综合病例研究

玻璃体切割联合视盘按摩治疗视网膜中央动脉阻塞一例

  • 栗江陵 ,
  • 常鲁 ,
  • 李姝婵 ,
  • 陈海粟 ,
  • 高荣玉 ,
  • 张杰 ,
  • 孙先勇
展开
  • 261000 潍坊,潍坊医学院临床医学院(栗江陵); 261000 潍坊,潍坊眼科医院(常鲁,李姝婵,陈海粟,高荣玉,张杰,孙先勇)
孙先勇,E-mail:

Copy editor: 张幼敏

收稿日期: 2022-11-08

  网络出版日期: 2023-05-09

基金资助

潍坊市卫生健康委员会科研项目(wfws jk_2019_100)

Vitrectomy combined with optic disc massage in the treatment of central retinal artery occlusion: a case report

  • Li Jiangling ,
  • Chang Lu ,
  • Li Shuchan ,
  • Chen Haisu ,
  • Gao Rongyu ,
  • Zhang Jie ,
  • Sun Xianyong
Expand
  • School of Clinical Medicine, Weifang Medical University, Weifang 261000, China
Sun Xianyong, E-mail:

Received date: 2022-11-08

  Online published: 2023-05-09

摘要

视网膜中央动脉阻塞(CRAO)是眼科致盲性疾病,多见于伴心血管疾病的老年患者,一旦发病需分秒必争地采取治疗措施。CRAO的预后一般较差,与该病发生后较短时间内视网膜组织缺血、缺氧、变性、坏死等有关,CARO患者视力恢复情况较差。常用的治疗方法如降眼压、扩张血管、氧气疗法等效果往往不佳,溶栓治疗存在眼底出血和脑出血等严重并发症的风险。本例72岁男性患者采用玻璃体切割联合视盘按摩的方法治疗,术后患者视力明显提高,临床疗效满意。该方法具有可行性强、创伤小、并发症少的优势,为CRAO的治疗提供新思路。

本文引用格式

栗江陵 , 常鲁 , 李姝婵 , 陈海粟 , 高荣玉 , 张杰 , 孙先勇 . 玻璃体切割联合视盘按摩治疗视网膜中央动脉阻塞一例[J]. 新医学, 2023 , 54(4) : 298 -302 . DOI: 10.3969/j.issn.0253-9802.2023.04.013

Abstract

Central retinal artery occlusion (CRAO) is an ocular emergency that causes sudden blindness, which is more commonly seen in elderly patients aged over 40 years complicated with cardiovascular disease. Once CRAO occurs, corresponding measures should be taken immediately. The prognosis of CRAO is generally poor, which is related to the ischemia, hypoxia, degeneration and necrosis of the retinal tissues in a relatively short period of time after the onset of this disease. CRAO patients suffer from poor recovery of visual acuity. Common treatments, such as intraocular pressure lowering, vascular dilation and oxygen therapy, yield low clinical efficacy, and thrombolytic therapy carries the risk of serious complications, such as fundus hemorrhage and cerebral hemorrhage. In this study, the 72-year-old male patient was treated by vitrectomy combined with optic disc massage. Postoperative visual acuity was significantly improved and satisfactory clinical efficacy was obtained. This therapeutic method has multiple advantages of strong feasibility, mild trauma and few complications, providing a new idea for the treatment of CRAO.

视网膜中央动脉阻塞(CRAO)由冯·格雷费(Von Graefe)在1859年首次描述,是视网膜中央动脉(CRA)发生阻塞而造成的视网膜急性缺血性疾病,由栓子栓塞、动脉痉挛、动脉粥样硬化或动脉内膜炎等引起,导致CRA供给营养的视网膜急性缺血、缺氧,细胞内水肿,视细胞迅速死亡,从而严重损害患眼的视力[1-3]。其短时间内致盲的特点,给患者带来极大的痛苦。患者常常由于各种原因,延误治疗最佳时机,且目前研究较多的溶栓治疗存在较多禁忌证,有效性差,并发症较多,故多采用保守治疗的措施,但收效甚微。本例治疗方法不良反应小,禁忌证少,希望给CRAO的治疗提供新的经验和方法。

病例资料

一、主诉和现病史

患者,男, 72岁,无明显诱因突然出现右眼视物不见23 h后来潍坊眼科医院眼底病科就诊,患者无头痛、眼红、眼痛等症状。眼科检查示,右眼裸眼视力:手动(HM)/眼前,矫正无助,左眼裸眼视力:0.8,矫正无助;右眼眼压20 mmHg(1 mmHg=0.133 kPa),左眼眼压22 mmHg;右眼结膜无充血,角膜透明,前房中深,瞳孔圆,直径约5 mm,对光反射迟钝,晶状体混浊,右眼眼底视盘界清色可,眼压及眼底杯盘比值(C/D)约0.3(C/D正常范围:≤0.3),视网膜苍白水肿,黄斑可见樱桃红斑(图1A);左眼晶状体混浊,余未见明显异常。既往高血压病史5个月,期间服药不规律,未持续监测血压,入院血压167/108 mmHg。
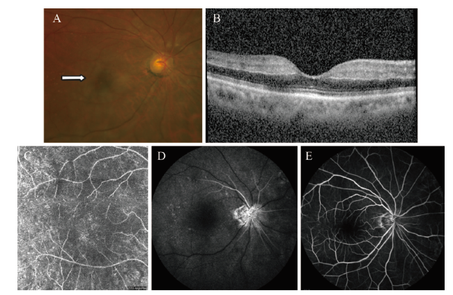
图1 右眼CRAO患者术前的辅助检查

注:A为眼底照相示黄斑区苍白水肿,可见樱桃红斑(见箭头指向);B为 OCT示黄斑区视网膜神经上皮层水肿增厚;C为OCTA示黄斑区浅层视网膜血流密度明显减少;D、E为FFA示臂一视网膜循环时间17 s,静脉38 s完全充盈。

二、辅助检查

光学相干断层成像(OCT)示,右眼黄斑区视网膜神经上皮层水肿增厚(图1B)。光学相干断层扫描血管成像(OCTA)示,右眼黄斑区浅层视网膜血流密度明显减少(图1C)。眼底荧光素血管造影术(FFA)示,右眼臂一视网膜循环时间(ARCT)为17 s,动静脉充盈时间延长,静脉38 s完全充盈(图1DE)。颈部血管彩超检查示,双侧颈动脉斑块并狭窄形成。

三、诊断、治疗及预后

初步诊断:右眼CRAO、年龄相关性白内障(双眼)、高血压。给予患者玻璃体切割联合视盘按摩冲击筛板的手术方式治疗:右眼行罗哌卡因 3 mL球后注射,23G套管穿刺后行玻璃体切割手术,术中降低灌注,持23G玻切头反复按压视盘10~15次,每次持续按压时间约5 s,沿视盘向颞侧血管表面滑动,以起到按摩冲击筛板处血管的作用,可见部分血管充血红润。术后给予低流量吸氧、降血压、葛根素和复方樟柳碱改善循环、甲钴胺营养神经等对症治疗。患者入院治疗后血压控制良好,收缩压在123~140 mmHg,舒张压在78~90 mmHg。术后3 d患者的最佳矫正视力(BCVA)为0.1,眼底照相示:右眼黄斑区水肿较前稍好转(图2A);OCT示:右眼黄斑区视网膜神经上皮层水肿较前减轻(图3A)。术后1周OCTA示:右眼黄斑区浅层视网膜血流密度明显增加(图4A)。术后2周眼底照相示:右眼黄斑区水肿减退(图2B)。术后1个月右眼BCVA为0.1,OCT示:右眼黄斑区视网膜神经上皮层水肿明显减轻(图3B);OCTA示:右眼黄斑区浅层视网膜血流密度增多(图4B)。术后2个月眼底照相示:右眼黄斑区水肿消失(图2C)。术后3个月右眼BCVA为0.4,OCT示:右眼黄斑区内层视网膜水肿消退(图3C)。患者术后6个月、1年随访时,右眼BCVA为0.4,视力稳定,行裂隙灯前置镜检查,右眼黄斑区未见水肿。
图2 右眼CRAO患者术后的眼底照相

注:A为术后3 d右眼黄斑区水肿较前稍好转;B为术后2周右眼黄斑区水肿减退;C为术后2个月右眼黄斑区水肿消失。

图3 右眼CRAO患者术后的OCT

注:A~C分别为术后3 d、1个月、3个月OCT结果,示右眼黄斑区水肿逐渐减轻。

图4 右眼CRAO患者术后的OCTA

注:A、B分别为术后1周、1个月的OCTA结果,示右眼黄斑区浅层血流密度较治疗前增加。

讨论

CRAO的全球发病率较低,且各个国家的发病率并不一致。在亚洲国家中,日本为2.53/100 000,韩国为1.80/100 000[4-6]。CRAO患者眼底表现为视网膜动脉明显狭窄或血管闭塞,视网膜后极部苍白水肿,因黄斑中心凹处存在正常的脉络膜循环,且神经上皮层较薄,视网膜水肿较轻,故黄斑中心凹呈粉红色或红色[7-8]。CRAO发病的危险因素包括心血管因素,如高血压、高血脂症、颈动脉粥样硬化等; Callizo等[9]发现92%的CRAO患者至少存在1种心血管危险因素,78%的患者存在2种及以上的心血管危险因素,其中高血压是最常见的危险因素,发生率高达73%。CRAO最常见的病因是病变动脉中的栓子栓塞,栓子最常起源于患侧颈内动脉,其次是主动脉弓和心脏[8]。常见的栓子类型分别是胆固醇、血小板纤维蛋白栓子和钙化栓子[6]。极少数情况下,CRAO可由血管炎引起,尤其是巨细胞动脉炎(动脉炎性CRAO)。患者视网膜和视神经的受损程度和疾病的预后与CRAO发生的时间相关,6 h后即可出现严重且不可逆的视网膜神经细胞损伤[10]。因此,CRAO作为眼科急症,因视网膜缺血短时间内光感受器即可死亡且不可逆转,故一经发现应立即采取治疗措施,及早恢复视网膜的血运,抢救患者视力。
CRAO常用的治疗方法有降眼压、眼球按摩、舌下含服硝酸甘油、球后注射阿托品以及吸氧等[11]。动、静脉溶栓也是目前临床上被较多研究的治疗方法,在无全身出血性疾病和禁忌证的情况下,及早进行溶栓治疗对患者视力的改善有效果[12]。有研究表明该方法可能会出现严重并发症,具有引起血管损伤和全身出血等风险,且作用于含纤维蛋白的栓子,而对脂肪栓子、白色血栓等无效[8]。高压氧疗法在CRAO的治疗中使用较少,其原理为增加缺血视网膜组织的氧分压,主要作为临时抢救的治疗措施,或作为其他治疗方法的辅助治疗 [13]。CRAO目前尚无明确且有效的治疗方法,各大医院的治疗存在较大差异,且最终效果一般较差。
有研究者采用玻璃体切割手术联合按摩CRA治疗CRAO,使用探头按摩视网膜动脉的中央分叉处,若视网膜血管口径未见增大,则使用视网膜刀片在视盘上切开一个小口,探头插入小口中向筛板按摩,80%患者术后视力提升,20%患者无明显变化[14]。但其操作复杂,创伤大,术后易出现出血等并发症。还有类似方法的文献报道,研究者采用玻璃体切除术,术中降低眼压治疗CRAO,方法为:去除后部玻璃体,术中降低灌注使眼压降低,使视网膜中央动脉产生正压差,增加视网膜的血流量[15]。因此,通过抽吸-非抽吸循环,血栓移向更远端的血管,恢复视网膜血运,术后患者视力显著恢复。
在传统保守治疗效果难以令人满意的情况下,积极探索新的治疗方法,以尽快恢复视网膜血液循环,提高患者视力,改变CRAO的不良预后[16]。本院采用玻璃体切割联合视盘按摩冲击筛板的方法治疗该患者,通过将筛板处的栓子随血流冲刷至远端动脉,以增加黄斑区视网膜血流,减轻黄斑区视网膜的水肿、提高视力。 据组织病理学研究显示,CRAO通常发生在筛板水平或视盘的前板层表面[1,12]。在视盘处的视网膜CRA直径约为160 μm,在筛板水平,CRA最窄的部分位于球后约2 mm处,较大的栓子可能停留在这一最窄的位置,按摩冲击可使栓子迁移游向远端[17]。一旦CRA被阻断,视网膜的恢复能力取决于视网膜缺血的耐受时间,也取决于侵犯性的栓子或血栓是否被移位[18]。本例患者术后视力恢复较好,推测原因如下:①在玻切头诱导血管机械运动的过程中,栓子可能被分裂成较小的碎片,离开阻塞部位;②经治疗后,血管的损伤及视网膜的水肿需一定时间的修复,故术后视力缓慢但稳步提高;③患者从发病至就诊时间未超过24 h,提示发现阻塞后较短时间内,栓子移动及血流恢复再灌注仍对改善视功能有效,可恢复部分视网膜功能;④术中降低灌注,使玻璃体腔压力降低,致CRA和视网膜小血管灌注压力明显增加,阻塞部位的栓子容易移动[14,19 -20]。视网膜动脉的血管壁具有弹性,按摩过程中轻微的变形和弯曲几乎不会损坏血管壁。本例治疗证明,机械运动可能是使栓子流向远端的有效方法,且全身并发症少,对各种类型的栓子均有效,可行性强。
总之,CRAO作为临床预后较差的急症,尚无统一有效的治疗方案。视盘按摩的治疗方法,为CRAO提供了治疗新思路,且该例患者预后满意。在难以早期发现疾病或无法进行溶栓治疗的患者中,可尝试该方法。当然,本研究的局限性为样本量小,需要进一步扩大样本量,为临床治疗提供更多数据支持。
[1]
Hayreh S S. Central retinal artery occlusion. Indian J Ophthalmol, 2018, 66(12):1684-1694.

DOI PMID

[2]
袁航, 谢立科, 罗傑, 等. 视网膜动脉阻塞危险因素和治疗的研究现状. 国际眼科杂志, 2021, 21(3):446-449.

[3]
邵毅, 谭思文, 肖昂. 视网膜中央动脉阻塞诊疗规范:2021美国心脏协会指南解读. 眼科新进展, 2021, 41(10):901-904.

[4]
Kido A, Tamura H, Ikeda H O, et al. Nationwide incidence of central retinal artery occlusion in Japan: an exploratory descriptive study using the National Database of Health Insurance Claims (2011-2015). BMJ Open, 2020, 10(9):e041104.

DOI

[5]
Park S J, Choi N K, Seo K H, et al. Nationwide incidence of clinically diagnosed central retinal artery occlusion in Korea, 2008 to 2011. Ophthalmology, 2014, 121(10):1933-1938.

DOI PMID

[6]
Hakim N, Hakim J. Intra-Arterial thrombolysis for central retinal artery occlusion. Clin Ophthalmol, 2019, 13:2489-2509.

DOI

[7]
赵霞, 陈芳, 董明霞, 等. 糖尿病视网膜病变玻璃体切除术后视网膜中央动脉阻塞表现及预后. 中国实用眼科杂志, 2015, 33(5):544-546.

[8]
Dattilo M, Biousse V, Newman N J. Update on the management of central retinal artery occlusion. Neurol Clin, 2017, 35(1):83-100.

DOI PMID

[9]
Callizo J, Feltgen N, Pantenburg S, et al. Cardiovascular risk factors in central retinal artery occlusion: results of a prospective and standardized medical examination. Ophthalmology, 2015, 122(9):1881-1888.

DOI PMID

[10]
Hayreh S S, Jonas J B. Optic disk and retinal nerve fiber layer damage after transient central retinal artery occlusion: an experimental study in rhesus monkeys. Am J Ophthalmol, 2000, 129(6):786-795.

DOI PMID

[11]
Biousse V, Nahab F, Newman N J. Management of acute retinal ischemia: follow the guidelines! Ophthalmology, 2018, 125(10):1597-1607.

[12]
Chronopoulos A, Schutz J S. Central retinal artery occlusion-a new, provisional treatment approach. Surv Ophthalmol, 2019, 64(4): 443-451.

DOI PMID

[13]
Sharma R A, Dattilo M, Newman N J, et al. Treatment of nonarteritic acute central retinal artery occlusion. Asia Pac J Ophthalmol (Phila), 2018, 7(4):235-241.

DOI PMID

[14]
Lu N, Wang N L, Wang G L, et al. Vitreous surgery with direct central retinal artery massage for central retinal artery occlusion. Eye (Lond), 2009, 23(4):867-872.

DOI PMID

[15]
Nadal J, Ding Wu A, Canut M. Vitrectomy with intrasurgical control of ocular hypotony as a treatment for central retina artery occlusion. Retina, 2015, 35(8):1704-1705.

DOI PMID

[16]
万剑文, 姚仁祥, 达军. 氩激光视网膜光凝治疗视网膜静脉阻塞──附74例报告. 新医学, 2002, 33(11):680-681.

[17]
Dumitrascu O M, Newman N J, Biousse V. Thrombolysis for central retinal artery occlusion in 2020: time is vision! J Neuroophthalmol, 2020, 40(3):333-345.

[18]
Varma D D, Cugati S, Lee A W, et al. A review of central retinal artery occlusion: clinical presentation and management. Eye (Lond), 2013, 27(6):688-697.

DOI PMID

[19]
Gao Y, Wu D, Liu D, et al. Novel acute retinal artery ischemia and reperfusion model in nonhuman primates. Stroke, 2020, 51(8):2568-2572.

DOI PMID

[20]
Okonkwo O N, Hassan A O, Akanbi T, et al. Vitrectomy and manipulation of intraocular and arterial pressures for the treatment of nonarteritic central retinal artery occlusion. Taiwan J Ophthalmol, 2020, 11(3):305-311.

文章导航

/