研究论著

子宫颈浸润性复层产黏液性癌临床病理分析

  • 李海凤 ,
  • 林维真 ,
  • 周璐 ,
  • 张娜娜
展开
  • 510630 广州,中山大学附属第三医院病理科
张娜娜,E-mail:

Copy editor: 林燕薇

收稿日期: 2020-04-12

  网络出版日期: 2020-11-17

基金资助

国家自然科学基金(81902416)

广东省自然科学基金(2018A0303130324)

版权

版权所有,未经授权,不得转载、摘编本刊文章,不得使用本刊的版式设计。

Clinicopathological analysis of invasive stratified mucin-producing carcinoma of cervix

  • Li Haifeng ,
  • Lin Weizhen ,
  • Zhou Lu ,
  • Zhang Nana
Expand
  • Department of Pathology, the Third Affiliated Hospital of Sun Yat-sen University, Guangzhou 510630, China
Zhang Nana, E-mail:

Received date: 2020-04-12

  Online published: 2020-11-17

Copyright

Copyright reserved © 2020

摘要

目的 探讨子宫颈浸润性复层产黏液性癌(ISMC)的临床病理学特点。方法 回顾性分析1例子宫颈ISMC患者的临床病理特征,分析子宫颈ISMC的细胞学、组织学特征及免疫组织化学染色(免疫组化)表达特点。以“浸润性复层产黏液性癌”“复层产黏液上皮内病变”“子宫颈肿瘤”及“病理诊断”为检索词(包括中英文),对2020年3月前发表在PubMed、中国知识基础设施工程(CNKI)数据库及中国生物医学文献服务系统(SinoMed)的相关文献进行检索,收集并分析其临床病理特征。结果 该例女性患者50岁,因阴道排液、出血就诊,盆腔MRI示子宫颈局部肿物考虑子宫颈癌,子宫颈液基细胞学提示为高级别鳞状上皮内病变(HSIL),人乳头瘤病毒(HPV)高危型18型阳性。病理活组织检查肿瘤呈乳头状增生并局部呈实性巢片状浸润性生长,细胞有异型性,核分裂像易见,胞浆透亮,可见黏液空泡。免疫组织化学染色示细胞角蛋白7(CK7)及P16弥漫强阳性,CK5/6、胰岛素样生长因子2 mRNA结合蛋白3(IMP3)部分阳性,P40、P63阴性,Ki67约90%阳性,黏液染色(阿尔新蓝染色)阳性,病理诊断为子宫颈ISMC。文献复习22例,多数病例中出现阴道流液、出血等症状,发病年龄29 ~ 66岁、中位年龄48岁,随访1.5 ~ 126个月,其中5例因疾病进展死亡,4例出现复发或转移。结论 ISMC是组织学形态类似于复层产黏液上皮内病变的浸润性癌,子宫颈ISMC非常罕见,正确识别及诊断子宫颈ISMC对临床及时治疗具有重要意义。

本文引用格式

李海凤 , 林维真 , 周璐 , 张娜娜 . 子宫颈浸润性复层产黏液性癌临床病理分析[J]. 新医学, 2020 , 51(11) : 850 -855 . DOI: 10.3969/j.issn.0253-9802.2020.11.009

Abstract

Objective To analyze the clinicopathological characteristics of invasive stratified mucin-producing carcinoma (ISMC) of cervix. Methods The clinicopathological features of 1 case of ISMC were retrospectively analyzed. The cytological, histological and immunohistochemical staining characteristics were analyzed. Literature review related to ISMC was performed from PubMed, China National Knowledge Infrastructure (CNKI), SinoMed before March 2020 by using the searching words of “invasive stratified mucin-producing carcinoma”, “stratified mucin-producing intraepithelial lesion”, “cervical tumors” and “pathological diagnosis”. The clinicopathological characteristics were collected and analyzed. Results A 50-year-old female patient was admitted to our hospital for her symptoms of vaginal discharge and bleeding. Pelvic magnetic resonance imaging (MRI) showed a local cervical mass, which was suspected as cervical carcinoma. Cervical fluid-based cytology (TCT) suggested a diagnosis of high-grade squamous intraepithelial lesion (HSIL) and human papilloma virus DNA testing revealed HPV18(+). Pathological biopsy demonstrated the tumor was in a papillary and partially solid infiltrating growth pattern. The tumor cells had cellular atypia with visible mitosis, translucent in cytoplasm or a lot of mucus in vacuoles. Immunohistochemically, the tumor cells were diffusely positive for CK7 and P16, partially positive for CK5/6 and IMP3, but negative for P40 and P63. Ki67 index was approximately 90% positive. The mucus staining (Alcian blue) was positive in cytoplasm. The histological diagnosis of ISMC was finally confirmed. A total of 22 cases of ISMC were retrieved in the previous literature. A majority of them presented with vaginal discharge or bleeding. The age of onset was ranged from 29 to 66 years old with a median age of 48 years old. The follow-up endured from 1.5 to 126 months. Five cases died of disease progression and 4 cases developed recurrence or metastasis. Conclusions ISMC is an invasive tumor with a SMILE-like histological morphology, which has been extremely rarely encountered in clinical practice. Accurate diagnosis is of significance for timely treatment of ISMC of the cervix.

子宫颈复层产黏液上皮内病变(SMILE)被认为是起源于子宫颈转化区储备细胞的罕见病变,在2000年由Park等[1]首次提出。WHO(2014年)女性生殖器官肿瘤组织学分类及相关研究进展中,SMILE被认为是原位腺癌的一种新亚型[2,3]。SMILE相对于HSIL和原位腺癌发病率低,在形态学上均有重叠,有发展成为浸润性癌的风险。2016年Lastra等[4]和Onishi等[5]2个团队均报道了形态学类似于SMILE的浸润性肿瘤,命名为浸润性复层产黏液性癌(ISMC) ,并提出SMILE可能是ISMC的前期病变。本文回顾性分析近年我院收治的1例子宫颈ISMC患者,并结合文献复习总结ISMC的临床病理学特征,期望提高临床及病理医师对该疾病的认识,减少误诊和漏诊。

对象与方法

一、1例子宫颈ISMC患者临床资料的收集

收集1例我科于2019年5月诊断子宫颈ISMC患者的临床资料,分析其临床病史及病理诊断资料。

二、文献检索

以“浸润性复层产黏液性癌”“复层产黏液上皮内病变”“宫颈肿瘤”及“病理诊断”,“invasive stratified mucin-producing carcinoma”“stratified mucin-producing intraepithelial lesion”“cervical tumors”“pathological diagnosis”为检索词,对2020年3月前发表在外文数据库(PubMed)、中国知网(CNKI)及中国生物医学文献服务系统(SinoMed)的相关文献进行检索,收集并分析其临床病理特征。

结果

一、 1例子宫颈ISMC病历资料

1. 病史、实验室及辅助检查

患者女,50岁。因阴道流液2年、阴道流血1 d于2019年5月来我院住院治疗。该患者2年前无明显诱因出现阴道排液,淋漓不尽,量逐渐增多,持续至今,1 d前出现阴道流血,色鲜红,量如月经,遂至我院进一步诊治。入院时体温36.4℃,脉搏83次/分,呼吸20次/分,血压137/84 mm Hg(1 mm Hg = 0.133 kPa)。妇科专科检查:外阴发育正常,阴道通畅,可见少量血性分泌物,子宫颈可见菜花样赘生物,大小约4 cm×5 cm,触之易出血,宫旁组织有浸润,双附件无明显异常。入院时血常规示血红蛋白108 g/L,白细胞5.80×109/L,红细胞5.17×1012/L,红细胞压积 0.347,平均红细胞体积67.1 fl,平均血红蛋白量20.90 pg,平均血红蛋白 311 g/L,血小板437×109/L,中性粒细胞0.675,淋巴细胞0.253,癌抗原125(CA125)218.5 kU/L,癌胚抗原112.5 μg/L,鳞状细胞癌抗原(SCC)4.400 μg/L,子宫颈拭子人乳头瘤病毒(HPV)核酸分型检测(杂交捕获法)示HPV高危型18型(HPV18)阳性。盆腔MRI平扫+增强扫描:子宫颈局部见一大小约4.5 cm×3.0 cm×2.0 cm菜花样肿物,考虑为子宫颈癌(ⅡB期),累及阴道前壁上份、宫旁脂肪;双侧髂血管旁淋巴结转移。

2. 病理学检查

2.1 子宫颈液基细胞学(TCT)

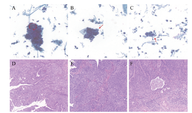
低倍(100倍)视野细胞数量尚丰富,细胞呈散在或小片状分布,高倍(400倍)视野呈簇状、片状聚集、蜂窝状或拥挤重叠排列,部分似有腺管样结构,细胞核有异型性,核染色质粗糙,可见小核仁,细胞群内及单个细胞胞浆内有黏液感,偶见大的黏液空泡出现,背景有明显的出血或肿瘤性特征,见图1A ~ C。
图1 一例子宫颈ISMC患者的子宫颈TCT涂片及活检结果

A ~ C(巴氏染色,×400):子宫颈TCT涂片中可见细胞呈小片状、蜂窝状或簇状拥挤排列,细胞核染色质粗糙,局部似有腺腔样结构形成(A箭头所指),细胞团个别细胞内有较大的黏液空泡(B、C箭头所指),背景有较明显的出血或肿瘤性素质;D ~ F(HE染色,D×100,E、F×200):子宫颈活检结果,细胞呈乳头状增生,局部有腺腔样结构形成(D、F),细胞周围呈栅栏状排列,细胞胞浆透亮,见较多黏液空泡,局部巢片状浸润间质(E),间质见较多中性粒细胞浸润及活跃的核分裂像(F)

2.2 病理活组织检查(活检)结果

大体送检为1.5 cm×1.0 cm×0.3 cm的灰黄色碎组织一堆,部分表面呈乳头状,质软。HE染色制片光学显微镜下观察,显示部分区域复层上皮细胞呈乳头状增生,灶性呈实性片状浸润性生长,局灶区域可见小腺管样排列趋势,细胞有异型性,核分裂像易见,细胞胞浆丰富、淡染,可见黏液空泡,较多中性粒细胞浸润(图1D ~ F)。免疫组化示细胞角蛋白7(CK7)及P16弥漫强阳性,CK5/6、胰岛素样生长因子2 mRNA结合蛋白3(IMP3)部分阳性,P40、P63阴性,细胞增殖指数(Ki67)约90%阳性,黏液染色(阿尔新蓝染色)阳性(图2A ~ F)。结合活检组织、免疫组化及特殊染色结果,最终病理诊断为ISMC。
图2 一例子宫颈ISMC患者的子宫颈活检组织免疫组化结果(×100)

A:P16呈弥漫强阳性;B:CK7呈弥漫强阳性;C:Ki67约90%阳性;D:IMP3部分阳性;E:CK5/6部分阳性;F:黏液染色示肿瘤细胞胞质中较多黏液

3. 随访

患者在病理活检确诊后,临床未进一步手术,采取放射治疗和化学治疗(放化疗)结合。2020年3月盆腔MRI平扫+增强扫描显示,放化疗后病灶较前明显缩小。截至撰稿日共随访10个月,暂未见确切疾病进展证据。

二、子宫颈ISMC相关文献检索结果

文献检索结果见表1,共检索到22例,59%(13/22)的病例见阴道流液、出血等症状,患者发病年龄29 ~ 66岁、中位年龄48岁,临床以手术与放化疗结合等综合治疗方式为主。22例随访1.5 ~ 126个月,其中5例因疾病进展死亡,4例出现复发或转移。
表1 子宫颈浸润性复层产黏液性癌文献检索结果
序号 第一作者 年龄
(岁)
临床病史 标本情况+治疗 随访时间(月),
结果
1 Lastra[4] 64 未知 子宫切除 36,肺转移
2 Lastra[4] 44 阴道出血 子宫颈活检 未知
3 Lastra[4] 39 HSIL 子宫颈活检+放化疗 9,肺转移
4 Lastra[4] 46 未知 锥切活检 未知
5 Lastra[4] 34 未知 锥切活检 未知
6 Lastra[4] 43 未知 子宫切除 未知
7 Lastra[4] 38 阴道流血 子宫切除,切除查见SMILE 未知
8 Lastra[4] 45 快速发展的腹水,可疑腺癌 子宫双附件切除+分期活检 1.5,死亡
9 Onishi[5] 40 阴道出血 子宫切除+化学治疗 126,无复发及转移
10 Onishi[5] 44 阴道出血 子宫切除+放射治疗 39,无复发及转移
11 Onishi[5] 66 阴道出血 子宫切除 13,无复发及转移
12 于丽丽[6] 29 阴道出血,高危HPV(+) 子宫双附件切除、淋巴结清扫+化学治疗 13,左输尿管转移
13 赵连花[7] 45 ASC-US,HPV16(+) 子宫切除、淋巴结清扫 5,无复发及转移
14 Horn[8] 59 性交后出血 全子宫系膜切除+淋巴结切除+化学治疗 14,死亡
15 Horn[8] 38 细胞学异常 子宫切除、盆腔淋巴结清扫+放射治疗 28,死亡
16 Horn[8] 34 阴道流液 子宫切除、盆腔淋巴结清扫+放射治疗 13.5,死亡
17 Horn[8] 61 绝经后阴道流血 子宫、盆腔淋巴结切除+放射治疗 12.5,死亡
18 Horn[8] 41 阴道流血,接触性出血 全子宫系膜切除+淋巴结切除+化学治疗 10,复发
19 Lei[9] 47 HPV18(+) 子宫切除 27,无复发及转移
20 Lei[9] 64 绝经后阴道流血,HPV16、18(+) 子宫切除 19,无复发及转移
21 Lei[9] 30 接触性阴道流血,HPV16、18(+) 子宫切除+放化疗 26,无复发及转移
22 张冬梅[10] 43 阴道出血、HPV18(+) 子宫、左附件、右输卵管切除、盆腔淋巴结清扫 3,无复发及转移

讨论

子宫颈ISMC目前被认为是起源于子宫颈转化区储备细胞的罕见病变,是形态学类似于SMILE的侵袭性癌,目前尚未从WHO(2014年)女性生殖器官肿瘤组织学分类中独立出来[2]。2016年Lastra等[4]首次报道了8例ISMC,同年Onishi等[5]报道了3例,2017年国内首次由于丽丽等[6]报道1例,随后2019年赵连花等[7]报道1例、Horn等[8]报道5例及Lei[9]报道3例,2020年张冬梅等[10]报道1例。本文报道1例在我院诊断的子宫颈ISMC,并首次探讨ISMC的子宫颈TCT特点,同时总结文献报道的ISMC的临床病理特征及临床治疗与预后。
在临床上,子宫颈ISMC发病率低,目前报道的22例中,患者发病年龄29 ~ 66岁、中位年龄48岁。多数病例表现为阴道流液、流血,且有少数病例与高危型HPV的感染密切相关[6,7,8,9,10,11]。本例HPV18(+),与之前的报道一致,但由于病例少,其更深入的致病机制有待进一步研究和探讨。在治疗上,临床处理过程尚未完全统一,但主要以手术及辅助放化疗的综合治疗方式。虽然本例随访10个月,放化疗后盆腔MRI平扫+增强检查显示病灶较前明显缩小,目前尚未见确切疾病进展证据。但在文献报道的随访中,有5例因疾病进展死亡,4例出现复发或转移(如肺转移、输尿管转移);另有1例临床表现为快速进展的腹水、可疑腺癌就诊,该例起病急促、凶险,且预后较差,患者在短期内死亡[4, 6, 8]。上述均表明子宫颈ISMC具有侵袭进展的生物学行为,因此,正确识别及诊断子宫颈ISMC对临床及时治疗具有重要意义。
ISMC临床罕见,相关文献报道不多,因缺乏认识,单纯细胞学诊断具有一定困难。目前尚未见文献报道ISMC的细胞学特征,但细胞学上往往能发现异常的细胞形态,首诊时多数细胞学往往报告为意义不明的非典型鳞状细胞(ASC-US)、非典型腺细胞(AGC)、非典型鳞状上皮细胞、不除外高级别鳞状上皮内病变(ASC-H)、高度鳞状上皮内病变(HSIL)、原位腺癌等,本例细胞学首诊时报告为HSIL。ISMC的前驱病变SMILE在细胞学上表现为细胞轻度拥挤,核增大,着色深,核仁不明显,细胞簇边缘相对光滑,容易漏诊[12,13]。本例在活检诊断为ISMC后,回顾性对比子宫颈TCT和组织活检中的形态,发现在细胞学上仔细寻找,可以找到一定的诊断线索。本例报道的ISMC在细胞学上呈簇状、片状聚集、蜂窝状或拥挤重叠排列,部分细胞似形成腺管样结构,细胞有异型性,核染色质粗糙,核膜不规则,可见小核仁,细胞群内及单个细胞胞浆内有黏液感,偶见大的黏液空泡,背景有明显的出血或肿瘤性素质。
2000年Park等[1]描述了一种新的上皮内病变类型SMILE,不同于HSIL和原位腺癌,由不含黏液的复层上皮细胞及含有胞内黏液的上皮细胞构成,周边细胞可呈栅栏状排列,胞浆透亮。WHO(2014年)女性生殖器官肿瘤组织学分类中,SMILE被认为是原位腺癌的一种新特殊亚型[2]。Boyle等[14]回顾性分析了69例SMILE标本,发现这些病变更多地发生于子宫颈转化区,起源于储备细胞,形态学介于HSIL与原位腺癌之间,且常常合并存在,多伴发HSIL,其次是原位腺癌或浸润性癌[15,16,17]。经典的原位腺癌可见明确腺腔结构,腺上皮呈立方状或柱状,较少见复层细胞[18]。SMILE与HSIL最大的区别在于复层细胞胞浆内不会出现黏液空泡。因此,目前更倾向于认为SMILE是具有独立形态学特征的病变。另外有个别病例报道于少见部位(如阴茎)也可发生SMILE且与高危型HPV感染密切相关[19]。随着对SMILE及ISMC更进一步的认识,在感染HPV的其他部位(如阴道、肛门、口腔、咽喉等)也有可能发现类似病变[20]
子宫颈ISMC是形态学类似于SMILE的侵袭性癌,目前对该肿瘤的认识及归属尚未达到共识,多数观点认为其是腺癌的一种亚型[15]。文献报道,ISMC在形态学上如巢片状浸润性生长、周围细胞呈栅栏状排列、细胞胞浆透亮或有黏液空泡、核分裂像易见,间质散在中性粒细胞浸润等[4-7, 10]。上述特点在本例中均有体现,另外本例还观察到肿瘤细胞呈乳头状外生性生长,局灶区域有腺腔样的结构,扩充了对ISCM形态学谱的认识,也更支持该病变倾向于是一种特殊类型腺癌这一观点。在免疫表型上,ISMC与SMILE的表达类似,肿瘤细胞P16、CK7、癌胚抗原往往弥漫强阳性,Ki67较高。P40、P63多阴性或仅局灶基底细胞阳性,CK5/6阴性或者局灶弱阳性[4-7, 10]。PAS染色和黏液染色可显示肿瘤细胞胞质中的黏液[7, 10, 15]。本例的免疫组化及特殊染色均符合上述特征。但是目前文献对于IMP3的表达情况说法不一,在SMILE中通常阴性表达,而在ISMC中则表达增强,在本例中观察到肿瘤细胞呈部分阳性表达,对于IMP3在ISMC的表达情况需要更多的病例总结发现[5, 12]
ISMC需要与以下疾病进行鉴别诊断:①腺样基底细胞癌,临床罕见,大体上一般不形成明确的肿块,在形态学上与ISMC存在许多相似性,包括巢团状结构,周边肿瘤细胞栅栏状排列,但腺样基底细胞癌一般无黏液细胞分化,且P63、P16、CD10强阳性表达,Ki67一般较低;②黏液表皮样癌,在子宫颈非常罕见,与发生于涎腺者相近,由黏液细胞、表皮样细胞和中间型细胞构成,一般无上皮内病变的区域。间质不出现明显的中性粒细胞浸润,具有t(11;19)(q21;13)CRTC1-MAML2基因融合;③伴有黏液的子宫颈良性腺体增生[4, 7, 10]。ISMC临床罕见,容易漏诊,接诊医师需要提高警惕。
在临床治疗方面,文献中提及的子宫颈ISMC治疗方式多数与子宫颈癌的治疗方式相似,以手术切除、放化疗相结合为主。近年来有报道子宫颈癌的生物治疗也有一定效果。但由于目前子宫颈ISMC病例报道少,病例资料有限,规范的临床诊治管理途径有待进一步的研究[21]
综上所述,子宫颈ISMC是形态学上类似于SMILE的浸润性癌,目前相关文献数量有限,本文首次在细胞学涂片中报道总结了ISMC的细胞学特征,总结文献,向同行强调了子宫颈ISMC的诊断与鉴别诊断线索,而其更深刻、更广泛的形态学、免疫组化特征有待进一步的病例积累和总结。目前临床治疗多以手术切除辅助放化疗,规范的临床管理途径也有赖于更多的关注。
[1]
Park JJ, Sun D, Quade BJ, Flynn C, Sheets EE, Yang A, McKeon F, Crum CP. Stratified mucin-producing intraepithelial lesions of the cervix: adenosquamous or columnar cell neoplasia? Am J Surg Pathol, 2000,24(10):1414-1419.

DOI PMID

[2]
Kurman RJ, Carcangiu ML, Herrington CS, Young RH. WHO classification of tumours of female reproductive Organs. Lyon: IARC Press, 2014: 169-206.

[3]
王志强, 金玉兰. 宫颈腺癌及前驱病变与HPV的关系研究进展. 中国医刊, 2018,53(11):1219-1222.

[4]
Lastra RR, Park KJ, Schoolmeester JK. Invasive stratified mucin-producing carcinoma and stratified mucin-producing intraepithelial lesion (SMILE): 15 cases presenting a spectrum of cervical neoplasia with description of a distinctive variant of invasive adenocarcinoma. Am J Surg Pathol, 2016,40(2):262-269.

DOI PMID

[5]
Onishi J, Sato Y, Sawaguchi A, Yamashita A, Maekawa K, Sameshima H, Asada Y. Stratified mucin-producing intraepithelial lesion with invasive carcinoma: 12 cases with immunohistochemical and ultrastructural findings. Hum Pathol, 2016,55:174-181.

DOI PMID

[6]
于丽丽, 赵明, 陈万远, 严益嘉, 何向蕾. 子宫颈浸润性复层产黏液的癌一例. 中华病理学杂志, 2017,46(11):795-796.

[7]
赵连花, 马强, 付萍, 马瑜. 子宫颈浸润性复层产黏液性癌1例并文献复习. 临床与实验病理学杂志, 2019,35(9):1085-1087.

[8]
Horn LC, Handzel R, Borte G, Siebolts U, Haak A, Brambs CE. Invasive stratified mucin-producing carcinoma (i-SMILE) of the uterine cervix: report of a case series and review of the literature indicating poor prognostic subtype of cervical adenocarcinoma. J Cancer Res Clin Oncol, 2019,145(10):2573-2582.

DOI PMID

[9]
Lei R. Invasive stratified mucin-producing carcinoma: a clinicopathological analysis of three cases. Cancer Biol Ther, 2019,20(11):1403-1407.

DOI PMID

[10]
张冬梅, 魏建国, 赵芳, 梁文清. 子宫颈浸润性复层产黏液的癌1例. 临床与实验病理学杂志, 2020,36(2):240-241.

[11]
Sano T, Nakamura C, Yoshida T, Oyama T. Stratified mucin-producing intraepithelial lesions (SMILEs) of the uterine cervix are associated with HPV integration. Pathol Int, 2014,64(12):628-630.

DOI PMID

[12]
Goyal A, Yang B. Cytologic features of stratified mucin producing intraepithelial lesion of the cervix——a case report. Diagn Cytopathol, 2014,42(9):792-797.

DOI

[13]
Schwock J, Ko HM, Dubé V, Rouzbahman M, Cesari M, Ghorab Z, Geddie WR. Stratified mucin-producing intraepithelial lesion of the cervix: subtle features not to be missed. Acta Cytol, 2016,60(3):225-231.

DOI PMID

[14]
Boyle DP, McCluggage WG. Stratified mucin-producing intraepithelial lesion (SMILE): report of a case series with associated pathological findings. Histopathology, 2015,66(5):658-663.

DOI PMID

[15]
Backhouse A, Stewart CJ, Koay MH, Hunter A, Tran H, Farrell L, Ruba S. Cytologic findings in stratified mucin-producing intraepithelial lesion of the cervix: a report of 34 cases. Diagn Cytopathol, 2016,44(1):20-25.

DOI PMID

[16]
Gupta S, Parsons P, Saha A, Wight C. Follow-up of patients with SMILE (stratified mucin producing intraepithelial lesion) on the cervix——a dilemma. Eur J Obstet Gynecol Reprod Biol, 2010,148(2):207-209.

DOI PMID

[17]
陈文静, 陈伟芳, 李荔, 康小玲, 郭玉娟, 林慧娟, 张江宇. 子宫颈产生黏液的复层上皮内病变6例临床病理分析. 临床与实验病理学杂志, 2018,34(10):1163-1165.

[18]
Loureiro J, Oliva E. The spectrum of cervical glandular neoplasia and issues in differential diagnosis. Arch Pathol Lab Med, 2014,138(4):453-483.

DOI

[19]
Michal M, Michal M, Miesbauerova M, Hercogova J, Skopalikova B, Kazakov DV. Penile analogue of stratified mucin-producing intraepithelial lesion of the cervix: the first described case. Am J Dermatopathol, 2016,38(5):e64-e67.

DOI PMID

[20]
胡佐鸿, 赵春. 复层产黏液上皮内病变研究进展. 诊断病理学杂志, 2018,25(6):462-466.

[21]
王欣茹, 原继荣, 王德莹, 吴美丽. 宫颈癌的生物治疗. 新医学, 2016,47(4):214-217.

文章导航

/