研究论著

线粒体动力相关蛋白Drp1在大鼠术后认知功能障碍中的作用

  • 朱国松 ,
  • 唐富东 ,
  • 王开伟
展开
  • 450000 郑州,河南省人民医院麻醉与围术期医学科
王开伟,E-mail:

Copy editor: 洪悦民

收稿日期: 2021-04-02

  网络出版日期: 2021-11-19

基金资助

河南省科技厅科技攻关项目(192102310095)

版权

版权所有,未经授权,不得转载、摘编本刊文章,不得使用本刊的版式设计。

The role of mitochondrial dynamin-related protein 1 in postoperative cognitive dysfunction in rat models

  • Zhu Guosong ,
  • Tang Fudong ,
  • Wang Kaiwei
Expand
  • Department of Anesthesiology and Perioperative Medicine, Henan Provincial People’s Hospital, Zhengzhou 450000, China
Wang Kaiwei, E-mail:

Received date: 2021-04-02

  Online published: 2021-11-19

Copyright

Copyright reserved © 2021

摘要

目的 探讨线粒体动力相关蛋白1(Drp1)在大鼠术后认知功能障碍中的作用。方法 采用随机数表法将64只健康清洁级成年雄性SD大鼠分为生理盐水对照组(C组)、Drp1选择性抑制剂Mdivi-1腹腔注射组(M组)、手术组(O组)和Mdivi-1腹腔注射+手术组(MO组)。M组和MO组腹腔注射Mdivi-1(50 mg/kg)0.5 mL,C组和O组腹腔注射0.5 mL生理盐水。分别于术前、术后第1日和术后第3日进行水迷宫测试,观察大鼠的游泳距离和逃避潜伏期。术后24 h处死大鼠,取海马组织,检测其中三磷酸腺苷(ATP)含量,用透射电镜观察线粒体分裂情况,用蛋白免疫印迹法检查线粒体电子传递链复合物I和V的表达。结果 与C组比较,O组线粒体过度分裂,线粒体电子传递链复合物I和V水平下降,ATP含量减少,O组术后第1日和第3日逃避潜伏期及游泳距离延长(P均< 0.05)。与O组比较,MO组线粒体分裂减少,线粒体电子传递链复合物I和V水平升高,ATP含量增多;O组术后第1日和第3日逃避潜伏期及游泳距离缩短(P均< 0.05)。结论 线粒体Drp1介导的线粒体过度分裂参与了术后认知功能障碍的发生过程。

本文引用格式

朱国松 , 唐富东 , 王开伟 . 线粒体动力相关蛋白Drp1在大鼠术后认知功能障碍中的作用[J]. 新医学, 2021 , 52(10) : 739 -744 . DOI: 10.3969/j.issn.0253-9802.2021.10.004

Abstract

Objective To investigate the role of mitochondrial dynamin-related protein 1 (Drp1) in postoperative cognitive dysfunction in rat models. Methods 64 healthy male Spragne-Dawley rats were randomly divided into the normal saline control group (group C), Drp1 selective inhibitor Mdivi-1 intraperitoneal injection group (group M), operation group (group O), and Mdivi-1 intraperitoneal injection plus operation group (group MO) by using the random number table method. Mdivi-1 (50 mg/kg, 0.5 mL) was given via intraperitoneal injection in the M and MO groups. Normal saline(0.5 mL)was given in the C and O groups. Morris water maze test (MWN) was performed before operation, and 1 d and 3 d after operation. The escape latency and swimming distance were recorded. The animals were sacrificed at 24 h after operation. Hippocampal tissues were obtained for determination of ATP content. The mitochondrial division was observed by transmission electron microscopy. The expression levels of mitochondrial electron transport chain complex I and V were quantitatively measured by Western blot. Results Compared with the group C, mitochondrial division was significantly increased, and the expression levels of mitochondrial electron transport chain complex I and V were significantly down-regulated, the ATP content was significantly decreased, and the escape latency and swimming distance were significantly prolonged at postoperative 1 and 3 d in the group O (all P < 0.05). Compared with the group O, mitochondrial division was significantly decreased, the expression levels of mitochondrial electron transport chain complex I and V were significantly up-regulated and the ATP content was significantly increased, the escape latency and swimming distance were significantly shortened at 1 and 3 d after operation in group MO (all P < 0.05). Conclusion Excessive mitochondrial division mediated by Drp1 is involved in the pathogenesis of postoperative cognitive dysfunction.

术后认知功能障碍(POCD)是一种术后比较常见的中枢神经系统并发症,在大、中型非心脏手术中,65岁以上患者的POCD发生率高达40%,在心脏手术中,该比例可高达60%,严重影响患者预后,因此探讨其发病机制意义重大[1,2]。研究表明能量代谢异常是引起认知功能障碍的关键因素之一,线粒体融合分裂失衡是线粒体功能损伤的标志性事件[3]。线粒体动力相关蛋白1(Drp1)是维持线粒体融合分裂平衡的重要因素。有学者发现,应用Drp1抑制剂抑制线粒体的过度分裂,维持线粒体的正常功能,能够治疗脑卒中、心肌梗死和神经退行性疾病。海马是与认知功能密切相关的脑区,海马组织中线粒体Drp1在POCD中的作用尚不明确。本研究拟探讨线粒体Drp1在大鼠POCD中的作用。

材料与方法

一、动物选择及分组

健康清洁级成年雄性SD大鼠64只(购于郑州大学实验动物中心),18 ~ 20月龄,体质量460 ~500 g,分笼饲养,自由摄食和饮水,环境温度控制于21 ~ 23℃。采用随机数表法将其分为生理盐水对照组(C组)、Drp1选择性抑制剂Mdivi-1(mitochondrial division inhibitor 1)腹腔注射组(M组)、手术组(O组)和Mdivi-1腹腔注射+手术组(MO组),每组16只。

二、POCD动物模型建立

采用2.5%异氟醚作麻醉诱导,待大鼠翻正反射消失后将其仰卧固定于手术板上,再持续吸入2%异氟醚维持麻醉深度。在无菌条件下,行腹部正中切口约1 cm,打开腹腔,用食指刺激腹腔肌肉和内脏,然后取出约10 cm小肠用手指摩擦30 s。在整个手术过程中使用保温毯加热,维持大鼠体温于36.5 ~ 37.0℃。手术结束后严格无菌操作,逐层关闭大鼠腹腔。手术持续时间约为15 min[4]。C组和M组无接受麻醉及手术。手术结束后,C组和O组立即腹腔注射0.5 mL生理盐水,M组和MO组立即腹腔注射Mdivi-1(50 mg/kg)0.5 mL。为排除实验动物运动能力的改变对实验结果的影响,采用BBB评分判断大鼠术前术后的运动能力。本研究经河南省人民医院伦理委员会批准(批件号:HNSRMYY2019-002)。

三、检测指标

1. Morris水迷宫测试
每组随机取8只大鼠于术前连续测试3 d,每日训练6次,以第15次测试的成绩作为术前成绩。各组大鼠休息1 d后接受相应处理。于术后第1日和第3日的相同时间点行Morris水迷宫测试,以检测大鼠的行为学,包括逃避潜伏期时间和游泳距离[5]
2. 电镜观察线粒体
术后24 h处死每组剩余的未进行行为学检测的8只大鼠,取其海马组织固定,在0 ~ 4℃下操作,使用戊二醛固定液固定组织,经过充分洗涤后,应用锇酸固定,2次固定的时间均为20 min;按照标准流程进行脱水,组织包埋,超薄切片机切片,电子染色,透射电子显微镜观察结果。
3. 三磷酸腺苷(ATP)含量检测
应用ATP检测试剂盒(碧云天生物技术有限公司)检测大鼠海马组织中ATP水平。按照试剂盒的标准流程,准确称量海马组织质量,测定标准曲线,制备ATP检测工作液,测定ATP浓度。根据标准曲线计算样品中ATP的浓度,并测定蛋白浓度以消除样品制备时造成的误差。总ATP水平表示为nmol/mg蛋白。
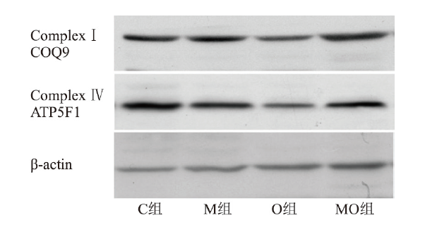
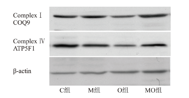
4. 蛋白免疫印迹法检测线粒体电子传递链复合物Ⅰ(ComplexⅠCOQ9)和Ⅴ(Complex ⅣATP5F1)的表达
研磨海马组织,使用全蛋白提取试剂盒(南京凯基公司)提取蛋白,进行定量。蛋白定量后上样、电泳、转膜和封闭,分别加入一抗大鼠抗COQ9(美国Santa Cruz公司),一抗大鼠抗ATP5F1(美国Santa Cruz公司)和大鼠抗β-actin于4℃摇动孵育过夜,然后加入辣根过氧化物酶标记的羊抗鼠二抗,37℃孵育120 min,按照ECL发光试剂盒的操作步骤,在暗室中进行曝光、显影以及定影。采用AIC.AlphaView软件对蛋白免疫印迹图片进行灰度分析。

四、统计学处理

采用SPSS 16.0处理数据,采用Kolmogorov-Smirnov检验数据的正态性,Levene检验用于检验方差齐性,其中正态分布的计量资料以$\bar{x}\pm s$表示,多组间比较采用单因素方差分析。析因设计资料使用析因设计方差分析,交互效应有统计学意义时,采用LSD-t检验分析单独效应。α = 0.05。

结果

一、Morris水迷宫测试结果

本实验手术操作简单,创伤小,各组大鼠术前、术后第1日、第3日的BBB评分比较差异无统计学意义(P < 0.05),说明大鼠的运动能力无明显变化。Morris水迷宫测试结果显示,各组术前逃避潜伏期和游泳距离比较差异无统计学意义(P均> 0.05)。术后第1日和术后第3日行析因设计方差分析表明, Mdivi-1与手术处理间的交互作用有统计学意义(逃避潜伏期术后第1日:F = 96.26、P < 0.001,术后第3日:F = 82.95、P < 0.001;游泳距离术后第1日:F = 66.56、P < 0.001,术后第3日:F = 63.45,P < 0.001),估算边际平均值见图1、2。与C组相比,O组大鼠术后第1日和第3日逃避潜伏期及游泳距离延长;与O组相比,MO组大鼠术后第1日和第3日的逃避潜伏期及游泳距离缩短(P均< 0.05),见表1、2。
图1 大鼠术后第1日和第3日逃避潜伏期的估算边际平均值

注:A为术后第1日逃避潜伏期的估算边际平均值;B为术后第3日逃避潜伏期的估算边际平均值。图中2条直线不平行,说明2个因素(药物和手术)可能存在交互作用,2条直线形成的夹角角度越大,越有理由认为存在交互作用。

图2 大鼠术后第1日和第3日游泳距离的估算边际平均值

注:A为术后第1日游泳距离的估算边际平均值;B为术后第3日游泳距离的估算边际平均值。图中2条直线不平行,说明2个因素(药物和手术)可能存在交互作用。

表1 4组大鼠不同时间点逃避潜伏期的比较($\bar{x}\pm s$,n = 8) 单位:s
组别 术前 术后第1日 术后第3日
C组 12.02±2.20 11.68±1.97 11.36±1.94
M组 11.81±2.57 10.64±1.41 12.04±2.45
O组 11.18±2.74 33.57±4.46ab 30.14±2.78ab
MO组 10.81±2.59 25.84±3.47ab 23.69±3.26ab

注:与C组比较,aP < 0.05;与M组比较,bP < 0.05。

表2 4组大鼠不同时间点游泳距离的比较($\bar{x}\pm s$,n = 8) 单位:m
组别 术前 术后第1日 术后第3日
C组 6.94±1.08 6.96±1.54 7.49±0.66
M组 6.90±1.73 7.40±1.02 6.93±1.73
O组 6.86±1.10 18.08±2.60ab 19.30±2.61ab
MO组 6.93±2.39 12.32±1.59b 13.41±2.16b

注:与C组比较,aP < 0.05;与M组比较,bP < 0.05。

二、电镜下线粒体的变化

与C组比较,O组线粒体分裂严重,多数线粒体体积较小,线粒体嵴模糊不清,线粒体内空泡较多。C组与M组线粒体分裂差别不大。与O组比较,MO组线粒体分裂明显减少,形态较一致,线粒体嵴较规则,线粒体内空泡明显减少,见图3
图3 电镜下4组大鼠线粒体的比较(×20 000)

注:如图中箭头所示,C组和M组线粒体嵴规则,分裂较少,无明显的空泡形成;O组线粒体分裂严重,多数线粒体体积较小,线粒体嵴模糊不清,线粒体内空泡较多;MO组线粒体分裂明显减少,线粒体嵴较规则,线粒体内空泡明显减少。

三、线粒体ComplexⅠCOQ9和Complex ⅣATP5F1的表达水平

析因设计方差分析结果表明, Mdivi-1与手术处理间的交互作用有统计学意义(ComplexⅠ COQ9:F = 71.18、P < 0.001,ComplexⅣATP5F1:F = 58.93、P < 0.001,ATP:F = 84.36、P < 0.001),估算边际平均值见图5。与C组相比,O组大鼠线粒体ComplexⅠCOQ9和ComplexⅣATP5F1的表达水平降低,ATP含量减少;与O组相比,MO组大鼠线粒体ComplexⅠCOQ9和ComplexⅣ ATP5F1的表达水平升高,ATP含量增多(P均< 0.05),见表3图4、5。
表3 4组大鼠线粒体ComplexⅠCOQ9和ComplexⅣ ATP5F1表达水平灰度值及ATP含量($\bar{x}\pm s$,n = 8)
组别 ComplexⅠ
COQ9
ComplexⅣ ATP5F1 ATP
(nmol/mg)
C组 159.83±13.15 163.81±14.33 1.89±0.32
M组 163.08±12.17 163.83±12.17 1.83±0.29
O组 104.40±8.20a 110.79±10.23a 0.40±0.17ab
MO组 127.42±8.90b 126.75±6.99b 0.76±0.21ab

注:与C组比较,aP < 0.05;与M组比较,bP < 0.05。

图4 4组大鼠线粒体ComplexⅠCOQ9和ComplexⅣ ATP5F1的表达水平
图5 大鼠线粒体ComplexⅠCOQ9、ComplexⅣ及ATP的估算边际平均值====注:A为ComplexⅠCOQ9的估算边际平均值;B为ComplexⅣATP5F1的估算边际平均值;C为ATP的估算边际平均值。图中2条直线不平行,说明2个因素(药物和手术)可能存在交互作用。

讨论

本研究参考相关文献,通过吸入麻醉联合剖腹探查术构建大鼠POCD模型[4]。Morris水迷宫测试主要用于海马和外海马的研究,以及测试动物对方向觉(空间定位)和空间位置觉的学习记忆能力。本研究结果表明,与C组比较,O组大鼠逃避潜伏期及游泳距离延长,说明术后POCD模型制备成功。
线粒体是一种不断分裂和融合的动态变化的细胞器,这种动态变化被称之为线粒体动力学。正常情况下,线粒体分裂和融合保持动态平衡,以此维持线粒体形态、分布和功能的正常。多种因素包括手术、麻醉药物、氧化应激和缺血再灌注等均能导致线粒体分裂和融合失衡,主要表现为线粒体分离增强,融合抑制,致使线粒体动力学失衡和功能障碍。研究者发现轴索和树突内线粒体的缺乏直接或间接地影响飞蝇突触功能,而树突分支减少和树突棘的病理改变与认知功能障碍密切相关[6]。已证实线粒体功能异常是全身麻醉药物引起神经元毒性、神经功能异常的中心环节;海马神经元线粒体途径凋亡参与了老龄大鼠POCD的形成[7,8,9,10]。神经功能紊乱的患者线粒体功能障碍要早于病理损伤,线粒体动力学失衡是神经元凋亡的早期表现[11]。本研究结果显示,O组大鼠线粒体过度分裂,线粒体分裂融合失衡,线粒体功能受损,提示线粒体功能异常可诱发或者加重大鼠POCD。
线粒体Drp1、线粒体分裂蛋白和线粒体分裂因子等参与了线粒体的分裂,而其中起主要作用的是Drp1。Mdivi-1为可以穿过细胞膜的喹唑酮类衍生物,是Drp1的选择性抑制剂,Mdivi-1作用于线粒体分裂中Drp1的聚集过程,从而抑制Drp1诱发的线粒体分裂及细胞凋亡。Mdivi-1抑制促凋亡蛋白Bax的表达,同时上调抗凋亡蛋白Bcl-2的表达,故具有抗凋亡作用。Mdivi-1还可减轻氧化应激损伤及肺部炎症反应。最新的研究表明Mdivi-1能显著减轻心肌缺血再灌注损伤,提高心脏骤停小鼠的生存率和减少急性肾损伤中的细胞凋亡。Mdivi-1通过抑制Drp1蛋白发挥对大鼠大脑缺血性损伤的保护作用[12,13,14]。Mdivi-1可明显改善缺血再灌注损伤海马神经元ATP酶活性及ATP含量,提高能量代谢[15]。本研究中O组与MO组的结果比较提示了通过抑制Drp1介导线粒体过度分裂,可减轻大鼠POCD,故Mdivi-1有望成为治疗POCD新药。
本研究存在一定的局限性:①尚未能确定线粒体融合机制在POCD中的作用;②本研究仅仅观察了术后第1日和第3日的情况,线粒体在POCD中的长期作用还有待进一步研究。
综上所述,Drp1介导的线粒体过度分裂参与了POCD的发生过程。
[1]
Batistaki C, Riga M, Zafeiropoulou F, Lyrakos G, Kostopanagiotou G, Matsota P. Effect of sugammadex versus neostigmine/atropine combination on postoperative cognitive dysfunction after elective surgery. Anaesth Intensive Care, 201745(5):581-588.

[2]
Valentin L S, Pietrobon R, Aguiar Junior W D, Rios R P, Stahlberg M G, Menezes I V, Osternack-Pinto K, Carmona M J. Definition and application of neuropsychological test battery to evaluate postoperative cognitive dysfunction. Einstein (Sao Paulo), 2015, 13(1):20-26.

DOI PMID

[3]
Xu B, Zhu L, Chu J, Ma Z, Fu Q, Wei W, Deng X, Ma S. Esculetin improves cognitive impairments induced by transient cerebral ischaemia and reperfusion in mice via regulation of mitochondrial fragmentation and mitophagy. Behav Brain Res, 2019, 372:112007.

DOI

[4]
Zhang Z, Li X, Li F, An L. Berberine alleviates postoperative cognitive dysfunction by suppressing neuroinflammation in aged mice. Int Immunopharmacol, 2016, 38:426-433.

DOI

[5]
齐曼曼, 王旭鹏, 李妍, 孙文波. STING-Caspase-1信号通路对创伤性颅脑损伤大鼠认知功能障碍的作用. 新医学, 2021, 52(5):347-351.

[6]
Zhao X L, Wang W A, Tan J X, Huang J K, Zhang X, Zhang B Z, Wang Y H, YangCheng H Y, Zhu H L, Sun X J, Huang F D. Expression of beta-amyloid induced age-dependent presynaptic and axonal changes in Drosophila. J Neurosci, 2010, 30(4):1512-1522.

DOI

[7]
Jevtovic-Todorovic V, Hartman R E, Izumi Y, Benshoff N D, Dikranian K, Zorumski C F, Olney J W, Wozniak D F. Early exposure to common anesthetic agents causes widespread neurodegeneration in the developing rat brain and persistent learning deficits. J Neurosci, 2003, 23(3):876-882.

PMID

[8]
Zhang Y, Dong Y, Wu X, Lu Y, Xu Z, Knapp A, Yue Y, Xu T, Xie Z. The mitochondrial pathway of anesthetic isoflurane-induced apoptosis. J Biol Chem, 2010, 285(6):4025-4037.

DOI

[9]
Netto M B, de Oliveira Junior A N, Goldim M, Mathias K, Fileti M E, da Rosa N, Laurentino A O, de Farias B X, Costa A B, Rezin G T, Fortunato J J, Giustina A D, Barichello T, Dal-Pizzol F, Petronilho F. Oxidative stress and mitochondrial dysfunction contributes to postoperative cognitive dysfunction in elderly rats. Brain Behav Immun, 2018, 73:661-669.

DOI

[10]
Jagasia R, Grote P, Westermann B, Conradt B. DRP-1-mediated mitochondrial fragmentation during EGL-1-induced cell death in C. elegans. Nature, 2005, 433(7027):754-760.

DOI

[11]
Ong S B, Subrayan S, Lim S Y, Yellon D M, Davidson S M, Hausenloy D J. Inhibiting mitochondrial fission protects the heart against ischemia/reperfusion injury. Circulation, 2010, 121(18):2012-2022.

DOI

[12]
Sharp W W, Beiser D G, Fang Y H, Han M, Piao L, Varughese J, Archer S L. Inhibition of the mitochondrial fission protein dynamin-related protein 1 improves survival in a murine cardiac arrest model. Crit Care Med, 2015, 43(2):e38-e47.

DOI

[13]
Sharp W W, Beiser D G, Fang Y H, Han M, Piao L, Varughese J, Archer S L. Inhibition of the mitochondrial fission protein dynamin-related protein 1 improves survival in a murine cardiac arrest model. Crit Care Med, 2015, 43(2):e38-e47.

DOI

[14]
Cui M, Ding H, Chen F, Zhao Y, Yang Q, Dong Q. Mdivi-1 protects against ischemic brain injury via elevating extracellular adenosine in a cAMP/CREB-CD39-dependent manner. MolNeurobiol, 2016, 53(1):240-253.

[15]
王敏, 李瑜, 王士雷, 贾长新, 周瑜, 王金英, 梁楠, 姚如永. 线粒体分裂抑制剂改善大鼠海马神经元缺血再灌注损伤时的能量代谢障碍. 中华神经医学杂志, 2014(6):562-567.

文章导航

/