CH50)47 U/ml,淋巴细胞亚群CD3+34.50%、CD3+CD4+19.51%、CD3+CD8+ 12.67%,CD3-CD16+CD56+50.66%。外周血细胞形态中性杆状核6%,中性分叶核35%,淋巴细胞49%,单核细胞5%,嗜酸性粒细胞5%。EBV抗体中EB-VCA-IgM(-),EB-VCA-IgG(+)、EB-EA -IgM(-),EB-NA-IgG(+)。外周血EBV核酸检验(EBV-DNA)(+,3.45×107 copies/ml)。甲型流感病毒抗原(+)。
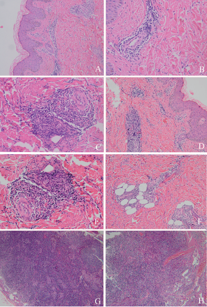
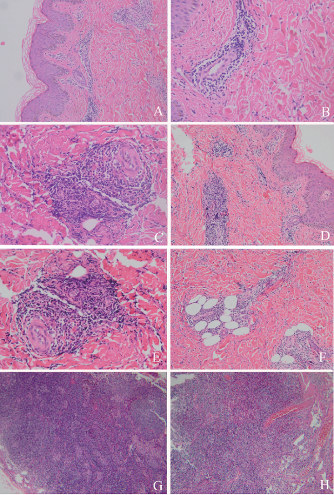
2019年4月2日至4月6日的辅助检查如下,腹部彩超:①脾稍大,副脾;②肝脏、胆囊、胰腺未见明显异常声像。正电子发射断层显像/计算机断层显像(PET/CT):①全身多处(左侧腮腺浅叶区,双侧颈部间隙Ⅱ区,左侧颈部间隙Ⅴ区,双侧腋窝,双侧腹股沟区)多个轻度增大淋巴结,代谢不同程度增高,考虑淋巴增生性疾病;②右侧跟骨处溶骨性低密度灶,代谢仅略增高,考虑良性改变:右侧耻骨下支骨质改变,需注意骨折可能;③双侧下肢远端、左足皮肤多发小结节样轻度高代谢灶,件局部皮肤轻度增厚,皮下脂肪间隙模糊;④鼻咽顶后壁软组织增厚且代谢增高,考虑腺样体增生(炎性改变);⑤前上纵隔软组织灶,代谢轻度增高,考虑胸腺反应性增生或生理性摄取改变;⑥其余部位未见明显异常高代谢病灶。皮肤病理活组织检查(活检):①送检皮肤(右小腿皮肤组织)未见角化过度或角化不全,棘层未见增厚,轻度海绵水肿,基底细胞色素增加,真皮全层血管丛、汗腺周围较多淋巴细胞浸润,皮肤病理改变考虑与EBV感染相关;②分子病理结果为EBER(+);③免疫组织化学检查(免疫组化) 结果为CD3 (大部分+),CD20(个别散在+),CD4(部分弱+),CD8(部分+),Ki-67(15%+),病理图见图2A ~ F。
图2 一例伴HV的CAEBV患儿的皮肤及淋巴结病理切片图

A ~ F:皮肤病理活检;G、H:淋巴结活检

淋巴结病理活检结果(颈部淋巴结2枚):①符合EBV阳性的淋巴组织增生性病变;②分子病理结果,EBER(颗粒状阳性);③免疫组化结果,CD20(滤泡中心阳性),CD3(滤泡间区阳性),CD21 (滤泡树突细胞阳性),Ki-67(滤泡中心阳性),CD68(散在阳性),病理图见图2G、H。

3.治疗与转归

本例患儿诊断为:①CAEBV;②流行性上呼吸道感染(甲型)。予患儿口服磷酸奥司他韦颗粒(60 mg、2次/日、5 d)抗病毒治疗,并予中医药辨证治疗(口服)、补液、体温管理等对症支持处理,患儿热退,精神好转,考虑患儿暂无严重并发症表现,一般情况尚可,建议患儿家属将其转至外院儿童血液专科就诊。

4.随访情况

患儿于2019年4月22日出院,于外院行骨髓穿刺检查,骨髓细胞形态学示:①增生活跃,G∶E为1.55∶1;②粒系比例占41%,中性中幼粒细胞比例减低,其余阶段中性粒细胞比例尚属正常,各阶段细胞形态无异常;可见嗜酸及嗜碱性粒细胞,比例、形态无异常;③红系比例占26.5%,各阶段细胞比例、形态大致正常;成熟红细胞形态大致正常;④淋巴细胞比例增高,均为成熟淋巴细胞,以成熟小淋巴细胞为主,各细胞形态无异常;⑤全片(25 mm×30 mm)见巨核细胞约271个;血小板多见,易见群集分布;⑥未见肿瘤细胞及寄生虫体。同年6月患儿于外院先后接受改良ESCAP(依托泊苷+阿糖胞苷+门冬酰胺酶+甲泼尼龙+泼尼松)及CHOP(环磷酰胺+多柔比星+长春新碱+泼尼松)2个方案共2个疗程的化学治疗,第1次化学治疗过程中患儿出现细胞因子风暴及肠道感染,第2次化学治疗过程顺利,后于同年7月接受预处理放射治疗方案(TML+TLI+脾区照射),同年8月接受异基因造血干细胞移植(allo-HSCT) 治疗,计划回输者为患儿父亲的骨髓及外周血干细胞,移植后患儿出现口腔溃疡,予加强保护黏膜治疗好转,随访至2020年4月,患儿无再出现反复发热、皮肤损害等症状,一般情况良好。

二、文献检索结果

检索数据库后共收集到6篇相关病例报道[8,9,10,11,12,13]。病例主要在东亚,其中男4例、女2例,感染EBV细胞主要为T淋巴细胞,抗病毒治疗、化学治疗等治疗效果不佳。6例患儿的资料见表1
表1 伴HV的CAEBV患儿资料
序号 年份/第一作者/
国家
发病年龄/性别/
病程/EBV感染细胞
HV皮肤损害表现 治疗 预后
1 2013/Watanabe Y/
日本[8]
6岁/男/9年/
γδT
面部、躯干和四肢反复出
现水疱
减低强度预处理后骨
髓移植
完全缓解16个月
2 2012/Wada T/
日本[9]
14岁/女/10年/
γδT
对日光敏感的疱疹 不详 不详
3 2009/高建兴/
中国[10]
7岁/男/7月/不详 颜面部皮疹,初为透亮疱疹,
后破溃后结痂,结痂后不留
瘢痕,反复成批出现
更昔洛韦、丙种球蛋
白、泼尼松、环孢素
A、IFN等治疗
随访2年后病故,
具体原因不详
4 2003/Katagiri Y/
日本[11]
4岁/男/3月/NK 头面部和双侧前臂反复出
现疱疹、坏死性皮疹
泼尼松龙20 mg/d,环
孢素50 mg/d,依托泊
苷100 mg/d
临床症状虽有所改
善,但EBV抗体滴
度及外周血中EBV
DNA水平无变化
5 2012/Tanaka C/
日本[12]
3岁/女/数月/
γδT
脐状囊泡状丘疹,中心坏
死,对日光敏感
allo-HSCT 外周血单个核细胞
中未检测到EBV基
因组,皮疹无复发
6 2012/Zeng Y/
中国[13]
16岁/男/13年/
不详
散在的红斑丘疹,头面部
水疱,病变逐渐累及躯干
和四肢,逐渐形成坏死性、
慢性溃疡性病变
泼尼松龙40 mg/d,
更昔洛韦500 mg/d,
共2周
皮肤损害好转

讨论

CAEBV最早于20世纪70年代被提出,直到20世纪80年代学者们才最终确定其命名,相对于西方国家,东亚尤其是日本CAEBV患儿的病情更重[14]。CAEBV发病机制尚未明确,主要与EBV感染的T淋巴细胞、NK等细胞淋巴组织增生有关。CAEBV的临床症状无特异性,表现形式多样,以反复发热、淋巴结肿大、肝脾肿大为主要特征,还可伴肝功能异常、血液系统异常(血小板减少/贫血)、皮肤损害(蚊虫叮咬的变态反应/皮疹/HV)、视网膜炎等,其中有约9.8%患儿与本例患儿一样出现HV[15]。CAEBV诊断标准尚未统一,目前国际上较为公认的诊断标准包括2002年美国国立卫生研究院(NIH)的诊断标准以及日本学者Okano提出的诊断标准,在此基础上中华医学会儿科学分会感染学组提出了国内的诊断标准,诊断需满足:①传染性单核细胞增多症(IM)样症状(发热、淋巴结肿大和肝脾肿大)持续或反复发作3个月以上。IM已报道的其他系统并发症可以辅助诊断,如血液系统(血细胞减少)、消化系统(出血及溃疡)、呼吸系统(间质性肺炎)、五官(视网膜炎)、皮肤(HV或蚊虫过敏)以及心血管并发症(动脉瘤或心瓣膜病)等。②有EBV感染及引起组织病理损害的证据,满足下列条件之一,a.血清EBV抗体滴度异常升高,包括抗VCA-IgG≥1∶640或抗EA-IgG≥1∶160,VCA-IgA和(或)EA-IgA阳性;b.外周血单个核细胞(PBMC)中EBV-DNA载量高于1×102.5 copies/μg,或外周血EBV-DNA阳性;目前认为外周血EBV-DNA载量增加比EBV抗体滴度异常的诊断意义更大;c.受累组织中EBV-EBV编码的小RNA(EBER)原位杂交或EBV-LMP1免疫组化染色阳性;d. Southern杂交在组织或外周血细胞中检测出EBV-DNA[7]。③排除目前已知自身免疫性疾病、肿瘤性疾病以及免疫缺陷性疾病所致的上述临床表现[4,5,6]。本例患儿确诊为CAEBV的依据如下:①患儿出现反复发热、淋巴结肿大、脾稍大等IM样症状,症状反复出现3个月以上,近来出现典型的HV;②血清EBV抗体滴度异常,外周血EBV-DNA阳性提示EBV感染,皮肤病理活检示EBER(+)、淋巴结病理活检示EBER(颗粒状阳性),提示受感染病理组织损害;③排除了目前已知的自身免疫性疾病、肿瘤性疾病以及免疫缺陷性疾病。
HV是由于痂皮脱落后,在皮损部位留下永久性、凹陷性瘢痕,形如痘疤,因而得名。结合本例患儿及文献检索结果,其疱疹多与光敏感相关,但也有病例的疱疹不仅出现在皮肤的暴露日光区域,非暴露日光区域也会出现。本例患儿出现反复发热及淋巴结肿大的症状,需与有相似症状的疾病进行鉴别,而临床观察到患儿HV的典型皮肤表现使诊断方向更明确,考虑患儿发病与EBV感染密切相关。据文献报道,部分CAEBV患儿皮肤表现非常典型(HV/对蚊虫高度过敏),因此,典型的皮肤表现有助于早期诊断[16]
本次文献检索结果显示,伴HV样皮损的CAEBV患儿感染EBV细胞为T淋巴细胞或NK,其实质为EBV阳性T淋巴细胞/NK EBV+LPD,其与HV、HV样淋巴瘤(HVLL)为同一疾病谱。HV是一种光敏感性疾病,且不伴发热、淋巴结肿大、肝脾肿大等全身疾病,以皮肤损害为主要症状;HV及HVLL代表这一谱系的不同阶段,而如何界定学术界尚无定论,国内学者总结诊断HVLL需要从病理及免疫方面鉴别,如明显的异形淋巴细胞,血管和脂肪层明显受累,免疫组化有明确的细胞分类指向,细胞毒颗粒相关蛋白明显阳性,Ki-67阳性比例高等[17]
来自日本和美国对CAEBV自然历史的回顾表明,大多数患者在没有接受HCT的情况下会在确诊后10到15年内死亡[2]。预后不良的危险因素包括外周血EBV-DNA载量高、发病年龄在8岁以上、血小板和白蛋白减少、EBV感染的是T淋巴细胞、有UNC13D基因突变等[18]。而伴HV的CAEBV,紫外线照射可能也会影响其预后[19]。治疗方面,HCT是目前治疗CAEBV最具有前景的方法,然而其治疗时机尚存在争议[20]。一般而言,建议在CAEBV确诊的早期阶段实施HCT,因为到CAEBV晚期,患儿容易出现各种器官功能障碍,会增加移植相关死亡率[21]。另外,CAEBV如果进展为嗜血细胞综合症或淋巴瘤,对患儿而言是致命的,因此,建议在转为恶性疾病之前就予以HCT治疗,但要避免在无症状阶段的任何过度治疗[22]。如果进行化学治疗后疾病仍处于活动状态则建议尽快进行HCT[15]。在外周血EBV-DNA载量显著增加的基础上,进行性皮肤损害为疾病活动状态之一,疾病的活动状态为消极的预后因素,因此,对于伴皮肤损害的CAEBV患者,需要动态观察其皮肤损害。总而言之,在行HCT前应充分评估患者状态以把握治疗时机。
[1]
陈天明, 邓志娟, 胡冰, 胡惠丽, 陈荷英, 李绍英, 刘钢. EB病毒阳性淋巴组织增殖性疾病13例临床与病理特征. 中华儿科杂志, 2018,56(10):759-764.

[2]
Hue SS, Oon ML, Wang S, Tan SY, Ng SB. Epstein-Barr virus-associated T-and NK-cell lymphoproliferative diseases: an update and diagnostic approach. Pathology, 2020,52(1):111-127.

DOI PMID

[3]
巴宏军, 徐玲玲, 李轩狄, 林约瑟, 彭慧敏, 王慧深, 覃有振. 慢性活动性EB病毒感染合并系统性血管炎1例并文献复习. 实用临床医学, 2019,20(4):66-68,73.

[4]
中华医学会儿科学分会感染学组, 全国儿童EB病毒感染协作组. 儿童主要非肿瘤性EB病毒感染相关疾病的诊断和治疗原则建议. 中华儿科杂志, 2016,54(8):563-568.

[5]
Ko YH, Chan JKC, Quintanilla-Martinez L. Hematopathology. 2nd ed. Philadelphia: Elsevier, 2017: 565-598.

[6]
Hong M, Ko YH, Yoo KH, Koo HH, Kim SJ, Kim WS, Park H. EBV-positive T/NK-cell lymphoproliferative disease of childhood. Korean J Pathol, 2013,47(2):137-147.

DOI

[7]
Bollard CM, Cohen JI. How I treat t-cell chronic active epstein-barr virus disease. Blood, 2018,131(26):2899-2905.

DOI PMID

[8]
Watanabe Y, Sasahara Y, Satoh M, Looi CY, Katayama S, Suzuki T, Suzuki N, Ouchi M, Horino S, Moriya K, Nanjyo Y, Onuma M, Kitazawa H, Irie M, Niizuma H, Uchiyama T, Rikiishi T, Kumaki S, Minegishi M, Wada T, Yachie A, Tsuchiya S, Kure S. A case series of CAEBV of children and young adults treated with reduced-intensity conditioning and allogeneic bone marrow transplantation: a single-center study. Eur J Haematol, 2013,91(3):242-248.

DOI

[9]
Wada T, Toga A, Sakakibara Y, Toma T, Hasegawa M, Takehara K, Shigemura T, Agematsu K, Yachie A. Clonal expansion of epstein-barr virus (EBV)-infected γδT cells in patients with chronic active EBV disease and hydroa vacciniforme-like eruptions. Int J Hematol, 2012,96(4):443-449.

DOI

[10]
高建兴, 黄莹. 慢性活动性EB病毒感染致肝硬化1例. 现代中西医结合杂志, 2009,18(30):3758-3759.

[11]
Katagiri Y, Mitsuhashi Y, Kondo S, Kanazawa C, Iwatsuki K, Tsunoda T. Hydroa vacciniforme-like eruptions in a patient with chronic active EB virus infection. J Dermato, 2003,30(5):400-404.

[12]
Tanaka C, Hasegawa M, Fujimoto M, Iwatsuki K, Yamamoto T, Yamada K, Kawa K, Saikawa Y, Toga A, Mase S, Wada T, Takehara K, Yachie A. Phenotypic analysis in a case of hydroa vacciniforme-like eruptions associated with chronic active epstein-barr virus disease of γδ T cells. Br J Dermatol, 2012,166(1):216-218.

DOI PMID

[13]
Zeng Y, Fu L, Jin H, Sun Q, Wang B. Hydroa vacciniforme-like Epstein-Barr virus-associated lymphoproliferative disease: a case report. Pediatr Dermatol, 2012,29(1):96-100.

DOI

[14]
宋红梅. 儿童慢性活动性EB病毒感染. 中国实用儿科杂志, 2010,25(8):583-585.

[15]
秦强, 谢正德. 慢性活动性EBV感染的诊疗进展. 传染病信息, 2019,32(2):175-180.

[16]
茅君卿, 杨世隆, 宋华, 赵芬英, 徐晓军, 顾敏儿, 汤永民. 儿童慢性活动性EB病毒感染临床及实验室检查特征. 中国当代儿科杂志, 2014,16(11):1081-1085 .

[17]
任发亮, 张韡, 朱进, 欧阳莹, 李红梅, 向娟, 杨欢, 王华. 种痘样水疱病样EB病毒感染相关淋巴细胞增生性疾病临床与病理分析. 中国中西医结合皮肤性病学杂志, 2015,14(2):75-80.

[18]
李微, 刘玉峰. 慢性活动性EB病毒感染治疗进展. 中国继续医学教育, 2018,10(7):110-112.

[19]
刘阳禾, 王雷, 马翠玲. 种痘样水疱病样淋巴组织增生性疾病研究进展. 实用皮肤病学杂志, 2018,11(1):30-33.

[20]
Sato E, Ohga S, Kuroda H, Yoshiba F, Nishimura M, Nagasawa M, Inoue M, Kawa K. Allogeneic hematopoietic stem cell transplantation for epstein-barr virus-associated T/natural killer-cell lymphoproliferative disease in Japan. Am J Hematol, 2008,83(9):721-727.

DOI PMID

[21]
Kawa K, Sawada A, Sato M, Okamura T, Sakata N, Kondo O, Kimoto T, Yamada K, Tokimasa S, Yasui M, Inoue M. Excellent outcome of allogeneic hematopoietic SCT with reduced-intensity conditioning for the treatment of chronic active EBV infection. Bone Marrow Transplant, 2011,46(1):77-83.

PMID

[22]
Arai A. Chronic active epstein-barr virus infection: a bi-faceted disease with inflammatory and neoplastic elements. Immunol Med, 2018,41(4):162-169.

DOI PMID

文章导航

/